PIK3R3 Antibody
-
中文名稱:PIK3R3兔多克隆抗體
-
貨號:CSB-PA622420
-
規格:¥1100
-
圖片:
-
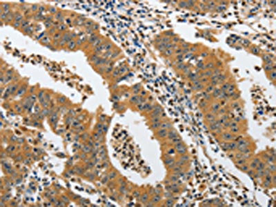
The image on the left is immunohistochemistry of paraffin-embedded Human colon cancer tissue using CSB-PA622420(PIK3R3 Antibody) at dilution 1/45, on the right is treated with synthetic peptide. (Original magnification: ×200)
-
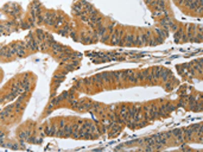
The image on the left is immunohistochemistry of paraffin-embedded Human gastric cancer tissue using CSB-PA622420(PIK3R3 Antibody) at dilution 1/45, on the right is treated with synthetic peptide. (Original magnification: ×200)
-
-
其他:
產品詳情
-
Uniprot No.:
-
基因名:
-
別名:DKFZp686P05226 antibody; FLJ41892 antibody; OTTHUMP00000009783 antibody; OTTHUMP00000009786 antibody; p55 antibody; p55 gamma antibody; P55G_HUMAN antibody; p55PIK antibody; Phosphatidylinositol 3 kinase regulatory subunit gamma antibody; Phosphatidylinositol 3 kinase regulatory subunit polypeptide 3 antibody; Phosphatidylinositol 3 kinase, regulatory subunit, polypeptide 3 (p55, gamma) antibody; Phosphatidylinositol 3-kinase 55 kDa regulatory subunit gamma antibody; Phosphatidylinositol 3-kinase regulatory subunit gamma antibody; Phosphoinositide 3 kinase regulatory subunit 3 (gamma) antibody; Phosphoinositide 3 kinase regulatory subunit 3 antibody; Phosphoinositide 3 kinase regulatory subunit polypeptide 3 antibody; Phosphoinositide 3 kinase, regulatory subunit 3 (p55, gamma) antibody; Phosphoinositide 3 kinase, regulatory subunit, polypeptide 3 (p55, gamma) antibody; PI3 kinase p85 subunit gamma antibody; PI3-kinase regulatory subunit gamma antibody; PI3-kinase subunit p55-gamma antibody; PI3K regulatory subunit gamma antibody; Pik3r3 antibody; PtdIns 3 kinase p85 gamma antibody; PtdIns-3-kinase regulatory subunit gamma antibody; PtdIns-3-kinase regulatory subunit p55-gamma antibody
-
宿主:Rabbit
-
反應種屬:Human,Mouse,Rat
-
免疫原:Synthetic peptide of Human PIK3R3
-
免疫原種屬:Homo sapiens (Human)
-
標記方式:Non-conjugated
-
抗體亞型:IgG
-
純化方式:Antigen affinity purification
-
濃度:It differs from different batches. Please contact us to confirm it.
-
保存緩沖液:-20°C, pH7.4 PBS, 0.05% NaN3, 40% Glycerol
-
產品提供形式:Liquid
-
應用范圍:ELISA,IHC
-
推薦稀釋比:
Application Recommended Dilution ELISA 1:2000-1:5000 IHC 1:50-1:100 -
Protocols:
-
儲存條件:Upon receipt, store at -20°C or -80°C. Avoid repeated freeze.
-
貨期:Basically, we can dispatch the products out in 1-3 working days after receiving your orders. Delivery time maybe differs from different purchasing way or location, please kindly consult your local distributors for specific delivery time.
-
用途:For Research Use Only. Not for use in diagnostic or therapeutic procedures.
相關產品
靶點詳情
-
功能:Binds to activated (phosphorylated) protein-tyrosine kinases through its SH2 domain and regulates their kinase activity. During insulin stimulation, it also binds to IRS-1.
