NEFL Antibody
-
中文名稱:NEFL兔多克隆抗體
-
貨號:CSB-PA146631
-
規格:¥1100
-
圖片:
-
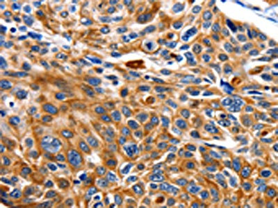
The image on the left is immunohistochemistry of paraffin-embedded Human colon cancer tissue using CSB-PA146631(NEFL Antibody) at dilution 1/20, on the right is treated with fusion protein. (Original magnification: ×200)
-
The image on the left is immunohistochemistry of paraffin-embedded Human esophagus cancer tissue using CSB-PA146631(NEFL Antibody) at dilution 1/20, on the right is treated with fusion protein. (Original magnification: ×200)
-
-
其他:
產品詳情
-
Uniprot No.:
-
基因名:
-
別名:NEFL; NF68; NFL; Neurofilament light polypeptide; NF-L; 68 kDa neurofilament protein; Neurofilament triplet L protein
-
宿主:Rabbit
-
反應種屬:Human
-
免疫原:Fusion protein of Human NEFL
-
免疫原種屬:Homo sapiens (Human)
-
標記方式:Non-conjugated
-
抗體亞型:IgG
-
純化方式:Antigen affinity purification
-
濃度:It differs from different batches. Please contact us to confirm it.
-
保存緩沖液:-20°C, pH7.4 PBS, 0.05% NaN3, 40% Glycerol
-
產品提供形式:Liquid
-
應用范圍:ELISA,IHC
-
推薦稀釋比:
Application Recommended Dilution ELISA 1:2000-1:5000 IHC 1:5-1:20 -
Protocols:
-
儲存條件:Upon receipt, store at -20°C or -80°C. Avoid repeated freeze.
-
貨期:Basically, we can dispatch the products out in 1-3 working days after receiving your orders. Delivery time maybe differs from different purchasing way or location, please kindly consult your local distributors for specific delivery time.
-
用途:For Research Use Only. Not for use in diagnostic or therapeutic procedures.
相關產品
靶點詳情
-
功能:Neurofilaments usually contain three intermediate filament proteins: NEFL, NEFM, and NEFH which are involved in the maintenance of neuronal caliber. May additionally cooperate with the neuronal intermediate filament proteins PRPH and INA to form neuronal filamentous networks.
-
基因功能參考文獻:
- NF-L may be involved in severity of neuronal injury following traumatic brain injury PMID: 27819296
- CSF neurofilament light chain protein is an accurate marker for distinguishing Alzheimer's disease patients from healthy controls. PMID: 28527630
- Cerebrospinal fluid neurofilament protein light is a useful tool for determining disease intensity in frontotemporal dementia and motor neuron disease patients. PMID: 28631955
- Our results suggest that plasma NFL levels may not be a useful biomarker for the diagnosis of prodromal and dementia stages of AD. PMID: 28428015
- In this Chinese Han population a novel Charcot-Marie-Tooth disease-associated gene mutations of NEFL (c.280C>T) was discovered. PMID: 27862672
- We conclude that low BDNF and high LCN2 and NF-L levels are associated with Multiple Sclerosis (MS) pathogenesis, and high IGFBP1level is a biomarker for female MS only, suggesting different MS progression pathways between the sexes. LCN2 is a candidate predictor of response to natalizumab treatment, and NF-L is a candidate predictor of clinically isolated syndrome's (CIS) conversion into MS. PMID: 29108879
- This study showed tat Serum NfL concentration is increased in familial Alzheimer disease prior to symptom onset and correlates with measures of disease stage and severity. Serum NfL may thus be a feasible biomarker of early AD-related neurodegeneration. PMID: 29070659
- Results show that both alphaS and NFL can be phosphorylated by CKII, PLK2 and PLK3, but Ser129 in alphaS is a preferential site for PLK2 and PLK3, demonstrating higher phosphorylation efficiency. Comparatively, CKII preferentially phosphorylates Ser473 in NFL and this site can be phosphorylated by PLK1, 2 and 3, but these enzymes prefer to modify other sites within NFL. PMID: 27503460
- fL is a weak independent risk factor in clinically isolated syndromes for conversion to multiple sclerosis. Its role as an axonal damage biomarker may be more relevant as suggested by its association with medium-term brain volume changes. PMID: 27521440
- Results from 2 independent prospective cohort studies show that serum NFL is a sensitive and dynamic biomarker for axonal injury in concussive traumatic brain injury. The marker should be useful to detect and monitor CNS injury in concussion PMID: 28404801
- Findings support the potential value of serum NfL as a marker of neuroaxonal injury in early multiple sclerosis. Its reduction over time could represent regression to the mean, or a possible treatment effect of IFN-beta-1a. Association with whole brain atrophy and formation of acute white matter lesions has implications to use serum NfL as a biomarker of the overall consequences of brain damage and ongoing disease acti... PMID: 28148632
- Higher serum NfL concentrations are associated with more rapid brain atrophy and may therefore reflect disease intensity in dementia (FTD). Because blood sampling is less invasive and has better patient acceptability than lumbar puncture, serum NfL may provide important prognostic information and prove to be a useful outcome measure for clinical trials in FTD. PMID: 27581216
- We conclude that the NEFL N98S mutation is associated with a dominant intermediate Charcot-Marie-Tooth disease phenotype characterized by early-onset sensorimotor neuropathy delaying motor milestones, which may evolve into a severe and complex clinical picture including cerebellar ataxia. PMID: 26645395
- Plasma Concentration of the Neurofilament Light Protein (NFL) is a Biomarker of CNS Injury in HIV Infection PMID: 26870824
- The results showed an important role for miR-25 in regulating NEFL expression in Glioblastoma multiforme. PMID: 26209061
- Finally, we demonstrated that NEFL inhibited the NF-kappaB pathway, thereby suppressing the expression of uPA and decreasing NSCLC invasiveness and migration. PMID: 26801564
