YWHAB Recombinant Monoclonal Antibody
-
中文名稱:YWHAB重組抗體
-
貨號:CSB-RA616077A0HU
-
規格:¥1320
-
圖片:
-
Western Blot
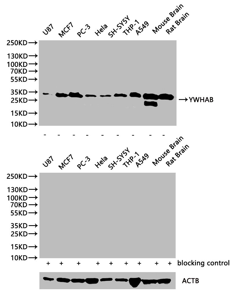
Positive WB detected in: U87 whole cell lysate, MCF-7 whole cell lysate, PC3 whole cell lysate, Hela whole cell lysate, SH-SY5Y whole cell lysate, THP-1 whole cell lysate, A549 whole cell lysate, Mouse brain tissue, Rat brain tissue
All lanes: YWHAB antibody at 1:1000
Secondary
Goat polyclonal to rabbit IgG at 1/50000 dilution
Predicted band size: 29, 28 kDa
Observed band size: 25-35 kDa -
Overlay Peak curve showing Hela cells stained with CSB-RA616077A0HU (red line) at 1:100. The cells were fixed in 4% formaldehyde (15min) and permeated by 0.2% TritonX-100 for 10min. Then 10% normal goat serum to block non-specific protein-protein interactions followed by the antibody (1ug/1*106cells) for 45min at 4℃. The secondary antibody used was FITC-conjugated Goat Anti-rabbit IgG(H+L) at 1:200 dilution for 35min at 4℃.Control antibody (green line) was rabbit IgG (1ug/1*106cells) used under the same conditions. Acquisition of >10,000 events was performed.
-
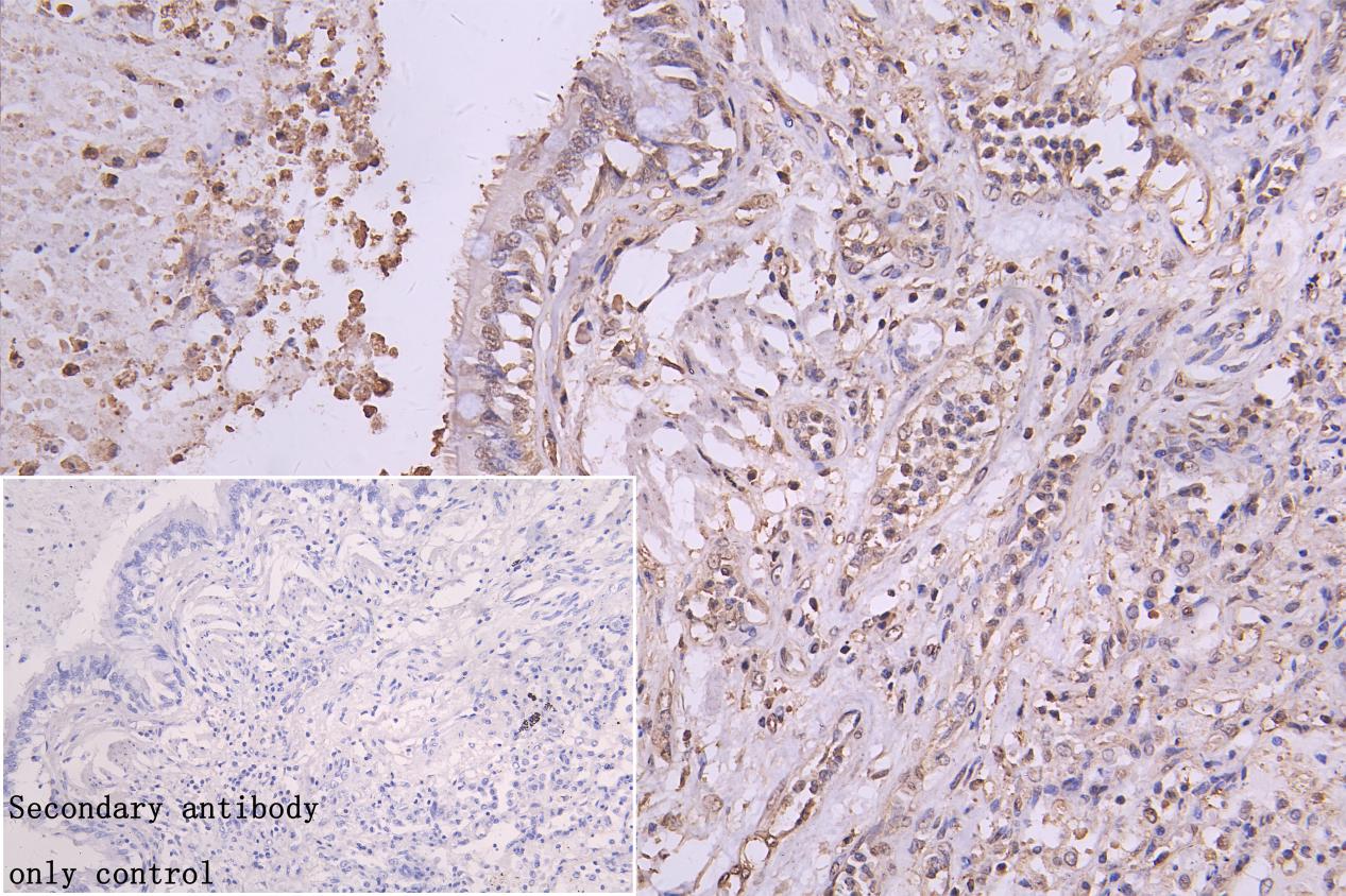
IHC image of CSB-RA616077A0HU diluted at 1:50 and staining in paraffin-embedded human lung cancer performed on a Leica BondTM system. After dewaxing and hydration, antigen retrieval was mediated by high pressure in a citrate buffer (pH 6.0). Section was blocked with 10% normal goat serum 30min at RT. Then primary antibody (1% BSA) was incubated at 4°C overnight. The primary is detected by a Goat anti-rabbit polymer IgG labeled by HRP and visualized using 0.05% DAB. Secondary antibody only control: uses 1% BSA instead of primary antibody
