VAMP2 Recombinant Monoclonal Antibody
-
中文名稱:VAMP2 Recombinant Monoclonal Antibody
-
貨號:CSB-RA928839A0HU
-
規格:¥1320
-
圖片:
-
Western Blot
Positive WB detected in: A549 whole cell lysate(30μg), SH-SY5Y whole cell lysate(30μg), Jurkat whole cell lysate(30μg), U-251MG whole cell lysate(30μg), HEK293 whole cell lysate(30μg), Mouse brain tissue lysate(30μg), Rat brain tissue lysate(30μg)
All lanes:VAMP2 antibody at 1:1000
Secondary
Goat polyclonal to rabbit IgG at 1/40000 dilution
Predicted band size: 13 kDa
Observed band size: 16 kDa
Exposure time:2min -
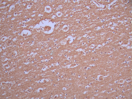
IHC image of CSB-RA928839A0HU diluted at 1:100 and staining in paraffin-embedded human brain tissue performed on a Leica BondTM system. After dewaxing and hydration, antigen retrieval was mediated by high pressure in a citrate buffer (pH 6.0). Section was blocked with 10% normal goat serum 30min at RT. Then primary antibody (1% BSA) was incubated at 4°C overnight. The primary is detected by a Goat anti-rabbit polymer IgG labeled by HRP and visualized using 0.05% DAB.
-
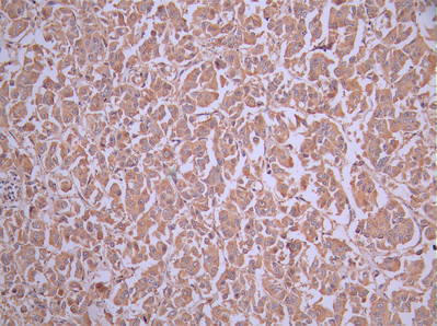
IHC image of CSB-RA928839A0HU diluted at 1:100 and staining in paraffin-embedded human breast cancer performed on a Leica BondTM system. After dewaxing and hydration, antigen retrieval was mediated by high pressure in a citrate buffer (pH 6.0). Section was blocked with 10% normal goat serum 30min at RT. Then primary antibody (1% BSA) was incubated at 4°C overnight. The primary is detected by a Goat anti-rabbit polymer IgG labeled by HRP and visualized using 0.05% DAB.
-
-
其他:
產品詳情
-
Uniprot No.:
-
基因名:
-
別名:FLJ11460 antibody; RATVAMPB antibody; RATVAMPIR antibody; SYB antibody; SYB2 antibody; Synaptobrevin 2 antibody; Synaptobrevin-2 antibody; VAMP 2 antibody; VAMP-2 antibody; Vamp2 antibody; VAMP2_HUMAN antibody; Vesicle associated membrane protein 2 antibody; Vesicle-associated membrane protein 2 (synaptobrevin 2) antibody; Vesicle-associated membrane protein 2 antibody
-
反應種屬:Human, Mouse, Rat
-
免疫原:A synthesized peptide from human VAMP2 protein
-
免疫原種屬:Homo sapiens (Human)
-
標記方式:Non-conjugated
-
克隆類型:Monoclonal
-
抗體亞型:Rabbit IgG
-
純化方式:Affinity-chromatography
-
克隆號:1F5
-
濃度:It differs from different batches. Please contact us to confirm it.
-
保存緩沖液:Rabbit IgG in 10mM phosphate buffered saline , pH 7.4, 150mM sodium chloride, 0.05% BSA, 0.02% sodium azide and 50% glycerol.
-
產品提供形式:Liquid
-
應用范圍:ELISA, WB, IHC
-
推薦稀釋比:
Application Recommended Dilution WB 1:500-1:5000 IHC 1:50-1:200 -
Protocols:
-
儲存條件:Upon receipt, store at -20°C or -80°C. Avoid repeated freeze.
-
貨期:Basically, we can dispatch the products out in 1-3 working days after receiving your orders. Delivery time maybe differs from different purchasing way or location, please kindly consult your local distributors for specific delivery time.
-
用途:For Research Use Only. Not for use in diagnostic or therapeutic procedures.
相關產品
靶點詳情
-
功能:Involved in the targeting and/or fusion of transport vesicles to their target membrane. Major SNARE protein of synaptic vesicles which mediates fusion of synaptic vesicles to release neurotransmitters. Essential for fast vesicular exocytosis and activity-dependent neurotransmitter release as well as fast endocytosis that mediates rapid reuse of synaptic vesicles. Modulates the gating characteristics of the delayed rectifier voltage-dependent potassium channel KCNB1.
