CCNB1 Monoclonal Antibody
-
中文名稱:CCNB1鼠單克隆抗體
-
貨號:CSB-MA820649
-
規格:¥1090
-
圖片:
-
其他:
產品詳情
-
產品描述:CCNB1單克隆抗體(CUSABIO貨號:CSB-MA820649)是一種針對細胞周期調控關鍵蛋白CCNB1的高特異性科研工具,適用于人類、小鼠及大鼠樣本的ELISA和免疫組化(IHC)檢測。CCNB1作為周期蛋白家族成員,在細胞周期G2/M期轉換中發揮核心作用,其異常表達與腫瘤增殖、DNA損傷修復等生物學過程密切相關,是細胞周期機制研究和腫瘤標志物探索的重要靶點。該抗體經嚴格驗證具有優異的種屬交叉反應性,可為細胞周期相關信號通路研究、腫瘤發生發展機制分析提供可靠支持,特別適用于體外培養細胞模型或組織樣本的蛋白定位及定量檢測。通過ELISA技術可實現CCNB1表達水平的精確定量,而IHC應用則能直觀反映蛋白在組織微環境中的分布特征,為癌癥生物學、藥物靶點篩選等基礎研究提供關鍵技術支撐。本產品嚴格遵循科研用途標準,助力細胞周期調控網絡解析及疾病相關分子機制研究。
-
Uniprot No.:
-
基因名:
-
別名:CCNB 1 antibody; CCNB antibody; ccnb1 antibody; CCNB1_HUMAN antibody; Cyclin B1 antibody; G2 mitotic specific cyclin B1 antibody; G2/mitotic-specific cyclin-B1 antibody
-
宿主:Mouse
-
反應種屬:Human,Mouse,Rat
-
免疫原:Synthetic Peptide of Cyclin B1 at AA range of 60-140
-
免疫原種屬:Homo sapiens (Human)
-
標記方式:Non-conjugated
-
純化方式:The antibody was affinity-purified from mouse ascites by affinity-chromatography using specific immunogen.
-
克隆號:28D1
-
濃度:It differs from different batches. Please contact us to confirm it.
-
保存緩沖液:Liquid in PBS containing 50% glycerol, 0.5% BSA and 0.02% sodium azide.
-
產品提供形式:Liquid
-
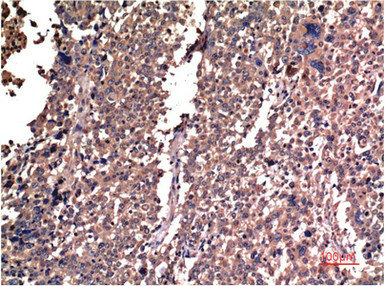
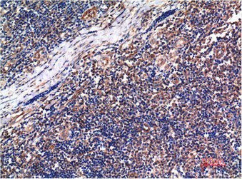
應用范圍:ELISA,IHC
-
推薦稀釋比:
Application Recommended Dilution IHC 1:100-1:200 -
Protocols:
-
儲存條件:Upon receipt, store at -20°C or -80°C. Avoid repeated freeze.
-
貨期:Basically, we can dispatch the products out in 1-3 working days after receiving your orders. Delivery time maybe differs from different purchasing way or location, please kindly consult your local distributors for specific delivery time.
-
用途:For Research Use Only. Not for use in diagnostic or therapeutic procedures.
相關產品
靶點詳情
-
功能:Essential for the control of the cell cycle at the G2/M (mitosis) transition.
