MAGEA10 Antibody
-
中文名稱:MAGEA10兔多克隆抗體
-
貨號:CSB-PA216191
-
規格:¥1100
-
圖片:
-
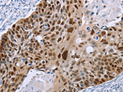
The image on the left is immunohistochemistry of paraffin-embedded Human esophagus cancer tissue using CSB-PA216191(MAGEA10 Antibody) at dilution 1/50, on the right is treated with fusion protein. (Original magnification: ×200)
-
Gel: 8%SDS-PAGE, Lysate: 40 μg, Lane: A375 cells, Primary antibody: CSB-PA216191(MAGEA10 Antibody) at dilution 1/400, Secondary antibody: Goat anti rabbit IgG at 1/8000 dilution, Exposure time: 20 seconds
-
-
其他:
產品詳情
-
Uniprot No.:
-
基因名:
-
別名:MAGEA10 antibody; MAGE10Melanoma-associated antigen 10 antibody; Cancer/testis antigen 1.10 antibody; CT1.10 antibody; MAGE-10 antigen antibody
-
宿主:Rabbit
-
反應種屬:Human
-
免疫原:Fusion protein of Human MAGEA10
-
免疫原種屬:Homo sapiens (Human)
-
標記方式:Non-conjugated
-
抗體亞型:IgG
-
純化方式:Antigen affinity purification
-
濃度:It differs from different batches. Please contact us to confirm it.
-
保存緩沖液:-20°C, pH7.4 PBS, 0.05% NaN3, 40% Glycerol
-
產品提供形式:Liquid
-
應用范圍:ELISA,WB,IHC
-
推薦稀釋比:
Application Recommended Dilution ELISA 1:2000-1:10000 WB 1:1000-1:5000 IHC 1:50-1:200 -
Protocols:
-
儲存條件:Upon receipt, store at -20°C or -80°C. Avoid repeated freeze.
-
貨期:Basically, we can dispatch the products out in 1-3 working days after receiving your orders. Delivery time maybe differs from different purchasing way or location, please kindly consult your local distributors for specific delivery time.
-
用途:For Research Use Only. Not for use in diagnostic or therapeutic procedures.
相關產品
靶點詳情
-
功能:Not known, though may play a role in embryonal development and tumor transformation or aspects of tumor progression.
-
基因功能參考文獻:
- By using Molecular-Docking, 3 MAGEA10 peptides were found binding to the groove position of HLA-A( *)0210 same as MAGEA4 peptide co-crystallized with HLA-A( *)0210, which indicates they could be promising for HLA-A( *)0201 presentation in immunotherapy. PMID: 26058806
- We clearly showed that MAGE-A10 is frequently expressed in the group of triple-negative breast cancer patients PMID: 22116775
- High MAGE-A10 is associated with lung, skin and urothelial malignancies. PMID: 21710496
- This is the first report of these MAGE-A10 alternative splice sequences, and characterization of MAGE-A expression PMID: 15355897
-
亞細胞定位:Nucleus.
-
組織特異性:Expressed in many tumors of several types, such as melanoma, head and neck squamous cell carcinoma, lung carcinoma and breast carcinoma, but not in normal tissues except for spermatogonia, spermatocytes and placenta.
-
數據庫鏈接:
Most popular with customers
-
YWHAB Recombinant Monoclonal Antibody
Applications: ELISA, WB, IHC, IF, FC
Species Reactivity: Human, Mouse, Rat
-
Phospho-YAP1 (S127) Recombinant Monoclonal Antibody
Applications: ELISA, WB, IHC
Species Reactivity: Human
-
-
-
-
-
-















