PROK1 Antibody
-
中文名稱:PROK1兔多克隆抗體
-
貨號:CSB-PA018746LA01HU
-
規格:¥440
-
圖片:
-
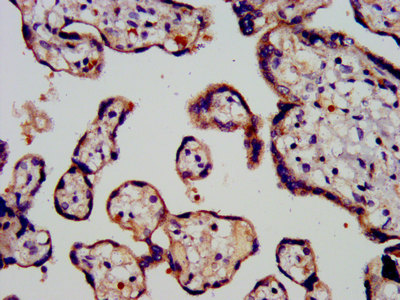
IHC image of CSB-PA018746LA01HU diluted at 1:200 and staining in paraffin-embedded human placenta tissue performed on a Leica BondTM system. After dewaxing and hydration, antigen retrieval was mediated by high pressure in a citrate buffer (pH 6.0). Section was blocked with 10% normal goat serum 30min at RT. Then primary antibody (1% BSA) was incubated at 4°C overnight. The primary is detected by a biotinylated secondary antibody and visualized using an HRP conjugated SP system.
-
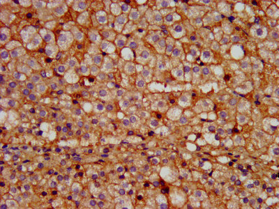
IHC image of CSB-PA018746LA01HU diluted at 1:200 and staining in paraffin-embedded human adrenal gland tissue performed on a Leica BondTM system. After dewaxing and hydration, antigen retrieval was mediated by high pressure in a citrate buffer (pH 6.0). Section was blocked with 10% normal goat serum 30min at RT. Then primary antibody (1% BSA) was incubated at 4°C overnight. The primary is detected by a biotinylated secondary antibody and visualized using an HRP conjugated SP system.
-
-
其他:
產品詳情
-
產品名稱:Rabbit anti-Homo sapiens (Human) PROK1 Polyclonal antibody
-
Uniprot No.:
-
基因名:
-
別名:Black mamba toxin related protein antibody; EG VEGF antibody; EG-VEGF antibody; EGVEGF antibody; Endocrine-gland-derived vascular endothelial growth factor antibody; Mambakine antibody; PK1 antibody; PRK1 antibody; PROK1 antibody; PROK1_HUMAN antibody; Prokineticin 1 antibody; Prokineticin-1 antibody
-
宿主:Rabbit
-
反應種屬:Human
-
免疫原:Recombinant Human Prokineticin-1 protein (20-105AA)
-
免疫原種屬:Homo sapiens (Human)
-
標記方式:Non-conjugated
本頁面中的產品,PROK1 Antibody (CSB-PA018746LA01HU),的標記方式是Non-conjugated。對于PROK1 Antibody,我們還提供其他標記。見下表:
-
克隆類型:Polyclonal
-
抗體亞型:IgG
-
純化方式:>95%, Protein G purified
-
濃度:It differs from different batches. Please contact us to confirm it.
-
保存緩沖液:Preservative: 0.03% Proclin 300
Constituents: 50% Glycerol, 0.01M PBS, pH 7.4 -
產品提供形式:Liquid
-
應用范圍:ELISA, IHC
-
推薦稀釋比:
Application Recommended Dilution IHC 1:200-1:500 -
Protocols:
-
儲存條件:Upon receipt, store at -20°C or -80°C. Avoid repeated freeze.
-
貨期:Basically, we can dispatch the products out in 1-3 working days after receiving your orders. Delivery time maybe differs from different purchasing way or location, please kindly consult your local distributors for specific delivery time.
-
用途:For Research Use Only. Not for use in diagnostic or therapeutic procedures.
相關產品
靶點詳情
-
功能:Potently contracts gastrointestinal (GI) smooth muscle. Induces proliferation, migration and fenestration (the formation of membrane discontinuities) in capillary endothelial cells derived from endocrine glands. Has little or no effect on a variety of other endothelial and non-endothelial cell types. Induces proliferation and differentiation, but not migration, of enteric neural crest cells. Directly influences neuroblastoma progression by promoting the proliferation and migration of neuroblastoma cells. Positively regulates PTGS2 expression and prostaglandin synthesis. May play a role in placentation. May play a role in normal and pathological testis angiogenesis.
