GIPR Antibody
-
中文名稱:GIPR兔多克隆抗體
-
貨號:CSB-PA009438ESR2HU
-
規格:¥440
-
圖片:
-
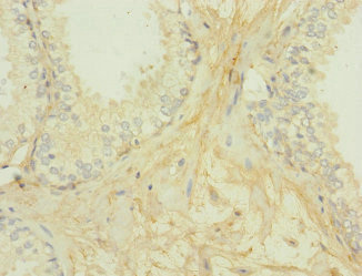
Immunohistochemistry of paraffin-embedded human prostate cancer using CSB-PA009438ESR2HU at dilution of 1:100
-
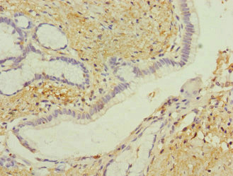
Immunohistochemistry of paraffin-embedded human pancreatic tissue using CSB-PA009438ESR2HU at dilution of 1:100
-
Immunofluorescent analysis of 293 cells using CSB-PA009438ESR2HU at dilution of 1:100 and Alexa Fluor 488-congugated AffiniPure Goat Anti-Rabbit IgG(H+L)
-
-
其他:
產品詳情
-
產品名稱:Rabbit anti-Homo sapiens (Human) GIPR Polyclonal antibody
-
Uniprot No.:
-
基因名:
-
別名:GIPR; Gastric inhibitory polypeptide receptor; GIP-R; Glucose-dependent insulinotropic polypeptide receptor
-
宿主:Rabbit
-
反應種屬:Human
-
免疫原:Recombinant Human Gastric inhibitory polypeptide receptor protein (22-138AA)
-
免疫原種屬:Homo sapiens (Human)
-
標記方式:Non-conjugated
-
克隆類型:Polyclonal
-
抗體亞型:IgG
-
純化方式:Antigen Affinity Purified
-
濃度:It differs from different batches. Please contact us to confirm it.
-
保存緩沖液:PBS with 0.02% sodium azide, 50% glycerol, pH7.3.
-
產品提供形式:Liquid
-
應用范圍:ELISA, IHC, IF
-
推薦稀釋比:
Application Recommended Dilution IHC 1:20-1:200 IF 1:50-1:200 -
Protocols:
-
儲存條件:Upon receipt, store at -20°C or -80°C. Avoid repeated freeze.
-
貨期:Basically, we can dispatch the products out in 1-3 working days after receiving your orders. Delivery time maybe differs from different purchasing way or location, please kindly consult your local distributors for specific delivery time.
-
用途:For Research Use Only. Not for use in diagnostic or therapeutic procedures.
相關產品
靶點詳情
-
功能:This is a receptor for GIP. The activity of this receptor is mediated by G proteins which activate adenylyl cyclase.
-
基因功能參考文獻:
- an association between the GIPR rs2302382 polymorphism and type 2 diabetes mellitus in Egyptian patients. PMID: 28744963
- Data suggest that GIPR (gastric inhibitory polypeptide receptor) is among the few GPCRs (G-protein-coupled receptors) which signal through G-proteins (GTP-binding protein Gs alpha subunit, here) both at plasma membrane and in endosomes; recombinant proteins expressed in HEK293 cells were used in these studies. PMID: 27641811
- GIPR overexpression does not appear to affect acromegalic patients' clinical features PMID: 28179449
- Study shows the internalization of GIPR involving clathrin-coated pits, AP-2 and dynamin and its subsequent intracellular trafficking. GIP stimulates a rapid robust internalization of the GIPR, the major part being directed to lysosomes. PMID: 26225752
- The common variant rs10423928 in the GIPR gene is associated with increased risk of stroke in patients with type 2 diabetes. PMID: 26395740
- Body mass index change for the A/T+A/A in GIPR genotypes was significantly higher than that for the T/T genotype. rs10423928 may predict weight gain in schizophrenia. PMID: 25321336
- The potential future role of gastric inhibitory peptide (GIP) receptors as molecular targets in neuroendocrine neoplasms may be dependent on the tumor grade. PMID: 25591947
- Results show that GIPR undergoes trafficking between the plasma membrane and intracellular compartments of both GIP-stimulated and unstimulated adipocytes. PMID: 25047836
- GIPR is overexpressed in gastric and duodenal neuroendocrine tumors PMID: 24565507
- GIPR expression was downregulated in subcutaneous adipose tissue from obese patients and correlated negatively with body mass index, waist circumference, systolic blood pressure, and glucose and triglyceride levels. PMID: 24512489
- GIPR promoter was hypomethylated in type 2 diabetic patients as compared to controls. PMID: 24086540
