MAGEA3 Antibody
-
中文名稱:MAGEA3兔多克隆抗體
-
貨號:CSB-PA146268
-
規格:¥1100
-
圖片:
-
The image on the left is immunohistochemistry of paraffin-embedded Human tonsil tissue using CSB-PA146268(MAGEA3 Antibody) at dilution 1/50, on the right is treated with synthetic peptide. (Original magnification: ×200)
-
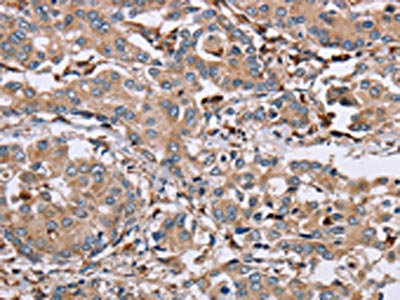
The image on the left is immunohistochemistry of paraffin-embedded Human liver cancer tissue using CSB-PA146268(MAGEA3 Antibody) at dilution 1/50, on the right is treated with synthetic peptide. (Original magnification: ×200)
-
Gel: 10%SDS-PAGE, Lysate: 40 μg, Lane 1-3: Human testis tissue, A549 cells, PC3 cells, Primary antibody: CSB-PA146268(MAGEA3 Antibody) at dilution 1/400, Secondary antibody: Goat anti rabbit IgG at 1/8000 dilution, Exposure time: 2 minutes
-
-
其他:
產品詳情
-
Uniprot No.:
-
基因名:
-
別名:Antigen MZ2 D antibody; Antigen MZ2-D antibody; Cancer/testis antigen 1.3 antibody; Cancer/testis antigen family 1 member 3 antibody; CT1.3 antibody; HIP8 antibody; HYPD antibody; MAGA3_HUMAN antibody; MAGE 3 antigen antibody; MAGE family member A3 antibody; MAGE-3 antigen antibody; MAGE3 antibody; MAGEA3 antibody; MAGEA6 antibody; Melanoma antigen family A 3 antibody; Melanoma associated antigen 3 antibody; Melanoma-associated antigen 3 antibody; MGC1461 antibody
-
宿主:Rabbit
-
反應種屬:Human
-
免疫原:Synthetic peptide of Human MAGEA3
-
免疫原種屬:Homo sapiens (Human)
-
標記方式:Non-conjugated
-
抗體亞型:IgG
-
純化方式:Antigen affinity purification
-
濃度:It differs from different batches. Please contact us to confirm it.
-
保存緩沖液:-20°C, pH7.4 PBS, 0.05% NaN3, 40% Glycerol
-
產品提供形式:Liquid
-
應用范圍:ELISA,WB,IHC
-
推薦稀釋比:
Application Recommended Dilution ELISA 1:2000-1:5000 WB 1:500-1:2000 IHC 1:50-1:200 -
Protocols:
-
儲存條件:Upon receipt, store at -20°C or -80°C. Avoid repeated freeze.
-
貨期:Basically, we can dispatch the products out in 1-3 working days after receiving your orders. Delivery time maybe differs from different purchasing way or location, please kindly consult your local distributors for specific delivery time.
-
用途:For Research Use Only. Not for use in diagnostic or therapeutic procedures.
相關產品
靶點詳情
-
功能:Activator of ubiquitin ligase activity of RING-type zinc finger-containing E3 ubiquitin-protein ligases that acts as a as repressor of autophagy. May enhance ubiquitin ligase activity of TRIM28 and stimulate p53/TP53 ubiquitination by TRIM28. Proposed to act through recruitment and/or stabilization of the Ubl-conjugating enzyme (E2) at the E3:substrate complex. May play a role in embryonal development and tumor transformation or aspects of tumor progression. In vitro promotes cell viability in melanoma cell lines. Antigen recognized on a melanoma by autologous cytolytic T-lymphocytes.
