CLDN7
CLDN7,即緊密連接蛋白7,別名Claudin 7、Cldn7。它是一種由CLDN7基因編碼的蛋白質,屬于緊密連接蛋白家族成員,在多種上皮細胞和內皮細胞中表達。CLDN7的作用機制涉及形成細胞間的緊密連接,調節細胞旁通透性和離子選擇性,維持細胞極性和組織完整性。CLDN7的功能異常與某些疾病有關,如炎癥性腸病、腫瘤發展等。研究表明,CLDN7在腫瘤中的表達水平與腫瘤的侵襲性和預后相關,可能作為腫瘤治療的潛在靶點。
熱銷產品
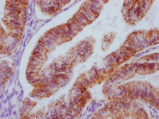
CLDN7 Monoclonal Antibody (CSB-MA963136)
驗證數據
IHC image of CSB-MA963136 diluted at 1:100 and staining in paraffin-embedded human endometrial cancer performed on a Leica BondTM system. After dewaxing and hydration, antigen retrieval was mediated by high pressure in a citrate buffer (pH 6.0). Section was blocked with 10% normal goat serum 30min at RT. Then primary antibody (1% BSA) was incubated at 4°C overnight. The primary is detected by a Goat anti-mouse IgG polymer labeled by HRP and visualized using 0.05% DAB.
Human Claudin-7(CLDN7) ELISA kit (CSB-EL005509HU)
驗證數據
貨號:CSB-EL005509HU
規格:96T/48T
靈敏度:3.9 pg/mL
檢測范圍:15.6 pg/mL-1000 pg/mL
These standard curves are provided for demonstration only. A standard curve should be generated for each set of samples assayed.
CLDN7 Antibodies
CLDN7 for Homo sapiens (Human)
| 產品貨號 | 產品名稱 | 種屬反應性 | 應用類型 |
|---|---|---|---|
| CSB-PA729723 | Phospho-CLDN7 (Tyr210) Antibody | Human,Mouse,Rat | ELISA,WB |
| CSB-PA046041 | CLDN7 (Ab-210) Antibody | Human,Mouse | ELISA,WB,IHC |
| CSB-PA992810 | CLDN7 Antibody | Human,Mouse,Rat | ELISA,WB,IHC |
| CSB-PA007233 | Phospho-CLDN7 (Y210) Antibody | Human,Mouse,Rat | WB, ELISA |
| CSB-PA007235 | CLDN7 Antibody | Human,Mouse,Rat | WB, IHC, IF, ELISA |
| CSB-PA007241 | CLDN7 Antibody | Human,Mouse,Rat | WB, IHC, ELISA |
| CSB-PA092060 | CLDN7 Antibody | Human,Mouse,Rat | ELISA,WB |
| CSB-PA119092 | CLDN7 Antibody | Human,Mouse,Rat | ELISA,WB,IHC |
| CSB-MA963136 | CLDN7 Monoclonal Antibody | Human | ELISA, IHC |
CLDN7 Proteins
CLDN7 Proteins for Homo sapiens (Human)
| 產品貨號 | 產品名稱 | 來源 |
|---|---|---|
| CSB-YP005509HU1 CSB-EP005509HU1 CSB-BP005509HU1 CSB-MP005509HU1 CSB-EP005509HU1-B |
Recombinant Human Claudin-7 (CLDN7), partial | Yeast E.coli Baculovirus Mammalian cell In Vivo Biotinylation in E.coli |
| CSB-CF005509HU | Recombinant Human Claudin-7 (CLDN7) | in vitro E.coli expression system |
CLDN7 ELISA Kit
CLDN7 ELISA Kit for Homo sapiens (Human)
| 產品貨號 | 產品名稱 | 樣本類型 | 靈敏度 |
|---|---|---|---|
| CSB-EL005509HU | Human Claudin-7(CLDN7) ELISA kit | serum, plasma, tissue homogenates, cell lysates | 3.9 pg/mL |






