CLDN7 Antibody
-
中文名稱:CLDN7兔多克隆抗體
-
貨號:CSB-PA119092
-
規格:¥1100
-
圖片:
-
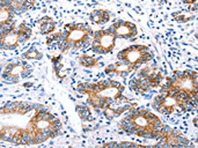
The image on the left is immunohistochemistry of paraffin-embedded Human colon cancer tissue using CSB-PA119092(CLDN7 Antibody) at dilution 1/50, on the right is treated with synthetic peptide. (Original magnification: ×200)
-
The image on the left is immunohistochemistry of paraffin-embedded Human stomach cancer tissue using CSB-PA119092(CLDN7 Antibody) at dilution 1/50, on the right is treated with synthetic peptide. (Original magnification: ×200)
-
Gel: 10%SDS-PAGE, Lysate: 30 μg, Lane: Human liver cancer tissue, Primary antibody: CSB-PA119092(CLDN7 Antibody) at dilution 1/1050, Secondary antibody: Goat anti rabbit IgG at 1/8000 dilution, Exposure time: 40 seconds
-
-
其他:
產品詳情
-
Uniprot No.:
-
基因名:
-
別名:CLDN7; CEPTRL2; CPETRL2; Claudin-7; CLDN-7
-
宿主:Rabbit
-
反應種屬:Human,Mouse,Rat
-
免疫原:Synthetic peptide of Human CLDN7
-
免疫原種屬:Homo sapiens (Human)
-
標記方式:Non-conjugated
-
抗體亞型:IgG
-
純化方式:Antigen affinity purification
-
濃度:It differs from different batches. Please contact us to confirm it.
-
保存緩沖液:-20°C, pH7.4 PBS, 0.05% NaN3, 40% Glycerol
-
產品提供形式:Liquid
-
應用范圍:ELISA,WB,IHC
-
推薦稀釋比:
Application Recommended Dilution ELISA 1:1000-1:10000 WB 1:1000-1:3000 IHC 1:50-1:150 -
Protocols:
-
儲存條件:Upon receipt, store at -20°C or -80°C. Avoid repeated freeze.
-
貨期:Basically, we can dispatch the products out in 1-3 working days after receiving your orders. Delivery time maybe differs from different purchasing way or location, please kindly consult your local distributors for specific delivery time.
-
用途:For Research Use Only. Not for use in diagnostic or therapeutic procedures.
相關產品
靶點詳情
-
功能:Plays a major role in tight junction-specific obliteration of the intercellular space.
-
基因功能參考文獻:
- this paper shows that TGF-beta1 alters esophageal epithelial barrier function by attenuation of claudin-7 in eosinophilic esophagitis PMID: 28832026
- In addition to replicating a previously identified genome-wide significant locus for corneal astigmatism near the PDGFRA gene, gene-based analysis identified three novel candidate genes, CLDN7, ACP2, and TNFAIP8L3, that warrant further investigation to understand their role in the pathogenesis of corneal astigmatism. (Meta-analysis) PMID: 29422769
- the present study revealed the distinct expression profiles of claudin5, 7 and 8 in nonneoplastic mucosal tissues and gastric carcinoma tissues. Furthermore, the expression of these claudin proteins was highly associated with metastatic progression and prognosis in patients with gastric carcinoma PMID: 29901188
- DICFM approach may be applied as an appropriate approach to quantify the immunohistochemical staining of claudin-7 on the cell membrane and claudin-7 may serve as a marker for identification of lung cancer PMID: 29512497
- Cycling hypoxia could induce significant changes in CLDN1 and CLDN7 expression in nasopharyngeal cancer cells, indirectly regulation P18 expression and affecting cell invasion/proliferation. PMID: 28055967
- These results identify EpCAM as a substrate of matriptase and link HAI-2, matriptase, EpCAM, and claudin-7 in a functionally important pathway that causes disease when it is dysregulated. PMID: 28094766
- 84/118, 64/118, 52/118 reaction with claudin-1, claudin-3 and claudin-4 in cancer and colon polyps had a membrane localization, respectively.Mislocalization claudin-3 to nucleus in colon cancer and mislocalization claudin-4 to nucleus in adenomas of the colon were detected for the first time. PMID: 28295005
- suggest that the reduction of CLDN5, 7, and 18 expression loses the suppressive ability of interaction between PDK1 and Akt and causes sustained phosphorylation of Akt, resulting in the disordered proliferation in lung squamous carcinoma cells PMID: 27884700