-
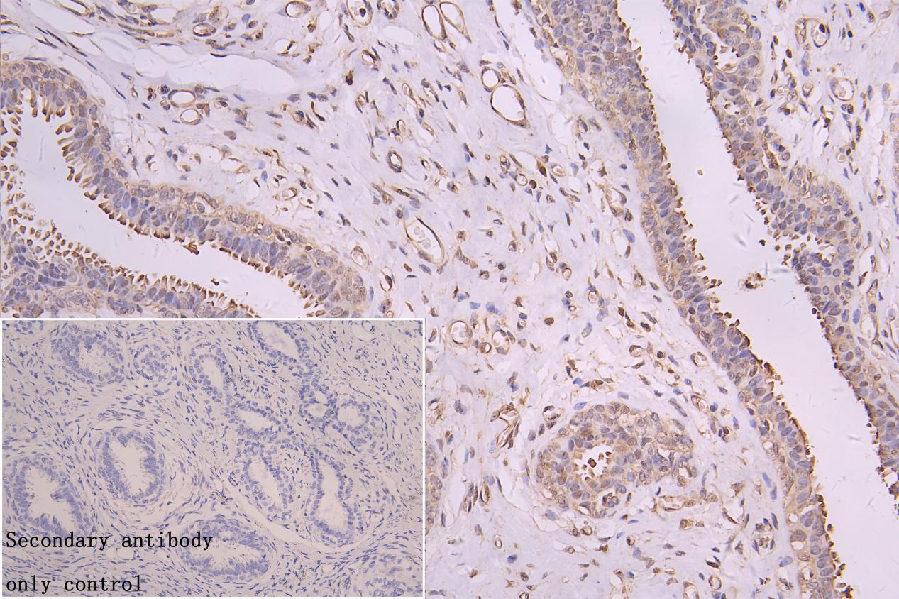
IHC image of CSB-RA616077A0HU diluted at 1:50 and staining in paraffin-embedded human colorectal cancer performed on a Leica BondTM system. After dewaxing and hydration, antigen retrieval was mediated by high pressure in a citrate buffer (pH 6.0). Section was blocked with 10% normal goat serum 30min at RT. Then primary antibody (1% BSA) was incubated at 4°C overnight. The primary is detected by a Goat anti-rabbit polymer IgG labeled by HRP and visualized using 0.05% DAB. Secondary antibody only control: uses 1% BSA instead of primary antibody
-
IHC image of CSB-RA616077A0HU diluted at 1:50 and staining in paraffin-embedded human breast cancer performed on a Leica BondTM system. After dewaxing and hydration, antigen retrieval was mediated by high pressure in a citrate buffer (pH 6.0). Section was blocked with 10% normal goat serum 30min at RT. Then primary antibody (1% BSA) was incubated at 4°C overnight. The primary is detected by a Goat anti-rabbit polymer IgG labeled by HRP and visualized using 0.05% DAB. Secondary antibody only control: uses 1% BSA instead of primary antibody
-
Immunofluorescence staining of A431 cell with CSB-RA616077A0HU at 1:20, counter-stained with DAPI. The cells were fixed in 4% formaldehyde and and permeated by 0.2% TritonX-100 for 15 min. Then 10% normal goat serum to block non-specific protein-protein interactions . The cells were then incubated with the antibody overnight at 4℃. The secondary antibody was Alexa Fluor 488-congugated AffiniPure Goat Anti-Rabbit IgG(H+L).
