ACSL4 Antibody
-
中文名稱:ACSL4兔多克隆抗體
-
貨號:CSB-PA283716
-
規格:¥1100
-
圖片:
-
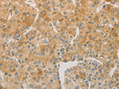
The image on the left is immunohistochemistry of paraffin-embedded Human liver cancer tissue using CSB-PA283716(ACSL4 Antibody) at dilution 1/60, on the right is treated with fusion protein. (Original magnification: ×200)
-
The image on the left is immunohistochemistry of paraffin-embedded Human gastric cancer tissue using CSB-PA283716(ACSL4 Antibody) at dilution 1/60, on the right is treated with fusion protein. (Original magnification: ×200)
-
Gel: 8%SDS-PAGE, Lysate: 40 μg, Lane 1-4: Hepg2 cells, hela cells, human fetal kidney tissue, Human liver tissue, Primary antibody: CSB-PA283716(ACSL4 Antibody) at dilution 1/650, Secondary antibody: Goat anti rabbit IgG at 1/8000 dilution, Exposure time: 15 seconds
-
-
其他:
產品詳情
-
Uniprot No.:
-
基因名:
-
別名:ACSL4; ACS4; FACL4; LACS4; Long-chain-fatty-acid--CoA ligase 4; Arachidonate--CoA ligase; Long-chain acyl-CoA synthetase 4; LACS 4
-
宿主:Rabbit
-
反應種屬:Human,Mouse,Rat
-
免疫原:Fusion protein of Human ACSL4
-
免疫原種屬:Homo sapiens (Human)
-
標記方式:Non-conjugated
-
抗體亞型:IgG
-
純化方式:Antigen affinity purification
-
濃度:It differs from different batches. Please contact us to confirm it.
-
保存緩沖液:-20°C, pH7.4 PBS, 0.05% NaN3, 40% Glycerol
-
產品提供形式:Liquid
-
應用范圍:ELISA,WB,IHC
-
推薦稀釋比:
Application Recommended Dilution ELISA 1:2000-1:10000 WB 1:1000-1:5000 IHC 1:50-1:200 -
Protocols:
-
儲存條件:Upon receipt, store at -20°C or -80°C. Avoid repeated freeze.
-
貨期:Basically, we can dispatch the products out in 1-3 working days after receiving your orders. Delivery time maybe differs from different purchasing way or location, please kindly consult your local distributors for specific delivery time.
-
用途:For Research Use Only. Not for use in diagnostic or therapeutic procedures.
相關產品
靶點詳情
-
功能:Catalyzes the conversion of long-chain fatty acids to their active form acyl-CoA for both synthesis of cellular lipids, and degradation via beta-oxidation. Preferentially activates arachidonate and eicosapentaenoate as substrates. Preferentially activates 8,9-EET > 14,15-EET > 5,6-EET > 11,12-EET. Modulates glucose-stimulated insulin secretion by regulating the levels of unesterified EETs. Modulates prostaglandin E2 secretion.
-
基因功能參考文獻:
- The regulatory network among peroxisomal ABCD2:ACSL4:VLCFA serves as a novel regulator of cartilage homeostasis, and these data may provide novel insights into the role of peroxisomal fatty acid metabolism in pathogenesis of human osteoarthritis (OA). PMID: 30264402
- Study demonstrated that ACSL4 was overexpressed in HCC. PMID: 28887439
- studies have identified a novel substrate-induced posttranslational regulatory mechanism by which AA downregulates ACSL4 protein expression in hepatic cells. PMID: 24879802
- Data show that ELOVL7, SOCS3, ACSL4 and CLU were upregulated while PRKAR1A and ABCG1 were downregulated in the phlegm-dampness group. PMID: 27928700
- ACSL4 is not only a sensitive monitor of ferroptosis, but also an important contributor of ferroptosis. PMID: 27565726
- Silencing of ACSL4 eliminated the 17beta-estradiol-induced increase in AA and EPA uptake. PMID: 28334272
- ACSL4 plays a tumor-suppressive role in gastric cancer. PMID: 26949059
- Suggest role for ACSL4 expression in development of castration-resistant prostate cancer. PMID: 26636648
- we demonstrate that ACSL4 can be considered a novel activator of the mTOR pathway PMID: 26536660
- In vitro analysis showed that a recombinant COX-2 enzyme more effectively metabolized 5(S)-HETE to 5-11-diHETE compared to COX-1 enzyme. PMID: 26282205
