MME Recombinant Monoclonal Antibody
-
中文名稱:MME重組抗體
-
貨號:CSB-RA187479A0HU
-
規格:¥1320
-
圖片:
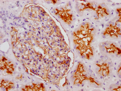
-
IHC image of CSB-RA187479A0HU diluted at 1:100 and staining in paraffin-embedded human kidney tissue performed on a Leica BondTM system. After dewaxing and hydration, antigen retrieval was mediated by high pressure in a citrate buffer (pH 6.0). Section was blocked with 10% normal goat serum 30min at RT. Then primary antibody (1% BSA) was incubated at 4℃ overnight. The primary is detected by a Goat anti-rabbit IgG polymer labeled by HRP and visualized using 0.05% DAB.
-
-
其他:
產品詳情
-
產品描述:CSB-RA187479A0HU MME重組單克隆抗體是針對膜金屬內肽酶(MME/CD10/NEP)研發的高特異性檢測工具,經嚴格驗證適用于ELISA和免疫組化(IHC)實驗,其中IHC推薦使用稀釋比為1:50-1:200。該抗體靶向的MME蛋白作為重要的細胞表面鋅金屬蛋白酶,參與調控神經肽、炎癥因子及生長因子的活性,在淋巴細胞分化、上皮屏障功能維持及腫瘤微環境調控中發揮關鍵作用。實驗數據顯示,該抗體在多種組織樣本中呈現清晰的膜定位染色效果,尤其在腎臟近端小管、腸道上皮及淋巴組織中表現出優異的目標蛋白識別能力,且在重復實驗中保持批次間高穩定性。本產品適用于基礎科研中MME蛋白表達模式分析、腫瘤微環境研究(如乳腺癌、腎癌等實體瘤相關研究)以及免疫細胞分化機制探索,為研究者提供可靠的實驗工具支持。所有實驗數據均通過陽性和陰性對照驗證,確保結果的準確性和可重復性。
-
Uniprot No.:
-
基因名:
-
別名:Neprilysin (EC 3.4.24.11) (Atriopeptidase) (Common acute lymphocytic leukemia antigen) (CALLA) (Enkephalinase) (Neutral endopeptidase 24.11) (NEP) (Neutral endopeptidase) (Skin fibroblast elastase) (SFE) (CD antigen CD10), MME, EPN
-
反應種屬:Human
-
免疫原:A synthesized peptide derived from human CD10
-
免疫原種屬:Homo sapiens (Human)
-
標記方式:Non-conjugated
-
克隆類型:Monoclonal
-
抗體亞型:Rabbit IgG
-
純化方式:Affinity-chromatography
-
克隆號:10G11
-
濃度:It differs from different batches. Please contact us to confirm it.
-
保存緩沖液:Rabbit IgG in 10mM phosphate buffered saline , pH 7.4, 150mM sodium chloride, 0.05% BSA, 0.02% sodium azide and 50% glycerol.
-
產品提供形式:Liquid
-
應用范圍:ELISA, IHC
-
推薦稀釋比:
Application Recommended Dilution IHC 1:50-1:200 -
Protocols:
-
儲存條件:Upon receipt, store at -20°C or -80°C. Avoid repeated freeze.
-
貨期:Basically, we can dispatch the products out in 1-3 working days after receiving your orders. Delivery time maybe differs from different purchasing way or location, please kindly consult your local distributors for specific delivery time.
-
用途:For Research Use Only. Not for use in diagnostic or therapeutic procedures.
相關產品
靶點詳情
-
功能:Thermolysin-like specificity, but is almost confined on acting on polypeptides of up to 30 amino acids. Biologically important in the destruction of opioid peptides such as Met- and Leu-enkephalins by cleavage of a Gly-Phe bond. Able to cleave angiotensin-1, angiotensin-2 and angiotensin 1-9. Involved in the degradation of atrial natriuretic factor (ANF) and brain natriuretic factor (BNP(1-32)). Displays UV-inducible elastase activity toward skin preelastic and elastic fibers.
