PIK3R3
PIK3R3,即磷酸肌醇3激酶調節亞基3,別名p55、p55PIK。PIK3R3是磷脂酰肌醇3激酶(PI3K)的一個調節亞基,包含兩個SH2結構域,通過這些結構域,它能夠結合激活的蛋白酪氨酸激酶以調節其活性。PIK3R3與PI3K的催化亞基結合,通過iSH2域與p110催化亞基相互作用,參與細胞內信號傳導,特別是在生長因子信號通路中。PIK3R3在細胞增殖、腫瘤生長、炎癥反應以及脂質代謝中扮演重要角色。PIK3R3的異常表達與多種癌癥的發生發展相關,包括卵巢癌,并且可能參與調節癌癥干細胞的特性和功能,影響腫瘤的進展和化療抗性。
熱銷產品
PIK3R3 Antibody (CSB-PA852884ESR2HU)
驗證數據
Western blot
All lanes: PIK3R3 antibody at 3.5μg/ml
Lane 1: MCF-7 whole cell lysate
Lane 2: Jurkat whole cell lysate
Lane 3: Mouse gonadal tissue
Secondary
Goat polyclonal to rabbit IgG at 1/10000 dilution
Predicted band size: 55, 48, 44 kDa
Observed band size: 55 kDa
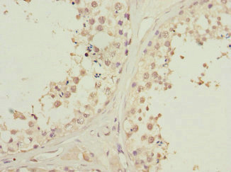
Immunohistochemistry of paraffin-embedded human testis tissue using CSB-PA852884ESR2HU at dilution of 1:100
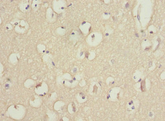
Immunohistochemistry of paraffin-embedded human brain tissue using CSB-PA852884ESR2HU at dilution of 1:100
PIK3R3 Antibodies
PIK3R3 for Homo sapiens (Human)
| 產品貨號 | 產品名稱 | 種屬反應性 | 應用類型 |
|---|---|---|---|
| CSB-PA018006GA01HU | PIK3R3 Antibody | Human,Mouse,Rat | ELISA,WB |
| CSB-PA622420 | PIK3R3 Antibody | Human,Mouse,Rat | ELISA,IHC |
| CSB-PA159945 | PIK3R3 Antibody | Human,Mouse,Rat | ELISA,WB,IHC |
| CSB-PA852884ESR1HU | PIK3R3 Antibody | Human | ELISA, IHC |
| CSB-PA852884ESR2HU | PIK3R3 Antibody | Human, Mouse | ELISA, WB, IHC |
PIK3R3 Proteins
PIK3R3 Proteins for Bos taurus (Bovine)
| 產品貨號 | 產品名稱 | 來源 |
|---|---|---|
| CSB-YP018006BO CSB-EP018006BO CSB-BP018006BO CSB-MP018006BO CSB-EP018006BO-B |
Recombinant Bovine Phosphatidylinositol 3-kinase regulatory subunit gamma (PIK3R3) | Yeast E.coli Baculovirus Mammalian cell In Vivo Biotinylation in E.coli |
PIK3R3 Proteins for Mus musculus (Mouse)
| 產品貨號 | 產品名稱 | 來源 |
|---|---|---|
| CSB-YP727043MO CSB-EP727043MO CSB-BP727043MO CSB-MP727043MO CSB-EP727043MO-B |
Recombinant Mouse Phosphatidylinositol 3-kinase regulatory subunit gamma (Pik3r3) | Yeast E.coli Baculovirus Mammalian cell In Vivo Biotinylation in E.coli |
PIK3R3 Proteins for Rattus norvegicus (Rat)
| 產品貨號 | 產品名稱 | 來源 |
|---|---|---|
| CSB-YP733971RA CSB-EP733971RA CSB-BP733971RA CSB-MP733971RA CSB-EP733971RA-B |
Recombinant Rat Phosphatidylinositol 3-kinase regulatory subunit gamma (Pik3r3) | Yeast E.coli Baculovirus Mammalian cell In Vivo Biotinylation in E.coli |
PIK3R3 Proteins for Homo sapiens (Human)
| 產品貨號 | 產品名稱 | 來源 |
|---|---|---|
| CSB-YP852884HU CSB-EP852884HU CSB-BP852884HU CSB-MP852884HU CSB-EP852884HU-B |
Recombinant Human Phosphatidylinositol 3-kinase regulatory subunit gamma (PIK3R3) | Yeast E.coli Baculovirus Mammalian cell In Vivo Biotinylation in E.coli |






