JUN Recombinant Monoclonal Antibody
-
中文名稱:JUN重組抗體
-
貨號:CSB-RA911286A0HU
-
規格:¥1320
-
圖片:
-
Western Blot
Positive WB detected in: 293 whole cell lysate
All lanes: JUN antibody at 1:2000
Secondary
Goat polyclonal to rabbit IgG at 1/50000 dilution
Predicted band size: 36 kDa
Observed band size: 43 kDa -
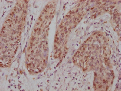
IHC image of CSB-RA911286A0HU diluted at 1:100 and staining in paraffin-embedded human cervical cancer performed on a Leica BondTM system. After dewaxing and hydration, antigen retrieval was mediated by high pressure in a citrate buffer (pH 6.0). Section was blocked with 10% normal goat serum 30min at RT. Then primary antibody (1% BSA) was incubated at 4℃ overnight. The primary is detected by a Goat anti-rabbit IgG polymer labeled by HRP and visualized using 0.05% DAB.
-
-
其他:
產品詳情
-
產品描述:CSB-RA911286A0HU JUN重組單克隆抗體是經ELISA、Western Blot(WB)和免疫組化(IHC)嚴格驗證的高特異性科研工具,靶向轉錄因子JUN(c-Jun),該蛋白作為激活蛋白1(AP-1)復合物的核心成員,廣泛參與細胞增殖、分化及應激響應等生物學過程,在腫瘤發生、免疫調控及炎癥反應中具有重要研究價值。本抗體通過重組技術制備,展現出優異的抗原結合特異性,在WB實驗中可清晰識別內源性JUN蛋白,推薦使用1:500-1:5000稀釋梯度;在石蠟包埋組織切片的IHC檢測中能精準定位JUN蛋白的亞細胞分布,推薦工作濃度為1:50-1:200。適用于探究JUN在癌癥發生機制、信號通路調控及基因表達網絡中的功能,可配合細胞模型、組織樣本或體外蛋白分析等研究體系,為解析轉錄因子介導的分子調控提供可靠工具。該產品經過嚴格的交叉反應性測試,批間穩定性高,適用于多場景下的靶蛋白定性及半定量分析,僅限于科學研究用途。
-
Uniprot No.:
-
基因名:
-
別名:Transcription factor AP-1 (Activator protein 1) (AP1) (Proto-oncogene c-Jun) (V-jun avian sarcoma virus 17 oncogene homolog) (p39), JUN
-
反應種屬:Human
-
免疫原:A synthesized peptide derived from human c-Jun
-
免疫原種屬:Homo sapiens (Human)
-
標記方式:Non-conjugated
-
克隆類型:Monoclonal
-
抗體亞型:Rabbit IgG
-
純化方式:Affinity-chromatography
-
克隆號:10D4
-
濃度:It differs from different batches. Please contact us to confirm it.
-
保存緩沖液:Rabbit IgG in 10mM phosphate buffered saline , pH 7.4, 150mM sodium chloride, 0.05% BSA, 0.02% sodium azide and 50% glycerol.
-
產品提供形式:Liquid
-
應用范圍:ELISA, WB, IHC
-
推薦稀釋比:
Application Recommended Dilution WB 1:500-1:5000 IHC 1:50-1:200 -
Protocols:
-
儲存條件:Upon receipt, store at -20°C or -80°C. Avoid repeated freeze.
-
貨期:Basically, we can dispatch the products out in 1-3 working days after receiving your orders. Delivery time maybe differs from different purchasing way or location, please kindly consult your local distributors for specific delivery time.
-
用途:For Research Use Only. Not for use in diagnostic or therapeutic procedures.
相關產品
靶點詳情
-
功能:Transcription factor that recognizes and binds to the enhancer heptamer motif 5'-TGA[CG]TCA-3'. Promotes activity of NR5A1 when phosphorylated by HIPK3 leading to increased steroidogenic gene expression upon cAMP signaling pathway stimulation. Involved in activated KRAS-mediated transcriptional activation of USP28 in colorectal cancer (CRC) cells. Binds to the USP28 promoter in colorectal cancer (CRC) cells.