- This study demonstrates an association between a functional GIPR polymorphism Glu354Gln (rs1800437) and Bone mineral density and fracture risk. PMID: 24446656
- Compared with the current treatment standard SSTR2, GIPR has only somewhat lesser absolute gene expression in tumor tissue but much lesser expression in normal tissue, making it a promising new target for neuroendocrine tumor imaging and therapy. PMID: 24238043
- Structural and pharmacological characterization of novel potent and selective monoclonal antibody antagonists of glucose-dependent insulinotropic polypeptide receptor. PMID: 23689510
- Functional expression of a GIP receptor mutant lacking N-glycosylation is rescued by co-expressed wild type GLP1 receptor, which suggests formation of a GIP-GLP1 receptor heteromer. PMID: 22412906
- Our prospective, observational study indicates that the type 2 diabetes risk by dietary intake of carbohydrate and fat may be dependent on GIPR genotype. PMID: 22399504
- Most of the somatostatin receptor-negative neuroendocrine tumors and GLP-1 receptor-negative malignant insulinomas are GIP receptor positive. PMID: 22112810
- The T allele of GIPR rs2287019 is associated with greater improvement of glucose homeostasis in individuals who choose a low-fat, high-carbohydrate, and high-fiber diet. PMID: 22237064
- a role of the adipocyte GIPr in nutrient-dependent regulation of body weight and lean mass, but it does not support a direct and independent role for the adipocyte or beta-cell GIPr in promoting adipogenesis. PMID: 22027838
- Variations of the GIPR sequence are not associated with childhood obesity. PMID: 20516203
- Variants at the GIPR locus associated with 2-h glucose level (rs10423928, beta (s.e.m.) = 0.09 (0.01) mmol/l per A allele, P = 2.0 x 10(-15)), were identified. PMID: 20081857
- Proximal 5' flanking region is TATA-less and contains a GC-rich region involved in cellular expression. PMID: 12530665
- differences in cellular response to gastric inhibitory polypeptide(GIP) mediated by endothelin-1 may be related to differences in activation of GIP receptor splice variants PMID: 12721154
- Glucose-stimulated insulin secretion is maintained despite complete absence of both GIP-1 and GIP receptors. Role for incretin receptors as essential downstream targets for glucoregulatory actions of DPP-IV inhibitors. PMID: 15111503
- Proximal promoter of GIP-R gene contains a GC-rich region capable of binding to Sp1 and SP3. PMID: 15666829
- the promoter region of the GIP-R gene revealed six consensus sequences important in regulating the reporter gene activity and capable of binding to Sp1 and Sp3 transcription factors PMID: 16087722
- GIPR adipose tissue gene expression was significantly lower in insulin resistant obese non-diabetic women PMID: 17395281
- GIPR overexpression was observed in pediatric and adult adrenocortical tumors PMID: 18971217
- Diabetic kidney lesions of GIPRdn transgenic mice: podocyte hypertrophy and thickening of the GBM precede glomerular hypertrophy and glomerulosclerosis. PMID: 19211686
- Our data suggest a potential relevance of GIPR variants for obesity. PMID: 19254363
- Decreased TCF7L2 protein levels in type 2 diabetes mellitus correlate with downregulation of GLP-1R and GIP-R. PMID: 19386626
顯示更多
收起更多
-
亞細胞定位:Cell membrane; Multi-pass membrane protein.
-
蛋白家族:G-protein coupled receptor 2 family
-
數據庫鏈接:
Most popular with customers
-
-
YWHAB Recombinant Monoclonal Antibody
Applications: ELISA, WB, IHC, IF, FC
Species Reactivity: Human, Mouse, Rat
-
Phospho-YAP1 (S127) Recombinant Monoclonal Antibody
Applications: ELISA, WB, IHC
Species Reactivity: Human
-
-
-
-
-















