BCKDK Antibody
-
中文名稱:BCKDK兔多克隆抗體
-
貨號:CSB-PA002607ESR2HU
-
規格:¥440
-
圖片:
-
Western blot
All lanes: BCKDK antibody at 5µg/ml + Hela whole cell lysate
Secondary
Goat polyclonal to rabbit IgG at 1/10000 dilution
Predicted band size: 47, 38, 42 kDa
Observed band size: 47 kDa -
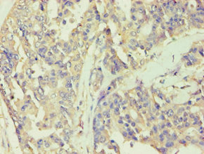
Immunohistochemistry of paraffin-embedded human breast cancer using CSB-PA002607ESR2HU at dilution of 1:100
-
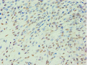
Immunohistochemistry of paraffin-embedded human endometrial cancer using CSB-PA002607ESR2HU at dilution of 1:100
-
-
其他:
產品詳情
-
產品名稱:Rabbit anti-Homo sapiens (Human) BCKDK Polyclonal antibody
-
Uniprot No.:
-
基因名:
-
別名:[3 methyl 2 oxobutanoate dehydrogenase [lipoamide]] kinase, mitochondrial antibody; [3-methyl-2-oxobutanoate dehydrogenase [lipoamide]] kinase antibody; BCKD kinase antibody; BCKD-kinase antibody; BCKD_HUMAN antibody; BCKDHKIN antibody; Bckdk antibody; BCKDKD antibody; BDK antibody; Branched chain alpha keto acid dehydrogenase kinase antibody; Branched chain ketoacid dehydrogenase kinase antibody; Branched-chain alpha-ketoacid dehydrogenase kinase antibody; mitochondrial antibody
-
宿主:Rabbit
-
反應種屬:Human
-
免疫原:Recombinant Human [3-methyl-2-oxobutanoate dehydrogenase [lipoamide]] kinase, mitochondrial protein (153-412AA)
-
免疫原種屬:Homo sapiens (Human)
-
標記方式:Non-conjugated
-
克隆類型:Polyclonal
-
抗體亞型:IgG
-
純化方式:Antigen Affinity Purified
-
濃度:It differs from different batches. Please contact us to confirm it.
-
保存緩沖液:PBS with 0.02% sodium azide, 50% glycerol, pH7.3.
-
產品提供形式:Liquid
-
應用范圍:ELISA, WB, IHC
-
推薦稀釋比:
Application Recommended Dilution WB 1:200-1:1000 IHC 1:20-1:200 -
Protocols:
-
儲存條件:Upon receipt, store at -20°C or -80°C. Avoid repeated freeze.
-
貨期:Basically, we can dispatch the products out in 1-3 working days after receiving your orders. Delivery time maybe differs from different purchasing way or location, please kindly consult your local distributors for specific delivery time.
-
用途:For Research Use Only. Not for use in diagnostic or therapeutic procedures.
相關產品
靶點詳情
-
功能:Catalyzes the phosphorylation and inactivation of the branched-chain alpha-ketoacid dehydrogenase complex, the key regulatory enzyme of the valine, leucine and isoleucine catabolic pathways. Key enzyme that regulate the activity state of the BCKD complex.
-
基因功能參考文獻:
- our study indicates that BCKDK promotes colorectal tumorigenesis through up-regulation of the MAPK signaling pathway by phosphorylating MEK at Ser221. PMID: 28501528
- There is a relationship between plamsa CST and BCKDK in sepsis patients. PMID: 27773658
- Results demonstrate that BCKDK mutations can result in neurobehavioral deficits in humans. PMID: 24449431
- This publication is about the mouse gene but contains the 5' sequence of the human gene, including upstream open reading frame information. PMID: 15302860
- employment of multidimensional heteronuclear NMR techniques to determine the structure and dynamics of the LBD of the human branched-chain alpha-keto acid dehydrogenase complex (hbLBD) PMID: 11839747
顯示更多
收起更多
-
相關疾病:Branched-chain ketoacid dehydrogenase kinase deficiency (BCKDKD)
-
亞細胞定位:Mitochondrion matrix. Mitochondrion.
-
蛋白家族:PDK/BCKDK protein kinase family
-
組織特異性:Ubiquitous.
-
數據庫鏈接:
Most popular with customers
-
-
YWHAB Recombinant Monoclonal Antibody
Applications: ELISA, WB, IHC, IF, FC
Species Reactivity: Human, Mouse, Rat
-
-
-
-
-
-















