AGER Antibody
-
中文名稱:AGER兔多克隆抗體
-
貨號:CSB-PA874417
-
規格:¥1100
-
圖片:
-
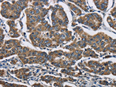
The image is immunohistochemistry of paraffin-embedded Human breast cancer tissue using CSB-PA874417(AGER Antibody) at dilution 1/70. (Original magnification: ×200)
-
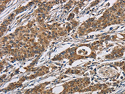
The image is immunohistochemistry of paraffin-embedded Human gastric cancer tissue using CSB-PA874417(AGER Antibody) at dilution 1/70. (Original magnification: ×200)
-
Gel: 10%SDS-PAGE, Lysate: 40 μg, Lane: 231 cells, Primary antibody: CSB-PA874417(AGER Antibody) at dilution 1/750, Secondary antibody: Goat anti rabbit IgG at 1/8000 dilution, Exposure time: 2 minutes
-
-
其他:
產品詳情
-
Uniprot No.:
-
基因名:
-
別名:Advanced glycosylation end product-specific receptor antibody; Ager antibody; DAMA 358M23.4 antibody; MGC2235 antibody; MGC22357 antibody; RAGE_HUMAN antibody; Receptor for advanced glycation end products antibody; Receptor for advanced glycosylation end products antibody
-
宿主:Rabbit
-
反應種屬:Human
-
免疫原:Fusion protein of Human AGER
-
免疫原種屬:Homo sapiens (Human)
-
標記方式:Non-conjugated
-
抗體亞型:IgG
-
純化方式:Antigen affinity purification
-
濃度:It differs from different batches. Please contact us to confirm it.
-
保存緩沖液:-20°C, pH7.4 PBS, 0.05% NaN3, 40% Glycerol
-
產品提供形式:Liquid
-
應用范圍:ELISA,WB,IHC
-
推薦稀釋比:
Application Recommended Dilution ELISA 1:2000-1:5000 WB 1:500-1:2000 IHC 1:5-1:20 -
Protocols:
-
儲存條件:Upon receipt, store at -20°C or -80°C. Avoid repeated freeze.
-
貨期:Basically, we can dispatch the products out in 1-3 working days after receiving your orders. Delivery time maybe differs from different purchasing way or location, please kindly consult your local distributors for specific delivery time.
-
用途:For Research Use Only. Not for use in diagnostic or therapeutic procedures.
相關產品
靶點詳情
-
功能:Mediates interactions of advanced glycosylation end products (AGE). These are nonenzymatically glycosylated proteins which accumulate in vascular tissue in aging and at an accelerated rate in diabetes. Acts as a mediator of both acute and chronic vascular inflammation in conditions such as atherosclerosis and in particular as a complication of diabetes. AGE/RAGE signaling plays an important role in regulating the production/expression of TNF-alpha, oxidative stress, and endothelial dysfunction in type 2 diabetes. Interaction with S100A12 on endothelium, mononuclear phagocytes, and lymphocytes triggers cellular activation, with generation of key proinflammatory mediators. Interaction with S100B after myocardial infarction may play a role in myocyte apoptosis by activating ERK1/2 and p53/TP53 signaling. Receptor for amyloid beta peptide. Contributes to the translocation of amyloid-beta peptide (ABPP) across the cell membrane from the extracellular to the intracellular space in cortical neurons. ABPP-initiated RAGE signaling, especially stimulation of p38 mitogen-activated protein kinase (MAPK), has the capacity to drive a transport system delivering ABPP as a complex with RAGE to the intraneuronal space. Can also bind oligonucleotides.
