MAGEA10
MAGEA10,全稱為MAGE family member A10,是一種在多種腫瘤細胞中高表達的核蛋白。它也被稱為CT1.10和MAGE10。MAGEA10蛋白在肺癌、皮膚癌和尿路上皮癌等惡性腫瘤中表達,與腫瘤細胞的增殖、分化和轉移有關。目前,針對MAGEA10的免疫治療研究正在逐步推進,包括疫苗和T細胞療法,有望為腫瘤患者提供新的治療選擇。此外,MAGEA10蛋白的表達還與胃癌、乳腺癌等疾病的發生發展密切相關,因此,它也成為了一種潛在的腫瘤標志物。
熱銷產品
Recombinant Human Melanoma-associated antigen 10 (MAGEA10) (CSB-EP013324HU)
驗證數據
(Tris-Glycine gel) Discontinuous SDS-PAGE (reduced) with 5% enrichment gel and 15% separation gel.
MAGEA10 Antibody (CSB-PA013324LA01HU)
驗證數據
Western blot
All lanes: MAGEA10 antibody at 2µg/ml + HL60 whole cell lysate
Secondary
Goat polyclonal to rabbit IgG at 1/10000 dilution
Predicted band size: 41 kDa
Observed band size: 41 kDa
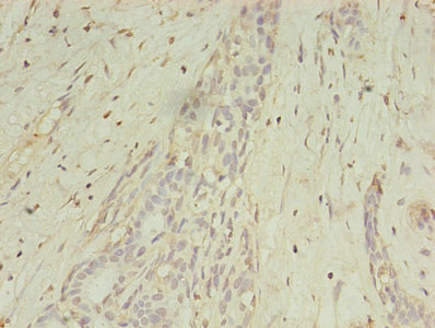
Immunohistochemistry of paraffin-embedded human breast cancer using CSB-PA013324LA01HU at dilution of 1:100
Immunohistochemistry of paraffin-embedded human placenta tissue using CSB-PA013324LA01HU at dilution of 1:100
MAGEA10 Antibodies
MAGEA10 for Homo sapiens (Human)
| 產品貨號 | 產品名稱 | 種屬反應性 | 應用類型 |
|---|---|---|---|
| CSB-PA013324GA01HU | MAGEA10 Antibody | Human | ELISA,WB |
| CSB-PA013324LA01HU | MAGEA10 Antibody | Human | ELISA, WB, IHC |
| CSB-PA216191 | MAGEA10 Antibody | Human | ELISA,WB,IHC |
| CSB-PA956333 | MAGEA10 Antibody | Human | ELISA,WB,IHC |
MAGEA10 Proteins
MAGEA10 Proteins for Homo sapiens (Human)
| 產品貨號 | 產品名稱 | 來源 |
|---|---|---|
| CSB-YP013324HU | Recombinant Human Melanoma-associated antigen 10 (MAGEA10) | Yeast |
| CSB-EP013324HU | Recombinant Human Melanoma-associated antigen 10 (MAGEA10) | E.coli |
| CSB-BP013324HU CSB-MP013324HU CSB-EP013324HU-B |
Recombinant Human Melanoma-associated antigen 10 (MAGEA10) | Baculovirus Mammalian cell In Vivo Biotinylation in E.coli |