-
基因功能參考文獻:
- FOXM1 promotes proliferation in human hepatocellular carcinoma cells by transcriptional activation of CCNB1. PMID: 29705704
- SNAP23 suppressed progression of cervical cancer and induced cell cycle G2/M arrest via upregulating p21(cip1) and downregulating CyclinB1 PMID: 29908998
- Defective cyclin B1 induction by T-DM1 mediates acquired resistance in HER2-positive breast cancer cells. PMID: 28821558
- Up-regulation of CCNB1 could be an indicator for invasiveness of pituitary adenomas.Up-regulation of CCNB1 could be an indicator for invasiveness of pituitary adenomas. PMID: 28601573
- We identified the known APC/C regulator Cdh1 and the F-box protein Fbxl15 as specific modulators of N-cyclin B1-luciferase steady-state levels and turnover. Collectively, our studies suggest that analyzing the steady-state levels of luciferase fusion proteins in parallel facilitates identification of specific regulators of protein turnover. PMID: 28296622
- Overexpression of cyclin B1 is correlated with poor survival in most solid tumors, which suggests that the expression status of cyclin B1 is a significant prognostic parameter in solid tumors. [review] PMID: 27903976
- CDK9, in addition to CDK1, has roles in mediating the growth inhibitory effect of dinaciclib on cyclin B1 in triple negative breast cancer PMID: 27486754
- Data show that Islet-1 (ISL1) activated the expression of cyclin B1 (CCNB1), cyclin B2 (CCNB2) and c-myc (c-MYC) genes by binding to the conserved binding sites on their promoters or enhancers. PMID: 27183908
- XIAP is stable during mitotic arrest, but its function is controlled through phosphorylation by the mitotic kinase CDK1-cyclin-B1 at S40. PMID: 27927753
- ZIC5 is highly upregulated in non-small cell lung cancer tumor tissues and may act as an oncogene by influencing CCNB1 and CDK1 complex expression PMID: 27663664
- Knockdown of DRG2 elicited down-regulation of the major mitotic promoting factor, the cyclin B1/Cdk1 complex. PMID: 27669826
- Mitochondrial Ribosomal Protein L10 regulates cyclin B1/Cdk1 (cyclin-dependent kinase 1) activity and mitochondrial protein synthesis in mammalian cells PMID: 27726420
- Changes in expression and localization of cyclin B1 may constitute a part of the mechanism responsible for resistance of HL-60 cells to etoposide. PMID: 27297620
- Data suggest that long non-coding RNA ZFAS1 may function as oncogene via destabilization of tumor suppressor protein p53 (p53) and through cyclin-dependent kinase 1 (CDK1)/cyclin B1 complex leading to cell cycle progression and inhibition of apoptosis. PMID: 26506418
- exposing renal carcinoma cells to amygdalin inhibited cell cycle progression and tumor cell growth by impairing cdk1 and cyclin B expression PMID: 26709398
- Sodium butyrate accelerates 3' UTR-dependent cyclin B1 decay by enhancing the binding of tristetraprolin to the 3' untranslated region of cyclin B1. PMID: 26555753
- CDK1-Cyclin B1 activates RNMT, coordinating mRNA cap methylation with G1 phase transcription. PMID: 26942677
- Our results demonstrate for the first time that the SYSADOA diacerein decreased the viability of human chondrosarcoma cells and induces G2/M cell cycle arrest by CDK1/cyclin B1 down-regulation. PMID: 26555773
- CCNB1 is target of miRNA-410 since its overexpression reduces CCNB1 at protein and mRNA levels. PMID: 26125663
- Germ cell tumors consistently overexpressed cyclin B1 independently of their responsiveness to chemotherapy or the presence of p53 mutations. Cyclin B1 was overexpressed by GCT cell lines carrying functional p53. PMID: 25982682
- The authors postulate that the mechanism of cytomegalovirus pUL97-human cyclin B1 interaction is determined by an active pUL97 kinase domain. PMID: 26270673
- Stereospecific phosphorylation of only the Ser-trans-Pro peptide by Cdk1-cyclin B1 PMID: 25603287
- Pharmacological inhibition or siRNA-mediated knockdown of cdk1/CCNB1 induced proliferation arrest independent of MYCN status in neuroblastoma cells. PMID: 26029996
- Expression of CDK1 Tyr15, pCDK1 Thr161, Cyclin B1 (total) and pCyclin B1 Ser126 in vulvar squamous cell carcinoma and their relations with clinicopatological features and prognosis. PMID: 25849598