-
基因功能參考文獻:
- In a candidate association study identified 2 polymorphisms (T-429C and G1704T) in RAGE, which were not only associated with increased MI risk but also interacted with metabolic risk factors to increase that risk. PMID: 28956473
- High RAGE expression is associated with Breast Carcinoma. PMID: 30139236
- AGEs increase IL-6 and ICAM-1 expression via the RAGE, MAPK and NF-kappaB pathways in HGFs and may exacerbate the progression of the pathogenesis of periodontal diseases. PMID: 29193068
- Low serum sRAGE level is associated with Sarcopenia. PMID: 29271076
- Results show that RAGE is activated by HMGB1 to induce EMT in prostate cancer cells. PMID: 29845254
- Endogenous secretory receptor for advanced glycation end products protects endothelial cells from advanced glycosylation end-product associated apoptosis. PMID: 29850572
- high mobility group box 1-receptor for advanced glycation end-products (HMGB1-RAGE) signaling pathway may be involved in the pathogenesis of preterm premature rupture of the membranes (pPROM). PMID: 29673663
- Results show that RAGE is upregulated in breast cancer tissues, and confirmed that RAGE was a direct target of miR-328. PMID: 29620238
- The results suggest that S100A12 does not participate in the induction of inflammation in dental pulp. However, RAGE can participate in the inflammation in the pulp of males. PMID: 28834384
- The results show for the first time that RAGE is present in neuronally-derived plasma exosomes, and suggest that exosomal RAGE may be a novel biomarker that reflects pathophysiological processes in the brain. PMID: 29702093
- Decreased soluble RAGE in neutrophilic asthma is correlated with disease severity and RAGE G82S variants. PMID: 29257350
- Our study provides novel evidence for a potential role of AGER in bridging human papillomavirus (HPV)-induced inflammation and cervical cancer. PMID: 29298878
- Plasmatic RAGE level is significantly lower in patients with prosthetic-joint-associated infections. PMID: 29386700
- Inhibition of GLO1 in Glioblastoma Multiforme Increases DNA-AGEs, Stimulates RAGE Expression, and Inhibits Brain Tumor Growth in Orthotopic Mouse Models PMID: 29385725
- a significant association between RAGE gene rs1800624 and rs1800625 polymorphisms and Age-related macular degeneration risk, is reported. PMID: 29317590
- HMGB1 mediates fibroblast activity via RAGE-MAPK and NF-kappaB signaling in keloid scar formation. PMID: 29283384
- Data revealed that hESC accumulates CML and RAGE under oxidative stress conditions in different ways than somatic cells, being the accumulation of CML statistically significant only in somatic cells and, conversely, the RAGE increase exclusively appreciated in hESC. PMID: 29104727
- In women with Polycystic ovary syndrome(PCOS), the low ovarian levels of the anti-inflammatory sRAGE suggest that sRAGE could represent a biomarker and a potential therapeutic target for ovarian dysfunction in PCOS. Whether there is a direct causal relationship between sRAGE and vit D in the ovaries remains to be determined PMID: 28825156
- current research highlighted the Glo-I/AGE/RAGE system as an interesting therapeutic target in chronic liver diseases. These findings need further elucidation in preclinical and clinical studies. PMID: 29156655
- Low esRAGE expression is associated with bone Fractures. PMID: 29040721
- Elevated sRAGE serum level is associated with further adverse events in patients with cardiovascular disease. PMID: 28864204
- Our findings suggested that polymorphisms in the RAGE gene are involved in genetic susceptibility to Alzheimer disease but did not modify the risk of lewy body disease. PMID: 27699858
- Findings suggest soluble Receptor for Advanced Glycation End products (sRAGE) protein from sRAGE-mesenchymal stem cells (MSC) has better protection against neuronal cell death than sRAGE protein or single MSC treatment by inhibiting the RAGE cell death cascade and RAGE-induce inflammation. PMID: 28760504
- Protection against diabetic nephropathy in RAGE knockout mice is likely to be due in part to the decreased responsiveness to TGF beta stimulation and an antiapoptotic phenotype in mesangial cells. PMID: 29449307
- the A allele of RAGE -374T/A polymorphism probably increase diabetic retinopathy risk (Meta-Analysis) PMID: 29451661
- Advanced glycation end products decrease collagen I levels in fibroblasts from the vaginal wall of patients with pelvic organ prolapse via the RAGE, MAPK and NF-kappaB pathways. PMID: 28849117
- we identified two risk-associated polymorphisms (rs1045411 and rs2070600), and more importantly a joint impact of seven polymorphisms from the HMGB1/RAGE axis in susceptibility to hepatocellular carcinoma PMID: 28187002
- type 2 diabetes showed a higher cellular sensitivity for activation of receptor of advanced glycation end products. PMID: 27873077
- the G82S variant of the RAGE gene was significantly associated with an increased risk of all-cause mortality and acute myocardial infarction in the Chinese Han population. PMID: 28660308
