CCNB1
CCNB1,全稱為細胞周期蛋白B1,也被稱為細胞周期蛋白B,是細胞周期調控中的重要蛋白。它在細胞分裂過程中扮演關鍵角色,特別是在G2/M期轉換中起到促進細胞進入有絲分裂的作用。CCNB1的表達與多種疾病相關,包括肝癌、乳腺癌等。近年來,針對CCNB1的藥物研發取得了一些進展,如開發抑制CCNB1功能的藥物,以用于治療相關癌癥。這些藥物有望為癌癥患者提供新的治療選擇。
熱銷產品
Recombinant Human G2/mitotic-specific cyclin-B1 (CCNB1) (CSB-EP004806HUa0)
驗證數據
(Tris-Glycine gel) Discontinuous SDS-PAGE (reduced) with 5% enrichment gel and 15% separation gel.
CCNB1 Monoclonal Antibody (CSB-MA124445)
驗證數據
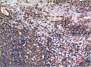
Immunohistochemical analysis of paraffin-embedded Human lung Tissue using Cyclin B1 Mouse mAb diluted at 1:200.
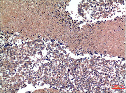
Immunohistochemical analysis of paraffin-embedded Human Tonsil Tissue using Cyclin B1 Mouse mAb diluted at 1:200.
CCNB1 Antibodies
CCNB1 for Homo sapiens (Human)
| 產品貨號 | 產品名稱 | 種屬反應性 | 應用類型 |
|---|---|---|---|
| CSB-PA004806GA01HU | CCNB1 Antibody | Human,Mouse,Rat | ELISA,WB |
| CSB-PA059325 | Phospho-CCNB1 (Ser147) Antibody | Human | ELISA,WB,IHC,IF |
| CSB-PA973969 | CCNB1 (Ab-147) Antibody | Human | ELISA,WB,IHC,IF |
| CSB-PA000507 | Phospho-CCNB1 (S126) Antibody | Human,Mouse,Rat | WB, IHC, ELISA |
| CSB-PA001863 | CCNB1 Antibody | Human,Mouse,Rat | WB, IHC, IF, ELISA |
| CSB-PA070175 | Phospho-CCNB1 (S147) Antibody | Human,Mouse,Rat | WB, IHC, ELISA |
| CSB-PA070176 | CCNB1 Antibody | Human,Mouse,Rat | WB, ELISA |
| CSB-PA080257 | CCNB1 Antibody | Human,Mouse,Rat | WB, IHC |
| CSB-PA018543 | CCNB1 Antibody | Human | ELISA,WB |
| CSB-PA959008 | CCNB1 Antibody | Human | ELISA,IHC |
| CSB-MA124445 | CCNB1 Monoclonal Antibody | Human,Mouse,Rat | ELISA,IHC |
| CSB-MA820649 | CCNB1 Monoclonal Antibody | Human,Mouse,Rat | ELISA,IHC |
CCNB1 Proteins
CCNB1 Proteins for Homo sapiens (Human)
| 產品貨號 | 產品名稱 | 來源 |
|---|---|---|
| CSB-YP004806HU | Recombinant Human G2/mitotic-specific cyclin-B1 (CCNB1) | Yeast |
| CSB-MP004806HU CSB-EP004806HU-B |
Recombinant Human G2/mitotic-specific cyclin-B1 (CCNB1) | Mammalian cell In Vivo Biotinylation in E.coli |
| CSB-BP004806HU | Recombinant Human G2/mitotic-specific cyclin-B1 (CCNB1) | Baculovirus |
| CSB-EP004806HU | Recombinant Human G2/mitotic-specific cyclin-B1 (CCNB1) | E.coli |
| CSB-EP004806HUa0 | Recombinant Human G2/mitotic-specific cyclin-B1 (CCNB1) | E.coli |
CCNB1 Proteins for Mus musculus (Mouse)
| 產品貨號 | 產品名稱 | 來源 |
|---|---|---|
| CSB-YP004806MO CSB-EP004806MO CSB-BP004806MO CSB-MP004806MO CSB-EP004806MO-B |
Recombinant Mouse G2/mitotic-specific cyclin-B1 (Ccnb1) | Yeast E.coli Baculovirus Mammalian cell In Vivo Biotinylation in E.coli |
CCNB1 Proteins for Rattus norvegicus (Rat)
| 產品貨號 | 產品名稱 | 來源 |
|---|---|---|
| CSB-YP004806RA CSB-EP004806RA CSB-BP004806RA CSB-MP004806RA CSB-EP004806RA-B |
Recombinant Rat G2/mitotic-specific cyclin-B1 (Ccnb1) | Yeast E.coli Baculovirus Mammalian cell In Vivo Biotinylation in E.coli |
CCNB1 Proteins for Xenopus laevis (African clawed frog)
| 產品貨號 | 產品名稱 | 來源 |
|---|---|---|
| CSB-YP004806XBE CSB-EP004806XBE CSB-BP004806XBE CSB-MP004806XBE CSB-EP004806XBE-B |
