ADM Antibody
-
中文名稱:ADM兔多克隆抗體
-
貨號:CSB-PA001370HA01HU
-
規格:¥440
-
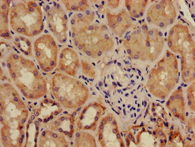
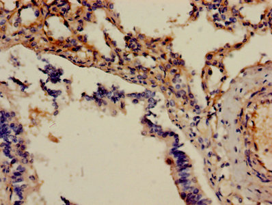
圖片:
-
其他:
產品詳情
-
產品名稱:Rabbit anti-Homo sapiens (Human) ADM Polyclonal antibody
-
Uniprot No.:
-
基因名:
-
別名:Adm antibody; ADM precursor antibody; ADML_HUMAN antibody; Adrenomedullin antibody; AM antibody; PAMP antibody; Preproadrenomedullin antibody; Proadrenomedullin N-20 terminal peptide antibody; Proadrenomedullin N20 terminal peptide antibody; ProAM N terminal 20 peptide antibody; ProAM N-terminal 20 peptide antibody; ProAM N20 antibody; ProAM-N20 antibody; ProAMN20 antibody
-
宿主:Rabbit
-
反應種屬:Human
-
免疫原:Recombinant Human ADM protein (45-92AA)
-
免疫原種屬:Homo sapiens (Human)
-
標記方式:Non-conjugated
本頁面中的產品,ADM Antibody (CSB-PA001370HA01HU),的標記方式是Non-conjugated。對于ADM Antibody,我們還提供其他標記。見下表:
-
克隆類型:Polyclonal
-
抗體亞型:IgG
-
純化方式:>95%, Protein G purified
-
濃度:It differs from different batches. Please contact us to confirm it.
-
保存緩沖液:Preservative: 0.03% Proclin 300
Constituents: 50% Glycerol, 0.01M PBS, PH 7.4 -
產品提供形式:Liquid
-
應用范圍:ELISA, IHC
-
推薦稀釋比:
Application Recommended Dilution IHC 1:20-1:200 -
Protocols:
-
儲存條件:Upon receipt, store at -20°C or -80°C. Avoid repeated freeze.
-
貨期:Basically, we can dispatch the products out in 1-3 working days after receiving your orders. Delivery time maybe differs from different purchasing way or location, please kindly consult your local distributors for specific delivery time.
-
用途:For Research Use Only. Not for use in diagnostic or therapeutic procedures.
相關產品
靶點詳情
-
功能:AM and PAMP are potent hypotensive and vasodilatator agents. Numerous actions have been reported most related to the physiologic control of fluid and electrolyte homeostasis. In the kidney, am is diuretic and natriuretic, and both am and pamp inhibit aldosterone secretion by direct adrenal actions. In pituitary gland, both peptides at physiologically relevant doses inhibit basal ACTH secretion. Both peptides appear to act in brain and pituitary gland to facilitate the loss of plasma volume, actions which complement their hypotensive effects in blood vessels.
