MAG
髓鞘相關糖蛋白(Myelin-associated glycoprotein,MAG)是中樞神經系統髓鞘的重要組成部分,也被稱為Siglec-4a。它由少突膠質細胞分泌,主要分布在髓鞘最內層,通過與神經元表面神經節苷脂GD1a/GT1b結合,在維持軸突髓鞘結構穩定中起關鍵作用。MAG具有抑制神經再生的特性,尤其在脊髓損傷后,MAG與Nogo受體結合后激活下游信號,可阻礙受損軸突的延伸,這一特性使其成為神經修復研究的重點靶點。
MAG異常表達與多發性硬化、脊髓損傷后遺癥等脫髓鞘疾病密切相關,其過度抑制作用可能加劇神經功能障礙。近年針對MAG的抗體藥物開發取得進展,例如通過阻斷MAG與其受體的相互作用來促進神經再生。目前相關小分子抑制劑和單抗已進入臨床前評估階段,為治療中樞神經損傷提供了新方向。阿爾茨海默病患者腦脊液中檢測到MAG水平異常升高,提示其可能參與神經退行性病變過程。
熱銷產品
Recombinant Human Myelin-associated glycoprotein (MAG), partial (CSB-EP013322HU)
驗證數據
(Tris-Glycine gel) Discontinuous SDS-PAGE (reduced) with 5% enrichment gel and 15% separation gel.
Based on the SEQUEST from database of E.coli host and target protein, the LC-MS/MS Analysis result of CSB-EP013322HU could indicate that this peptide derived from E.coli-expressed Homo sapiens (Human) MAG.
Based on the SEQUEST from database of E.coli host and target protein, the LC-MS/MS Analysis result of CSB-EP013322HU could indicate that this peptide derived from E.coli-expressed Homo sapiens (Human) MAG.
MAG Antibody (CSB-PA013322LA01HU)
驗證數據
Immunofluorescence staining of MCF-7 cells with CSB-PA013322LA01HU at 1:200, counter-stained with DAPI. The cells were fixed in 4% formaldehyde, permeabilized using 0.2% Triton X-100 and blocked in 10% normal Goat Serum. The cells were then incubated with the antibody overnight at 4°C. The secondary antibody was Alexa Fluor 488-congugated AffiniPure Goat Anti-Rabbit IgG(H+L).
Western Blot
Positive WB detected in: K562 whole cell lysate, Jurkat whole cell lysate, Rat brain tissue, Mouse brain tissue
All lanes: MAG antibody at 5µg/ml
Secondary
Goat polyclonal to rabbit IgG at 1/50000 dilution
Predicted band size: 70, 64, 67 kDa
Observed band size: 70, 100 kDa
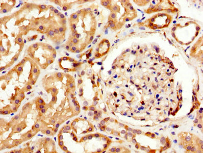
IHC image of CSB-PA013322LA01HU diluted at 1:600 and staining in paraffin-embedded human kidney tissue performed on a Leica BondTM system. After dewaxing and hydration, antigen retrieval was mediated by high pressure in a citrate buffer (pH 6.0). Section was blocked with 10% normal goat serum 30min at RT. Then primary antibody (1% BSA) was incubated at 4°C overnight. The primary is detected by a biotinylated secondary antibody and visualized using an HRP conjugated SP system.
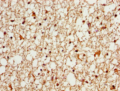
IHC image of CSB-PA013322LA01HU diluted at 1:600 and staining in paraffin-embedded human brain tissue performed on a Leica BondTM system. After dewaxing and hydration, antigen retrieval was mediated by high pressure in a citrate buffer (pH 6.0). Section was blocked with 10% normal goat serum 30min at RT. Then primary antibody (1% BSA) was incubated at 4°C overnight. The primary is detected by a biotinylated secondary antibody and visualized using an HRP conjugated SP system.
Human myelin-associated glycoprotein(MAG) ELISA Kit (CSB-E17901h)
驗證數據
貨號:CSB-E17901h
規格:96T/48T
靈敏度:0.156 ng/mL
檢測范圍:0.625 ng/mL-40 ng/mL
These standard curves are provided for demonstration only. A standard curve should be generated for each set of samples assayed.
