RAB5A Recombinant Monoclonal Antibody
-
中文名稱:RAB5A Recombinant Monoclonal Antibody
-
貨號:CSB-RA150297A0HU
-
規格:¥1320
-
圖片:
-
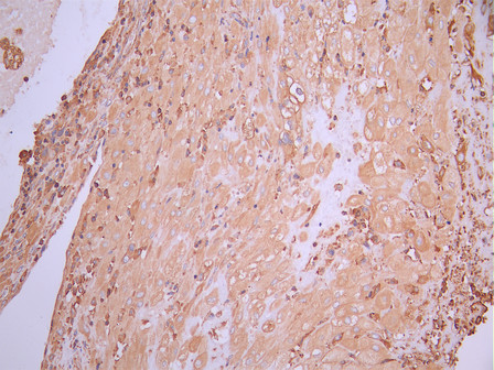
IHC image of CSB-RA150297A0HU diluted at 1:100 and staining in paraffin-embedded human placenta tissue performed on a Leica BondTM system. After dewaxing and hydration, antigen retrieval was mediated by high pressure in a citrate buffer (pH 6.0). Section was blocked with 10% normal goat serum 30min at RT. Then primary antibody (1% BSA) was incubated at 4°C overnight. The primary is detected by a Goat anti-rabbit polymer IgG labeled by HRP and visualized using 0.05% DAB.
-
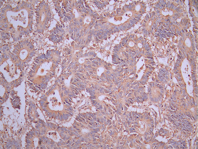
IHC image of CSB-RA150297A0HU diluted at 1:100 and staining in paraffin-embedded human colorectal cancer performed on a Leica BondTM system. After dewaxing and hydration, antigen retrieval was mediated by high pressure in a citrate buffer (pH 6.0). Section was blocked with 10% normal goat serum 30min at RT. Then primary antibody (1% BSA) was incubated at 4°C overnight. The primary is detected by a Goat anti-rabbit polymer IgG labeled by HRP and visualized using 0.05% DAB.
-
Overlay Peak curve showing HepG2 cells stained with CSB-RA150297A0HU (red line) at 1:100. The cells were fixed in 4% formaldehyde and permeated by 0.2% TritonX-100 for 10min. Then 10% normal goat serum to block non-specific protein-protein interactions followed by the antibody (1ug/1*106cells) for 45min at 4℃. The secondary antibody used was FITC-conjugated goat anti-rabbit IgG (H+L) at 1/200 dilution for 35min at 4℃.Control antibody (green line) was Rabbit IgG (1ug/1*106cells) used under the same conditions. Acquisition of >10, 000 events was performed.
-
-
其他:
產品詳情
-
Uniprot No.:
-
基因名:
-
別名:RAB 5 antibody; RAB 5A antibody; RAB5A antibody; RAB5A member RAS oncogene family antibody; RAB5A_HUMAN antibody; RAS associated protein RAB5A antibody; Ras related protein Rab 5A antibody; Ras-related protein Rab-5A antibody
-
反應種屬:Human
-
免疫原:A synthesized peptide from human RAB5A protein
-
免疫原種屬:Homo sapiens (Human)
-
標記方式:Non-conjugated
-
克隆類型:Monoclonal
-
抗體亞型:Rabbit IgG
-
純化方式:Affinity-chromatography
-
克隆號:18B10
-
濃度:It differs from different batches. Please contact us to confirm it.
-
保存緩沖液:Rabbit IgG in 10mM phosphate buffered saline , pH 7.4, 150mM sodium chloride, 0.05% BSA, 0.02% sodium azide and 50% glycerol.
-
產品提供形式:Liquid
-
應用范圍:ELISA, IHC, FC
-
推薦稀釋比:
Application Recommended Dilution IHC 1:50-1:200 FC 1:50-1:200 -
Protocols:
-
儲存條件:Upon receipt, store at -20°C or -80°C. Avoid repeated freeze.
-
貨期:Basically, we can dispatch the products out in 1-3 working days after receiving your orders. Delivery time maybe differs from different purchasing way or location, please kindly consult your local distributors for specific delivery time.
-
用途:For Research Use Only. Not for use in diagnostic or therapeutic procedures.
相關產品
靶點詳情
-
功能:Small GTPase which cycles between active GTP-bound and inactive GDP-bound states. In its active state, binds to a variety of effector proteins to regulate cellular responses such as of intracellular membrane trafficking, from the formation of transport vesicles to their fusion with membranes. Active GTP-bound form is able to recruit to membranes different sets of downstream effectors directly responsible for vesicle formation, movement, tethering and fusion. RAB5A is required for the fusion of plasma membranes and early endosomes. Contributes to the regulation of filopodia extension. Required for the exosomal release of SDCBP, CD63, PDCD6IP and syndecan. Regulates maturation of apoptotic cell-containing phagosomes, probably downstream of DYN2 and PIK3C3.
