STAT3 Recombinant Monoclonal Antibody
-
中文名稱:STAT3重組抗體
-
貨號:CSB-RA229700A0HU
-
規格:¥1320
-
圖片:
-
Western Blot
Positive WB detected in:Hela whole cell lysate, MCF-7 whole cell lysate
All lanes: STAT3 antibody at 1:2000
Secondary
Goat polyclonal to rabbit IgG at 1/50000 dilution
Predicted band size: 89, 88, 84 kDa
Observed band size: 89 kDa -
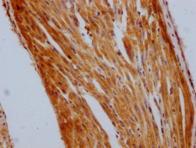
IHC image of CSB-RA229700A0HU diluted at 1:100 and staining in paraffin-embedded human heart tissue performed on a Leica BondTM system. After dewaxing and hydration, antigen retrieval was mediated by high pressure in a citrate buffer (pH 6.0). Section was blocked with 10% normal goat serum 30min at RT. Then primary antibody (1% BSA) was incubated at 4℃ overnight. The primary is detected by a Goat anti-rabbit IgG polymer labeled by HRP and visualized using 0.05% DAB.
-
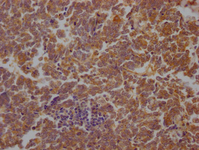
IHC image of CSB-RA229700A0HU diluted at 1:100 and staining in paraffin-embedded human lung cancer performed on a Leica BondTM system. After dewaxing and hydration, antigen retrieval was mediated by high pressure in a citrate buffer (pH 6.0). Section was blocked with 10% normal goat serum 30min at RT. Then primary antibody (1% BSA) was incubated at 4℃ overnight. The primary is detected by a Goat anti-rabbit IgG polymer labeled by HRP and visualized using 0.05% DAB.
-
-
其他:
產品詳情
-
產品描述:STAT3 Recombinant Monoclonal Antibody(CSB-RA229700A0HU)是一款針對人源STAT3蛋白的高特異性抗體,適用于多種實驗場景。STAT3作為信號轉導與轉錄激活因子家族成員,在細胞增殖、分化、凋亡及免疫調控中發揮核心作用,其異常活化與腫瘤發生、炎癥性疾病等密切相關。本抗體經ELISA、Western Blot(WB)和免疫組化(IHC)嚴格驗證,在WB實驗中可在多種樣本類型中識別目標蛋白并呈現清晰的特異性條帶,推薦使用稀釋度為1:500-1:5000;IHC實驗顯示其能精準定位STAT3蛋白的組織分布特征,推薦稀釋范圍為1:50-1:200。該產品具有高批次間一致性,可滿足復雜實驗體系對穩定性的需求,適用于腫瘤機制研究、免疫調控網絡解析、細胞信號通路動態分析等領域,例如癌癥模型中的STAT3磷酸化狀態檢測、炎癥相關基因表達調控研究,以及STAT3與其他信號分子互作的功能探索。本產品僅限科研用途,為探索STAT3在疾病發生發展中的分子機制提供可靠工具。
-
Uniprot No.:
-
基因名:
-
別名:Signal transducer and activator of transcription 3 (Acute-phase response factor), STAT3, APRF
-
反應種屬:Human
-
免疫原:A synthesized peptide derived from human STAT3
-
免疫原種屬:Homo sapiens (Human)
-
標記方式:Non-conjugated
-
克隆類型:Monoclonal
-
抗體亞型:Rabbit IgG
-
純化方式:Affinity-chromatography
-
克隆號:3A9
-
濃度:It differs from different batches. Please contact us to confirm it.
-
保存緩沖液:Rabbit IgG in 10mM phosphate buffered saline , pH 7.4, 150mM sodium chloride, 0.05% BSA, 0.02% sodium azide and 50% glycerol.
-
產品提供形式:Liquid
-
應用范圍:ELISA, WB, IHC
-
推薦稀釋比:
Application Recommended Dilution WB 1:500-1:5000 IHC 1:50-1:200 -
Protocols:
-
儲存條件:Upon receipt, store at -20°C or -80°C. Avoid repeated freeze.
-
貨期:Basically, we can dispatch the products out in 1-3 working days after receiving your orders. Delivery time maybe differs from different purchasing way or location, please kindly consult your local distributors for specific delivery time.
