MAG Antibody
-
中文名稱:MAG兔多克隆抗體
-
貨號:CSB-PA643161
-
規格:¥1100
-
圖片:
-
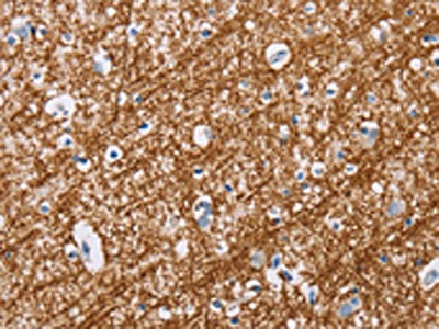
The image on the left is immunohistochemistry of paraffin-embedded Human brain tissue using CSB-PA643161(MAG Antibody) at dilution 1/20, on the right is treated with fusion protein. (Original magnification: ×200)
-
Gel: 8%SDS-PAGE, Lysate: 40 μg, Lane: Mouse brain tissue, Primary antibody: CSB-PA643161(MAG Antibody) at dilution 1/400, Secondary antibody: Goat anti rabbit IgG at 1/8000 dilution, Exposure time: 2 seconds
-
-
其他:
產品詳情
-
Uniprot No.:
-
基因名:
-
別名:GMA antibody; MAG antibody; MAG_HUMAN antibody; Myelin associated glycoprotein antibody; Myelin-associated glycoprotein antibody; S MAG antibody; S-MAG antibody; Sialic acid binding Ig like lectin 4A antibody; Sialic acid binding immunoglobulin like lectin 4A antibody; Siglec 4a antibody; Siglec-4a antibody; SIGLEC4A antibody; SPG75 antibody
-
宿主:Rabbit
-
反應種屬:Human,Mouse,Rat
-
免疫原:Fusion protein of Human MAG
-
免疫原種屬:Homo sapiens (Human)
-
標記方式:Non-conjugated
-
抗體亞型:IgG
-
純化方式:Antigen affinity purification
-
濃度:It differs from different batches. Please contact us to confirm it.
-
保存緩沖液:-20°C, pH7.4 PBS, 0.05% NaN3, 40% Glycerol
-
產品提供形式:Liquid
-
應用范圍:ELISA,WB,IHC
-
推薦稀釋比:
Application Recommended Dilution ELISA 1:1000-1:5000 WB 1:500-1:2000 IHC 1:25-1:100 -
Protocols:
-
儲存條件:Upon receipt, store at -20°C or -80°C. Avoid repeated freeze.
-
貨期:Basically, we can dispatch the products out in 1-3 working days after receiving your orders. Delivery time maybe differs from different purchasing way or location, please kindly consult your local distributors for specific delivery time.
-
用途:For Research Use Only. Not for use in diagnostic or therapeutic procedures.
相關產品
靶點詳情
-
功能:Adhesion molecule that mediates interactions between myelinating cells and neurons by binding to neuronal sialic acid-containing gangliosides and to the glycoproteins RTN4R and RTN4RL2. Not required for initial myelination, but seems to play a role in the maintenance of normal axon myelination. Protects motoneurons against apoptosis, also after injury; protection against apoptosis is probably mediated via interaction with neuronal RTN4R and RTN4RL2. Required to prevent degeneration of myelinated axons in adults; this probably depends on binding to gangliosides on the axon cell membrane. Negative regulator of neurite outgrowth; in dorsal root ganglion neurons the inhibition is mediated primarily via binding to neuronal RTN4R or RTN4RL2 and to a lesser degree via binding to neuronal gangliosides. In cerebellar granule cells the inhibition is mediated primarily via binding to neuronal gangliosides. In sensory neurons, inhibition of neurite extension depends only partially on RTN4R, RTN4RL2 and gangliosides. Inhibits axon longitudinal growth. Inhibits axon outgrowth by binding to RTN4R. Preferentially binds to alpha-2,3-linked sialic acid. Binds ganglioside Gt1b.
