VAMP2
VAMP2,即囊泡相關膜蛋白2,別名synaptobrevin-2。它是一種在神經遞質釋放過程中起關鍵作用的蛋白質,主要在神經系統特異表達。VAMP2作為可溶性細胞膜的關鍵成分之一,參與形成SNARE(可溶性細胞膜因子附著蛋白受體)復合體,與syntaxin-1A和SNAP-25結合產生誘導融合孔形成的力量,從而介導突觸小泡的融合和神經遞質的釋放。VAMP2在生物學上的意義非常重大,它不僅參與神經遞質的正常釋放,影響神經系統的信號傳遞,還與多種神經退行性疾病和精神疾病的發生發展有關。VAMP2的活性受到多種因素的精細調控,包括蛋白質、脂質、代謝離子等。研究表明,VAMP2在不同區域的突觸小泡膜上展現出不同的構象,膽固醇豐富的微域對其構象和SNARE組裝有重要影響。此外,VAMP2的膜結合特性和活性狀態在突觸前細胞質中受到嚴格調控,這對于神經遞質釋放的時空精度至關重要。
熱銷產品
Recombinant Human Vesicle-associated membrane protein 2 (VAMP2) (CSB-EP025781HU)
驗證數據
(Tris-Glycine gel) Discontinuous SDS-PAGE (reduced) with 5% enrichment gel and 15% separation gel.
Based on the SEQUEST from database of E.coli host and target protein, the LC-MS/MS Analysis result of CSB-EP025781HU could indicate that this peptide derived from E.coli-expressed Homo sapiens (Human) VAMP2.
Based on the SEQUEST from database of E.coli host and target protein, the LC-MS/MS Analysis result of CSB-EP025781HU could indicate that this peptide derived from E.coli-expressed Homo sapiens (Human) VAMP2.
驗證數據
The image on the left is immunohistochemistry of paraffin-embedded Human brain tissue using CSB-PA055935(VAMP2 Antibody) at dilution 1/20, on the right is treated with synthetic peptide. (Original magnification: ×200)
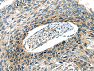
The image on the left is immunohistochemistry of paraffin-embedded Human esophagus cancer tissue using CSB-PA055935(VAMP2 Antibody) at dilution 1/20, on the right is treated with synthetic peptide. (Original magnification: ×200)
Gel: 12%SDS-PAGE,Lysate: 40 μg,Lane 1-3: Human fetal brain tissue, Mouse brain tissue, Hela cells,Primary antibody: CSB-PA055935(VAMP2 Antibody) at dilution 1/200 dilution,Secondary antibody: Goat anti rabbit IgG at 1/8000 dilution,Exposure time: 30 seconds
VAMP2 Antibodies
VAMP2 for Homo sapiens (Human)
| 產品貨號 | 產品名稱 | 種屬反應性 | 應用類型 |
|---|---|---|---|
| CSB-PA025781GA01HU | VAMP2 Antibody | Human,Mouse,Rat | ELISA |
| CSB-PA025781ESR2HU | VAMP2 Antibody | Human | ELISA, IHC |
VAMP2 Proteins
VAMP2 Proteins for Bos taurus (Bovine)
| 產品貨號 | 產品名稱 | 來源 |
|---|---|---|
| CSB-YP025781BO1 CSB-EP025781BO1 CSB-BP025781BO1 CSB-MP025781BO1 CSB-EP025781BO1-B |
Recombinant Bovine Vesicle-associated membrane protein 2 (VAMP2), partial | Yeast E.coli Baculovirus Mammalian cell In Vivo Biotinylation in E.coli |
| CSB-CF025781BO | Recombinant Bovine Vesicle-associated membrane protein 2 (VAMP2) | in vitro E.coli expression system |
VAMP2 Proteins for Rattus norvegicus (Rat)
| 產品貨號 | 產品名稱 | 來源 |
|---|---|---|
| CSB-YP025781RA1 CSB-BP025781RA1 CSB-MP025781RA1 CSB-EP025781RA1-B |
Recombinant Rat Vesicle-associated membrane protein 2 (Vamp2), partial | Yeast Baculovirus Mammalian cell In Vivo Biotinylation in E.coli |
| CSB-CF025781RA | Recombinant Rat Vesicle-associated membrane protein 2 (Vamp2) | in vitro E.coli expression system |
| CSB-EP025781RA1 | Recombinant Rat Vesicle-associated membrane protein 2 (Vamp2), partial | E.coli |
VAMP2 Proteins for Mus musculus (Mouse)
| 產品貨號 | 產品名稱 | 來源 |
|---|---|---|
| CSB-YP025781MO1 CSB-EP025781MO1 CSB-BP025781MO1 CSB-MP025781MO1 CSB-EP025781MO1-B |
Recombinant Mouse Vesicle-associated membrane protein 2 (Vamp2), partial | Yeast E.coli Baculovirus Mammalian cell In Vivo Biotinylation in E.coli |
| CSB-CF025781MO | Recombinant Mouse Vesicle-associated membrane protein 2 (Vamp2) | in vitro E.coli expression system |
VAMP2 Proteins for Xenopus laevis (African clawed frog)
| 產品貨號 | 產品名稱 | 來源 |
|---|---|---|
| CSB-YP025781XBE1 CSB-EP025781XBE1 CSB-BP025781XBE1 CSB-MP025781XBE1 CSB-EP025781XBE1-B |
Recombinant Xenopus laevis Vesicle-associated membrane protein 2 (vamp2), partial | Yeast E.coli Baculovirus Mammalian cell In Vivo Biotinylation in E.coli |
| CSB-CF025781XBE | Recombinant Xenopus laevis Vesicle-associated membrane protein 2 (vamp2) | in vitro E.coli expression system |
VAMP2 Proteins for Homo sapiens (Human)
| 產品貨號 | 產品名稱 | 來源 |
|---|---|---|
| CSB-YP025781HU1 CSB-BP025781HU1 CSB-MP025781HU1 CSB-EP025781HU1-B |
Recombinant Human Vesicle-associated membrane protein 2 (VAMP2), partial | Yeast Baculovirus Mammalian cell In Vivo Biotinylation in E.coli |
| CSB-EP025781HU | Recombinant Human Vesicle-associated membrane protein 2 (VAMP2) | E.coli |
| CSB-CF025781HU | Recombinant Human Vesicle-associated membrane protein 2 (VAMP2) | in vitro E.coli expression system |
VAMP2 Proteins for Macaca mulatta (Rhesus macaque)
| 產品貨號 | 產品名稱 | 來源 |
|---|---|---|
| CSB-YP889016MOW CSB-EP889016MOW CSB-BP889016MOW CSB-MP889016MOW CSB-EP889016MOW-B |
Recombinant Macaca mulatta Vesicle-associated membrane protein 2 (VAMP2), partial | Yeast E.coli Baculovirus Mammalian cell In Vivo Biotinylation in E.coli |






