ADM
ADM,全稱為阿霉素,是一種廣泛應用于人類癌癥臨床化療的化學半合成蒽環霉素類抗腫瘤抗生素。它通過干擾DNA和RNA的合成,抑制癌細胞的增殖,從而發揮抗腫瘤作用。ADM蛋白的常見別名包括多柔比星和柔紅霉素等。ADM蛋白在多種癌癥治療中顯示出顯著療效,如乳腺癌、卵巢癌、白血病等。近年來,隨著對ADM蛋白作用機制的深入研究,其在腫瘤治療中的應用前景愈發廣闊。目前,ADM蛋白的研發主要集中在提高其療效和降低毒副作用方面,包括開發新型ADM蛋白衍生物、聯合用藥策略等。此外,ADM蛋白在基因治療、免疫治療等領域也展現出潛在的應用價值。隨著研究的不斷深入,ADM蛋白有望為癌癥患者帶來更多治療選擇和希望。
熱銷產品
驗證數據
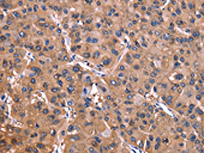
The image on the left is immunohistochemistry of paraffin-embedded Human liver cancer tissue using CSB-PA051887(ADM2 Antibody) at dilution 1/40, on the right is treated with synthetic peptide. (Original magnification: ×200)
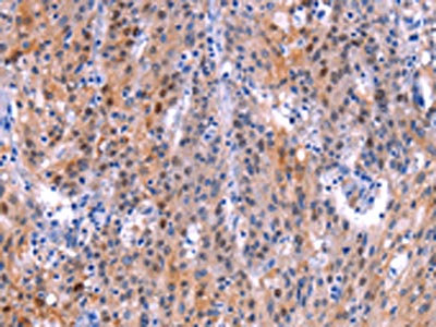
The image on the left is immunohistochemistry of paraffin-embedded Human gastric cancer tissue using CSB-PA051887(ADM2 Antibody) at dilution 1/40, on the right is treated with synthetic peptide. (Original magnification: ×200)
Human adrenomedullin 2 (ADM2) ELISA kit (CSB-EL001371HU)
驗證數據
貨號:CSB-EL001371HU
規格:96T/48T
靈敏度:7.8 pg/mL
檢測范圍:31.25 pg/mL-2000 pg/mL
These standard curves are provided for demonstration only. A standard curve should be generated for each set of samples assayed.
ADM Antibodies
ADM for Homo sapiens (Human)
| 產品貨號 | 產品名稱 | 種屬反應性 | 應用類型 |
|---|---|---|---|
| CSB-PA051887 | ADM2 Antibody | Human,Mouse,Rat | ELISA,IHC |
| CSB-PA093138 | ADM2 Antibody | Human,Mouse,Rat | ELISA,IHC |
ADM Proteins
ADM Proteins for Homo sapiens (Human)
| 產品貨號 | 產品名稱 | 來源 |
|---|---|---|
| CSB-BP801808HU CSB-MP801808HU CSB-EP801808HU-B |
Recombinant Human ADM2 (ADM2), partial | Baculovirus Mammalian cell In Vivo Biotinylation in E.coli |
ADM ELISA Kit
ADM ELISA Kit for Homo sapiens (Human)
| 產品貨號 | 產品名稱 | 樣本類型 | 靈敏度 |
|---|---|---|---|
| CSB-EL001371HU | Human adrenomedullin 2 (ADM2) ELISA kit | serum, plasma, cell culture supernates | 7.8 pg/mL |