-
基因功能參考文獻:
- Up-regulated mRNA and protein levels of proadrenomedullin (ProADM) during acute myocardial infarction in mice and humans. PMID: 30166452
- ADM was an upstream molecule of HIF-1alpha/VEGF and it promoted angiogenesis through upregulating HIF-1alpha/VEGF in epithelial ovarian cancer. PMID: 28091613
- Identifying a marker(adrenomedullin) for pancreatic cancer among high-risk patients such as new-onset diabetics might lead to the identification of a subpopulation needing to be screened in order to enable early diagnosis and treatment of a highly lethal tumor PMID: 29192743
- High ADM expression is associated with lymph node metastasis in oral and oropharyngeal squamous cell carcinoma. PMID: 29590186
- High expression of ADM is correlated with sunitinib-resistant renal cell carcinoma. PMID: 27556517
- results indicate a novel function of adrenomedullin (ADM) in pancreatic ductal adenocarcinoma (PDAC), and suggest ADM is a promising target in the treatment of PDAC. PMID: 27391260
- Report an association of elevated ProADM blood levels and 10-year all-cause mortality in a primary care cohort with respiratory tract infections. PMID: 28676115
- These results indicate that elevated ADM may be involved in the etiology of schizophrenia through the regulation of heat shock protein signaling. PMID: 27776076
- our results pointed towards two MR-pro-ADM threshold values that appear to predict with a good degree of accuracy the patient's need for non-invasive mechanical ventilation, endotracheal intubation, or intensive care. This aspect, however, deserves further investigation PMID: 29161297
- promotes the proliferation and inhibits apoptosis of dental pulp stem cells PMID: 27475098
- MR-proADM but not copeptin was significantly associated with prognosis of COPD exacerbations at 30 days. PMID: 28408815
- Findings indicate the importance of cancer-associated fibroblasts (CAFs)-derived adrenomedullin (AM) pathway in growth of breast carcinoma and in neovascularization by supplying and amplifying signals that are essential for pathologic angiogenesis. PMID: 28178651
- This study indicates that in children with community-acquired pneumonia, sTREM-1, Midregional-proANP, and Midregional-proADM blood levels have poor abilities to differentiate bacterial from viral diseases or to identify severe cases. PMID: 27846213
- Admission MR-proADM concentrations provide strong prognostic information in patients with acute HF, but modest diagnostic information in patients with acute dyspnea. PMID: 28065681
- Mouse and human heart valves expressed mRNAs for the CRL ligands adrenomedullin (AM), adrenomedullin-2 (AM-2) and calcitonin gene-related peptide (CGRP) and for their receptor components, i.e., CRL and receptor-activity-modifying proteins 1-3. PMID: 27553639
- SHH acted exclusively in a paracrine fashion on pancreatic stellate cells and influenced the growth of Pancreatic Cancer cells only indirectly, ADM could directly impact the growth of both Pancreatic Cancer cells and pancreatic stellate cells . PMID: 27246849
- MR-proADM showed a significant association with BP reduction after 6 months PMID: 27153479
- Elevated plasma level of MR-proADM, determined 24 h after diagnosis of Cardiogenic shock could be a predictor of in-hospital mortality in patients with acute myocardial infarction complicated by CS. PMID: 27788594
- Our findings showed that adrenomedullin expression increased in progression from benign endometrium to endometrial intraepithelial neoplasia and type-1 adenocarcinoma PMID: 26972419
- The levels of IL-8, IL-12, and adrenomedullin may be good indicators of embryo and oocyte quality in endometriosis patients undergoing IVF. PMID: 27491770
- Evidence show that ADM could affect the growth and differentiation of leukemia cells by modulating RAMPs/CRLR expression, PI3K/Akt cascade and the ERK/MAPK signaling pathway. PMID: 26847772
- A panel of three biomarkers (MR-proANP, PCT, and MR-proADM) in patients presenting to the emergency unit with acute dyspnea provides information about the probability of acute heart failure, nonsurvival, and pneumonia. PMID: 26748496
- Higher levels of Proadrenomedullin are associated with Primary Graft Dysfunction and Mortality Following Lung Transplantation. PMID: 26461449
- conclusion supplementation with selenium and coenzyme Q10 during four years resulted in less concentration of both copeptin and MR-proADM PMID: 26662217
- High Adrenomedullin expression is associated with Malignant Pleural Mesothelioma. PMID: 26762744