-
Immunofluorescence staining of A431 cell with 5% goat serum, counter-stained with DAPI. The cells were fixed in 4% formaldehyde and blocked in 10% normal Goat Serum. The cells were then incubated with the antibody overnight at 4C. The secondary antibody was Alexa Fluor 488-congugated AffiniPure Goat Anti-Rabbit IgG(H+L).
-
-
其他:
產品詳情
-
產品描述:CSB-RA616077A0HU YWHAB重組單克隆抗體是針對14-3-3β/α蛋白(YWHAB)開發的高特異性科研工具,該蛋白屬于14-3-3家族成員,在細胞信號轉導、周期調控及凋亡過程中發揮關鍵作用,尤其在PI3K/AKT、MAPK等通路中參與磷酸化靶蛋白的結合與功能調控。本抗體通過重組表達技術制備,經ELISA、蛋白質印跡(WB)、免疫熒光(IF)和流式細胞術(FC)嚴格驗證,能夠特異性識別天然及重組YWHAB蛋白。在WB實驗中可清晰檢測目標條帶,IF和FC應用下可精準定位細胞內蛋白分布及定量分析,推薦稀釋比例分別為WB 1:500-1:2000、IF 1:50-1:200、FC 1:50-1:200,具有優異的批次間穩定性和重復性。適用于研究YWHAB在代謝調控、腫瘤發生、神經退行性疾病中的分子機制,以及蛋白質相互作用網絡的解析,為細胞生物學、分子病理學等基礎研究領域提供可靠檢測工具。
-
Uniprot No.:
-
基因名:
-
別名:14-3-3 protein beta/alpha (Protein 1054) (Protein kinase C inhibitor protein 1) (KCIP-1) [Cleaved into: 14-3-3 protein beta/alpha, N-terminally processed], YWHAB
-
反應種屬:Human, Mouse, Rat
-
免疫原:A synthesized peptide derived from human YWHAB
-
免疫原種屬:Homo sapiens (Human)
-
標記方式:Non-conjugated
-
克隆類型:Monoclonal
-
抗體亞型:Rabbit IgG
-
純化方式:Affinity-chromatography
-
克隆號:6F6
-
濃度:It differs from different batches. Please contact us to confirm it.
-
保存緩沖液:Rabbit IgG in 10mM phosphate buffered saline , pH 7.4, 150mM sodium chloride, 0.05% BSA, 0.02% sodium azide and 50% glycerol.
-
產品提供形式:Liquid
-
應用范圍:ELISA, WB, IHC, IF, FC
-
推薦稀釋比:
Application Recommended Dilution WB 1:500-1:2000 IHC 1:50-1:200 IF 1:20-1:100 FC 1:50-1:200 -
Protocols:
-
儲存條件:Upon receipt, store at -20°C or -80°C. Avoid repeated freeze.
-
貨期:Basically, we can dispatch the products out in 1-3 working days after receiving your orders. Delivery time maybe differs from different purchasing way or location, please kindly consult your local distributors for specific delivery time.
-
用途:For Research Use Only. Not for use in diagnostic or therapeutic procedures.