- both RAGE and mitochondrial damage primed NLRP3 and pro-IL-1beta activation as upstream signals of NF-kappaB activity, whereas mitochondrial damage was critical for the assembly of inflammasome components. These results revealed that accumulation of AGEs in NP tissue may initiate inflammation-related degeneration of the intervertebral disc via activation of the NLRP3 inflammasome. PMID: 28224704
- The main mechanism of Integrin alphaXbeta2 I-domain binding to RAGE is a charge interaction, in which the acidic moieties of Integrin alphaXbeta2 I-domains, including E244, and D249, recognize the basic residues on the RAGE V-domain encompassing K39, K43, K44, R104, and K107. PMID: 28535664
- An overexpression of the receptor for RAGE was found in lesioned samples of patients with acquired reactive perforating collagenosis. PMID: 28474638
- Single-nucleotide polymorphism in RAGE gene and high circulating soluble RAGE level is associated with diabetic kidney disease. PMID: 27448675
- Significant association of the RAGE system with Hashimoto's thyroiditis was found only with regard to the prevalence of the -429T>C, but not with -374T>A polymorphism. PMID: 28226412
- study revealed an early and constant increase of sRAGE level in the CSF of aneurysmal subarachnoid haemorrhage patients. PMID: 28630869
- These data indicate that sRAGE may be involved in the initiation of beta-cell autoimmunity but not in the progression from beta-cell autoimmunity to clinical disease. PMID: 27883367
- IL-23, alone and in combination with IL-18 and sRAGE, identified bacterial meningitis with excellent accuracy. Following validation, these markers could aid clinicians in diagnosis of bacterial meningitis and decision-making regarding prolongation of antibiotic therapy PMID: 29394248
- meta-analysis aimed at investigating whether the RAGE rs2070600 polymorphism is associated with cancer risk PMID: 29421442
- found that S100B plays a crucial role in blocking the interaction site between RAGE V domain and S100A1. A cell proliferation assay WST-1 also supported our results. This report could potentially be useful for new protein development for cancer treatment PMID: 29444082
- Lower plasma sRAGE levels may be a biological measure of disease severity in idiopathic pulmonary fibrosis (IPF). Variation at the rs2070600 single-nucleotide polymorphism was not associated with IPF risk. PMID: 28248552
- Results suggest a possible association between a functional polymorphism in AGER and IPF disease susceptibility, and indicate a potential prognostic value of circulatory sRAGE. PMID: 28198072
- Thus, hypoxia not only increases RAGE expression in THP-1cells by promoting nuclear translocation of NF-kappa B and HIF1alpha, but also regulates chemotaxis and pro-inflammatory cytokines release, which may be partially mediated through upregulation of RAGE expression. PMID: 29258824
- This study demonstrated that RAGE mRNA levels were significantly decreased in the new cases of untreated MS patients in comparison to healthy controls. IFN-beta 1a therapy results in upregulation of RAGE in MS patients. PMID: 28433998
- High RAGE expression is associated with lung cancer. PMID: 26930711
- findings collectively demonstrate that fasting blood sRAGE and esRAGE may be causally implicated in IGM in primary hypertensive patients PMID: 28974473
- Our data suggest that the inhibition of sRAGE on I/R-induced apoptosis is associated with activation and expression of proteasome, including improved proteasome activity and elevated beta1i and beta5i expression mediated by STAT3 activation. We predict that sRAGE is a novel intervention to target UPS activation for preventing and treating myocardial apoptosis. PMID: 26878774
- Receptor for AGE expression and reactive oxygen species production were upregulated in db/db mouse livers, together with impaired proteolytic, antioxidant and mitochondrial respiratory activities. In parallel, acute exposure of HepG2 cells to glycated albumin also elicited intracellular free radical formation PMID: 27890722
- Our data suggest that H2S reduces RAGE dimer formation and impairs its membrane stability. The lowered plasma membrane abundance of RAGE therefore helps to protect cells against various RAGE mediated pathological effects. PMID: 28108276
- Methylglyoxal-derived hydroimidazolone 1 evokes inflammatory reactions in human umbilical vein endothelial cells via receptor for advanced glycation end products. PMID: 28631505
- Reduced values of sRAGE isoforms observed with both obesity and impaired glucose tolerance are independently associated with greater proportional odds of developing type 2 diabetes PMID: 28811295
顯示更多
收起更多
-
亞細胞定位:[Isoform 1]: Cell membrane; Single-pass type I membrane protein.; [Isoform 2]: Secreted.; [Isoform 10]: Cell membrane; Single-pass type I membrane protein.
-
組織特異性:Endothelial cells.
-
數據庫鏈接:
Most popular with customers
-
-
YWHAB Recombinant Monoclonal Antibody
Applications: ELISA, WB, IHC, IF, FC
Species Reactivity: Human, Mouse, Rat
-
Phospho-YAP1 (S127) Recombinant Monoclonal Antibody
Applications: ELISA, WB, IHC
Species Reactivity: Human
-
-
-
-
-















