ANGPT2
ANGPT2(Angiopoietin-2)是一種與血管新生和血管穩定性有關的蛋白質,屬于血管生成調節因子家族。它與另一種相關蛋白質ANGPT1(Angiopoietin-1)共同調節血管系統的功能。ANGPT2主要以溶液中的單體形式存在。ANGPT2可以作為一個抑制因子,阻止新血管的形成。它與ANGPT1相互作用,調控血管內皮細胞的黏附、遷移和生長。這種平衡可以影響血管的穩定性和成熟程度。ANGPT2還可以增加血管通透性,使血管壁變得不穩定,導致血漿成分滲透到周圍組織中。 ANGPT2的異常表達與一些疾病有關,包括癌癥、糖尿病和炎癥性疾病。由于其在血管生成和血管通透性調節中的重要作用,ANGPT2已成為一些藥物開發的靶點,以用于治療與血管系統相關的疾病
更多相關閱讀:血管生成素-2(ANGPT2/Ang-2):首個雙抗眼藥上市,抗腫瘤血管新生潛力靶點!
熱銷產品
● Recombinant Human Angiopoietin-2(ANGPT2) (Active) CSB-MP001707HU(A4)
驗證數據
(Tris-Glycine gel) Discontinuous SDS-PAGE (reduced) with 5% enrichment gel and 15% separation gel.
Activity: Measured by its binding ability in a functional ELISA. Immobilized Human ANGPT2 at 2 μg/ml can bind anti-ANGPT2 recombinant antibody(CSB-RA001707MA01HU), the EC50 is 0.6666-0.8876 ng/mL.
● ANGPT2 Recombinant Monoclonal Antibody CSB-RA001707MA01HU
驗證數據
The Binding Activity of ANGPT2 with anti-ANGPT2 antibody
Activity: Measured by its binding ability in a functional ELISA. Immobilized Human ANGPT2(CSB-MP001707HU(A4)) at 2 μg/mL can bind Anti-ANGPT2 recombinant antibody, the EC50 is 0.6666-0.8876 ng/mL.
● ANGPT2 Recombinant Monoclonal Antibody CSB-RA191985A0HU
驗證數據
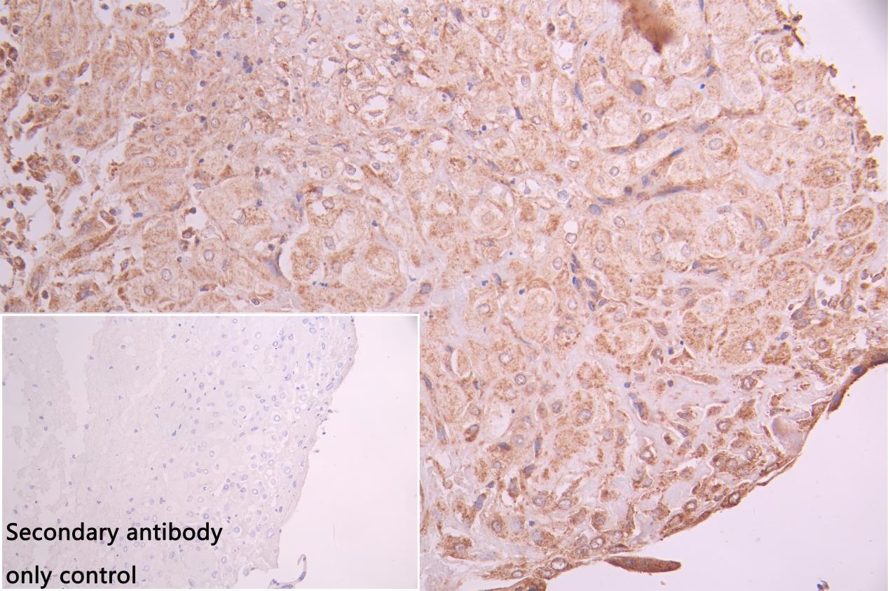
IHC image of CSB-RA191985A0HU diluted at 1:100 and staining in paraffin-embedded human liver cancer performed on a Leica BondTM system. After dewaxing and hydration, antigen retrieval was mediated by high pressure in a citrate buffer (pH 6.0). Section was blocked with 10% normal goat serum 30min at RT. Then primary antibody (1% BSA) was incubated at 4°C overnight. The primary is detected by a Goat anti-rabbit IgG polymer labeled by HRP and visualized using 0.05% DAB.
IHC image of CSB-RA191985A0HU diluted at 1:100 and staining in paraffin-embedded human placenta tissue performed on a Leica BondTM system. After dewaxing and hydration, antigen retrieval was mediated by high pressure in a citrate buffer (pH 6.0). Section was blocked with 10% normal goat serum 30min at RT. Then primary antibody (1% BSA) was incubated at 4°C overnight. The primary is detected by a Goat anti-rabbit IgG polymer labeled by HRP and visualized using 0.05% DAB.
