IL11RA
白細胞介素11受體α鏈(IL-11RA)是細胞因子IL-11的關鍵結合蛋白,又稱CDw211a或IL-11Rα。IL11RA通過與IL-11結合形成復合物,激活細胞內的JAK-STAT等關鍵調控路徑,在組織修復、胚胎發育和造血功能中發揮重要作用。IL-11RA在維持骨髓微環境、調控血小板生成方面具有特殊功能,其異常表達可能引發纖維化疾病、骨質疏松及某些血液系統腫瘤。近年來,該受體在實體瘤微環境中的作用備受關注,特別是在促進結直腸癌轉移和卵巢癌化療耐藥方面的機制研究取得突破。針對IL-11RA的靶向療法已進入轉化階段,包括單克隆抗體X203和融合蛋白類藥物已完成臨床前評估,其中針對骨髓纖維化的候選藥物正在進行II期臨床試驗。此外,小分子抑制劑在阻斷IL-11信號傳導方面展現出調控纖維化進程的潛力,為治療肺纖維化和肝硬化提供了新思路。
熱銷產品
IL11RA Antibody (CSB-PA623927ESR1HU)
驗證數據
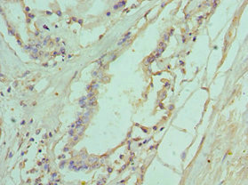
Immunohistochemistry of paraffin-embedded human prostate tissue using CSB-PA623927ESR1HU at dilution of 1:100
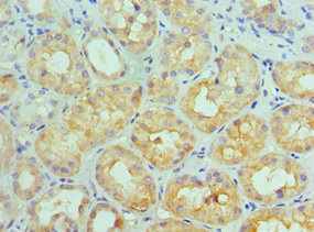
Immunohistochemistry of paraffin-embedded human kidney tissue using CSB-PA623927ESR1HU at dilution of 1:100
IL11RA Antibodies
IL11RA for Homo sapiens (Human)
| 產品貨號 | 產品名稱 | 種屬反應性 | 應用類型 |
|---|---|---|---|
| CSB-PA011584GA01HU | IL11RA Antibody | Human,Mouse,Rat | ELISA |
| CSB-PA623927ESR1HU | IL11RA Antibody | Human | ELISA, IHC |
| CSB-PA043792 | IL11RA Antibody | Human | ELISA,WB |
| CSB-PA003018 | IL11RA Antibody | Human | WB, ELISA |
| CSB-PA617473 | IL11RA Antibody | Human | ELISA,WB |
| CSB-PA049750 | IL11RA Antibody | Human | ELISA,WB |
IL11RA Proteins
IL11RA Proteins for Homo sapiens (Human)
| 產品貨號 | 產品名稱 | 來源 |
|---|---|---|
| CSB-YP623927HU CSB-EP623927HU CSB-BP623927HU CSB-MP623927HU CSB-EP623927HU-B |
Recombinant Human Interleukin-11 receptor subunit alpha (IL11RA), partial | Yeast E.coli Baculovirus Mammalian cell In Vivo Biotinylation in E.coli |
IL11RA Proteins for Pongo abelii (Sumatran orangutan)
| 產品貨號 | 產品名稱 | 來源 |
|---|---|---|
| CSB-YP729100PYX CSB-EP729100PYX CSB-BP729100PYX CSB-MP729100PYX CSB-EP729100PYX-B |
Recombinant Pongo abelii Interleukin-11 receptor subunit alpha (IL11RA), partial | Yeast E.coli Baculovirus Mammalian cell In Vivo Biotinylation in E.coli |