-
基因功能參考文獻:
- showed CD10 positivity in fibroblast-like stromal cells and fibrous material PMID: 29791034
- these data indicated under cigarette smoke condensate treatment; losing of membrane p120ctn could upregulate surface NEP protein level and thus facilitate BEAS-2B cell migration. PMID: 30249887
- High expression of CD10 is associated with lymph node invasion in colorectal cancer. PMID: 29653092
- We observed an increase of VCAM-1 urine levels in diabetic nephropathy-basal patients compared to diabetic controls and an increase of urinary neprilysin in DN-treated patients with persistent albuminuria PMID: 29854824
- Degradation of tropoelastin and skin elastin by neprilysin PMID: 29196110
- Xanthorrhizol (Xan) reduced 4-hydroxynonenal (HNE) levels on NEP proteins and preserved enzymatic activities of neprilysin (NEP) in HNE- or oligomeric Abeta42-treated cells. Xan reduced Abeta42 accumulation and protected neurones against oligomeric Abeta42-induced neurotoxicity through preservation of NEP activities PMID: 29330223
- These findings support the role of the stromal CD10 expression in breast cancer progression and dissemination, and suggest a relationship with cancer stem cells. PMID: 29306324
- Aberrant CD10 and BCL6 expression defines a subset of MCLs with higher mean Ki-67 index and higher prevalence of MUM1 expression PMID: 28628241
- Our study firstly confirmed the association of MME miRNA binding site polymorphism with the risk of LOAD. However, the association results warrant further validation. PMID: 28294061
- the Ras signaling pathway is involved in HIV-1 Tat-induced changes in ZO-1 and NEP. PMID: 28553432
- In this meta-analysis of the Han Chinese population, neprilysin confers genetic susceptibility to Alzheimer's disease in Han Chinese populations. PMID: 26362309
- High CD10 expression is associated with lymphoma in Waldeyer ring. PMID: 27616053
- Rare Variants in MME, Encoding Metalloprotease Neprilysin, Are Linked to Late-Onset Autosomal-Dominant Axonal Polyneuropathies PMID: 27588448
- CD10 down expression in follicular lymphoma correlates with gastrointestinal lesion involving the stomach and large intestine PMID: 27513891
- High CD10 expression is associated with Basal cell carcinoma of the skin. PMID: 27039776
- the dynamic behavior of human NEP and NEP2 proteins was monitored by conducting molecular dynamics (MD) simulations. PMID: 26846903
- This study reveals some unusual findings in otherwise classical disease entity, like absence of palpable spleen, presence of lymphadenopathy, normal or elevated leukocyte counts, expression of CD10, which at times could be diagnostically challenging. PMID: 26609034
- Case Report: endometrial mixed carcinoma with the neuroendocrine component expressing CD10 that showed a long survival. PMID: 26830028
- CD10 and Bcl2 expression in tumor cells could give convincing diagnostic value to distinguish squamous cell carcinoma from seborrheic keratosis PMID: 26573127
- The peptide qf-Abeta(12-18)C (sequence VHHQKLVC) was cleaved by multiple Abeta-degrading enzymes, including NEP, ACE, and ECE-1, whereas the redesigned peptide qf-Abeta(12-16)AAC (sequence VHHQKAAC) was sensitive to NEP and ACE only. PMID: 27096746
- Loss-of-function MME mutations are the most frequent cause of adult-onset autosomal-recessive Charcot-Marie-Tooth disease type 2 in Japan. PMID: 26991897
- CD10 positivity is luminal/membranous in most benign apocrine breast lesions, the staining being nonuniversal and sometimes focal; analogous staining in apocrine malignancies seems rarer in DCIS and even rarer in invasive apocrine carcinomas, but atypical cytoplasmic positivity may also occur PMID: 26562027
- These findings indicate that CD10 may promote tumor progression by regulating the expression profiles of genes related to cell proliferation, angiogenesis, and resistance to apoptosis. PMID: 26881775
- CD10 gene expression plays a role in the pathogenesis of diffuse large B-cell lymphoma. PMID: 26414904
- High tumoral CD10 expression correlates with aggressive histology in patients with malignant pleural mesothelioma. PMID: 25608772