-
基因功能參考文獻:
- rapid drop (>50%) in blood level within 4 weeks of melanoma treatment associated with long-term response to therapy PMID: 27561960
- the objective response rate was lower in this study than in other studies carried out in the same setting with the MAGE-A3 immunotherapeutic. Investigation of a gene signatures (GS) to predict clinical benefit to adjuvant MAGE-A3 immunotherapeutic treatment is ongoing in another melanoma study. PMID: 27502712
- Administering autologous CD4(+) T cells that are genetically engineered to express an MHC class II-restricted antitumor TCR that targets MAGE-A3 can be used safely in the treatment of metastatic neoplasms. PMID: 28809608
- MAGEA3 may be demethylated in MPNST and plexiform type neurofibroma in NF-1 patients PMID: 27422441
- MAGEA3 was overexpressed in colorectal cancer tissue compared with healthy colon. MAGEA3 expression positively correlated with colorectal cancer progression. PMID: 27635108
- Comparing the overall expression of CTAs, a decreased expression of all melanoma-associated antigens (MAGEs) post-treatment and a slightly increased expression of New York esophageal squamous cell carcinoma 1 (NY-ESO-1) was visible. The simultaneous cytoplasmic and nuclear expression of pan-MAGE or MAGE-A3/A4 correlated with reduced treatment-failure-free-survival (TFFS). PMID: 27466502
- MAGE-A3 expression is regulated epigenetically by promoter methylation, and that its expression contributes to gastric cell proliferation and drug sensitivity. PMID: 26868260
- Progression free survival and levels of MAGE-A3 expression in non-small cell lung carcinoma patients with the three modes of acquired resistance are negatively correlated. PMID: 26612451
- the crystal structures of MAGE-A3 and MAGE-A4 PMID: 26910052
- MAGEA3/6 positivity was associated with significantly better disease-free survival. PMID: 25564441
- Anticancer effects of adenovirus-mediated calreticulin and melanoma-associated antigen 3 expression on non-small cell lung cancer cells PMID: 25704851
- our findings indicated that MAGE-A3 is a novel cancer stem cell antigen in bladder cancer PMID: 25031712
- MAGE-A3 may serve as a potential prognostic marker for clear cell renal cell carcinoma PMID: 25120790
- Study describes a widespread mechanism to suppress AMPK through its ubiquitination and degradation by the cancer-specific MAGE-A3/6-TRIM28 ubiquitin ligase. MAGE-A3 and MAGE-A6 are highly similar proteins normally expressed only in the male germline but frequently re-activated in human cancers. PMID: 25679763
- MAGE proteins bind to KAP1, a gene repressor and ubiquitin E3 ligase which also binds KRAB domain containing zinc finger transcription factors (KZNFs), and MAGE expression may affect KZNF mediated gene regulation. PMID: 25107531
- Study demonstrated that the expression of MAGE-A3/4 antigen might be a valuable prognostic factor regarding survival in patients with NSCLC. PMID: 24675493
- Data indicate that MAGE3, Survivin and B-cell maturation antigen (BCMA) mRNA-pulsed dendritic cells (DCs) are capable of stimulating tumor-associated antigens (TAA)-specific T-cell responses in multiple myeloma (MM) patients. PMID: 23728352
- Cells bearing either intermediate proteasome present peptides MAGE-A(3114-122) and MAGE-C2(42-50) as efficiently as cells equipped with the immunoproteasome. PMID: 22925930
- High MAGE-3 gene expression is associated with metastases in hepatitis C virus patients complicated by hepatocellular carcinoma. PMID: 21452042
- the expression of MAGE, as confirmed in the RT-PCR analysis, could be used as an alternative method for the early diagnosis of salivary gland tumours. PMID: 22498264
- Report MAGEA1-A6 expression and MAGE A3 methylation in sputum suggests presence of lung cancer cells or precancerous cells. PMID: 22134685
- Cancer/testis antigens are novel targets of immunotherapy for adult T-cell leukemia/lymphoma. PMID: 22323448
- Data indicate the association of MAGE-A3 expression and poor prognosis in diffuse large B-cell lymphoma (DLBCL) patients. PMID: 22183072
- MAGE-A3 gene may have a clinical relevance and important role as a risk factor in the development of acute myeloid leukemia PMID: 21804405
- Expression of MAGE I proteins, MAGE-A3 or MAGE-C2, relieved repression of a reporter gene by ZNF382 and MAGE I expression relieved KAP1 mediated ID1 repression. PMID: 21876767
- we found that the SSX4 and MAGE-A3 genes are frequently expressed in brain tumor cell lines PMID: 21347689