-
用途:For Research Use Only. Not for use in diagnostic or therapeutic procedures.
相關產品
靶點詳情
-
功能:Signal transducer and transcription activator that mediates cellular responses to interleukins, KITLG/SCF, LEP and other growth factors. Once activated, recruits coactivators, such as NCOA1 or MED1, to the promoter region of the target gene. May mediate cellular responses to activated FGFR1, FGFR2, FGFR3 and FGFR4. Upon activation of IL6ST/gp130 signaling by interleukin-6 (IL6), binds to the IL6-responsive elements identified in the promoters of various acute-phase protein genes. Activated by IL31 through IL31RA. Acts as a regulator of inflammatory response by regulating differentiation of naive CD4(+) T-cells into T-helper Th17 or regulatory T-cells (Treg): deacetylation and oxidation of lysine residues by LOXL3, leads to disrupt STAT3 dimerization and inhibit its transcription activity. Involved in cell cycle regulation by inducing the expression of key genes for the progression from G1 to S phase, such as CCND1. Mediates the effects of LEP on melanocortin production, body energy homeostasis and lactation. May play an apoptotic role by transctivating BIRC5 expression under LEP activation. Cytoplasmic STAT3 represses macroautophagy by inhibiting EIF2AK2/PKR activity. Plays a crucial role in basal beta cell functions, such as regulation of insulin secretion.
-
基因功能參考文獻:
- I157172 induced upregulation of SIRT1, and downregulation of acetyl-STAT3. PMID: 30365149
- an HBV-pSTAT3-SALL4-miR-200c axis regulates PD-L1 causing T cell exhaustion PMID: 29593314
- reveal that breast cancer stem cell (BCSC) in triple-negative breast cancer depend on the transcription regulator HN1L for the sustained activation of the LEPR-STAT3 pathway, which makes it a potentially important target for both prognosis and BCSC therapy. PMID: 29249663
- findings illustrate the significance of CREB-KDM4B-STAT3 signaling cascade in DNA damage response, and highlight that KDM4B may potentially be a novel oncotarget for colorectal cancer radiotherapy. PMID: 29633065
- TNFRSF1A is a STAT3 target gene that regulates the NF-kappaB pathway. PMID: 29621649
- Downregulation of miR-340 inhibited GC cell proliferation, arrested cell cycle, and facilitated apoptosis through upregulating SOCS3 expression to suppress JAK-STAT3 signaling pathway. PMID: 29658372
- we wanted to explore whether STAT3 can be related to lymph node micrometastasis of non-small cell lung cancer (NSCLC). To address this question, we evaluated the expression of MUC1 mRNA in the lymph node samples of NSCLC to determine micrometastasis. Then, we evaluated what role STAT3 overexpression plays in lymph node micrometastasis of NSCLC. PMID: 29575778
- Our results showed that IL-37 plays an inhibitory role in non-small cell lung cancer progression, possibly by suppressing STAT3 activation and decreasing epithelial-to-mesenchymal transition by inhibiting IL-6 expression. IL-37 could serve as a potential novel tumor suppressor in non-small cell lung cancer PMID: 29575809
- Study shows that vascular endothelial growth factor A stimulates STAT3 activity via nitrosylation of myocardin to regulate the expression of vascular smooth muscle cell differentiation markers. PMID: 28572685
- The investigation demonstrated that the serum levels of FGF23 and the phosphorylation levels of JAK2, STAT1, and STAT3 were up-regulated in the ovariectomy (OVX) + NVP-BGJ398 group while were down-regulated in the OVX + Anti-FGF23 group than that in the OVX group. PMID: 28782829
- Genetic or pharmacologic inactivation of SHP2 promotes accumulation of JAK2 phosphorylated at Y570, reduces JAK2/STAT3 signaling, inhibits TGFbeta-induced fibroblast activation and ameliorates dermal and pulmonary fibrosis. PMID: 30108215
- Mir-204 attenuates angiogenesis in lung adenocarcinoma via JAK2-STAT3 pathway. PMID: 29281186