-
基因功能參考文獻:
- PROK1 or MMP-2 in the amniotic fluid do not have a role in the prediction of adverse pregnancy outcomes. PMID: 29405963
- Elevated PROK1 in the first pregnancy trimester is a more effective marker than PAPP-A in the prediction of pre-eclampsia and fetal growth restriction. PMID: 28675948
- The VEGF/sVEGF-R1 ratio in follicular fluid on the day of oocyte retrieval in women undergoing IVF procedure, regardless of the type of stimulation protocol, might predict the risk of developing ovarian hyperstimulation syndrome (OHSS). To the best of our knowledge this is the first paper in the literature to show interplay among VEGF, EG-VEGF and sVEGF-R1 and the correlation between their concentration and OHSS risk. PMID: 28820403
- These findings demonstrate a novel function of primary cilia in controlling EG-VEGF-regulated trophoblast invasion and reveal the underlying molecular mechanism. PMID: 27736039
- miR-346 and miR-582-3p regulate EG-VEGF-induced trophoblast invasion through repressing MMP 2 and MMP 9, and may become novel diagnostic biomarkers or therapeutic targets for EG-VEGF-related obstetric disorders. (c) 2016 BioFactors, 43(2):210-219, 2017. PMID: 27619846
- Each follicular fluid (FF) was individually aspirated and FF/serum EG-VEGF, inhibin-a, and FF IGF-1 levels were evaluated. The pregnant group was characterized by increased numbers of WVFs (p = 0.044), a WVE (p = 0.022), and increased levels of FF IGF-1 (p = 0.001) and serum EG-VEGF (p = 0.03). PMID: 27484063
- Results show the biological effects of PROK1-V67I on cell functions are similar to those of wild type, and the common variant of V67I may act as a modifier in the PROK1-PROKR system through down-regulation of PROK1 expression. PMID: 26828479
- EG-VEGF and its receptor PKR1 might play a role in the pathogenesis of adrenocortical tumors and could serve as prognostic markers for this rare malignant disease. PMID: 26475302
- The prognosis was poorer in colorectal cancers that expressed both PROK1 and VEGF relative to the cases that expressed only 1 protein, and the expression of both proteins was found to be an independent prognostic factor. PMID: 26318037
- PROK1 levels in follicular fluid and fertilization culture media could constitute new predictive noninvasive markers of successful embryo implantation in conventional in vitro fertilization-embryo transfer PMID: 26401590
- Simultaneous targeting of both angiogenic growth factors (VEGF/PROK1) may prove more useful in colorectal cancer PMID: 25788276
- High Prokineticin 1 protein expression is associated with sporadic colorectal cancer. PMID: 25331005
- Expression of PROK1 and PROKR1 was significantly higher in mid-gestation ovaries (17-20 wk) than at earlier gestations (8-11 and 14-16 wk). PMID: 26192875
- More importantly this paper argues for EG-VEGF clinical relevance as a potential biomarker of the onset of pregnancy pathologies and discusses its potential usefulness for future therapeutic directions. PMID: 24955357
- EG-VEGF and VEGFA systems shared several canonical signaling pathways that may contribute to gene-gene interactions, including the Akt, IL-8, EGFR, MAPK, SRC, VHL, HIF-1A and STAT3. PMID: 24671265
- Study corroborates the clinical relevance of the EG-VEGF system in human early pregnancy, and provides evidence for the gene-gene interactions of EG-VEGF and PROKR variants. PMID: 25064403
- An increased mRNA expression of PROK1 and LIF could be one of the several abnormalities characterizing the endometrium in women recurrent pregnancy loss. PMID: 25128195
- Defective placental maturation is associated with an imbalance of expression of basic fibroblast growth factor (FGF) and PK1. PMID: 23891065
- preliminary data suggest a high potential of prokineticin 1 in the success of implantation and pregnancy PMID: 23972922
- number of blood vessels in PROK1-positive primary gastrointestinal lesions was higher than that in PROK1-negative primary lesions. CONCLUSION: PROK1 expression might be related to the extent of malignancy in gastrointestinal cancer PMID: 24324064
- EG-VEGF as a new placental growth factor acting during the first trimester of pregnancy, established its mechanism of action, and provide evidence for its deregulation in FGR. PMID: 22941044
- During the first trimester of pregnancy, hCG and EG-VEGF exhibit the same pattern of expression, suggesting that EG-VEGF is potentially regulated by hCG. PMID: 22138749
- Findings, together with the detection of sequence variants in PROKR1, PROK1 and PROKR2 genes associated to HSCR and, in some cases in combination with RET or GDNF mutations, provide evidence to consider them as susceptibility genes for HSCR. PMID: 21858136
- Data show that decidualization was associated with increased expression of 428 genes including SCARA5 (181-fold), DKK1 (71-fold) and PROK1 (32-fold), and decreased expression of 230 genes including MMP-7 (35-fold) and SFRP4 (21-fold). PMID: 21858178
