HTRA1
HTRA1全稱為高溫需求絲氨酸蛋白酶A1,也被稱為PRSS11或ARMD7。這種蛋白由絲氨酸蛋白酶結構域和PDZ結構域組成,能夠通過切割細胞外基質成分及調控轉化生長因子β(TGF-β)等信號分子,影響血管生成和組織重塑過程。HTRA1的異常表達與年齡相關性黃斑變性(AMD)密切相關,其基因突變可導致濕性AMD患者脈絡膜新生血管過度增生。HTRA1在腦小血管病CARASIL綜合征中也扮演關鍵角色,患者常因HTRA1功能缺失引發腦白質病變及早期卒中。
近年來針對HTRA1的藥物研發聚焦于眼科疾病領域。例如Ionis公司開發的HTRA1靶向反義寡核苷酸IONIS-HTTRx已進入II期臨床,用于治療地理萎縮型AMD。部分單抗類藥物通過抑制HTRA1與血管內皮生長因子(VEGF)的協同作用,試圖突破現有抗VEGF療法的耐藥性問題。在腫瘤領域,由于HTRA1在胰腺癌、卵巢癌中呈現高表達特征,其蛋白酶活性調控機制也成為潛在治療靶點。
熱銷產品
Recombinant Human Serine protease HTRA1 (HTRA1) (CSB-EP835695HU)
驗證數據
(Tris-Glycine gel) Discontinuous SDS-PAGE (reduced) with 5% enrichment gel and 15% separation gel.
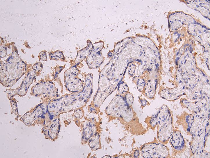
HTRA1 Recombinant Monoclonal Antibody (CSB-RA835695MA1HU)
驗證數據
IHC image of CSB-RA835695MA1HU diluted at 1:200 and staining in paraffin-embedded human placenta tissue performed on a Leica BondTM system. After dewaxing and hydration, antigen retrieval was mediated by high pressure in a citrate buffer (pH 6.0). Section was blocked with 10% normal goat serum 30min at RT. Then primary antibody (1% BSA) was incubated at 4°C overnight. The primary is detected by a Goat anti-human polymer IgG labeled by HRP and visualized using 0.05% DAB.
Human Serine protease HTRA1(HTRA1) ELISA kit (CSB-EL010901HU)
驗證數據
貨號:CSB-EL010901HU
規格:96T/48T
靈敏度:0.39 ng/mL
檢測范圍:1.56 ng/mL-100 ng/mL
These standard curves are provided for demonstration only. A standard curve should be generated for each set of samples assayed.
HTRA1 Antibodies
HTRA1 for Homo sapiens (Human)
| 產品貨號 | 產品名稱 | 種屬反應性 | 應用類型 |
|---|---|---|---|
| CSB-PA010901GA01HU | HTRA1 Antibody | Human,Mouse,Rat | ELISA,WB |
| CSB-PA835695LA01HU | HTRA1 Antibody | Human | ELISA, IHC, IF |
| CSB-PA835695LB01HU | HTRA1 Antibody, HRP conjugated | Human | ELISA |
| CSB-PA835695LC01HU | HTRA1 Antibody, FITC conjugated | Human | |
| CSB-PA835695LD01HU | HTRA1 Antibody, Biotin conjugated | Human | ELISA |
| CSB-RA835695MA1HU | HTRA1 Recombinant Monoclonal Antibody | Human | ELISA, IHC |
HTRA1 Proteins
HTRA1 Proteins for Homo sapiens (Human)
| 產品貨號 | 產品名稱 | 來源 |
|---|---|---|
| CSB-YP835695HU CSB-BP835695HU CSB-MP835695HU CSB-EP835695HU-B |
Recombinant Human Serine protease HTRA1 (HTRA1) | Yeast Baculovirus Mammalian cell In Vivo Biotinylation in E.coli |
| CSB-EP835695HU | Recombinant Human Serine protease HTRA1 (HTRA1) | E.coli |
HTRA1 ELISA Kit
HTRA1 ELISA Kit for Homo sapiens (Human)
| 產品貨號 | 產品名稱 | 樣本類型 | 靈敏度 |
|---|---|---|---|
| CSB-EL010901HU | Human Serine protease HTRA1(HTRA1) ELISA kit | serum, plasma, cell culture supernates | 0.39 ng/mL |






