HTRA1 Antibody
-
中文名稱:HTRA1兔多克隆抗體
-
貨號:CSB-PA835695LA01HU
-
規格:¥440
-
圖片:
-
IHC image of CSB-PA835695LA01HU diluted at 1:500 and staining in paraffin-embedded human kidney tissue performed on a Leica BondTM system. After dewaxing and hydration, antigen retrieval was mediated by high pressure in a citrate buffer (pH 6.0). Section was blocked with 10% normal goat serum 30min at RT. Then primary antibody (1% BSA) was incubated at 4°C overnight. The primary is detected by a biotinylated secondary antibody and visualized using an HRP conjugated SP system.
-
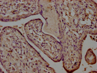
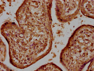
IHC image of CSB-PA835695LA01HU diluted at 1:500 and staining in paraffin-embedded human placenta tissue performed on a Leica BondTM system. After dewaxing and hydration, antigen retrieval was mediated by high pressure in a citrate buffer (pH 6.0). Section was blocked with 10% normal goat serum 30min at RT. Then primary antibody (1% BSA) was incubated at 4°C overnight. The primary is detected by a biotinylated secondary antibody and visualized using an HRP conjugated SP system.
-
Immunofluorescence staining of HepG2 cells with CSB-PA835695LA01HU at 1:166, counter-stained with DAPI. The cells were fixed in 4% formaldehyde, permeabilized using 0.2% Triton X-100 and blocked in 10% normal Goat Serum. The cells were then incubated with the antibody overnight at 4°C. The secondary antibody was Alexa Fluor 488-congugated AffiniPure Goat Anti-Rabbit IgG(H+L).
-
-
其他:
產品詳情
-
產品名稱:Rabbit anti-Homo sapiens (Human) HTRA1 Polyclonal antibody
-
Uniprot No.:
-
基因名:
-
別名:ARMD7 antibody; CARASIL antibody; High-temperature requirement A serine peptidase 1 antibody; HtrA antibody; HtrA serine peptidase 1 antibody; HTRA1 antibody; HTRA1_HUMAN antibody; IGFBP5 protease antibody; L56 antibody; ORF480 antibody; Protease serine 11 (IGF binding) antibody; protease serine 11 antibody; PRSS11 antibody; Serine protease 11 antibody; Serine protease HTRA1 antibody; Serine protease HTRA1 precursor antibody
-
宿主:Rabbit
-
反應種屬:Human
-
免疫原:Recombinant Human Serine protease HTRA1 protein (23-248AA)
-
免疫原種屬:Homo sapiens (Human)
-
標記方式:Non-conjugated
本頁面中的產品,HTRA1 Antibody (CSB-PA835695LA01HU),的標記方式是Non-conjugated。對于HTRA1 Antibody,我們還提供其他標記。見下表:
-
克隆類型:Polyclonal
-
抗體亞型:IgG
-
純化方式:>95%, Protein G purified
-
濃度:It differs from different batches. Please contact us to confirm it.
-
保存緩沖液:Preservative: 0.03% Proclin 300
Constituents: 50% Glycerol, 0.01M PBS, pH 7.4 -
產品提供形式:Liquid
-
應用范圍:ELISA, IHC, IF
-
推薦稀釋比:
Application Recommended Dilution IHC 1:500-1:1000 IF 1:50-1:200 -
Protocols:
-
儲存條件:Upon receipt, store at -20°C or -80°C. Avoid repeated freeze.
-
貨期:Basically, we can dispatch the products out in 1-3 working days after receiving your orders. Delivery time maybe differs from different purchasing way or location, please kindly consult your local distributors for specific delivery time.
-
用途:For Research Use Only. Not for use in diagnostic or therapeutic procedures.
相關產品
靶點詳情
-
功能:Serine protease with a variety of targets, including extracellular matrix proteins such as fibronectin. HTRA1-generated fibronectin fragments further induce synovial cells to up-regulate MMP1 and MMP3 production. May also degrade proteoglycans, such as aggrecan, decorin and fibromodulin. Through cleavage of proteoglycans, may release soluble FGF-glycosaminoglycan complexes that promote the range and intensity of FGF signals in the extracellular space. Regulates the availability of insulin-like growth factors (IGFs) by cleaving IGF-binding proteins. Inhibits signaling mediated by TGF-beta family members. This activity requires the integrity of the catalytic site, although it is unclear whether TGF-beta proteins are themselves degraded. By acting on TGF-beta signaling, may regulate many physiological processes, including retinal angiogenesis and neuronal survival and maturation during development. Intracellularly, degrades TSC2, leading to the activation of TSC2 downstream targets.
