-
中文名稱:NUP153重組抗體
-
貨號:CSB-RA986790A0HU
-
規格:¥1320
-
圖片:
-
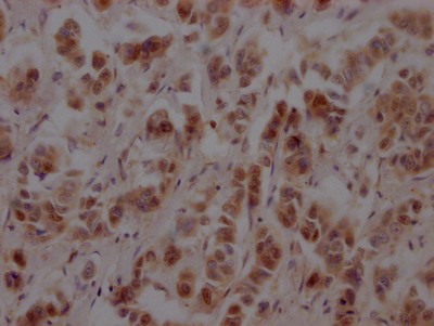
IHC image of CSB-RA986790A0HU diluted at 1:100 and staining in paraffin-embedded human breast cancer performed on a Leica BondTM system. After dewaxing and hydration, antigen retrieval was mediated by high pressure in a citrate buffer (pH 6.0). Section was blocked with 10% normal goat serum 30min at RT. Then primary antibody (1% BSA) was incubated at 4℃ overnight. The primary is detected by a Goat anti-rabbit IgG polymer labeled by HRP and visualized using 0.05% DAB.
-
Immunofluorescence staining of Hela Cells with CSB-RA986790A0HU at 1:50, counter-stained with DAPI. The cells were fixed in 4% formaldehyde, permeated by 0.2% TritonX-100, and blocked in 10% normal Goat Serum. The cells were then incubated with the antibody overnight at 4℃. Nuclear DNA was labeled in blue with DAPI. The secondary antibody was FITC-conjugated AffiniPure Goat Anti-Rabbit IgG (H+L).
-
-
其他:
產品詳情
-
產品描述:CSB-RA986790A0HU NUP153重組單克隆抗體是針對核孔復合體關鍵蛋白NUP153開發的高特異性科研工具,適用于ELISA、免疫組化(IHC)和免疫熒光(IF)檢測。該抗體經嚴格驗證可在IHC實驗中以1:50-1:200的稀釋度清晰顯示核膜定位信號,IF檢測推薦使用1:20-1:200的稀釋范圍,能夠精準呈現細胞周期依賴性核孔分布特征。NUP153作為核質運輸的核心調控因子,其功能研究涵蓋核膜組裝、基因表達調控及病毒入核機制等領域,本產品為探索細胞核運輸異常相關疾病機制、病毒侵染途徑或腫瘤細胞周期調控研究提供可靠工具。采用重組抗體技術制備,確保批次間高度一致性,其低交叉反應性設計可有效避免核孔復合體其他組分干擾,適用于多種哺乳動物細胞樣本的定位分析和半定量檢測。
-
Uniprot No.:
-
基因名:NUP153
-
別名:Nuclear pore complex protein Nup153 (153 kDa nucleoporin) (Nucleoporin Nup153), NUP153
-
反應種屬:Human
-
免疫原:A synthesized peptide derived from human Nup153
-
免疫原種屬:Homo sapiens (Human)
-
標記方式:Non-conjugated
-
克隆類型:Monoclonal
-
抗體亞型:Rabbit IgG
-
純化方式:Affinity-chromatography
-
克隆號:8D4
-
濃度:It differs from different batches. Please contact us to confirm it.
-
保存緩沖液:Rabbit IgG in 10mM phosphate buffered saline , pH 7.4, 150mM sodium chloride, 0.05% BSA, 0.02% sodium azide and 50% glycerol.
-
產品提供形式:Liquid
-
應用范圍:ELISA, IHC, IF
-
推薦稀釋比:
Application Recommended Dilution IHC 1:50-1:200 IF 1:20-1:200 -
Protocols:
-
儲存條件:Upon receipt, store at -20°C or -80°C. Avoid repeated freeze.
-
貨期:Basically, we can dispatch the products out in 1-3 working days after receiving your orders. Delivery time maybe differs from different purchasing way or location, please kindly consult your local distributors for specific delivery time.
-
用途:For Research Use Only. Not for use in diagnostic or therapeutic procedures.