相關產品
靶點詳情
-
功能:Adapter protein implicated in the regulation of a large spectrum of both general and specialized signaling pathways. Binds to a large number of partners, usually by recognition of a phosphoserine or phosphothreonine motif. Binding generally results in the modulation of the activity of the binding partner. Negative regulator of osteogenesis. Blocks the nuclear translocation of the phosphorylated form (by AKT1) of SRPK2 and antagonizes its stimulatory effect on cyclin D1 expression resulting in blockage of neuronal apoptosis elicited by SRPK2. Negative regulator of signaling cascades that mediate activation of MAP kinases via AKAP13.
-
基因功能參考文獻:
- 14-3-3beta protein activates Pseudomonas exotoxin-S and exotoxin-T ADP-ribosyltransferase domains by chaperoning their hydrophobic surfaces independently of the amphipathic C-terminal segment. PMID: 30224724
- Data show that 14-3-3beta protein augmented the expression of matrix metalloproteinasea MMP2 and MMP9 through PI3 kinase/Akt protein/NF-kappaappa B pathway, thereby enhancing the invasiveness of hepatocellular carcinoma (HCC) cells. PMID: 26730736
- These findings indicate that 14-3-3beta and gamma are novel PPARgamma2 regulators and are involved in hepatic lipid metabolism. 14-3-3b and gamma can be therapeutic target molecules to treat non-alcoholic fatty liver disease. PMID: 26260846
- miR-152 controls both the expression of 14-3-3beta and HLA-G and exerts a dual role in tumor cells by both altering the immunogenicity and the tumorigenicity PMID: 25228695
- Data suggest that serum 14-3-3beta concentrations may constitute a useful marker for blood brain barrier damage severity and follow up in patients with eosinophilic meningitis caused by Angiostrongylus cantonensis. PMID: 24555778
- Using gene reporter assays, we show that promoter variations in 11 intrinsic apoptosis genes, including ADPRT, APAF1, BCL2, BAD, BID, MCL1, BIRC4, BCL2L1, ENDOG, YWHAB, and YWHAQ, influence promoter activity in an allele-specific manner. PMID: 24038028
- Crystal structure of Myo1c/14-3-3beta complex, which has been implicated in the exocytosis of glucose transporter 4 storage vesicles during insulin-stimulated glucose uptake. PMID: 24636949
- Data identified three classes of 14-3-3 targets that all have two binding sites, but displayed synergistic interaction between converging signalling pathways for different ranges of parameter values. PMID: 24269229
- These results indicate that the six YWHAB polymorphisms are not associated with the genetic susceptibility to sporadic Creutzfeldt-Jakob disease. PMID: 23053962
- 14-3-3beta binding to phosphorylated CFTR augments its biogenesis by reducing retrograde retrieval of CFTR to the endoplasmic reticulum. This mechanism permits cAMP/PKA stimulation to make more CFTR available for anion secretion. PMID: 22278744
- Data identified 14-3-3beta as a prognostic biomarker. PMID: 22125622
- Modulation of matrix metalloproteinase 1 by 14-3beta/alpha, may be important in the alteration of collagenase production associated with airway remodelling in obstructive lung diseases PMID: 21948273
- Analyses show that high cytoplasmic levels of 14-3-3beta and epsilon independently correlate with poor disease-specific survival in vulvar squamous cell carcinoma cases. PMID: 21935479
- In glioblastoma PTPIP51 expression increases with the grade of malignancy and PTPIP51 interacts in situ with 14-3-3ss and PTP1B. PMID: 21972092
- Studies indicate that Akt phosphorylates acetylated-FoxO and then phosphorylated FoxO interacts with 14-3-3 proteins in the nucleus, which in turn results in cytoplasmic retention of FoxO. PMID: 21396404
- Studies indictet that the mammalian FoxO family consists of FoxO1, 3, 4 and 6 and are regulated by by AKT and 14-3-3 proteins. PMID: 21708191
- The expression levels of 14-3-3 protein beta/alpha were higher in urine samples from patients with renal cell carcinoma than in samples from healthy volunteers. PMID: 21553213
