AGER
AGER,即高級糖基化終產物特異性受體,別名RAGE,是免疫球蛋白超家族成員,主要表達于細胞表面。作為跨膜信號轉導受體,AGER與多種配體結合,通過激活NF-κ-B等信號通路,調控炎癥細胞因子釋放,參與細胞增殖、遷移及炎癥反應。在生物學上,AGER與糖尿病并發癥、神經退行性疾病及癌癥等密切相關,其表達受炎癥與氧化應激調控,是評估疾病嚴重程度及預后的潛在生物標志物。針對AGER的靶向治療,如小分子抑制劑或抗體療法,有望為相關疾病提供新的治療策略。
熱銷產品
驗證數據
(Tris-Glycine gel) Discontinuous SDS-PAGE (reduced) with 5% enrichment gel and 15% separation gel.
驗證數據
The image is immunohistochemistry of paraffin-embedded Human gastric cancer tissue using CSB-PA066696(AGER Antibody) at dilution 1/70. (Original magnification: ×200)
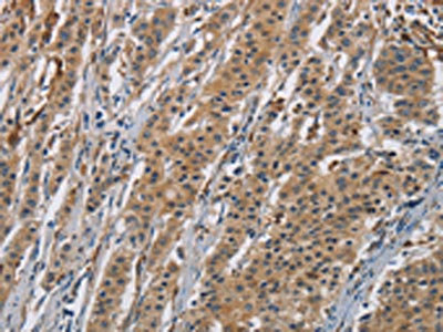
The image is immunohistochemistry of paraffin-embedded Human liver cancer tissue using CSB-PA066696(AGER Antibody) at dilution 1/70. (Original magnification: ×200)
Gel: 8%SDS-PAGE,Lysate: 40 μg,,Primary antibody: CSB-PA066696(AGER Antibody) at dilution 1/750 dilution,Secondary antibody: Goat anti rabbit IgG at 1/8000 dilution,Exposure time: 2 minutes
AGER Antibodies
AGER for Homo sapiens (Human)
| 產品貨號 | 產品名稱 | 種屬反應性 | 應用類型 |
|---|---|---|---|
| CSB-PA14209B0Rb | AGER Antibody, HRP conjugated | Human | ELISA |
| CSB-PA14209A0Rb | AGER Antibody | Human | ELISA, IHC, IF |
| CSB-PA007810 | AGER Antibody | Human | WB, IHC, ELISA |
| CSB-PA066696 | AGER Antibody | Human | ELISA,WB,IHC |
| CSB-PA874417 | AGER Antibody | Human | ELISA,WB,IHC |
AGER Proteins
AGER Proteins for Mus musculus (Mouse)
| 產品貨號 | 產品名稱 | 來源 |
|---|---|---|
| CSB-YP001441MO CSB-EP001441MO CSB-BP001441MO CSB-MP001441MO CSB-EP001441MO-B |
Recombinant Mouse Advanced glycosylation end product-specific receptor (Ager), partial | Yeast E.coli Baculovirus Mammalian cell In Vivo Biotinylation in E.coli |
AGER Proteins for Rattus norvegicus (Rat)
| 產品貨號 | 產品名稱 | 來源 |
|---|---|---|
| CSB-YP001441RA CSB-EP001441RA CSB-BP001441RA CSB-MP001441RA CSB-EP001441RA-B |
Recombinant Rat Advanced glycosylation end product-specific receptor (Ager), partial | Yeast E.coli Baculovirus Mammalian cell In Vivo Biotinylation in E.coli |
AGER Proteins for Homo sapiens (Human)
| 產品貨號 | 產品名稱 | 來源 |
|---|---|---|
| CSB-YP001441HU CSB-EP001441HU CSB-BP001441HU CSB-MP001441HU CSB-EP001441HU-B |
Recombinant Human Advanced glycosylation end product-specific receptor (AGER), partial | Yeast E.coli Baculovirus Mammalian cell In Vivo Biotinylation in E.coli |
| CSB-EP001441HU | Recombinant Human Advanced glycosylation end product-specific receptor (AGER), partial | E.coli |
| CSB-MP001441HU1c7 | Recombinant Human Advanced glycosylation end product-specific receptor (AGER), partial | Mammalian cell |
AGER Proteins for Bos taurus (Bovine)
| 產品貨號 | 產品名稱 | 來源 |
|---|---|---|
| CSB-YP001441BO CSB-EP001441BO CSB-BP001441BO CSB-MP001441BO CSB-EP001441BO-B |
Recombinant Bovine Advanced glycosylation end product-specific receptor (AGER), partial | Yeast E.coli Baculovirus Mammalian cell In Vivo Biotinylation in E.coli |
AGER ELISA Kit
AGER ELISA Kit for Homo sapiens (Human)
| 產品貨號 | 產品名稱 | 樣本類型 | 靈敏度 |
|---|---|---|---|
| CSB-E09354h | Human Receptor for advanced glycation end products, RAGE/AGER ELISA Kit | serum, plasma, tissue homogenates | 19.5 pg/mL |
| CSB-E09354h-IS | Human Receptor for advanced glycation end products, RAGE/AGER ELISA Kit | serum, plasma, tissue homogenates | 19.5 pg/mL |
AGER ELISA Kit for Mus musculus (Mouse)
| 產品貨號 | 產品名稱 | 樣本類型 | 靈敏度 |
|---|---|---|---|
| CSB-EL001441MO | Mouse Advanced glycosylation end product-specific receptor(AGER) ELISA kit | serum, plasma, tissue homogenates | 0.078 ng/ml |
AGER ELISA Kit for Rattus norvegicus (Rat)
| 產品貨號 | 產品名稱 | 樣本類型 | 靈敏度 |
|---|---|---|---|
| CSB-EL001441RA | Rat Advanced glycosylation end product-specific receptor(AGER) ELISA kit | serum, plasma,tissue homogenates | 7.81 pg/mL |