- In stage I lung adenocarcinoma, tumoral CD10 correlated with high-grade histology and was an independent predictor of recurrence in intermediate-grade tumors. PMID: 26141216
- CD10 strongly labelled only the gastrointestinal cells, with a well-defined apical membrane signal PMID: 24754336
- High CD10 expression is associated with Phylloides Tumors. PMID: 25921112
- The expression of neprilysin is increased in glioma cells following 5-HT2C activation. PMID: 25452160
- CD10 expression is related to a distinct gene expression signature in mantle cell lymphoma cases, but is without clinical or biological implications. PMID: 26124315
- Correlation between CD10 stromal expression and disease-free survival rate in breast cancer patients. PMID: 23575921
- E-cadherin and CD10 in endometrial lesions is not correlated, but reduced expression of both molecules could be critical for progression of endometrial carcinoma PMID: 25282623
- Evaulate CD10 and mucin expression in relation to microsatellite instability/mismatch repair proteins in 47 cases of small bowel adenocarcinoma. PMID: 25759539
- This meta-analysis indicates that rs3736187 (A/G) polymorphisms may be a potential beneficial single nucleotide polymorphism (SNP), which are associated with a decreased risk in Alzheimer disease. PMID: 25125048
- Follicular lymphoma CD10(pos) follicular helper T cells specifically display an IL-4(hi)IFN-gamma(lo) cytokine profile and encompass the malignant B-cell-supportive follicular helper T cells subset. PMID: 25733581
- Letter: suggest that CD10 is not a useful marker to differentiate seminoma from non-seminomatous germ cell tumours. PMID: 25713420
- This study gives substantial proof to the various models/research papers explaining the role of CD10 in breast cancer pathogenesis. PMID: 25308002
- Immunohistochemical distinction of renal cell carcinoma from other carcinomas with clear-cell histomorphology: utility of CD10 and CA-125 in addition to PAX-2, PAX-8, RCCma, and adipophilin. PMID: 25279712
- Serum CD10 levels might serve as a useful marker of synchronous and metachronous liver metastasis in colorectal cancer. PMID: 24972738
- PKCepsilon activation may have therapeutic efficacy for AD by reducing neurotoxic Abeta accumulation as well as having direct anti-apoptotic and synaptogenic effects PMID: 24848988
- High CD10 expression is associated with squamous cell carcinoma. PMID: 24895167
- MME expression level was differentially altered in Crohn disease and ulcerative colitis patients. PMID: 23827863
- the recombinant brain-targeted neprilysin, ASN12, may be an effective treatment for AD and warrant further investigation in clinical trials. PMID: 24825898
- Expression of CD10 is associated with therapeutic resistance and cancer stem cell-like properties of head and neck squamous cell carcinoma. PMID: 24874475
- A direct up-regulation of stroma fibroblast MME expression under hypoxia might contribute to enhanced aggressiveness of hypoxic cancers. PMID: 24460801
- Data indicate an important, previously neglected, role of NEP for regulation of luminal factors in the epididymis and suggest a novel role for CNP/guanylyl cyclase B in the epididymal epithelium. PMID: 24099862
- only seminomas and intratubular germ cell neoplasia, the precursors of germ cell tumours, express CD10 PMID: 23857215
- study suggests that the severity of periodontal disease may be associated with the expression of metalloendopeptidase genes, including NEP, ECE1 and ADAM17, in the buccal mucosal epithelium. PMID: 23360525
- CD10 might be involved in the development of endometriosis due to its influence on CD44-dependent cell adhesion. PMID: 23653392
- Overexpression of membrane metalloendopeptidase inhibits substance P stimulation of cholangiocarcinoma growth. PMID: 24603459
顯示更多
收起更多
-
相關疾病:Charcot-Marie-Tooth disease 2T (CMT2T); Spinocerebellar ataxia 43 (SCA43)
-
亞細胞定位:Cell membrane; Single-pass type II membrane protein.
-
蛋白家族:Peptidase M13 family
-
數據庫鏈接:
Most popular with customers
-
-
YWHAB Recombinant Monoclonal Antibody
Applications: ELISA, WB, IHC, IF, FC
Species Reactivity: Human, Mouse, Rat
-
Phospho-YAP1 (S127) Recombinant Monoclonal Antibody
Applications: ELISA, WB, IHC
Species Reactivity: Human
-
-
-
-
-