- identified a novel signalling pathway whereby PROK1 can induce the expression of DKK1 in the human endometrium and first trimester decidua. PMID: 21546446
- The data shows that much more PK1 in healthy pregnant women is produced than those suffering from preeclampsia. PMID: 21876489
- Prok1 is significantly increased in ppapillary thyroid cancer, and its expression in PTC is related to BRAF mutation. PMID: 21385081
- CTGF expression in early pregnancy decidua is regulated by PROK1, via activation of the Gq, PLC, cSrc, EGFR, MAPK/ERK kinase pathway and has a role in cell adhesion. PMID: 21098624
- Data show that expression of PK1 and PKR1 was detected in primary MM cells and myeloma cell lines. PMID: 20795791
- When endometrial stromal cells from both groups of women were differentiated to decidual phenotype, PROK1 mRNA was up-regulated and PR and HOXA10 mRNA were down-regulated to the same extent. PMID: 20400074
- findings identify EG-VEGF as a novel paracrine regulator of trophoblast invasion. We speculate that a failure to correctly down-regulate placental expression of EG-VEGF at the end of the first trimester of pregnancy might lead to PE PMID: 19602057
- Altered expression of PROK1 could be one of the several biochemical abnormalities characterizing eutopic endometrium in endometriosis. PMID: 19285664
- Treatment of human decidua with a lentiviral miRNA to abolish endogenous PROK1 expression results in a significant reduction in IL-11 expression and secretion PMID: 19801577
- EG-VEGF expression was significantly higher in ectopic endometriotic tissue when compared to eutopic samples in infertile women. PMID: 19135668
- The role of EG-VEGF in the regulation of angiogenesis in endocrine glands. Review. PMID: 12858543
- acting via either PK-R2 or PK-R1, prokineticin 1 may have angiogenic as well as nonangiogenic functions in the ovary PMID: 12915658
- Expression of VEGFR-1 mRNA, but not EG-VEGF and the other three VEGF receptors studied, was elevated in preeclamptic vs. normal placentas. PMID: 15126581
- Human EG-VEGF may play a role in angiogenesis both during the early endocrine development of testis and in the adult testis as well as in Leydig cell tumor growth. PMID: 15292351
- EG-VEGF may only play a role in vascular function of peri-implantation endometrium, but is unlikely to be associated with the etiology of endometrial cancer development. PMID: 16210375
- PK1 could be one of the causative factors of age-related macular degeneration (AMD); transgenic mice expressing human PK1 exhibit choroidal neovascularization in a model that may be useful for establishing treatments for the exudative form of AMD. PMID: 16263331
- Inverse resgulation of mRNA expression by ovarian cells may suggest that in addition to its angiogenic effects, EG-VEGF/PK-1 may also play other roles in ovary. (review) PMID: 16320832
- High EG-VEGF is associated with carcinogenesis and portal vein tumor thrombus formation in human hepatocellular carcinoma PMID: 17167981
- Overexpressed Prk1 conferred Adriamycin resistance in a human embryo kidney cell line. PMID: 17178891
- EG-VEGF/Prok-1 signaling has a role in neuroblastoma progression PMID: 17289879
- Either EG-VEGF is not exclusive of endocrine organs, or the pancreas should be considered as a functional steroidogenic tissue. PMID: 17683928
- PROK1 and PROKR1 expression is elevated in human decidua during early pregnancy PROK1-PROKR1 interaction regulates expression of a host of implantation-related genes. PMID: 18339712
- EG-VEGF may enhance cell proliferation through the activation of MAPK pathway, although not through the Akt pathway. PMID: 18571163
- High PK1 mRNA levels were observed only in cultured pancreatic stellate cells and microdissected islet cells, but not in cancer cells, and PK1 protein was localized mainly in islets and cancer-associated stromal cells. PMID: 19077468
- hCG-mediated LIF expression in the endometrium is dependent on prior induction of PROK1. PMID: 19255255
- EG-VEGF protects pancreatic cancer cells from apoptosis through upregulation of myeloid cell leukemia-1, an anti-apoptotic protein of the bcl-2 family. PMID: 19523441
顯示更多
收起更多
-
亞細胞定位:Secreted.
-
蛋白家族:AVIT (prokineticin) family
-
組織特異性:Localizes to glandular epithelium, stroma and vascular epithelial cells of first trimester decidua (at protein level). Up-regulated in first trimester decidua when compared with non-pregnant endometrium. Expressed in the steroidogenic glands, ovary, testi
-
數據庫鏈接:
Most popular with customers
-
-
YWHAB Recombinant Monoclonal Antibody
Applications: ELISA, WB, IHC, IF, FC
Species Reactivity: Human, Mouse, Rat
-
Phospho-YAP1 (S127) Recombinant Monoclonal Antibody
Applications: ELISA, WB, IHC
Species Reactivity: Human
-
-
-
-
-