- that the dysregulated expression of these miRNAs, in conjunction with the high claudin 1 levels, could serve as a useful biomarker that identifies a subset of tumors within the poorly characterized basal-like subtype of breast cancer PMID: 26982264
- The expression of claudin-7 has no obviously difference between cervical carcinoma tissues and adjacent non-neoplastic tissues. PMID: 26464708
- We identified hepatocyte nuclear factor 4alpha as a regulatory factor that bound endogenous CLDN7 promoter in differentiating intestinal epithelial cells and stimulated CLDN7 promoter activity. PMID: 26216285
- we identified a previously unrecognized function of claudin-7 in regulating cell proliferation and maintaining epithelial cell attachment through engaging integrin beta1. PMID: 26081244
- A variant, rs222857, in the CLDN7 locus, predicted adiponectin increases within intensive lifestyle intervention. PMID: 25759378
- CLDN-7 palmitoylation prohibits tight junction integration and fosters glycolipid-enriched membrane domains recruitment. Via associated molecules, palmitoylated CLDN-7supports motility and invasion. PMID: 26054340
- The increased claudin-1 expression was significantly associated with the high pathologic grade, the presence of microscopic perineural invasion, vascular invasion, nodal metastasis, and advanced clinical stage of oral squamous cell carcinoma. PMID: 25078758
- Data indicate that claudin-7 knockdown cells display decreased anchorage-independent growth. PMID: 25514462
- Loss of claudin-7 potentiates epithelial-to-mesenchymal transition to promote colon cancer, in a manner dependent on Rab25. PMID: 25500541
- Icreased claudin 7 expression was related to decreased survival in nasopharyngeal carcinoma. PMID: 25778318
- Increased expression of claudin-7 is associated with liver cirrhosis and hepatocellular carcinoma. PMID: 24696415
- This study suggests the possibility that EpCAM, together with CD44v6 and claudin-7 as well as ALDH1, may be involved in the development of the aggressive phenotype of anaplastic thyroid carcinoma. PMID: 24727741
- these results confirm the role of claudin-1 as a promoter of colon tumorigenesis and further identify the role of the dysregulated antigen-tumor interaction and inflammation in claudin-1-dependent upregulation of colon tumorigenesis. PMID: 24997475
- Evaluated expression of claudins in gastric cancer and determined their significance for patient outcome. Claudin-3 and claudin-7 were expressed in 25.4% and 29.9% of gastric cancer tissues; 51.5% of gastric cancer tissues had reduced claudin-18. PMID: 24333468
- These results suggest aberrant Claudin 7, alpha - and beta-catenin expression and/or localisation patterns may be putative markers for distinguishing localised prostate cancer from aggressive metastatic disease when used collectively. PMID: 24358122
- the CLDN7 rs4562 (c.590C>T) genotype had a higher risk of lymph node involvement and a lower degree of tumor differentiation PMID: 24479816
- lack of claudin-7 expression in the tumour centre may be used to identify patients with increased risk for regional recurrence PMID: 23953778
- Claudin-7 was phosphorylated at serine 204 by protein kinase C. PMID: 23433123
- Survival analysis showed a trend toward a better prognosis among patients with overexpression of claudin-7 in hepatocellular carcinoma. PMID: 23146509
- Increased expression of claudin-1 contributes to an anti-apoptotic role in TNF-alpha-induced apoptosis. PMID: 22941467
- CD24+ (P=0.07) and claudin-7 positivity (P=0.05) were associated with reduced time of recurrence, suggesting a contribution of these markers to aggressiveness of breast cancer. PMID: 21956537
- Claudin-7 and tricellulin were markedly reduced at all stages of tumor development. In situ hybridization analysis showed no correlation between HPV infection and altered expression of the tight junction proteins. PMID: 21480761