-
基因功能參考文獻:
- Results showed that PIK3R3 was upregulated in colorectal cancer (CRC) tissues and inversely correlated with miR-411 expression. Its expression is regulated by miR-411 which targets its 3'UTR. PMID: 29207180
- PIK3R3 could promote the metastasis of Pancreatic Cancer by facilitating ZEB1 induced Epithelial-Mesenchymal Transition. PMID: 29719293
- Using case-control study and functional analyses, study have identified SNP rs7536272 A > G, located in the promoter region of PIK3R3, acts as a risk factor of GC through enhancing the transcriptional activity of PIK3R3, contributing to increased expression of PIK3R3. PMID: 29802999
- The findings suggest that miR-212 acts as a tumor suppressor in colorectal cancer by directly targeting PIK3R3. PMID: 28944887
- miR-181a2/181b2 prominently dampened cell-cycle progression, suppressed cell growth, and promoted apoptosis of tumor cells in vitro They also effectively impeded tumor formation and growth in vivo miR-181a2/181b2 exert the tumor suppressor ability by depressing the direct target PIK3R3 (p55gamma) and consequently modulating the PIK3R3/Akt/FoxO signaling pathway PMID: 27503199
- p55PIK significantly stimulated the expression of AFP by activating NF-kappaB signaling pathway in hepatocellular carcinoma cells. PMID: 28970114
- Study showed that PIK3R3 was a target of miR-365 and its expression was upregulated and inversely correlated with miR-365 expression in glioma tissues. PMID: 28260020
- PIK3R3 is a direct and functional downstream target of miR-152. PIK3R3 expression was upregulated and was inversely correlated with miR-152 expression in clinical CRC tissues. Downregulation of PIK3R3 mimicked the tumor-suppressive effects of miR-152 overexpression in CRC cells. PMID: 26820128
- p55PIK-PI3K signaling can contribute to imatinib resistance in gastrointestinal stromal tumors by increasing KIT expression. PMID: 26587973
- The proliferation, migration and invasion was decreased in ovarian SKOV3 when HOTAIR or PIK3R3 was silenced. PMID: 26826873
- PIK3R3 was identified as a crucial target gene of miR-132. PMID: 26252738
- our findings provide new insights into tumor suppression by miR-511 by negatively regulating the PIK3R3/AKT/mTOR signaling pathway PMID: 25608840
- p55PIK could be a substrate of activated caspase 6 during paraquat-induced apoptosis, leading to loss of original biological functions and redistribution to disturb cell cycle progression. PMID: 24130211
- TGF-beta/NKX2.1/PIK3R3 axis is crucial in the TGF-beta-induced inhibition of cell proliferation, and the NKX2.1/PIK3R3 axis might become a target in TGF-beta receptor-repressed lung adenocarcinoma PMID: 25371235
- p55gamma sequentially up-regulated p53 and p21, resulting in cell-cycle arrest in S phase; small-interfering RNA knockdown of either p53 or p21 blocked p55gamma-induced vascular smooth muscle cell growth arrest. PMID: 25388664
- Overexpression of PIK3R3 depends on SNAI2, inducing significant epithelial-to-mesenchymal transition (EMT). PMID: 24837077
- discovered that ERBB4 and S6K2 were the direct targets of miR-193a-3p and that PIK3R3 and mTOR were the direct targets of miR-193a-5p in non-small-cell lung cancer PMID: 24469061
- study shows that the p53/miR-148b/p55PIK axis has an important role in cell proliferation and tumor growth, and may represent a novel therapeutic target for treating cancers containing p53 mutations or losses. PMID: 24632606
- PIK3R3, ITGB1, ITGAL, and ITGA6, were involved in the regulation of actin cytoskeleton that link to triple-negative breast cancer migration. PMID: 24982892
- Containing the N24 of PI3K-p55PIK. PMID: 23904382
- our results show that the-PCNA interaction is important in regulating DNA synthesis and contributes to tumorigenesis. PMID: 23939377
- Data show that miR-7 inhibits the effects of TLR9 signaling on lung cancer cells through regulation of the PIK3R3/Akt pathway. PMID: 23135998
- PIK3R3 was up-regulated in gastric cancer and promoted cell cycle progression and proliferation. PMID: 22876838
- A fusion peptide containing the p55PIK amino terminus, TAT-N24, which not only inhibited cell proliferation, but also stimulated differentiation. PMID: 22722333
- IGF2-PIK3R3 signaling axis is involved in promoting the growth of a subclass of highly aggressive human glioblastomas that lack EGF receptor amplification. PMID: 17360667
- We have identified novel nonclassical mediators of the SREBP-1 response, including p55gamma, supporting the hypothesis that SREBP-1 regulates stress response and signaling genes. PMID: 17452746
顯示更多
收起更多
-
蛋白家族:PI3K p85 subunit family
-
組織特異性:Highest levels in brain and testis. Lower levels in adipose tissue, kidney, heart, lung and skeletal muscle.
-
數據庫鏈接:
Most popular with customers
-
-
YWHAB Recombinant Monoclonal Antibody
Applications: ELISA, WB, IHC, IF, FC
Species Reactivity: Human, Mouse, Rat
-
Phospho-YAP1 (S127) Recombinant Monoclonal Antibody
Applications: ELISA, WB, IHC
Species Reactivity: Human
-
-
-
-
-