ANGPT2 Antibodies
ANGPT2 for Homo sapiens (Human)
| 產品貨號 | 產品名稱 | 種屬反應性 | 應用類型 |
|---|---|---|---|
| CSB-PA05749A0Rb | ANGPT2 Antibody | Human, Mouse, Rat | ELISA, WB, IHC |
| CSB-PA05749D0Rb | ANGPT2 Antibody, Biotin conjugated | Human | ELISA |
| CSB-PA05749B0Rb | ANGPT2 Antibody, HRP conjugated | Human | ELISA |
| CSB-PA083784 | ANGPT2 Antibody | Human,Mouse,Rat | ELISA,WB,IHC |
| CSB-PA694467 | ANGPT2 Antibody | Human,Mouse,Rat | ELISA,IHC |
| CSB-RA191985A0HU | ANGPT2 Recombinant Monoclonal Antibody | Human,Mouse,Rat | ELISA, WB,IHC |
| CSB-RA001707MA01HU | ANGPT2 Recombinant Monoclonal Antibody | Human | ELISA |
ANGPT2 for Mus musculus (Mouse)
| 產品貨號 | 產品名稱 | 種屬反應性 | 應用類型 |
|---|---|---|---|
| CSB-PA16959D0Rb | Angpt2 Antibody, Biotin conjugated | Mouse | ELISA |
| CSB-PA16959B0Rb | Angpt2 Antibody, HRP conjugated | Mouse | ELISA |
| CSB-PA16959A0Rb | Angpt2 Antibody | Mouse | ELISA, WB, IHC |
ANGPT2 Proteins
ANGPT2 Proteins for Canis familiaris (Dog) (Canis lupus familiaris)
| 產品貨號 | 產品名稱 | 來源 |
|---|---|---|
| CSB-YP001707DO CSB-BP001707DO CSB-EP001707DO-B |
Recombinant Dog Angiopoietin-2 (ANGPT2) | Yeast Baculovirus In Vivo Biotinylation in E.coli |
ANGPT2 Proteins for Mus musculus (Mouse)
| 產品貨號 | 產品名稱 | 來源 |
|---|---|---|
| CSB-YP001707MO CSB-EP001707MO CSB-BP001707MO CSB-MP001707MO CSB-EP001707MO-B |
Recombinant Mouse Angiopoietin-2 (Angpt2) | Yeast E.coli Baculovirus Mammalian cell In Vivo Biotinylation in E.coli |
| CSB-RP169594m | Recombinant Mouse Angiopoietin-2 (Angpt2), partial | E.coli |
ANGPT2 Proteins for Homo sapiens (Human)
| 產品貨號 | 產品名稱 | 來源 |
|---|---|---|
| CSB-YP001707HU | Recombinant Human Angiopoietin-2 (ANGPT2), partial | Yeast |
| CSB-EP001707HU | Recombinant Human Angiopoietin-2 (ANGPT2), partial | E.coli |
| CSB-BP001707HU CSB-MP001707HU CSB-EP001707HU-B |
Recombinant Human Angiopoietin-2 (ANGPT2), partial | Baculovirus Mammalian cell In Vivo Biotinylation in E.coli |
| CSB-MP001707HU(A4) | Recombinant Human Angiopoietin-2 (ANGPT2) (Active) | Mammalian cell |
ANGPT2 Proteins for Rattus norvegicus (Rat)
| 產品貨號 | 產品名稱 | 來源 |
|---|---|---|
| CSB-EP001707RA CSB-MP001707RA CSB-EP001707RA-B |
Recombinant Rat Angiopoietin-2 (Angpt2) | E.coli Mammalian cell In Vivo Biotinylation in E.coli |
| CSB-BP001707RA | Recombinant Rat Angiopoietin-2 (Angpt2) | Baculovirus |
| CSB-EP001707RAa0 | Recombinant Rat Angiopoietin-2 (Angpt2) | E.coli |
| CSB-BP001706RAc7 | Recombinant Rat Angiopoietin-1 (Angpt1) | Baculovirus |
ANGPT2 Proteins for Bos taurus (Bovine)
| 產品貨號 | 產品名稱 | 來源 |
|---|---|---|
| CSB-YP001707BO CSB-EP001707BO CSB-BP001707BO CSB-MP001707BO CSB-EP001707BO-B |
Recombinant Bovine Angiopoietin-2 (ANGPT2) | Yeast E.coli Baculovirus Mammalian cell In Vivo Biotinylation in E.coli |
ANGPT2 Proteins for Sus scrofa (Pig)
| 產品貨號 | 產品名稱 | 來源 |
|---|---|---|
| CSB-YP859369PI CSB-BP859369PI CSB-MP859369PI CSB-EP859369PI-B |
Recombinant Pig Angiopoietin-2 (ANGPT2) | Yeast Baculovirus Mammalian cell In Vivo Biotinylation in E.coli |
ANGPT2 ELISA Kit
ANGPT2 ELISA Kit for Homo sapiens (Human)
| 產品貨號 | 產品名稱 | 樣本類型 | 靈敏度 |
|---|---|---|---|
| CSB-E04500h | Human Angiopoietin 2,ANG-2 ELISA Kit | serum, plasma, tissue homogenates | 9.75 pg/mL |
ANGPT2 ELISA Kit for Mus musculus (Mouse)
| 產品貨號 | 產品名稱 | 樣本類型 | 靈敏度 |
|---|---|---|---|
| CSB-E07305m | Mouse Angiopoietin 2,ANG-2 ELISA Kit | serum, plasma, cell culture supernates, tissue homogenates | 0.039 pg/mL |
ANGPT2 ELISA Kit for Sus scrofa (Pig)
| 產品貨號 | 產品名稱 | 樣本類型 | 靈敏度 |
|---|---|---|---|
| CSB-E08460p | Pig Angiopoietin 2,ANG-2 ELISA Kit | serum, plasma, tissue homogenates | 0.235 ng/mL |
ANGPT2 ELISA Kit for Rattus norvegicus (Rat)
| 產品貨號 | 產品名稱 | 樣本類型 | 靈敏度 |
|---|---|---|---|
| CSB-E07304r | Rat Angiopoietin 2,ANG-2 ELISA Kit | serum, plasma, tissue homogenates. | 0.02 ng/ml |






