MAGEA3
MAGEA3,也稱為人黑色素瘤抗原MAGE-A3,是一種在多種腫瘤中表達的腫瘤相關抗原。它通常不在正常人體細胞中表達,除了睪丸和胎盤。MAGEA3蛋白在腫瘤免疫治療中扮演重要角色,因為它可以成為免疫治療的靶點。在藥物研發方面,針對MAGEA3的免疫治療策略正在被探索,以激活免疫系統對抗腫瘤細胞。此外,MAGEA3蛋白的表達與多種癌癥的發生和發展密切相關,如黑色素瘤、肺癌和胃癌等。
熱銷產品
Recombinant Human Melanoma-associated antigen 3 (MAGEA3) (CSB-EP013329HUb0)
驗證數據
(Tris-Glycine gel) Discontinuous SDS-PAGE (reduced) with 5% enrichment gel and 15% separation gel.
MAGEA3 Antibody (CSB-PA013329LA01HU)
驗證數據
Western Blot
Positive WB detected in: A549 whole cell lysate, Jurkat whole cell lysate, 293T whole cell lysate
All lanes: MAGEA3 antibody at 4µg/ml
Secondary
Goat polyclonal to rabbit IgG at 1/50000 dilution
Predicted band size: 35 kDa
Observed band size: 35 kDa
IHC image of CSB-PA013329LA01HU diluted at 1:200 and staining in paraffin-embedded human melanoma performed on a Leica BondTM system. After dewaxing and hydration, antigen retrieval was mediated by high pressure in a citrate buffer (pH 6.0). Section was blocked with 10% normal goat serum 30min at RT. Then primary antibody (1% BSA) was incubated at 4°C overnight. The primary is detected by a biotinylated secondary antibody and visualized using an HRP conjugated SP system.
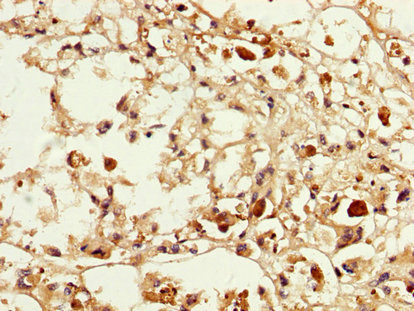
IHC image of CSB-PA013329LA01HU diluted at 1:200 and staining in paraffin-embedded human lung cancer performed on a Leica BondTM system. After dewaxing and hydration, antigen retrieval was mediated by high pressure in a citrate buffer (pH 6.0). Section was blocked with 10% normal goat serum 30min at RT. Then primary antibody (1% BSA) was incubated at 4°C overnight. The primary is detected by a biotinylated secondary antibody and visualized using an HRP conjugated SP system.
Human melanoma-associated antigen 3 (MAGE-3) ELISA Kit (CSB-E15769h)
驗證數據
貨號:CSB-E15769h
規格:96T/48T
靈敏度:0.156 ng/mL
檢測范圍:0.625 ng/mL-40 ng/mL
These standard curves are provided for demonstration only. A standard curve should be generated for each set of samples assayed.
MAGEA3 Antibodies
MAGEA3 for Homo sapiens (Human)
| 產品貨號 | 產品名稱 | 種屬反應性 | 應用類型 |
|---|---|---|---|
| CSB-PA146268 | MAGEA3 Antibody | Human | ELISA,WB,IHC |
| CSB-PA279059 | MAGEA3 Antibody | Human | ELISA,WB |
| CSB-PA013329LA01HU | MAGEA3 Antibody | Human | ELISA, WB, IHC |
| CSB-PA013329LB01HU | MAGEA3 Antibody, HRP conjugated | Human | ELISA |
| CSB-PA013329LC01HU | MAGEA3 Antibody, FITC conjugated | Human | |
| CSB-PA013329LD01HU | MAGEA3 Antibody, Biotin conjugated | Human | ELISA |
MAGEA3 Proteins
MAGEA3 Proteins for Homo sapiens (Human)
| 產品貨號 | 產品名稱 | 來源 |
|---|---|---|
| CSB-YP013329HU CSB-BP013329HU CSB-MP013329HU CSB-EP013329HU-B |
Recombinant Human Melanoma-associated antigen 3 (MAGEA3) | Yeast Baculovirus Mammalian cell In Vivo Biotinylation in E.coli |
| CSB-EP013329HU | Recombinant Human Melanoma-associated antigen 3 (MAGEA3) | E.coli |
| CSB-EP013329HUa0 | Recombinant Human Melanoma-associated antigen 3 (MAGEA3) | E.coli |
| CSB-EP013329HUb0 | Recombinant Human Melanoma-associated antigen 3 (MAGEA3) | E.coli |
MAGEA3 ELISA Kit
MAGEA3 ELISA Kit for Homo sapiens (Human)
| 產品貨號 | 產品名稱 | 樣本類型 | 靈敏度 |
|---|---|---|---|
| CSB-E15769h | Human melanoma-associated antigen 3 (MAGE-3) ELISA Kit | serum, plasma, urine, tissue homogenates | 0.156 ng/mL |