-
基因功能參考文獻:
- Nuclear downregulation of HtrA1 is associated with a better prognosis in women with high grade serous ovarian carcinoma. PMID: 30131069
- Case Report: Novel compound heterozygous mutations in HTRA1 causing CARASIL in Chinese patient. PMID: 30068478
- regulates odontoblastic differentiation of dental pulp cells through activation of the TGF-beta1/Smad signaling pathway PMID: 29580722
- the aberrant expression of HTRA1 or HTRA4 may be involved in the onset of preeclampsia, and increased HTRA1 or HTRA4 expression may affect trophoblast functions. PMID: 30015931
- HtrA1 contributes to the development of keloid lesions as matrix protease by remodelling keloid-specific ECM or cell surface molecules. PMID: 29695130
- Studies indicate a significantly different high-temperature requirement factor A1 (HtrA1) expression in cancer and non-cancer tissue [Meta-analysis]. PMID: 29409460
- HtrA1 overexpression further leads to impaired apical processes and decreased phagocytosis, an essential function for photoreceptor survival. PMID: 29269042
- Results suggest that HTRA1 is involved in the pathogenesis of scars through regulating activation of latent TGF-beta1 in keloid fibroblasts. PMID: 29412803
- the CADASIL-like family disease may be caused by heterozygous HTRA1 gene mutation, which leads to autosomal dominant hereditary cerebral small vessel disease. PMID: 29561953
- Case Report/Review: novel missense mutation in HTRA1 associated with phenotype of CARASIL. PMID: 28628911
- The rs11200638-rs2672598 joint genotype AA-CC conferred higher risk to exudative exudative age-related macular degeneration (AMD) than polypoidal choroidal vasculopathy (PCV). PMID: 27338780
- a possible proteolytic processing mechanism of mutant TGFBIp by HTRA1 and peptides generated by mutant protein may form the beta-amyloid core of corneal aggregates in Corneal dystrophic patients. PMID: 28689406
- HtrA1 Proteolysis of ApoE In Vitro Is Allele Selective PMID: 27379525
- The observation of this study further supports the pathogenic role of the heterozygous HTRA1 mutations in familial cerebral small vessel disease. PMID: 28782182
- These findings suggest that the variation in the risk for age-related macular degeneration associated with chromosome 10q26 is likely due to variation in HTRA1 expression. PMID: 28659708
- HtrA1 role in the cisplatin resistance in colon cancer PMID: 28667026
- HtrA1 could serve as a marker to identify ulcerative colitis of >10 year duration patients at high risk of developing colorectal cancer. PMID: 28586045
- To our knowledge, this is the first time the association between rs11200638 and overall age-related macular degeneration has been reported in South America. PMID: 28846052
- because the ARMS2/HTRA1 genes are positioned at a locus on chromosome 10q26 in a region with strong linkage disequilibrium, it is difficult to distinguish the functions of the individual genes. a review of recent epidemiological studies of Age-related macular degeneration(AMD) is offered. An argument for a definite correlation between the ARMS2 gene and AMD is presented PMID: 28583181
- The expression of HtrA1 was strongly related to the T2 value, suggesting that HtrA1 plays an important role in the pathological process of intervertebral disc degeneration. PMID: 28432852
- These results suggest that the initiation stage of polypoidal choroidal vasculopathy is mediated by proteolytic degradation of extracellular matrix proteins attributable to increased HTRA1 activity PMID: 28941979
- The findings of the present study provide evidence that CFH gene variants and ARMS2/HTRA1 genes play a major role in the genetic susceptibility to AMD in a Greek population. These findings are of direct relevance for disease and help mapping the genetic chart of AMD. PMID: 26848857
- The function of the binding between MIF and HTRA1 is to inhibit the proteolytic activity of HTRA1. PMID: 28726057
- Results show that HTRA1 is epigenetically silenced in HCT116 colon carcinoma cells and during early stages of tumorigenesis in a mouse model of intestinal cancer. Downregulation of HTRA1 causes a multiple phenotypes that are hallmarks of cancer cells including increased proliferation of mouse embryonic fibroblasts, as well as chromosome and centrosome amplifications. PMID: 27388476
- High HTRA1 expression is associated with cervical cell proliferation. PMID: 27809811
- Data indicate HtrA serine peptidase 1 (HTRA1) involvement in Age-related macular degeneration (AMD) pathogenesis. PMID: 27841854
- Variants in HTRA1 are not associated with age-related macular degeneration. PMID: 27879347
