RAB5A
RAB5A,全稱為RAB5A, member RAS oncogene family,常見別名包括RAB5、RAB5A、Ras related protein Rab 5A。該蛋白在細胞物質運輸中發揮著重要作用,主要參與囊泡融合和囊泡再循環的過程。RAB5A通過與其他蛋白相互作用,調控細胞內囊泡的運輸和融合,進而影響細胞內物質的轉運和細胞功能。RAB5A蛋白的表達異常與多種疾病相關,包括乳腺癌、胃癌等。在乳腺癌中,RAB5A蛋白的表達與曲妥珠單抗emtansine的療效密切相關,可作為預測性生物標志物。在胃癌中,RAB5A蛋白的表達與腫瘤的浸潤深度、組織類型、臨床分期及淋巴結轉移等臨床特征顯著相關,可能參與胃癌的演進過程。針對RAB5A蛋白的藥物研發正在積極進行中,例如開發針對RAB5A蛋白的抑制劑,以阻斷其與底物的結合,從而抑制腫瘤細胞的生長和轉移。此外,RAB5A蛋白還可作為其他藥物的靶點,用于治療炎癥、免疫疾病等。隨著對RAB5A蛋白研究的深入,其在疾病發生發展中的作用將逐漸被揭示,為相關疾病的治療提供新的思路和方法。
熱銷產品
Recombinant Human Ras-related protein Rab-5A (RAB5A) (CSB-EP019213HU)
驗證數據
(Tris-Glycine gel) Discontinuous SDS-PAGE (reduced) with 5% enrichment gel and 15% separation gel.
RAB5A Antibody (CSB-PA019213ESR1HU)
驗證數據
Western blot
All lanes: Ras-related protein Rab-5A antibody at 5μg/ml
Lane 1: Mouse brain tissue
Lane 2: HL60 whole cell lysate
Lane 3: Hela whole cell lysate
Secondary
Goat polyclonal to rabbit IgG at 1/10000 dilution
Predicted band size: 24, 23 kDa
Observed band size: 24 kDa
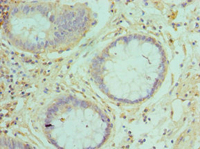
Immunohistochemistry of paraffin-embedded human colon cancer using CSB-PA019213ESR1HU at dilution of 1:100
RAB5A Antibodies
RAB5A for Homo sapiens (Human)
| 產品貨號 | 產品名稱 | 種屬反應性 | 應用類型 |
|---|---|---|---|
| CSB-PA019213GA01HU | RAB5A Antibody | Human,Mouse,Rat | ELISA,WB,IHC |
| CSB-PA019213HA01HU | RAB5A Antibody | Human | ELISA, IHC |
| CSB-PA019213HB01HU | RAB5A Antibody, HRP conjugated | Human | ELISA |
| CSB-PA019213HD01HU | RAB5A Antibody, Biotin conjugated | Human | ELISA |
| CSB-PA019213ESR1HU | RAB5A Antibody | Human, Mouse | ELISA, WB, IHC |
| CSB-PA280354 | RAB5A Antibody | Human,Mouse,Rat | ELISA,WB |
| CSB-PA005820 | RAB5A Antibody | Human,Mouse,Rat | WB, ELISA |
| CSB-PA053446 | RAB5A Antibody | Human,Mouse,Rat | ELISA,WB |
| CSB-PA298327 | RAB5A Antibody | Human,Mouse,Rat | ELISA,WB |
| CSB-PA019213EA01HU | RAB5A Antibody | Human, Mouse, Rat | ELISA, WB, IHC, IF |
| CSB-PA019213EC01HU | RAB5A Antibody, FITC conjugated | Human | |
| CSB-PA019213ED01HU | RAB5A Antibody, Biotin conjugated | Human | ELISA |
RAB5A Proteins
RAB5A Proteins for Homo sapiens (Human)
| 產品貨號 | 產品名稱 | 來源 |
|---|---|---|
| CSB-YP019213HU CSB-BP019213HU CSB-MP019213HU CSB-EP019213HU-B |
Recombinant Human Ras-related protein Rab-5A (RAB5A) | Yeast Baculovirus Mammalian cell In Vivo Biotinylation in E.coli |
| CSB-EP019213HU | Recombinant Human Ras-related protein Rab-5A (RAB5A) | E.coli |
RAB5A Proteins for Canis familiaris (Dog) (Canis lupus familiaris)
| 產品貨號 | 產品名稱 | 來源 |
|---|---|---|
| CSB-YP019213DO CSB-EP019213DO CSB-BP019213DO CSB-MP019213DO CSB-EP019213DO-B |
Recombinant Dog Ras-related protein Rab-5A (RAB5A) | Yeast E.coli Baculovirus Mammalian cell In Vivo Biotinylation in E.coli |
RAB5A Proteins for Macaca fascicularis (Crab-eating macaque) (Cynomolgus monkey)
| 產品貨號 | 產品名稱 | 來源 |
|---|---|---|
| CSB-YP019213MOV CSB-EP019213MOV CSB-BP019213MOV CSB-MP019213MOV CSB-EP019213MOV-B |
Recombinant Macaca fascicularis Ras-related protein Rab-5A (RAB5A) | Yeast E.coli Baculovirus Mammalian cell In Vivo Biotinylation in E.coli |
RAB5A Proteins for Bos taurus (Bovine)
| 產品貨號 | 產品名稱 | 來源 |
|---|---|---|
| CSB-YP609411BO CSB-EP609411BO CSB-BP609411BO CSB-MP609411BO CSB-EP609411BO-B |
Recombinant Bovine Ras-related protein Rab-5A (RAB5A) | Yeast E.coli Baculovirus Mammalian cell In Vivo Biotinylation in E.coli |
RAB5A Proteins for Dictyostelium discoideum (Slime mold)
| 產品貨號 | 產品名稱 | 來源 |
|---|---|---|
| CSB-YP768181DKK CSB-EP768181DKK CSB-BP768181DKK CSB-MP768181DKK CSB-EP768181DKK-B |
Recombinant Dictyostelium discoideum Ras-related protein Rab-5A (rab5A) | Yeast E.coli Baculovirus Mammalian cell In Vivo Biotinylation in E.coli |
RAB5A Proteins for Mus musculus (Mouse)
| 產品貨號 | 產品名稱 | 來源 |
|---|---|---|
| CSB-YP863418MO CSB-EP863418MO CSB-BP863418MO CSB-MP863418MO CSB-EP863418MO-B |
Recombinant Mouse Ras-related protein Rab-5A (Rab5a) | Yeast E.coli Baculovirus Mammalian cell In Vivo Biotinylation in E.coli |