-
基因功能參考文獻:
- Low RAB5A expression is associated with polycystic ovary syndrome. PMID: 29626103
- The authors demonstrate that RABGEF1, the upstream factor of the endosomal Rab GTPase cascade, is recruited to damaged mitochondria via ubiquitin binding downstream of Parkin. RABGEF1 directs the downstream Rab proteins, RAB5 and RAB7A, to damaged mitochondria, whose associations are further regulated by mitochondrial Rab-GAPs. PMID: 29360040
- Low RAB5 expression is associated with glioma progression. PMID: 28575494
- The expression level of EMC-6 is significantly elevated in cervical cancer, without significant correlation with Beclin1 and Rab5a. PMID: 28742203
- Here the authors show that Rab5 is monoubiquitinated on K116, K140, and K165. Structural analysis combined with biochemical data revealed that interactions with downstream effectors were impeded in Rab5 monoubiquitinated at K140, whereas GDP release and GTP loading activities were altered in Rab5 monoubiquitinated at K165. PMID: 28968219
- Rab5a is overexpressed in oral cancer tissue samples and promotes the malignant phenotype through EMT and the ERK/MMP2 signaling pathway. PMID: 28849149
- Rab5 was found abundantly localized in macrophage rich areas of human atherosclerotic lesions.Rab5 plays an important role in modulating the intracellular cholesterol of macrophages and consequently mediating the formation of foam cells. PMID: 28899395
- The results were indicative that rabies virus N proficiently colocalized with Rab5/EEA1 and Rab7/LAMP1 in both cell lines at 24 and 48 h post-infection, while N titers significantly decreased in early infection of rabies virus. PMID: 28634871
- Membrane localization and dynamics of geranylgeranylated Rab5 hypervariable region has been reported. PMID: 28455099
- study elucidated a novel Malat1-miR-101-STMN1/RAB5A/ATG4D regulatory network that Malat1 activates autophagy and promotes cell proliferation by sponging miR-101 and upregulating STMN1, RAB5A and ATG4D expression in glioma cells PMID: 28834690
- In conclusion, mutant KRAS promotes endosomal degradation in PDAC cell lines, which is impaired by KRAS silencing. Moreover, KRAS silencing activates RAB5A upregulation and drives PDAC subtype-dependent modulation of endosome trafficking. PMID: 28867190
- siRNA knockdown of Rab5a or overexpression of miR-494 in human macrophages significantly inhibits the survival of the parasites PMID: 28650977
- our results show that Rab5a is overexpressed in pancreatic cancer and promotes aggressive biological behavior through regulation of the Wnt/beta-catenin signaling pathway. PMID: 28243729
- CMTM3 decreases EGFR expression, facilitates EGFR degradation, and inhibits the EGF-mediated tumorigenicity of gastric cancer cells by enhancing Rab5 activity. PMID: 27867015
- High RAS-associated protein RAB5 expression correlated with the presence of lymphatic invasion and venous invasion and low E-cadherin expression. PMID: 28103577
- downregulated Rab5a led to slowed cell growth, decreased numbers of migrated cells, decreased numbers of cells at the G0G1 phase and a higher apoptosis rate. However, PDGF significantly rescued these phenomena caused by siRNA against Rab5a PMID: 27666726
- results suggest a new mechanism in which Rab5 induces a change in flexibility of EEA1, generating an entropic collapse force that pulls the captured vesicle towards the target membrane to initiate docking and membrane fusion PMID: 27556945
- structural differences may provide an opportunity to selectively target one Rab5 state and lead to new approaches in the development of Rab5-specific therapies PMID: 28090783
- TTBK2 down-regulates GluK2 activity by decreasing the receptor protein abundance in the cell membrane via RAB5-dependent endocytosis. PMID: 27607061
- Results indicate that persistent rab5 overactivation through beta-cleaved carboxy-terminal fragment of APP-APPL1 interactions constitutes a novel APP-dependent pathogenic pathway in Alzheimer's disease PMID: 26194181
- Results demonstrate that DRG2 is an endosomal protein and a key regulator of Rab5 deactivation and Tfn recycling. PMID: 26582392
- Rab5a is involved in critical events not only at the beginning of the autophagy process with endosomal formation (initiation), but also later on, being important for autophagosome sealing and fusion with lysosomes through an interplay with Beclin 1. PMID: 27023526
- Findings indicate the role of CMTM7 protein in the regulation of epidermal growth factor receptor (EGFR)-AKT proto-oncogene protein signaling in tumor cells, and as a molecule related to Rab5 GTP-binding protein activation. PMID: 26528697
