NEFL
神經纖維絲輕鏈(NEFL)是神經元軸突的主要細胞骨架蛋白,對維持神經元形態和信號傳導至關重要。正常生理條件下,軸突釋放少量NEFL,但在病理條件下,其釋放量顯著增加。組織液中的NEFL可通過腦脊液擴散至血液,血液中NEFL濃度較腦脊液低,且與神經病變程度密切相關,因此NEFL被用作神經元損傷相關疾病的生物標志物。在阿爾茨海默病、帕金森病、肌萎縮側索硬化癥等神經退行性疾病中,血液中的NEFL水平都會上升。此外,NEFL水平也隨年齡增長而上升,可作為疾病診斷和預后監測的指標。目前,針對NEFL的藥物研發尚處于早期階段,但其在神經疾病診斷和監測中的應用前景廣闊。
熱銷產品
Recombinant Human Neurofilament light polypeptide (NEFL) (CSB-CF015688HU)
驗證數據
(Tris-Glycine gel) Discontinuous SDS-PAGE (reduced) with 5% enrichment gel and 15% separation gel.
NEFL Antibody (CSB-PA015688LA01HU)
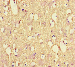
驗證數據
Immunohistochemistry of paraffin-embedded human brain tissue using CSB-PA015688LA01HU at dilution of 1:100
Immunofluorescent analysis of SH-SY5Y cells using CSB-PA015688LA01HU at dilution of 1:100 and Alexa Fluor 488-congugated AffiniPure Goat Anti-Rabbit IgG(H+L)
Immunoprecipitating NEFL in mouse brain tissue
Lane 1: Rabbit control IgG instead of CSB-PA015688LA01HU in mouse brain tissue.
For western blotting, a HRP-conjugated Protein G antibody was used as the secondary antibody (1/2000)
Lane 2: CSB-PA015688LA01HU (8μg) + Mouse brain tissue (500μg)
Lane 3: Mouse brain tissue (10μg)
Human Neurofilament protein L (NF-L) ELISA kit (CSB-E16094h)
驗證數據
貨號:CSB-E16094h
規格:96T/48T
靈敏度:7.8 pg/mL
檢測范圍:31.25 pg/mL-2000 pg/mL
These standard curves are provided for demonstration only. A standard curve should be generated for each set of samples assayed.
NEFL Antibodies
NEFL for Homo sapiens (Human)
| 產品貨號 | 產品名稱 | 種屬反應性 | 應用類型 |
|---|---|---|---|
| CSB-PA015688GA01HU | NEFL Antibody | Human,Mouse,Rat | ELISA,WB,IHC,IF |
| CSB-PA004743 | NEFL Antibody | Human,Mouse,Rat | WB, ELISA |
| CSB-PA020052 | NEFL Antibody | Human,Mouse,Rat | IHC, ELISA |
| CSB-PA146631 | NEFL Antibody | Human | ELISA,IHC |
| CSB-PA015688LA01HU | NEFL Antibody | Human | ELISA, IHC, IF, IP |
| CSB-PA015688LB01HU | NEFL Antibody, HRP conjugated | Human | ELISA |
| CSB-PA015688LC01HU | NEFL Antibody, FITC conjugated | Human | |
| CSB-PA015688LD01HU | NEFL Antibody, Biotin conjugated | Human | ELISA |
NEFL Proteins
NEFL Proteins for Mus musculus (Mouse)
| 產品貨號 | 產品名稱 | 來源 |
|---|---|---|
| CSB-YP015688MO | Recombinant Mouse Neurofilament light polypeptide (Nefl) | Yeast |
| CSB-BP015688MO CSB-MP015688MO CSB-EP015688MO-B |
Recombinant Mouse Neurofilament light polypeptide (Nefl) | Baculovirus Mammalian cell In Vivo Biotinylation in E.coli |
| CSB-EP015688MOe1 | Recombinant Mouse Neurofilament light polypeptide (Nefl) | E.coli |
| CSB-EP015688MO | Recombinant Mouse Neurofilament light polypeptide (Nefl) | E.coli |
NEFL Proteins for Homo sapiens (Human)
| 產品貨號 | 產品名稱 | 來源 |
|---|---|---|
| CSB-YP015688HU CSB-BP015688HU CSB-EP015688HU-B |
Recombinant Human Neurofilament light polypeptide (NEFL) | Yeast Baculovirus In Vivo Biotinylation in E.coli |
| CSB-EP015688HU | Recombinant Human Neurofilament light polypeptide (NEFL) | E.coli |
| CSB-EP015688HUe1 | Recombinant Human Neurofilament light polypeptide (NEFL) | E.coli |
| CSB-EP015688HU1 | Recombinant Human Neurofilament light polypeptide (NEFL),Partial | E.coli |
| CSB-EP015688HUc7 | Recombinant Human Neurofilament light polypeptide (NEFL) | E.coli |
NEFL Proteins for Pongo abelii (Sumatran orangutan)
| 產品貨號 | 產品名稱 | 來源 |
|---|---|---|
| CSB-YP719095PYX CSB-EP719095PYX CSB-BP719095PYX CSB-MP719095PYX CSB-EP719095PYX-B |
Recombinant Pongo abelii Neurofilament light polypeptide (NEFL), partial | Yeast E.coli Baculovirus Mammalian cell In Vivo Biotinylation in E.coli |
NEFL Proteins for Homo sapiens(Human)
| 產品貨號 | 產品名稱 | 來源 |
|---|---|---|
| CSB-CF015688HU | Recombinant Human Neurofilament light polypeptide (NEFL) | in vitro E.coli expression system |
NEFL Proteins for Pongo abelii (Sumatran orangutan) (Pongo pygmaeus abelii)
| 產品貨號 | 產品名稱 | 來源 |
|---|---|---|
| CSB-CF719095PYX | Recombinant Pongo abelii Neurofilament light polypeptide (NEFL), partial | in vitro E.coli expression system |
NEFL ELISA Kit
NEFL ELISA Kit for Homo sapiens (Human)
| 產品貨號 | 產品名稱 | 樣本類型 | 靈敏度 |
|---|---|---|---|
| CSB-E16094h | Human Neurofilament protein L (NF-L) ELISA kit | serum, plasma, tissue homogenates | 7.8 pg/mL |