引用文獻
- Quantitative proteomics analysis reveals the pathogenesis of obstructed defecation syndrome caused by abnormal expression of dystrophin WZ Li, Y Xiong, TK Wang, YY Chen,World Journal of Gastroenterology,2024
相關產品
靶點詳情
-
功能:Component of the nuclear pore complex (NPC), a complex required for the trafficking across the nuclear envelope. Functions as a scaffolding element in the nuclear phase of the NPC essential for normal nucleocytoplasmic transport of proteins and mRNAs. Involved in the quality control and retention of unspliced mRNAs in the nucleus; in association with TPR, regulates the nuclear export of unspliced mRNA species bearing constitutive transport element (CTE) in a NXF1- and KHDRBS1-independent manner. Mediates TPR anchoring to the nuclear membrane at NPC. The repeat-containing domain may be involved in anchoring other components of the NPC to the pore membrane. Possible DNA-binding subunit of the nuclear pore complex (NPC).; (Microbial infection) Binds HIV-1 capsid-nucleocapsid (HIV-1 CA-NC) complexes and thereby promotes the integration of the virus in the nucleus of non-dividing cells (in vitro).; (Microbial infection) Binds HIV-2 protein vpx and thereby promotes the nuclear translocation of the lentiviral genome (in vitro).
-
基因功能參考文獻:
- Nup153 is essential for the HIV-1 nuclear import in nondividing cells, and CPSF6 is important for HIV-1 integration. PMID: 29997211
- Despite the requirement of all three nucleoporins for accurate NHEJ, only Nup153 is needed for proper nuclear import of 53BP1 and SENP1-dependent sumoylation of 53BP1. Our data support the role of Nup153 as an important regulator of 53BP1 activity and efficient NHEJ. PMID: 28576968
- results further highlight the antagonistic relationship between 53BP1 and BRCA1, and place Nup153 and Nup50 in a molecular pathway that regulates 53BP1 function by counteracting BRCA1-mediated events. PMID: 28751496
- Nup153 is an epigenetic regulator which, upon altered NO signalling, mediates the activation of genes potentially associated with early dystrophic cardiac remodelling. PMID: 28513807
- NUP153 and CPSF6 have overlapping binding sites, but each makes unique capsid monomers (CA) interactions. Multiple ligands share an overlapping interface in HIV-1 capsid that is lost upon viral disassembly. PMID: 25356722
- Study assessed the extent of collapse of a Nup153 fragment in molecular dynamics simulations and compared the results to single molecule FRET and small-angle X-ray scattering experiments of this peptide PMID: 26030189
- Our data indicate a central function of Nup153 in the organization of the nucleus, not only at the periphery, but throughout the entire nuclear interior. PMID: 25485891
- Nucleoporin Nup153 is required for NPC assembly during interphase but not during mitotic exit. It functions in interphasic NPC formation by binding directly to the inner nuclear membrane via an N-terminal amphipathic helix. PMID: 26051542
- The data presented here suggest that BGLF4 interferes with the normal functions of Nup62 and Nup153 and preferentially helps the nuclear import of viral proteins for viral DNA replication and assembly. PMID: 25410863
- These data reveal an emergent Kap-centric barrier mechanism that may underlie mechanistic and kinetic control in the nuclear pore complex. PMID: 24739174
- a subset of lentiviral CA proteins directly engage FG-motifs present on NUP153 to affect viral nuclear import. PMID: 24130490
- The Nup153 binds to both SENP1 and SENP2 and does so by interacting with the unique N-terminal domain of Nup153 as well as a specific region within the C-terminal FG-rich region. PMID: 22688647
- A hydrophobic patch 65LRLFV69 within the zinc-binding domain is essential for the nuclear import and localization of HPV8 E7 via hydrophobic interactions with Nup62 and Nup153. PMID: 24418548