-
基因功能參考文獻:
- miR-493-5p overexpression promotes cell apoptosis and inhibits the proliferation and migration of liver cancer cells by negatively regulating the expression of VAMP. PMID: 29328362
- VAMP2 is a promising new plasma cell marker PMID: 27247366
- VAMP2 is involved in Porphyromonas gingivalis recycling pathway.VAMP2 is localized in early endosomes in gingival epithelial cells. PMID: 26617273
- The present study addressed for the first time the unique substrate recognition mechanism of LC/F5 substrate cleavage of VAMP-2 by Botulinum Neurotoxin subtype F5. PMID: 26794648
- This study showed that decreased Levels of VAMP2 correlate with Duration of Dementia. PMID: 26639969
- VAMP2-NRG1 is a novel oncogenic fusion gene representing a new addition to the list of NRG1 fusion genes, which together may form an important diagnostic and clinical category of lung adenocarcinoma cases PMID: 26134228
- A large vesicular pool of VAMP2 maintained by AP180 is crucial to sustain efficient neurotransmission. PMID: 26412491
- miR-206 regulates lung surfactant secretion by limiting the availability of VAMP-2 protein. PMID: 25481410
- The genetic variations of VAMP2, Synaptotagmin XI might be indication of the relationship between these genes and idiopathic generalized epilepsy PMID: 24164654
- BoNT/F5 cleaves substrate synaptobrevin-2 in a different location than the other BoNT/F subtypes, between (54)L and (55)E. PMID: 22172278
- unique mechanism of SNARE motif-dependent endocytic sorting and identify the ANTH domain proteins AP180 and CALM as cargo-specific adaptors for synaptobrevin 2 endocytosis PMID: 21808019
- VAMP2 mediates the trafficking of alpha5beta1 integrin to the plasma membrane and VAMP2-dependent integrin trafficking is critical in cell adhesion, migration and survival. PMID: 19822142
- SNAP-23 and syntaxin-4 are expressed in human eosinophils and are likely candidates for association with VAMP-2 during docking, which is followed by exocytosis PMID: 11842301
- VAMP-2 mediates exocytosis of specific and tertiary granules of neutrophils through its interaction with Q-SNARE/R-SNARE complexes located at the neutrophil plasma membrane. PMID: 12517971
- VAMP-2 can be one of the v-SNAREs for constitutive exocytosis PMID: 16195891
- addition of PIP2 to Stx4/SNAP23 vesicles inhibited the fusion reaction, and its addition to VAMP2 vesicles was stimulatory PMID: 17001002
- The vesicular distribution may be attributed in part to the direct interaction between PKD3 and vesicle-associated membrane protein VAMP2, through which PKD3 may regulate VAMP2 vesicle trafficking by facilitating its recruitment to the target membrane. PMID: 17196367
- VAMP2 can be phosphorylated by activated PKCzeta in vitro and the presence of ProF increases the PKCzeta-dependent phosphorylation of VAMP2 in vitro PMID: 17313651
- Results indicate that the sorting determinants of synaptic vesicle proteins can operate independently of a neuronal context and implicate the association of VAMP2 with synaptophysin I in the specification of the pathway of synaptic vesicle biogenesis. PMID: 17331077
- Overexpression of CALM leads to the reduction of cell surface VAMP2, whereas knockdown of CALM by RNA interference results in the accumulation of surface VAMP2. PMID: 18182011
- BoNT/B and TeNT possess similar organization but have unique residues to recognize and cleave VAMP-2 PMID: 18511417
- analysis of the substrate recognition mechanism of VAMP/synaptobrevin-cleaving clostridial neurotoxins PMID: 18511418
- These results do not suggest that a common genetic variant at VAMP2 or VAMP3 contributes to the development of bipolar affective disorder in German patients. PMID: 18628682
顯示更多
收起更多
-
亞細胞定位:Cytoplasmic vesicle, secretory vesicle, synaptic vesicle membrane; Single-pass type IV membrane protein. Cell membrane.
-
蛋白家族:Synaptobrevin family
-
組織特異性:Nervous system and skeletal muscle.
-
數據庫鏈接:
Most popular with customers
-
-
YWHAB Recombinant Monoclonal Antibody
Applications: ELISA, WB, IHC, IF, FC
Species Reactivity: Human, Mouse, Rat
-
Phospho-YAP1 (S127) Recombinant Monoclonal Antibody
Applications: ELISA, WB, IHC
Species Reactivity: Human
-
-
-
-
-