MAG Antibodies
MAG for Homo sapiens (Human)
| 產品貨號 | 產品名稱 | 種屬反應性 | 應用類型 |
|---|---|---|---|
| CSB-PA013322LD01HU | MAG Antibody, Biotin conjugated | Human | ELISA |
| CSB-PA013322LC01HU | MAG Antibody, FITC conjugated | Human | |
| CSB-PA013322LA01HU | MAG Antibody | Human, Mouse, Rat | ELISA, WB, IHC, IF |
| CSB-PA006022 | MAG Antibody | Human,Mouse,Rat | WB, ELISA |
| CSB-PA951068 | MAG Antibody | Human,Mouse,Rat | ELISA,WB,IHC |
| CSB-PA643161 | MAG Antibody | Human,Mouse,Rat | ELISA,WB,IHC |
MAG Proteins
MAG Proteins for Homo sapiens (Human)
| 產品貨號 | 產品名稱 | 來源 |
|---|---|---|
| CSB-YP013322HU | Recombinant Human Myelin-associated glycoprotein (MAG), partial | Yeast |
| CSB-EP013322HU | Recombinant Human Myelin-associated glycoprotein (MAG), partial | E.coli |
| CSB-BP013322HU CSB-MP013322HU CSB-EP013322HU-B |
Recombinant Human Myelin-associated glycoprotein (MAG), partial | Baculovirus Mammalian cell In Vivo Biotinylation in E.coli |
| CSB-EP013322HUa0 | Recombinant Human Myelin-associated glycoprotein (MAG), partial | E.coli |
MAG Proteins for Mus musculus (Mouse)
| 產品貨號 | 產品名稱 | 來源 |
|---|---|---|
| CSB-YP013322MO1 CSB-EP013322MO1 CSB-BP013322MO1 CSB-MP013322MO1 CSB-EP013322MO1-B |
Recombinant Mouse Myelin-associated glycoprotein (Mag), partial | Yeast E.coli Baculovirus Mammalian cell In Vivo Biotinylation in E.coli |
| CSB-CF013322MO | Recombinant Mouse Myelin-associated glycoprotein (Mag) | in vitro E.coli expression system |
MAG Proteins for Rattus norvegicus (Rat)
| 產品貨號 | 產品名稱 | 來源 |
|---|---|---|
| CSB-YP013322RA1 CSB-EP013322RA1 CSB-BP013322RA1 CSB-MP013322RA1 CSB-EP013322RA1-B |
Recombinant Rat Myelin-associated glycoprotein (Mag), partial | Yeast E.coli Baculovirus Mammalian cell In Vivo Biotinylation in E.coli |
| CSB-CF013322RA | Recombinant Rat Myelin-associated glycoprotein (Mag) | in vitro E.coli expression system |
MAG Proteins for Dermatophagoides farinae (American house dust mite)
| 產品貨號 | 產品名稱 | 來源 |
|---|---|---|
| CSB-YP336609DCO CSB-EP336609DCO CSB-BP336609DCO CSB-MP336609DCO CSB-EP336609DCO-B |
Recombinant Dermatophagoides farinae Allergen Mag (MAG) | Yeast E.coli Baculovirus Mammalian cell In Vivo Biotinylation in E.coli |
MAG Proteins for Arabidopsis thaliana (Mouse-ear cress)
| 產品貨號 | 產品名稱 | 來源 |
|---|---|---|
| CSB-YP654399DOA CSB-EP654399DOA CSB-BP654399DOA CSB-MP654399DOA CSB-EP654399DOA-B |
Recombinant Arabidopsis thaliana DNA-3-methyladenine glycosylase (MAG) | Yeast E.coli Baculovirus Mammalian cell In Vivo Biotinylation in E.coli |
MAG Proteins for Corynebacterium glutamicum (strain ATCC 13032 / DSM 20300 / JCM 1318 / LMG 3730 / NCIMB 10025)
| 產品貨號 | 產品名稱 | 來源 |
|---|---|---|
| CSB-YP836836DWY CSB-EP836836DWY CSB-BP836836DWY CSB-MP836836DWY CSB-EP836836DWY-B |
Recombinant Corynebacterium glutamicum Putative 3-methyladenine DNA glycosylase (mag) | Yeast E.coli Baculovirus Mammalian cell In Vivo Biotinylation in E.coli |
MAG ELISA Kit
MAG ELISA Kit for Homo sapiens (Human)
| 產品貨號 | 產品名稱 | 樣本類型 | 靈敏度 |
|---|---|---|---|
| CSB-E17901h | Human myelin-associated glycoprotein(MAG) ELISA Kit | serum, plasma, cerebrospinal fluid (CSF) | 0.156 ng/mL |