- Study utilizing integrative analysis of transcriptomic, metabolomic, and clinical data propose a model of GOT2 transcriptional regulation, in which the cooperative phosphorylation of STAT3 and direct joint binding of STAT3 and p65/NF-kappaB to the proximal GOT2 promoter are important. PMID: 29666362
- FEZF1-AS1 acts as an oncogenic lncRNA in human hepatocellular carcinoma by promoting JAK2/STAT3 signaling-mediated epithelial mesenchymal transformation. PMID: 29957463
- FABP5 promotes tumor angiogenesis via activation of the IL6/STAT3/VEGFA signaling pathway in hepatocellular carcinoma. PMID: 29957468
- The result of our study for the first time provides evidence that rs1053004 polymorphism is significantly associated with a decreased risk of Cardiopulmonary bypass-associated acute kidney injury in Iranian population, especially in older subjects. PMID: 29846833
- Simultaneous inactivation of EAF2 and p53 can act to activate STAT3 and drive prostate tumorigenesis. PMID: 29518696
- a transcription-independent mechanism for Stat3-mediated centrosome clustering that involves Stathmin, a Stat3 interactor involved in microtubule depolymerization, and the mitotic kinase PLK1, is reported. PMID: 28474672
- This review discusses the upstream activators of STAT3 in skeletal muscles, with a focus on interleukin 6 (IL6) and transforming growth factor beta 1 (TGF-beta1). PMID: 30072615
- High STAT3 expression is associated with lung adenocarcinoma. PMID: 30015929
- JAK2 and STAT3 are activated in Idiopathic pulmonary fibrosis PMID: 29409529
- The results reveal that the EGF-STAT3 signaling pathway promotes and maintains colorectal cancer (CRC)stemness. In addition, a crosstalk between STAT3 and Wnt activates the Wnt/beta-catenin signaling pathway, which is also responsible for cancer stemness. Thus, STAT3 is a putative therapeutic target for CRC treatment. PMID: 30068339
- MiR-29a down-regulation is correlated with drug resistance of nasopharyngeal carcinoma cell line CNE-1 and MiR-29a up-regulation decreases Taxol resistance of nasopharyngeal carcinoma CNE-1 cells possibly via inhibiting STAT3 and Bcl-2 expression. PMID: 29914005
- Kidney biopsies from patients with IgA nephropathy and diabetic nephropathy exhibited substantial activation of p53 and STAT3, decreased expression of SOCS7, and increase in profibrotic proteins and miR-199a-3p. PMID: 28240316
- Low-dose radiation decreases tumor progression via the inhibition of the JAK1/STAT3 signaling axis in breast cancer cell lines and in a mouse xenograft model. PMID: 28240233
- High STAT3 expression is associated with cell growth, aggressiveness, metastasis in gastric cancer. PMID: 30015981
- High expression of iNOS and STAT3 in cells transfected with miR-34a mimic further validated it. PMID: 30021364
- Findings outlined in the current study demonstrated that the inhibition of P16 decreased the growth and metastasis potential of BC cells by inhibiting IL-6/JAK2/STAT3 signaling. PMID: 29388151
- G6PD contributes to HCC migration and invasion of hepatocellular carcinoma cells by inducing epithelial-mesenchymal transition through activation of signal transducer and activator of transcription 3 PMID: 29471502
- CXCR7 silencing inhibits the migration and invasion of human tumor endothelial cells derived from hepatocellular carcinoma by suppressing STAT3. PMID: 29901083
- These data show that activated p-STAT3 upregulates epithelial-to-mesenchymal transition-related proteins and promotes vasculogenic mimicry. PMID: 29333928
- High STAT3 expression is associated with drug resistance in Chronic myeloid leukemia. PMID: 29936783
- Case Report: breast implant-associated anaplastic large cell lymphoma with dual JAK1/STAT3 mutations. PMID: 29637270
- Data indicate that signal transducer and activator of transcription 3 (STAT3) has emerged as a promising target in cancer immunotherapy [Review]. PMID: 29222039