- Among adrenomedullin, CRP, and PCT, procalcitonin demonstrates the highest correlation with the severity of infection. PMID: 26271020
- we found significantly lower plasma MR-proADM levels in patients with elevated anxiety scores PMID: 26342564
- AM is expressed by peritoneal mesothelial cells and actively amidated in the abdominal cavity of patients undergoing peritoneal dialysis. PMID: 23564381
- Results suggest that ADM plays an important role in intrahepatic cholangiocellular carcinoma metastasis, and that ADM signaling of epithelial-mesenchymal transition may represent a valuable therapeutic target in cancer patients. PMID: 26043778
- targeting of the ADM/ADM acceptors/ERK1/2/Bcl-2 pathway may provide a potential strategy through which to induce the apoptosis of osteosarcoma cells. PMID: 26035796
- In addition to its role in the complement system, complement factor H has an another role, as a binding protein for the regulatory peptide adrenomedullin. (Review) PMID: 26597206
- Proadrenomedullin was increased in complicated vs. uncomplicated community acquired pediatric pneumonia. PMID: 26286191
- AM expression gets rapidly activated by hypoxia through a HIF-1alpha mediated mechanism, thus characterizing AM as a major survival factor for tumour cells PMID: 25475159
- tested the hypothesis that AM-deficient fetal primary pulmonary microvascular endothelial cells (HPMEC) will have increased oxidative stress, inflammation, and cytotoxicity compared to AM-sufficient HPMEC upon exposure to hyperoxia PMID: 26196743
- Diabetes status had no impact on midregional proadrenomedullin concentrations or in the predictive value of heart failure. PMID: 25528198
- Allelic variation in ADM and increased plasma MR-proADM are associated with susceptibility to progression of diabetic kidney disease in type 2 diabetic patients. PMID: 25948679
- Adrenomedullin potentiates osteolytic responses in bone to metastatic breast cancer cells. PMID: 25439669
- Plasma adrenomedullin level is enhanced in nasopharyngeal carcinoma.Adrenomedullin is correlated with stage progression and with long-term survival of nasopharyngeal carcinoma patients. PMID: 25433141
- There was a significant increase in plasma AM, VCAM-1, and ICAM-1, while a significant decrease in plasma basic-Fibroblast growth factor (b-FGF) in diabetic patients with peripheral vascular disease (p < 0.05). PMID: 25287126
- the ADM gene has a role in the modulation of peripheral vascular tone PMID: 25053723
- plasma mid-regional pro-adrenomedullin helps predict pre-eclampsia PMID: 24853905
- ADM genotype AA was associated with the highest values of systolic and diastolic blood pressure (BP), while CACNB2 genotype CC carriers had the highest values of diastolic BP in childhood. PMID: 25313554
- higher plasma adrenomedullin levels on presentation are associated with clinical severity and worse outcomes in patients with acute spontaneous aneurysmal subarachnoid hemorrhage PMID: 25009125
- midregional pro-adrenomedullin plasma concentrations blunted in severe preeclampsia PMID: 25043691
- adrenomedullin acts as a critical promoter of cell cycle progression in hepatocellular carcinoma cells PMID: 24927229
- Elevated plasma adrenomedullin concentration is highly associated with 3-month clinical outcomes and early neurological deterioration of patients with acute intracerebral hemorrhage. PMID: 24457114
- Results demonstrate a novel function of HIFs in regulating ADM expression by enhancing its pre-mRNA splicing. PMID: 24523299
- N-terminal PEGylated Adrenomedullin stimulated cAMP production in vitro, showing lessened acute hypotensive action and a prolonged plasma half-life in comparison with native Adrenomedullin peptide in vivo. PMID: 24874704
- the AM system is widely expressed in human thymus from newborns; both AM1 receptor components CLR and RAMP2, but not RAMP3, are not associated with the plasma membrane of TECs and thymocytes but are located intracellularly, notably in the nucleus PMID: 24831942
- The correlation of ADM expression level with the measures of stroke severity implicates ADM -a potential blood bio-marker in studies of ischemic stroke. PMID: 23968191
顯示更多
收起更多
-
亞細胞定位:Secreted.
-
蛋白家族:Adrenomedullin family
-
組織特異性:Highest levels found in pheochromocytoma and adrenal medulla. Also found in lung, ventricle and kidney tissues.
-
數據庫鏈接:
Most popular with customers
-
-
YWHAB Recombinant Monoclonal Antibody
Applications: ELISA, WB, IHC, IF, FC
Species Reactivity: Human, Mouse, Rat
-
Phospho-YAP1 (S127) Recombinant Monoclonal Antibody
Applications: ELISA, WB, IHC
Species Reactivity: Human
-
-
-
-
-