- Results show the heterozygous missense mutations p.G283E, p.P285L, p.R302Q, and p.T319I in the HTRA1 gene in 8 patients with symptomatic cerebral small vessel disease; mutant HTRA1s observed in manifesting heterozygotes might result in an impaired HTRA1 activation cascade of HTRA1 or be unable to form stable trimers PMID: 27164673
- FN and HtrA1 are localized in the placental key growth zones suggesting a pivotal role in maintaining the balance among the molecules involved in the placental development and differentiation PMID: 28076935
- correlation between TGFb1 and pSmad2 as well as between HtrA1 and TGFb1 and the very significant increase of Ki67 in stromal compartment of eutopic endometrium suggest a possible involvement of HtrA1 in the pathogenesis of endometriosis. PMID: 26708185
- Two synonymous polymorphisms in exon 1 of the HTRA1 gene result in a protein with altered thermophoretic properties. PMID: 26310622
- significant increase of serum HtrA1 in early-onset pre-eclampsia PMID: 26187609
- a frameshift mutation in the HTRA1 gene detected in a CARASIL pedigree resulted in reduced HTRA1 protein and increased TGF-beta1 expression, which may cause severe CARASIL and peripheral small arterial disease PMID: 25772074
- Human HTRA1 expression is enhanced by Age-related macular degeneration specific indel mutation in the promoter region of HTRA1 gene, and this enhanced HTRA1 may be concerned with induce retinal neovasucularization. PMID: 27125063
- Results does not conclusively support HTRA1 role as a tumor suppressor but suggest its possible prognostic role in many human tumors. PMID: 26035313
- Studies indicate that the high-risk allele of the 10q26 locus encompasses three genes, PLEKHA1, ARMS2, and HTRA1 with high linkage disequilibrium. PMID: 26427389
- Low HtrA1 expression is associated with gastric cancer. PMID: 25761858
- HtrA1 expression was closely related to EMT, which might be a potential mechanism underlying metastasis of HCC PMID: 26403966
- Low HtrA1 expression is significantly related to breast cancer poor prognosis parameters, and HtrA1 loss in sentinel nodes is related to metastasis of non sentinel nodes. PMID: 25530301
- It was concluded that high expression of HtrA1 could significantly reverse multidrug resistance of hepatoma cells by targeting XIAP. PMID: 25776486
- The growth of choroidal neovascularization in AMD would be affected by 2 genes: MMP20, a newly confirmed gene expressed in the retina, and ARMS2/HTRA1, a well-known susceptibility gene for AMD. PMID: 26337002
- HtrA1 appeared as an immunohistochemical marker to predict behaviour of the meningioma, mainly the recurrence PMID: 25687108
- HtrA1 plays a positive role in human periodontal ligament cells osteogenic differentiation and may regulate this process by TGFB1. PMID: 25726184
- In this study, we found that the interaction of ARMS2 and ARMS2/HTRA1 is significantly associated with nAMD, and the interaction of CFH and ARMS2 is pronounced in PCV development in Chinese population. PMID: 25771815
- HtrA1 expression in plasma cells could be correlated with the destruction of pathological periodontal tissue. PMID: 24979214
- Central but not peripheral drusen location was strongly associated with both [CFH HTRA1] and [CFH HTRA1]. Only [CFH HTRA1] was significantly associated with increased central drusen area. PMID: 25627090
- heterozygous HTRA1 mutations are an important cause of familial small vessel disease PMID: 26063658
- Silence of the HTRA1 gene was associated with significantly higher levels of TGF-beta1, BMP4, and BMP2 mRNA and reduction in the proliferation and migration of ARPE-19 cells. PMID: 25550099
- Gene variants in CFH, ARMS2 and HTRA1 are related to an increased risk of age-related macular degeneration in a northern Chinese population. PMID: 24865190
- alpha-1-antitrypsin as substrate of HTRA1 synthetic PMID: 25329061
顯示更多
收起更多
-
相關疾病:Macular degeneration, age-related, 7 (ARMD7); Cerebral arteriopathy, autosomal recessive, with subcortical infarcts and leukoencephalopathy (CARASIL); Cerebral arteriopathy, autosomal dominant, with subcortical infarcts and leukoencephalopathy, 2 (CADASIL2)
-
亞細胞定位:Cell membrane. Secreted. Cytoplasm, cytosol.
-
蛋白家族:Peptidase S1C family
-
組織特異性:Widely expressed, with strongest expression in placenta (at protein level). Secreted by synovial fibroblasts. Up-regulated in osteoarthritis and rheumatoid arthritis synovial fluids and cartilage as compared with non-arthritic (at protein level).
-
數據庫鏈接:
Most popular with customers
-
-
YWHAB Recombinant Monoclonal Antibody
Applications: ELISA, WB, IHC, IF, FC
Species Reactivity: Human, Mouse, Rat
-
Phospho-YAP1 (S127) Recombinant Monoclonal Antibody
Applications: ELISA, WB, IHC
Species Reactivity: Human
-
-
-
-
-