- Data indicate that gene analysis revealed an up-regulation of all four 14-3-3 isoforms beta, eta, gamma, and sigma. PMID: 21416292
- 14-3-3beta protein has the potential to be used as a diagnostic and prognostic biomarker in gastric cancer. PMID: 21598387
- 14-3-3beta interacts with human Dapper1, attenuating the ability of hDpr1 to promote Dishevelled (Dvl) degradation, thus enhancing Wnt signaling PMID: 21262972
- protein within PIV5-infected cells is phosphorylated at residue S369, binds the 14-3-3 protein, and is held away from sites of virus budding. PMID: 21147917
- 14-3-3 eta, beta, gamma and sigma isoforms were negatively expressed in meningioma PMID: 20388496
- Show that viral infection activates 14-3-3 protein mediated signaling pathways in human keratinocytes. PMID: 20070120
- Study identified an overrepresentation of focal amplifications of known (FGFR3, CCND1, MYC, MDM2) and novel candidate genes (MYBL2, YWHAB and SDC4) in stage Ta bladder carcinoma. PMID: 19821490
- 14-3-3beta, 14-3-3gamma, 14-3-3epsilon, 14-3-3eta and 14-3-3theta isoforms interact with the GPIb-IX complex in platelets PMID: 19558434
- Results show that three 14-3-3 isoforms, beta, gamma and eta, are DAL-1/Protein 4.1B-binding proteins. PMID: 11996670
- TSC2 associates with 14-3-3 in vivo PMID: 12364343
- KCNK3 potassium channels are shown to bear two cytoplasmic trafficking motifs: an N-terminal dibasic site that binds beta-COP to hold channels in ER and a C-terminal "release" site that binds the ubiquitous intracellular regulator 14-3-3beta PMID: 12437930
- 14-3-3 beta interacts with the TSC1-TSC2 complex and negatively regulates the function of the TSC proteins PMID: 12468542
- 14-3-3 binds to the IGF-1 receptor after IGF1R's serine autophosphorylation PMID: 12482592
- MK2 phosphorylates TSC2, which creates a 14-3-3 binding site and thus regulates the cellular function of the TSC2 tumor suppressor protein PMID: 12582162
- 14-3-3beta is a p90 ribosomal S6 kinase (RSK) isoform 1-binding protein that negatively regulates RSK kinase activity PMID: 12618428
- Immunoexpression of 14-3-3 proteins in glial cytoplasmic inclusions of multiple system atrophy. PMID: 12669242
- These findings suggest that deregulation of 14-3-3 protein amounts might contribute to the development of tumors in tuberous sclerosis patients. PMID: 14680818
- HS1 with EPEP insertion polymorphism transmits accelerated signals from B cell receptor and is involved in pathogenesis of systemic lupus erythematosus. PMID: 15022330
- novel binding site on 14-3-3 for integrin beta1 and a functional amphipathic groove, rather than its interaction with integrin beta1, is required for 14-3-3 regulation of cell spreading and migration. PMID: 15389601
- decreased expression of selected 14-3-3 genes is a common feature of schizophrenia PMID: 15726117
- These data show a novel interaction for 14-3-3 with NFL mRNA, and suggests that 14-3-3 may play a role in regulating NFL mRNA stability. PMID: 17098443
- 14-3-3beta binds DYRK1A PMID: 17229891
- PBF is a new cellular factor mediating the effects of PI3K/Akt signaling and 14-3-3 on cell growth PMID: 17531190
- Ror2 induces osteogenic differentiation, at least in part, through a release of the 14-3-3beta-mediated inhibition PMID: 17717073
- A new regulatory mechanism of myosin light-chain phosphatase via the interaction between 14-3-3 and MYPT1, is reported. PMID: 18094049
- changes in the expression of five 14-3-3 isoforms (beta, gamma, epsilon, tau, and zeta) during the apoptosis of JURL-MK1 and K562 cells. PMID: 19173300
- Tyrosine 3-monooxygenase/tryptophan S-monooxygenase activation protein, beta polypeptide is decreased during acute lung injury more in mice deficient in metallothionein 1/2 PMID: 16166738
顯示更多
收起更多
-
亞細胞定位:Cytoplasm. Melanosome.
-
蛋白家族:14-3-3 family
-
數據庫鏈接:
Most popular with customers
-
-
Phospho-YAP1 (S127) Recombinant Monoclonal Antibody
Applications: ELISA, WB, IHC
Species Reactivity: Human
-
-
-
-
-
-