- Claudin-7 is significantly upregulated in epithelial ovarian cancer. PMID: 21789222
- down-regulation of Claudin-7 and overexpression of Slug in lung squamous cell carcinoma and adenocarcinoma PMID: 21645451
- The claudin-7 inhibits cell migration and invasion through ERK/MAPK signaling pathway in response to growth factor stimulation in human lung cancer cells. PMID: 21641901
- transcriptional activity of claudin 7 gene not a useful marker of laryngeal tumor PMID: 21193919
- Claudin-7 mRNA level is decreased already as an early event in colorectal carcinogenesis, probably contributing to the compromised epithelial barrier in adenomas. PMID: 21310043
- Claudin-7 down-regulation is an important feature in oral squamous cell carcinoma PMID: 21083599
- These data suggest that proteasomes regulate claudin-1 localization at the plasma membrane, which changes upon proteasomal inhibition to a Rab5a-mediated endosomal localization. PMID: 20926780
- Increased expression of claudin-6, claudin-7, or claudin-9 is sufficient to enhance tumorigenic properties of a gastric adenocarcinoma cell line. PMID: 20874001
- Claudins 6, 7, and 9 expressions are closely related to gastric carcinogenesis. PMID: 19960275
- Claudin-1 was expressed in all 18 cases of Epstein-Barr virus-associated nasopharyngeal carcinoma studied PMID: 20204275
- Loss of claudin-7 correlates with histological grade in both ductal carcinoma in situ and invasive ductal carcinoma of the breast, providing insight into the potential role of CLDN-7 in the progression and ability of breast cancer cells to disseminate. PMID: 12673207
- 2 forms of claudin-7, a full-length form with 211 AA residues and a C-terminal truncated form with 158 AA residues, are able to regulate the expression of a tissue-specific protein, prostate-specific antigen, in the LNCaP prostate cancer cell line. PMID: 14502431
- Loss of claudin-1 expression proved to be a strong predictor of disease recurrence and poor patient survival in stage II colon cancer. PMID: 15475928
- Claudin-1 and claudin-7 may play a significant role in tumor progression of cervical neoplasia and may represent useful markers for malignant transformation of cervical squamous cells. PMID: 15790437
- Overexpression of claudin-7 is associated with gastric tumorigenesis PMID: 16049341
- induction of claudin7 expression by ELF3 appears critical to the formation of the epithelial structures in biphasic synovial sarcoma PMID: 17060315
- When compared, adenocarcinomas and squamous cell carcinomas revealed significant differences in CLDN7 expression. PMID: 17418912
- claudin-7-associated EpCAM is recruited into (tetraspanin-enriched membrane microdomains) and forms a complex with CO-029 and CD44v6 that facilitates metastasis formation PMID: 17579117
- Results show show that claudin 7 expression changed with the gastric carcinogenic process and that this is implicated in cancer characteristics. PMID: 17611659
- Claudin-7 to be a candidate expression marker for distinguishing chromophobe renal cell carcinoma from other renal tumor subtypes, including the morphologically similar oncocytoma. PMID: 17922590
顯示更多
收起更多
-
亞細胞定位:Cell membrane; Multi-pass membrane protein. Basolateral cell membrane. Cell junction, tight junction.
-
蛋白家族:Claudin family
-
組織特異性:Expressed in kidney, lung and prostate. Isoform 1 seems to be predominant, except in some normal prostate samples, where isoform 2 is the major form. Down-regulated in breast cancers, including ductal carcinoma in situ (DCIS), lobular carcinoma in situ (L
-
數據庫鏈接:
Most popular with customers
-
-
YWHAB Recombinant Monoclonal Antibody
Applications: ELISA, WB, IHC, IF, FC
Species Reactivity: Human, Mouse, Rat
-
Phospho-YAP1 (S127) Recombinant Monoclonal Antibody
Applications: ELISA, WB, IHC
Species Reactivity: Human
-
-
-
-
-