Recombinant Xenopus laevis G2/mitotic-specific cyclin-B1 (ccnb1) | Yeast E.coli Baculovirus Mammalian cell In Vivo Biotinylation in E.coli |
CCNB1 Proteins for Mesocricetus auratus (Golden hamster)
| 產品貨號 | 產品名稱 | 來源 |
|---|---|---|
| CSB-YP004806MRG CSB-EP004806MRG CSB-BP004806MRG CSB-MP004806MRG CSB-EP004806MRG-B |
Recombinant Mesocricetus auratus G2/mitotic-specific cyclin-B1 (CCNB1) | Yeast E.coli Baculovirus Mammalian cell In Vivo Biotinylation in E.coli |
CCNB1 Proteins for Cricetulus griseus (Chinese hamster) (Cricetulus barabensis griseus)
| 產品貨號 | 產品名稱 | 來源 |
|---|---|---|
| CSB-YP600848DXU CSB-EP600848DXU CSB-BP600848DXU CSB-MP600848DXU CSB-EP600848DXU-B |
Recombinant Cricetulus griseus G2/mitotic-specific cyclin-B1 (CCNB1) | Yeast E.coli Baculovirus Mammalian cell In Vivo Biotinylation in E.coli |
CCNB1 Proteins for Bos taurus (Bovine)
| 產品貨號 | 產品名稱 | 來源 |
|---|---|---|
| CSB-YP636894BO CSB-EP636894BO CSB-BP636894BO CSB-MP636894BO CSB-EP636894BO-B |
Recombinant Bovine G2/mitotic-specific cyclin-B1 (CCNB1) | Yeast E.coli Baculovirus Mammalian cell In Vivo Biotinylation in E.coli |
CCNB1 Proteins for Anguilla japonica (Japanese eel)
| 產品貨號 | 產品名稱 | 來源 |
|---|---|---|
| CSB-YP713941BZH CSB-EP713941BZH CSB-BP713941BZH CSB-MP713941BZH CSB-EP713941BZH-B |
Recombinant Anguilla japonica G2/mitotic-specific cyclin-B1 (ccnb1) | Yeast E.coli Baculovirus Mammalian cell In Vivo Biotinylation in E.coli |
CCNB1 Proteins for Carassius auratus (Goldfish)
| 產品貨號 | 產品名稱 | 來源 |
|---|---|---|
| CSB-YP856358DQG CSB-EP856358DQG CSB-BP856358DQG CSB-MP856358DQG CSB-EP856358DQG-B |
Recombinant Carassius auratus G2/mitotic-specific cyclin-B1 (ccnb1) | Yeast E.coli Baculovirus Mammalian cell In Vivo Biotinylation in E.coli |
CCNB1 Proteins for Oryzias latipes (Medaka fish) (Japanese ricefish)
| 產品貨號 | 產品名稱 | 來源 |
|---|---|---|
| CSB-YP878016OFH CSB-EP878016OFH CSB-BP878016OFH CSB-MP878016OFH CSB-EP878016OFH-B |
Recombinant Oryzias latipes G2/mitotic-specific cyclin-B1 (ccnb1) | Yeast E.coli Baculovirus Mammalian cell In Vivo Biotinylation in E.coli |
CCNB1 Proteins for Oryzias curvinotus (Hynann ricefish)
| 產品貨號 | 產品名稱 | 來源 |
|---|---|---|
| CSB-YP880592OCAN CSB-EP880592OCAN CSB-BP880592OCAN CSB-MP880592OCAN CSB-EP880592OCAN-B |
Recombinant Oryzias curvinotus G2/mitotic-specific cyclin-B1 (ccnb1) | Yeast E.coli Baculovirus Mammalian cell In Vivo Biotinylation in E.coli |
CCNB1 Proteins for Oryzias javanicus (Javanese ricefish)
| 產品貨號 | 產品名稱 | 來源 |
|---|---|---|
| CSB-YP884091OCAE CSB-EP884091OCAE CSB-BP884091OCAE CSB-MP884091OCAE CSB-EP884091OCAE-B |
Recombinant Oryzias javanicus G2/mitotic-specific cyclin-B1 (ccnb1) | Yeast E.coli Baculovirus Mammalian cell In Vivo Biotinylation in E.coli |
CCNB1 Proteins for Oryzias luzonensis (Luzon ricefish)
| 產品貨號 | 產品名稱 | 來源 |
|---|---|---|
| CSB-YP887615OCAG CSB-EP887615OCAG CSB-BP887615OCAG CSB-MP887615OCAG CSB-EP887615OCAG-B |
Recombinant Oryzias luzonensis G2/mitotic-specific cyclin-B1 (ccnb1) | Yeast E.coli Baculovirus Mammalian cell In Vivo Biotinylation in E.coli |