- MAGE-A3 was detected in a significantly higher percentage of relapsed patients compared with newly diagnosed, establishing a novel correlation with progression of disease. PMID: 21565982
- MAGE-A3, a cancer-testis antigen, plays an important role in the survival of multiple myeloma cells. PMID: 20015885
- Primary tumors with and without lymph node metastases showed no significant differences in MAGE-A 3/4 (P=0.672) and NY-ESO-1 (P=0.444) expression PMID: 21556122
- RT-PCR assays of MAGE-A3 and MAGE-A4 in blood of breast cancer (BC) patients may have prognostic and predictive implications, and they are promising specific tumor markers of BC PMID: 21264495
- MAGE3 expression mediated by demethylation of MAGE3 promoter induce progression of non-small cell lung cancer. PMID: 21273595
- Molecular upstaging of MAGE-A3 using rt-pcr was correlated with prognosis in melanoma patients PMID: 21135695
- Report immunohistochemical expression of MAGE-A3 in renal oncocytoma and chromophobe renal cell carcinoma. PMID: 20591578
- results showed that MAGE-A3 gene expression was frequent in NHL patients and decreased after effective chemotherapy, suggesting that MAGE-A3 can be used as a tumor marker for circulating lymphoma cells in patients with NHL. PMID: 20036422
- Tumor-specific antigen MAGE may play a role in the occurrence and development of ovarian cancer and can be used as one of the important indicators for early diagnosis, efficacy evaluation and prognostic determination of ovarian cancer. PMID: 20423514
- MAGE-A3/6 and NY-ESO-1 were expressed in 50.0% (66/132) and 18.2% (24/132) of non-small-cell lung carcinomas, respectively. PMID: 19795170
- Identification of immunodominant regions among promiscuous HLA-DR-restricted CD4+ T-cell epitopes on the tumor antigen MAGE-3 PMID: 12393675
- This melanoma-associated marker was detected in melanoma cell lines. PMID: 12710945
- first evidence that the naturally processed MAGE-3(271-279) can be isolated and identified from the tumor tissue of hepatocellular carcinoma patient PMID: 15885805
- The newly identified MAGE-3(113)-peptide epitope is naturally processed and presented as the CTL epitope on MAGE-3-expressing GI cancer cells, indicating that anti-MAGE-3 immune targeting with the MAGE-3(113) peptide is a promising approach for treatment. PMID: 16446550
- MAGE-A3 gene mRNA is expressed at the mRNA level in a proportion of human leukemias. PMID: 16806467
- The promoter hypomethylation of MAGE-A1 and MAGE-A3 genes up-regulates their expression in colorectal carcinomas as well as in gastric cancers and might play a significant role in the development and progression of human colorectal carcinomas. PMID: 17007017
- Gene expression profiling identified the cancer/testis antigen MAGE-A3/6 as a novel target of FGFR2-IIIb signaling. PMID: 17699848
- Measurement of Melan-A, gp100, MAGE-3, MIA and tyrosinase represents a prognostic factor and a method for early detection of metastasis and treatment response of melanoma patients. PMID: 18181974
- MAGEC1/CT7, MAGEA3/6 and LAGE-1 are good candidates for immunotherapy, since together they cover 85% of our MM cases. PMID: 18237105
- the repertoire of MAGE-A3 epitopes recognized in vivo by CD4+ T cells are influenced by endosomal proteases PMID: 18316621
- MAGE-A3 as a target of FGFR2-IIIb and estrogen action and provide evidence for a common histone-modifying network in the control of the balance between opposing signals. PMID: 18381936
- MAGE-A3 may have a role in melanoma and could be used in a therapeutic vaccine PMID: 18483279
- MAGE A3 is a functional integrator of diverse signals, including FGFR2 and FN, to modulate cancer progression. PMID: 18829569
- Its expression is significantly associated with prognostic factors in poor outcome of the non-small cell lung cancer PMID: 18982744
顯示更多
收起更多
-
組織特異性:Expressed in many tumors of several types, such as melanoma, head and neck squamous cell carcinoma, lung carcinoma and breast carcinoma, but not in normal tissues except for testes and placenta. Never expressed in kidney tumors, Leukemias and lymphomas.
-
數據庫鏈接:
Most popular with customers
-
-
YWHAB Recombinant Monoclonal Antibody
Applications: ELISA, WB, IHC, IF, FC
Species Reactivity: Human, Mouse, Rat
-
Phospho-YAP1 (S127) Recombinant Monoclonal Antibody
Applications: ELISA, WB, IHC
Species Reactivity: Human
-
-
-
-
-
VDAC1 Recombinant Monoclonal Antibody
Applications: ELISA, WB, IHC
Species Reactivity: Human, Mouse, Rat