-
基因功能參考文獻:
- we observed two-way correlations between the MOG and MAG levels and the fractional anisotropy and mean diffusivity values in the white matter of the left middle frontal lobe, right inferior parietal lobe, and right supplementary motor area in major depressive disorder patients PMID: 29477585
- polyneuropathy associated with anti-MAG antibodies is less homogeneous. PMID: 26065001
- This study identify involvement of myelin-associated glycoprotein in this family with a disorder affecting the central and peripheral nervous system, and suggest that loss of the protein function is responsible for the unique clinical phenotype PMID: 26179919
- Results show that MAG is important for axon-glia contact in a model for Charcot-Marie-Tooth disease type 1A, and suggest that its increased expression in patients has a compensatory role in the disease pathology PMID: 22940629
- Increased serum levels of MAG (and MBP) were found in autistic patients with allergic manifestations compared to those without these manifestations. PMID: 23726766
- Primary mitochondrial respiratory chain defects affecting the white matter, and unrelated to inflammation, are associated with MAG loss and central nervous system demyelination. PMID: 22491194
- Distal acquired demyelinating symmetric neuropathy without anti-MAG antibodies is more likely to be considered a variant of chronic inflammatory demyelinating polyradiculoneuropathy, including a hematological or immunological condition. PMID: 21199182
- polysialylated NCAM persistence, up-regulated polysialyltransferase-1 mRNA and previously uncovered defective myelin-associated glycoprotein may be early pathogenetic events in adult-onset autosomal-dominant leukodystrophy PMID: 19725832
- Myelin destruction with preferential loss of MAG is found in autopsy brains with acute white matter ischemia as well as in HSV- and CMV-encephalitis. PMID: 12528815
- Possible association of MAG and schizophrenia in a Chinese Han cohort of family trios PMID: 15820319
- Our findings of a significant associations between schizophrenia and the MAG gene suggest that this gene may be involved in susceptibility to schizophrenia in the Chinese Han population. PMID: 16039057
- Expression of MAG, CNP and OLIG2 did not differ between patients with schizophrenia and controls in the grey or white matter PMID: 17964117
- These results support the hypothesis that the adhesive interactions between MUC1 and MAG are of biological significance in pancreatic cancer perineural invasion. PMID: 17974963
- Twenty of 46 patients with IgM amyloidosis (7 with and 13 without polyneuropathy) had elevation of anti-MAG or SGPG by enzyme-linked immunosorbent assay PMID: 18236455
- This finding provides support for potential association of the CNP gene but not the MAG gene in schizophrenia in a Caucasian population. PMID: 18496213
- In our patient, propriospinal myoclonus was associated with anti-MAG polyneuropathy, but the causal relationship remains unclear. PMID: 18816614
- RNF10 is a trans-acting protein regulating MAG expression and is required for myelin formation. PMID: 18941509
- Taken together, these findings suggest that in anti-MAG neuropathy patients, IgM deposits are entrapped within cutaneous perineurium-ensheathed nerve bundles where they accumulate in the endoneurial space. PMID: 19151627
- ELISA is more sensitive than Western blot to diagnose anti-myelin-associated glycoprotein related polyneuropathy, although a positive serology may be found in other forms of polyneuropathy as well. PMID: 19720975
顯示更多
收起更多
-
相關疾病:Spastic paraplegia 75, autosomal recessive (SPG75)
-
亞細胞定位:Cell membrane; Single-pass type I membrane protein. Membrane raft.
-
蛋白家族:Immunoglobulin superfamily, SIGLEC (sialic acid binding Ig-like lectin) family
-
組織特異性:Both isoform 1 and isoform 2 are detected in myelinated structures in the central and peripheral nervous system, in periaxonal myelin and at Schmidt-Lanterman incisures. Detected in optic nerve, in oligodendroglia and in periaxonal myelin sheaths. Detecte
-
數據庫鏈接:
Most popular with customers
-
-
Phospho-YAP1 (S127) Recombinant Monoclonal Antibody
Applications: ELISA, WB, IHC
Species Reactivity: Human
-
-
-
-
-
-