- Low expression of RAB5A is associated with metastasis in prostate cancer. PMID: 26473288
- PLD1 recovers the decrease in epidermal growth factor receptor (EGFR) endocytosis induced by HIF-1alpha independent of lipase activity via the Rab5-mediated endosome fusion pathway. PMID: 26680696
- Data show that Rab22a- and Rab5a-driven phagosomal uptake is a crucial step in the vesicular cascade that leads to elimination of spirochetes by macrophages. PMID: 26344766
- Higher expression of Rab5A was observed in colorectal cancer tissues and Rab5A may be identified as a useful predictor of metastasis and prognosis for CRC. PMID: 26261586
- Prelamin A/C was translocated to the nuclear membrane and formed a proper nuclear envelope. Rab5a was translocated to the early endosomes. The specific localizations of the prenylated proteins were dependent on intracellular oxygen concentration PMID: 26181205
- Rab5a is a key mediator of LPS-induced vascular hyperpermeability. PMID: 26112597
- findings suggest that Rab5 expression is required to maintain characteristics associated with cell transformation PMID: 26168723
- Membrane attack complexes activate noncanonical NF-kappaB by forming a novel Akt(+)NIK(+) signalosome on Rab5(+) endosomes. PMID: 26195760
- Rab5 activation as a tumor cell migration switch PMID: 25763873
- vacuolin-1 activates RAB5A to block autophagosome-lysosome fusion PMID: 25483964
- This process is inhibited in the presence of a Rab5 dominant-negative mutant. PMID: 25152371
- Bacteria controled the localization or function of host Rab5 and Rab7, and therefore modify the maturation from early to late phagosomes.[review] PMID: 25566515
- Recent studies have shown that the activation of Rab5 is a critical event for maintaining the dynamics of focal adhesions, which is fundamental in regulating not only cell migration but also tumor cell invasion PMID: 24727246
- activation, which is required for cell migration is promoted by Caveolin-1 PMID: 24659799
- In serum-deprivated HeLa cells with low endocytic activity there two types of EEA1-vesicles: the first one carries the both EEA1 and Rab5 at high levels; the second consists of weakly decorated EEA1-vesicles that can be both Rab5-positive and -negative. PMID: 25711083
- TNF-alpha augments invasion of Porphyromonas gingivalis in human gingival epithelial cells through increment of ICAM-1 and activation of Rab5. PMID: 25179218
- FGF21 has a role in promoting endothelial cell angiogenesis through a dynamin-2 and Rab5 dependent pathway PMID: 24848261
- Rab5 isoforms selectively oversee the multiple signaling and trafficking events associated with the endocytic network. PMID: 24587345
- Hepatitis B virus can downregulate miR-101-3p expression by inhibiting its promoter activity and that downregulation of miR-101-3p promotes hepatocellular carcinoma cell proliferation and migration by targeting Rab5a. PMID: 24788845
- vinculin binds to Rab5 and is required for Staphylococcus aureus uptake in cells. PMID: 24466349
- Overexpression of the GTPase RAB5A, a master regulator of endocytosis, is predictive of aggressive behavior and metastatic ability in human breast cancers. PMID: 25049275
- The predominant pathway mediated by Australian bat lyssavirus G envelope for internalization into HEK293T cells is clathrin-and actin-dependent also requiring Rab5. PMID: 24576301
- Rab5 activation is required to enhance cancer cell migration and invasion by promoting focal adhesion disassembly. PMID: 23813952
- Rab5a, Rab8a and Rab14 are major regulators of MT1-MMP trafficking and invasive migration of primary human macrophages. PMID: 23606746
- clathrin interacts with Rab5 and plays a fundamental role in the entry and intracellular survival of B. abortus via interaction with lipid rafts and actin rearrangement PMID: 23940042
- Data indicate that Rab5, Rab7 and Rab11 are involved in RGS4 traffics through plasma membrane recycling or endosome. PMID: 23733193
- Dominant negative (GDP-locked)-Rab5 and -Rab11 reproduced the effects of inhibitors of tubulin and actin, respectively, on the cycling of bradykinin B receptor. PMID: 23454239
顯示更多
收起更多
-
亞細胞定位:Cell membrane; Lipid-anchor; Cytoplasmic side. Early endosome membrane; Lipid-anchor. Melanosome. Cytoplasmic vesicle. Cell projection, ruffle. Membrane. Cytoplasm, cytosol. Cytoplasmic vesicle, phagosome membrane. Endosome membrane.
-
蛋白家族:Small GTPase superfamily, Rab family
-
數據庫鏈接:
Most popular with customers
-
-
YWHAB Recombinant Monoclonal Antibody
Applications: ELISA, WB, IHC, IF, FC
Species Reactivity: Human, Mouse, Rat
-
Phospho-YAP1 (S127) Recombinant Monoclonal Antibody
Applications: ELISA, WB, IHC
Species Reactivity: Human
-
-
-
-
-