- BUB1B expression was highly correlated to CDC20 and CCNB1 expression in multiple myeloma cells, leading to increased cell proliferation. PMID: 25698537
- Proximity ligation assay demonstrate proximity between S100A4 and cyclin B1 in vitro, while confocal microscopy showed S100A4 to localize to areas corresponding to centrosomes in mitotic cells prior to chromosome segregation. PMID: 26349943
- Cyclin B1 could suppress the invasion and metastasis of colorectal cancer cells through regulating E-cadherin expression, which enables the development of potential intervention strategies for colorectal cancer. PMID: 25962181
- CCNB1 is a biomarker for the prognosis of ER+ breast cancer and monitoring of hormone therapy efficacy PMID: 25044212
- that CCNB1 contained many CD4 T cell epitopes, which are differentially recognized by pre-existing naive and memory CD4 T cells. PMID: 26136431
- CCNB1 activation is associated with recurrence in non-muscle-invasive bladder cancer. PMID: 24714775
- PKCa and Cyclin B1 are linked in a DAG-dependent mechanism that regulates cell cycle progression PMID: 25362646
- Complete removal of cyclin B1 is essential to prevent the return of the spindle checkpoint following sister chromatid disjunction. PMID: 25483188
- Data show that inappropriate overexpression of cyclin B1 causes non-specific cell death. PMID: 25415322
- Cyclin B1 marks the restriction point for permanent cell cycle exit in G2 phase. PMID: 25486360
- CCNB1 is activated by Chk1, exerts its oncogenic role in colorectal cancer cells, and may play a key role in the development of a novel therapeutic approach against colorectal cancer. PMID: 24971465
- Stable association of Cdk1-cyclin B1 with phosphorylated separase counteracts this tendency and stabilizes separase in an inhibited yet activatable state PMID: 25659430
- the results were indicative that cyclin B may hold independent prognostic significance, but further studies are required to assess this. PMID: 25315186
- that MAD2B may play an important role in high glucose-mediated podocyte injury of diabetic nephropathy via modulation of Cdh1, cyclin B1, and Skp2 expression PMID: 25651564
- Expression of cycle marker cyclin B1 differs between benign and malignant papillary breast lesions. PMID: 25501285
- Phosphorylated Akt plays an important role in regulating the expression level of cyclin B1 by interacting with AR and increasing the transcriptional activity of AR. PMID: 24574517
- Cyclin B1 expression was studied immunohistochemically in specimens from 241 patients with pancreatic cancer and was correlated with clinicopathological features and patient survival. PMID: 25106528
- Cyclin B1 overexpression is associated with medullary thyroid carcinoma. PMID: 24488334
- study indicates that genetic polymorphisms of CCNB1 and CDK1 are related to BC susceptibility, progression, and survival in Chinese Han women. PMID: 24386390
- Parvovirus-induced depletion of cyclin B1 prevents mitotic entry of infected cells. PMID: 24415942
- our data suggest that the non-canonical Hh pathway mediated through ptch1 and cyclin B1 is involved in the pathogenesis of NBCCS-associated KCOTs. PMID: 24840883
- Allele-dependent transcriptional regulation of CCNB1 associated with the SNPs rs350099, rs350104, and rs164390 affects ISR risk through differential recruitment of NF-Y, AP-1, and SP1. PMID: 24395923
- Cyclin B1 and cyclin B2 are interchangeable for ability to promote G2 and M transition in HeLa cells. PMID: 24324638
- Our results indicated that CDB(cyclin B destruction box )-fused fluorescent protein can be used to examine the slight gene regulations in the reporter gene system PMID: 24416725
- The cyclin B 3'UTR was not sufficient to enhance cyclin B synthesis. PMID: 24058555
- Cyclin B1/Cdk1-mediated phosphorylation of mitochondrial substrates allows cells to sense and respond to increased energy demand for G2/M transition and, subsequently, to upregulate mitochondrial respiration for successful cell-cycle progression. PMID: 24746669
顯示更多
收起更多
-
亞細胞定位:Cytoplasm. Nucleus. Cytoplasm, cytoskeleton, microtubule organizing center, centrosome.
-
蛋白家族:Cyclin family, Cyclin AB subfamily
-
數據庫鏈接:
Most popular with customers
-
-
YWHAB Recombinant Monoclonal Antibody
Applications: ELISA, WB, IHC, IF, FC
Species Reactivity: Human, Mouse, Rat
-
-
-
-
-
-















