ACSL4
ACSL4,即長鏈酰基輔酶A合成酶4,別名ACS4、FACL4、LACS4、MRX63、MRX68、XLID63。它是由人類基因組中的ACSL4基因編碼的蛋白,該基因定位于X染色體的Xq22.3~23區域。ACSL4在多種組織中表達,尤其在腎上腺、闌尾等組織中表達量較高。其作用機制是通過催化游離長鏈脂肪酸轉化為酰基輔酶A酯,參與脂質生物合成和脂肪酸降解,優先利用花生四烯酸作為底物。ACSL4在調節脂質代謝、炎癥反應、胰島素分泌、骨骼肌蛋白代謝以及細胞死亡方式如鐵死亡中發揮重要作用。ACSL4的異常表達與多種疾病相關,包括非酒精性脂肪肝、癌癥、缺血性中風和急性腎損傷。ACSL4被認為是多種疾病治療的潛在靶點。
熱銷產品
ACSL4 Antibody (CSB-PA060488EA01HU)
驗證數據
Western blot
All lanes: ACSL4 antibody at 2µg/ml
Lane 1: HepG2 whole cell lysate
Lane 2: Hela whole cell lysate
Secondary
Goat polyclonal to rabbit IgG at 1/10000 dilution
Predicted band size: 80, 75 kDa
Observed band size: 80 kDa
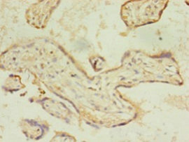
Immunohistochemistry of paraffin-embedded human placenta tissue using CSB-PA060488EA01HU at dilution of 1:100
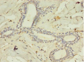
Immunohistochemistry of paraffin-embedded human breast cancer using CSB-PA060488EA01HU at dilution of 1:100
ACSL4 Antibodies
ACSL4 for Homo sapiens (Human)
| 產品貨號 | 產品名稱 | 種屬反應性 | 應用類型 |
|---|---|---|---|
| CSB-PA060488EA01HU | ACSL4 Antibody | Human | ELISA, WB, IHC |
| CSB-PA289963 | ACSL4 Antibody | Human,Mouse,Rat | ELISA,WB,IHC |
| CSB-PA283716 | ACSL4 Antibody | Human,Mouse,Rat | ELISA,WB,IHC |
ACSL4 Proteins
ACSL4 Proteins for Rattus norvegicus (Rat)
| 產品貨號 | 產品名稱 | 來源 |
|---|---|---|
| CSB-YP001193RA CSB-BP001193RA CSB-MP001193RA CSB-EP001193RA-B |
Recombinant Rat Long-chain-fatty-acid--CoA ligase 4 (Acsl4) | Yeast Baculovirus Mammalian cell In Vivo Biotinylation in E.coli |
ACSL4 Proteins for Homo sapiens (Human)
| 產品貨號 | 產品名稱 | 來源 |
|---|---|---|
| CSB-YP001193HU1 CSB-EP001193HU1 CSB-BP001193HU1 CSB-MP001193HU1 CSB-EP001193HU1-B |
Recombinant Human Long-chain-fatty-acid--CoA ligase 4 (ACSL4), partial | Yeast E.coli Baculovirus Mammalian cell In Vivo Biotinylation in E.coli |
| CSB-CF001193HU | Recombinant Human Long-chain-fatty-acid--CoA ligase 4 (ACSL4) | in vitro E.coli expression system |
ACSL4 Proteins for Mus musculus (Mouse)
| 產品貨號 | 產品名稱 | 來源 |
|---|---|---|
| CSB-YP879427MO CSB-BP879427MO CSB-MP879427MO CSB-EP879427MO-B |
Recombinant Mouse Long-chain-fatty-acid--CoA ligase 4 (Acsl4), partial | Yeast Baculovirus Mammalian cell In Vivo Biotinylation in E.coli |
| CSB-EP879427MO | Recombinant Mouse Long-chain-fatty-acid--CoA ligase 4 (Acsl4), partial | E.coli |