- Downregulation of the lincRNA of the NED25 gene was associated with sepsis in patients by modulating the signaling pathways downstream of miR-125b/STAT3/PCT/NO signaling pathway. PMID: 29962507
- High STAT3 expression is associated with invasion and lymph node metastasis in gastric cancer. PMID: 29970682
- The present study demonstrated that the downregulation of filaggrin in the epidermis by toluene is mediated by ERK1/2 and STAT3-dependent pathways. PMID: 27498358
- these results indicated that STAT3-mediated downexpression of miR-579-3p caused resistance to vemurafenib. Our findings suggest novel approaches to overcome resistance to vemurafenib by combining vemurafenib with STAT3 sliencing or miR-579-3p overexpression. PMID: 30010109
- Our study identified the STAT3 rs1053004 C/C as a high-risk genotype in MA (MISSED ABORTION) with lower survivin and VEGF transcription levels in the peripheral blood PMID: 30226700
- The role of mitochondrial Stat3 as regulator for lymphocyte function is reviewed. PMID: 29866996
- addition of colivelin, a STAT3 activator, instead of IL-6 and C2C12 conditioned medium, promoted the myogenic differentiation of adipose tissue-derived stem cells. PMID: 29882916
- These results suggested that stemness induction in SKOV3 cells by macrophages co-cultured with SKOV3-derived OCSLCs involved IL-8/STAT3 signaling. PMID: 29656182
- Parthenolide also induced reactive oxygen species (ROS), but the increased ROS did not seem to contribute to the inhibition of JAK/STAT3 signaling. PMID: 29921758
- The phosphor STAT3 expression was associated with adverse survival in squamous cell carcinoma, but not in the oesophageal adenocarcinoma patients. PMID: 29890775
- In Ishikawa human endometrial adenocarcinoma cell line MIG-6 negatively regulates the phosphorylation of STAT3 via direct protein interaction with STAT3. PMID: 28925396
- IL-23 binding to its receptor promotes the migration and invasion of gastric cancer cells by inducing epithelial-to-mesenchymal transition through the STAT3 signaling pathway. PMID: 29574157
- Oct4 plays a vital role in the malignant progression of HCC cells through the survivin/STAT3 signaling pathway. PMID: 29901157
- our data demonstrate that hypoxia strongly potentiates the peroxide-mediated induction of hepcidin via STAT3 signaling pathway. Moreover, oxidases such as NOX4 or artificially overexpressed urate oxidase (UOX) can induce hepcidin PMID: 29459227
- a novel signal circuit of Stat3/Oct-4/c-Myc was identified for regulating stemness-mediated Doxorubicin resistance in triple-negative breast cancer PMID: 29750424
- Data show that knockdown of STAT transcription factors STAT3 and/or STAT5 reduces DNA methylcytosine dioxygenase Ten-eleven translocation 1 (TET1) level. PMID: 29235481
顯示更多
收起更多
-
相關疾病:Hyperimmunoglobulin E recurrent infection syndrome, autosomal dominant (AD-HIES); Autoimmune disease, multisystem, infantile-onset, 1 (ADMIO1)
-
亞細胞定位:Cytoplasm. Nucleus. Note=Shuttles between the nucleus and the cytoplasm. Translocated into the nucleus upon tyrosine phosphorylation and dimerization, in response to signaling by activated FGFR1, FGFR2, FGFR3 or FGFR4. Constitutive nuclear presence is independent of tyrosine phosphorylation. Predominantly present in the cytoplasm without stimuli. Upon leukemia inhibitory factor (LIF) stimulation, accumulates in the nucleus. The complex composed of BART and ARL2 plays an important role in the nuclear translocation and retention of STAT3. Identified in a complex with LYN and PAG1.
-
蛋白家族:Transcription factor STAT family
-
組織特異性:Heart, brain, placenta, lung, liver, skeletal muscle, kidney and pancreas. Expressed in naive CD4(+) T cells as well as T-helper Th17, Th1 and Th2 cells.
-
數據庫鏈接:
Most popular with customers
-
-
YWHAB Recombinant Monoclonal Antibody
Applications: ELISA, WB, IHC, IF, FC
Species Reactivity: Human, Mouse, Rat
-
Phospho-YAP1 (S127) Recombinant Monoclonal Antibody
Applications: ELISA, WB, IHC
Species Reactivity: Human
-
-
-
-
-















