IL11RA Recombinant Monoclonal Antibody
-
中文名稱:IL11RA Recombinant Monoclonal Antibody
-
貨號:CSB-RA184907A0HU
-
規格:¥1320
-
圖片:
-
Western Blot
Positive WB detected in: Jurkat whole cell lysate(30μg), Hela whole cell lysate(30μg), HT-29 whole cell lysate(30μg), SH-SY5Y whole cell lysate(30μg), THP-1 whole cell lysate(30μg)
All lanes: IL 11 antibody at 1:1000
Secondary
Goat polyclonal to rabbit IgG at 1/40000 dilution
Predicted band size: 45 kDa
Observed band size: 55 kDa
Exposure time:20s -
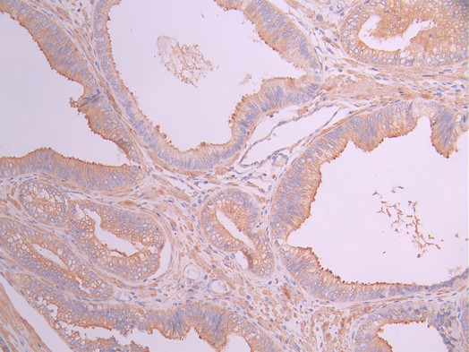
IHC image of CSB-RA184907A0HU diluted at 1:100 and staining in paraffin-embedded human prostate cancer performed on a Leica BondTM system. After dewaxing and hydration, antigen retrieval was mediated by high pressure in a citrate buffer (pH 6.0). Section was blocked with 10% normal goat serum 30min at RT. Then primary antibody (1% BSA) was incubated at 4°C overnight. The primary is detected by a Goat anti-rabbit polymer IgG labeled by HRP and visualized using 0.05% DAB.
-
-
其他:
產品詳情
-
Uniprot No.:
-
基因名:
-
別名:Interleukin-11 receptor subunit alpha (IL-11 receptor subunit alpha) (IL-11R subunit alpha) (IL-11R-alpha) (IL-11RA), IL11RA
-
反應種屬:Human
-
免疫原:A synthesized peptide from human IL11RA protein
-
免疫原種屬:Homo sapiens (Human)
-
標記方式:Non-conjugated
-
克隆類型:Monoclonal
-
抗體亞型:Rabbit IgG
-
純化方式:Affinity-chromatography
-
克隆號:6B2
-
濃度:It differs from different batches. Please contact us to confirm it.
-
保存緩沖液:Preservative: 0.03% Proclin 300
Constituents: 50% Glycerol, 0.01M PBS, PH 7.4 -
產品提供形式:Liquid
-
應用范圍:ELISA, WB, IHC
-
推薦稀釋比:
Application Recommended Dilution WB 1:500-1:2000 IHC 1:50-1:200 -
Protocols:
-
儲存條件:Upon receipt, store at -20°C or -80°C. Avoid repeated freeze.
-
貨期:Basically, we can dispatch the products out in 1-3 working days after receiving your orders. Delivery time maybe differs from different purchasing way or location, please kindly consult your local distributors for specific delivery time.
-
用途:For Research Use Only. Not for use in diagnostic or therapeutic procedures.
相關產品
靶點詳情
-
功能:Receptor for interleukin-11 (IL11). The receptor systems for IL6, LIF, OSM, CNTF, IL11 and CT1 can utilize IL6ST for initiating signal transmission. The IL11/IL11RA/IL6ST complex may be involved in the control of proliferation and/or differentiation of skeletogenic progenitor or other mesenchymal cells (Probable). Essential for the normal development of craniofacial bones and teeth. Restricts suture fusion and tooth number.; Soluble form of IL11 receptor (sIL11RA) that acts as an agonist of IL11 activity. The IL11:sIL11RA complex binds to IL6ST/gp130 on cell surfaces and induces signaling also on cells that do not express membrane-bound IL11RA in a process called IL11 trans-signaling.; Soluble form of IL11 receptor (sIL11RA) that acts as an agonist of IL11 activity. The IL11:sIL11RA complex binds to IL6ST/gp130 on cell surfaces and induces signaling also on cells that do not express membrane-bound IL11RA in a process called IL11 trans-signaling.
-
基因功能參考文獻:
- The results presented here reveal an additional function in classic IL-11 signaling, highlighting the importance of the IL-11R stalk in IL-11 signaling PMID: 29523682
- The D2 domain of the IL-11R contains two N-linked glycans, which are dispensable for its biological activity, but differentially control maturation and intracellular trafficking of the receptor. PMID: 29533934
- High IL11RA expression is associated with endometrioid tumours. PMID: 28186993
- Report IL11RA and MELK amplification in gastric cancer cell lines and primary gastric adenocarcinomas. PMID: 27920471
- These results indicate that IL-11Ralpha is a potential target for the development of molecular targeted therapy and noninvasive tumor imaging in human osteosarcoma. PMID: 25524575
- IL11RA promoter polymorphism--rs1061758--may be associated with the risk of papillary thyroid cancer in the Korean population. PMID: 21982075
- data suggest that IL-11Ralpha-CAR T cells may represent a new therapy for patients with osteosarcoma pulmonary metastases PMID: 22075555
- IL11 as well as IL11RA are likely to play a role in the progression of endometrial carcinoma. PMID: 20553623
- IL-11Ralpha was expressed in both epithelial and stromal cells, with epithelial staining being more intense PMID: 12200462
- the interleukin-11 receptor alpha-chain has evidence of antiapoptotic effects in human colonic epithelial cells PMID: 14701802
- IL-11Ralpha is a candidate target for translational clinical trials against advanced and metastatic prostate cancer. PMID: 14744752
- interleukin-11 receptor is expressed in CD38-positive cells from patients with multiple myeloma PMID: 15512823
- High expression of interleukin-11 receptor alpha is associated with Hodgkin's lymphoma PMID: 16291580
- High interleukin 11 receptor is associated with breast cancer PMID: 16614887
顯示更多
收起更多
-
相關疾病:Craniosynostosis and dental anomalies (CRSDA)
-
亞細胞定位:[Interleukin-11 receptor subunit alpha]: Membrane; Single-pass type I membrane protein.; [Soluble interleukin-11 receptor subunit alpha]: Secreted.; [Isoform HCR2]: Secreted.
-
蛋白家族:Type I cytokine receptor family, Type 3 subfamily
-
組織特異性:Expressed in a number of cell lines, including the myelogenous leukemia cell line K-562, the megakaryocytic leukemia cell line M-07e, the erythroleukemia cell line TF-1, and the osteosarcoma cell lines, MG-63 and SaOS-2. Also expressed in normal and malig
-
數據庫鏈接:
Most popular with customers
-
-
YWHAB Recombinant Monoclonal Antibody
Applications: ELISA, WB, IHC, IF, FC
Species Reactivity: Human, Mouse, Rat
-
Phospho-YAP1 (S127) Recombinant Monoclonal Antibody
Applications: ELISA, WB, IHC
Species Reactivity: Human
-
-
-
-
-