- Cerebrospinal fluid NFL concentration is increased by the early clinical stage of Alzheimer's Disease. PMID: 26524180
- The miR-381-NEFL axis is important for temozolomide resistance in glioblastoma multiforme. PMID: 25605243
- The results od this study concluded that NEFL E396K mutation may manifest with a novel DI-CMT phenotype, characterized by simultaneous involvement of the peripheral and central nervous system. PMID: 25877835
- Suggest monitoring the serum level of antibodies against the NF-L chain as a predictive biomarker of treatment response in multiple sclerosis. PMID: 24515731
- a novel heterozygous missense mutation c.1166A>G (p.Y389C) in the gene encoding the light-chain neurofilament protein was identified in 4 patients resulting in hereditary motor and sensory neuropathy with pyramidal signs phenotype. PMID: 25583183
- Data suggest that, while lacking a stable structure, NFL-TBS.40-63 peptide (a peptide derived from light neurofilament protein) preferentially binds on a specific single site located near C-terminal end of beta-tubulin. PMID: 26016807
- Blood-derived NfL level is an easily accessible biomarker with prognostic value in ALS. PMID: 25934855
- Data indicate that the N terminus of Pro-EMAP II binds to its C terminus, arginyl-tRNA synthetase, and the neurofilament light subunit. PMID: 25724651
- an NEFL mutation in a family clinically manifesting congenital myopathy PMID: 25264603
- NEFL overexpression also enhanced differentiation. PMID: 25312269
- This is the first study to suggest blood NFL mRNA as a surrogate marker for early prediction of prediabetic peripheral neuropathy, while NSE mRNA levels may be of no diagnostic value in prediabetic patients. PMID: 24733614
- An association was found with high CSF NEFL levels and severity of neurodegenerative diseases and survival. PMID: 25339208
- expression of NEFL induces cancer cell apoptosis and inhibits invasion in these cell lines, suggesting that NEFL may play a role in cancer cell apoptosis and invasion. PMID: 23992471
- CSF NFL indicates ongoing axonal injury in many neuroasymptomatic HIV patients PMID: 24523921
- Our findings reveal an extended phenotype of Charcot Marie Tooth disease 2E caused by an identical missense mutation of the NEFL gene. PMID: 24887401
- The expression of two miRNAs (miRNAs miR-b1336 and miR-b2403) whose effect is to stabilize NEFL mRNA, are down regulated in amyotrophic lateral sclerosis. PMID: 24454911
- Neurofilament light chain protein NF-L has a dynamic role in the reactive and regenerative changes in axons following injury. PMID: 23802559
- Within 7 days after cardiac arrest, serum NF-L is a valuable marker of long-term poor neurological outcome. PMID: 23287695
- Increased neurofilament light chain blood levels are associated with neurodegenerative neurological diseases PMID: 24073237
- NEFL is downregulated by hypermethylation in breast cancer. PMID: 24026393
- CSF neurofilament light chain is elevated in frontotemporal degeneration and correlates with disease severity. PMID: 24242746
- The biomarker pattern of neurofilament light in CSF distinguishes between progressive and static neurologic disorders. PMID: 23827424
- A group of dysregulated miRNAs directly regulate the NFL mRNA 3'UTR in amyotrophic lateral sclerosis. PMID: 23705811
- Anti-NFL antibodies could be surrogate biomarkers of axonal injury in early multiple sclerosis. PMID: 23870535
- High CSF NFL levels were found in patients with amyotrophic lateral sclerosis ( PMID: 22680408
- Depressed neurofilament expression associates with apolipoprotein E3/E4 genotype in maturing human fetal neurons exposed to HIV-1. PMID: 22302611
- NEFL mRNA is ectopically expressed in breast malignancies and could be a potential prognostic factor for early-stage breast cancer patients PMID: 22319610
- Identification of gaiting defects combined with previously observed muscle atrophy, reduced axon caliber, and decreased nerve conduction velocity suggests that hNF-L(E397K) mice recapitulate many clinical signs associated with Charcot-Marie-Tooth disease. PMID: 22288874
- Cerebrospinal fluid biomarker NF-L in white matter lesions differentiates patients with subcortical vascular disease from those with Alzheimer's. PMID: 21860087
- Subjects with APOE epsilon4 have higher CSF NFL levels than non-epsilon4 carriers, only when they do not carry a short poly-T variant of TOMM40, which is associated with later age of onset of AD. PMID: 21983493
- Neurofilament light polypeptide (NEFL) was identified as a novel hypermethylated gene associated with resistance to cisplatin-based chemotherapy in cancer of head and neck. PMID: 22246235
- Normal cerebrospinal fluid levels of NFL at 12 months post-operatively and beyond suggest the absence of any long-term neuronal damage caused by long-term deep brain stimulation treatment in Parkinson's disease. PMID: 21039366
- NFL levels were not significantly increased in multiple sclerosis patients compared with controls and had no relationship to disability or progression PMID: 21197541
- While RGNEF and NFL mRNA interact directly in vitro, interestingly they only appear to interact in amyotrophic lateral sclerosis lysates and not in controls PMID: 19488899
顯示更多
收起更多
Most popular with customers
-
-
YWHAB Recombinant Monoclonal Antibody
Applications: ELISA, WB, IHC, IF, FC
Species Reactivity: Human, Mouse, Rat
-
Phospho-YAP1 (S127) Recombinant Monoclonal Antibody
Applications: ELISA, WB, IHC
Species Reactivity: Human
-
-
-
-
-