- Upregulation of ACSL4 is responsible for the increase in triacylglycerol species containing long polyunsaturated fatty acids during activation of hepatic stellate cells. PMID: 25500141
- Report PPARdelta-mediated regulatory mechanism for ACSL4 expression in liver tissue and cultured hepatic cells. PMID: 25645621
- ACSL4 can serve as both a biomarker for, and mediator of, an aggressive breast cancer phenotype. PMID: 24155918
- This study found no significant relationship between FACL4 and cognitive function. PMID: 20452052
- conclude that in our model system exogenous fatty acids are channeled preferentially towards phosphatidylinositol by ACSL4 overexpression PMID: 24201376
- MiR-205 down-regulates ACSL4 through targeting its 3'UTR in hepatoma cells. PMID: 24576478
- The functional interaction between Acyl-CoA synthetase 4, 5-lipooxygenase and cyclooxygenase-2 controls tumor growth. PMID: 22808264
- the involvement of SHP2 activity in the regulation of the expression of the fatty acid-metabolizing enzyme ACSL4 PMID: 21903867
- A total of six novel and 11 known single nucleotide polymorphisms were identified. Further studies are warranted to analyze the candidate genes at Xq11.1-q21.33. PMID: 21384559
- CSL4 modulates PGE release from human erial smooth muscle cells. PMID: 21242590
- Data suggest that the development of combinatory therapies that profit from the ACSL4, lipooxygenase and COX-2 synergistic action may allow for lower medication doses and avoidance of side effects. PMID: 21085606
- Fatty acid CoA ligase 4 is up-regulated in colon adenocarcinoma. PMID: 11731423
- FACL4, encoding fatty acid-CoA ligase 4, is mutated in nonspecific X-linked mental retardation PMID: 11889465
- FACL4 is highly expressed in hippocampal and cerebellar neurons and may have a role in X linked mental retardation. PMID: 12525535
- Overexpression of Fatty acid-CoA ligase 4 is associated with human hepatocellular carcinoma PMID: 12824887
- FACL4 is involved in the hepatocellular carcinoma tumorigenesis and both cAMP and p38 MAPK pathways are associated with the regulation of FACL4 PMID: 15849811
- Disruption of DMD and the absence of ACSL4 in a patient are responsible for neuromuscular disease and cognitive impairment. PMID: 16276108
- FACL4 affects HCC cell growth and suggest that modulation of FACL4 expression/activity is an approach for treatment of HCC. PMID: 17934335
- FACL4 might play a role in the growth of hepatic cancer cells. PMID: 18059177
- No association between polymorphisms in the FACL4 (fatty acid-CoA ligase 4) gene and nonspecific mental retardation in Qin-Ba mountain region of China. PMID: 18614287
- The common SNP (C to T substitution) in the first intron of the FACL4 gene is associated with altered Fatty Acid composition of plasma phosphatidylcholines in patients with metabolic syndrome . PMID: 19346733
- ACSL4 can substitute the functions of dAcsl(l(2)44DEa in organismal viability, lipid storage and the neural wiring in visual center. PMID: 19617635
顯示更多
收起更多
-
相關疾病:Mental retardation, X-linked 63 (MRX63); Alport syndrome with mental retardation, midface hypoplasia and elliptocytosis (ATS-MR)
-
亞細胞定位:Mitochondrion outer membrane; Single-pass type III membrane protein. Peroxisome membrane; Single-pass type III membrane protein. Microsome membrane; Single-pass type III membrane protein. Endoplasmic reticulum membrane; Single-pass type III membrane protein. Cell membrane.
-
蛋白家族:ATP-dependent AMP-binding enzyme family
-
數據庫鏈接:
Most popular with customers
-
-
YWHAB Recombinant Monoclonal Antibody
Applications: ELISA, WB, IHC, IF, FC
Species Reactivity: Human, Mouse, Rat
-
Phospho-YAP1 (S127) Recombinant Monoclonal Antibody
Applications: ELISA, WB, IHC
Species Reactivity: Human
-
-
-
-
-