- The roles of NUP153 and nup98 in the integration and replication of HIV-1 in human Jurkat lymphocytes are reported. PMID: 23523133
- analysis of the Nup153-Nup50 protein interface and its role in nuclear import PMID: 23007389
- human nucleoporin 153 (NUP153) has a role in repair of DSBs and in the activation of DNA damage checkpoints. PMID: 22249246
- Nup153 binds to importin alpha PMID: 22510057
- Data show that the C-terminal part of NUP153 is required for effective 53BP1 nuclear import, and that 53BP1 is imported to the nucleus through the NUP153-importin-beta interplay. PMID: 22075984
- Nup153 levels regulate the localization of Mad1 during the metaphase/anaphase transition thereby affecting its phoshorylation status and in turn spindle checkpoint activity and mitotic exit. PMID: 21327106
- The N-terminal domain of Nup153 and its C terminus associate with the Ig-fold domain of A- and B-type lamins. PMID: 21983083
- Data suggest NUP153 plays a crucial role in the nuclear localization of the DICER1 protein. PMID: 21858095
- A significant association of a polymorphic marker (rs2328136) near the NUP153 gene (which produces a 153 kDa nucleoporin) was obtained PMID: 22118420
- results suggest that capsid, likely by the qualities of its uncoating, determines whether HIV-1 requires cellular NUP153 for PIC nuclear import PMID: 21593146
- NUP153 is a target gene of the BACH1 transcription factor according to ChIP-seq analysis in HEK 293 cells. PMID: 21555518
- Relocation of cellular proteins and inhibition of nuclear import in Hela cells during rhinovirus type 14 infection correlated with the degradation of Nup153 PMID: 12163599
- Smad2 nucleocytoplasmic shuttling by nucleoporins CAN/Nup214 and Nup153 feeds TGFbeta signaling complexes in the cytoplasm and nucleus. PMID: 12191473
- Nup153 and Nup98 have distinct domains to mediate transcription-dependent mobility PMID: 14718558
- nuclear import of the transcription factor PU.1 occurs via RanGTP-stimulated binding to Nup153 PMID: 15632149
- in vitro-translated Nup153 coimmunoprecipitate HIV-1 Vpr; Nup153 shares a unique N-terminal domain with Nup124 that is absolutely essential for Tf1 transposition PMID: 15659641
- MSL complex interacts with components of the nuclear pore, in particular Mtor/TPR and Nup153. Knockdown of Mtor or Nup153 results in loss of the typical MSL X-chromosomal staining and dosage compensation in Drosophila male cells but not in female cells. PMID: 16543150
- Nup153 zinc fingers bound GDP and GTP forms of Ran with similar affinities, indicating that this interaction is not influenced by a nucleotide-dependent conformational switch PMID: 17426026
- Although full-length Nup1p or Nup153 does not complement Nup124p, the functionality of their conserved domains with reference to Tf1 activity suggests that these three proteins evolved from a common ancestor. PMID: 17615301
- study found binding interactions with karyopherin-beta1 caused FG domains of nucleoporin Nup153 to collapse into compact molecular conformations; reversible collapse of the FG domains may play an important role in regulating nucleocytoplasmic transport PMID: 17916694
- The formation of high molecular mass complexes containing importin-alpha, Nup153 and Nup88 is increased upon oxidant treatment. PMID: 18068677
- FG-rich region of Nup153 was required to rescue defects in late mitosis PMID: 19158386
- HIV-1 integrase binds directly to nucleoporin NUP153 to mediate active nuclear import. PMID: 19369352
顯示更多
收起更多
-
亞細胞定位:Nucleus. Nucleus membrane. Nucleus, nuclear pore complex.
-
蛋白家族:NUP153 family
-
數據庫鏈接:
Most popular with customers
-
-
YWHAB Recombinant Monoclonal Antibody
Applications: ELISA, WB, IHC, IF, FC
Species Reactivity: Human, Mouse, Rat
-
Phospho-YAP1 (S127) Recombinant Monoclonal Antibody
Applications: ELISA, WB, IHC
Species Reactivity: Human
-
-
-
-
-