-
基因功能參考文獻:
- data indicated that miR-139-5p was down-regulated in the hearts of Hypertrophic cardiomyopathy patients and that it inhibited cardiac hypertrophy by targetting c-Jun expression. PMID: 29440459
- this study identified an essential Jun/miR-22/HuR regulatory axis in CRC (the working model is summarised in Fig. 8) and highlighted the vital role of HuR and miR-22 in CRC proliferation and migration. PMID: 29351796
- a novel cascade mediated by AP-1 and FOXF1 that regulates oncogene-induced senescence, is reported. PMID: 30119690
- Multivalent Interactions with Fbw7 and Pin1 Facilitate Recognition of c-Jun by the Fbw7. PMID: 29225075
- High AP-1 expression is associated with metastasis in colon cancer. PMID: 29305742
- Our results suggest that extended AP-1 binding sites, together with adjacent binding sites for additional TFs, encode part of the information that governs transcription factor binding sites activity in the genome. PMID: 29305491
- the expression of WIF-1 was low in GBC cells due to aberrant hypermethylation of its promoter region. Additionally, an alternative pathogenesis of GBC was indicated in which c-Jun causes hypermethylation of the WIF-1 promoter region, and represses the expression of WIF-1 through transcriptional regulation and interaction with DNMT1 as an early event in the tumorigenesis of GBC. PMID: 29693707
- Mutant cellular AP-1 proteins promote expression of a subset of Epstein-Barr virus late genes in the absence of lytic viral DNA replication. PMID: 30021895
- Secreted Ta9 has therefore, not only the ability to stimulate CD8+ T cells, but also the potential to activate AP-1-driven transcription and contribute to T. annulata-induced leukocyte transformation PMID: 29738531
- MiR-216b directly targets c-Jun, thereby reducing AP-1-dependent transcription and sensitizing cells to ER stress-dependent apoptosis. PMID: 27173017
- results suggest that c-Jun, p38 MAPK, PIK3CA/Akt, and GSK3 signaling involved in the effect of miR-203 on the proliferation of hepatocellular carcinoma cells. PMID: 28887744
- These findings suggest that increased JUN expression and activity may contribute to gefitinib resistance in non-small cell lung cancer. PMID: 28566434
- the results indicated that butein has antiproliferative and proapoptotic properties through the suppression of NF-kappaB, AP-1 and Akt signaling in HTLV-1-infected T cells, both in vitro and in vivo, suggesting its therapeutic potential against HTLV-1-associated diseases including adult T-cell leukemia/lymphoma PMID: 28586006
- Results show that VEGFA induces c-jun expression in mediating human retinal microvascular endothelial cell migration, sprouting and tube formation, and that Pyk2-STAT3 signaling enhances cJun expression in the mediation of retinal neovascularization. PMID: 27210483
- Increased c-jun expression is associated with nasopharyngeal carcinoma. PMID: 28269757
- thrombin binding to PAR-1 receptor activated Gi-protein/c-Src/Pyk2/EGFR/PI3K/Akt/p42/p44 MAPK cascade, which in turn elicited AP-1 activation and ultimately evoked MMP-9 expression and cell migration in SK-N-SH cells. PMID: 27181591
- Findings provide evidence that phospho-c-Jun activates an important regulatory mechanism to control DNMT1 expression and regulate global DNA methylation in glioblastoma. PMID: 28036297
- results demonstrated for the first time the regulatory mechanism of miR-744 transcription by c-Jun, providing a potential mechanism underlying the upregulation of miR-744 in cancers PMID: 27533465
- Results provide evidence that NuRD represses c-Jun transcription directly which, in the absence of MBD3, activates endogenous pluripotent genes and regulates induced cancer stem cells-related genes. PMID: 27894081
- Taken together, these results indicated that PAR1 signalingmediated cJun activation promotes early apoptosis of HUVEC cells induced by heat stress. PMID: 28447716
- Cheliensisin A (Chel A)treatment led to PH domain and Leucine rich repeat Protein Phosphatases (PHLPP2) protein degradation and subsequently increased in c-Jun phosphorylation, which could be attenuated by inhibition of autophagy mediated by Beclin 1. PMID: 27556506
- The positive feedback regulation of OCT4 and c-JUN, resulting in the continuous expression of oncogenes such as c-JUN, seems to play a critical role in the determination of the cell fate decision from induced pluripotent stem cells to cancer stem cells in liver cancer. PMID: 27341307
- miR-26b plays an anti-metastatic role and is downregulated in gastric cancer tissues via the KPNA2/c-jun pathway PMID: 27078844
- The IL1B/AP-1/miR-30a/ADAMTS-5 axis regulates cartilage matrix degradation in osteoarthritis. PMID: 27067395
- TGM2 is involved in amyloid-beta (1-42)-induced pro-inflammatory activation via AP1/JNK signaling pathways in cultured monocytes. PMID: 27864692
- Integrative genomic analysis indicated overexpression of the AP-1 transcriptional complex suggesting experimental therapeutic rationales, including blockade of the renin-angiotensin system. This led to the repurposing of the angiotensin II receptor antagonist, irbesartan, as an anticancer therapy, resulting in the patient experiencing a dramatic and durable response. PMID: 27022066
- Knockdown of CD44 reduced the protein level of xCT, a cystine transporter, and increased oxidative stress. However, an increase in GSH was also observed and was associated with enhanced chemoresistance in CD44-knockdown cells. Increased GSH was mediated by the Nrf2/AP-1-induced upregulation of GCLC, a subunit of the enzyme catalyzing GSH synthesis PMID: 28185919
- study highlights the role of AP1 in promoting the host gene expression profile that defines Ebola virus pathogenesis. PMID: 28931675
- This is the first study to show how TGF-beta regulates the expression of Claudin-4 through c-Jun signaling and how this pathway contributes to the migratory and tumorigenic phenotype of lung tumor cells. PMID: 27424491
- Data show that BRD4 controls RUNX2 by binding to the enhancers (ENHs) and each RUNX2 ENH is potentially controlled by a distinct set of TFs and c-JUN as the principal pivot of this regulatory platform. PMID: 28981843
- AP-1 likely plays a more important role in the AR cistrome in fibroblasts. PMID: 27634452
- elevated levels of bile acid increase the tumorigenic potential of pancreatic cancer cells by inducing FXR/FAK/c-Jun axis to upregulate MUC4 expression. PMID: 27185392
- Immunohistochemistry was employed to analyze cFos, cJun and CD147 expression in 41 UCB cases and 34 noncancerous human bladder tissues. PMID: 28358415
- Taken together, these findings indicate that LT reduces c-Jun protein levels via two distinct mechanisms, thereby inhibiting critical cell functions, including cellular proliferation. PMID: 28893904
- Expression of either dominant-negative or constitutively active mutants of Nrf2, ATF4, or c-Jun confirmed that distinct transcription units are regulated by these transcription factors. PMID: 27278863
- mutually exclusive transcriptional regulation by AP-1 (cjun/cfos) and non-canonical NF-kappaB (RelB/p52) downstream of MEK-ERK and NIK-IKK-alpha-NF-kappaB2 (p100) phosphorylation, respectively was responsible for persistent Ccl20 expression in the colonic cells. PMID: 27590109
- Glucocorticoid receptor (GR) is recruited to activator protein-1 (AP-1) target genes in a DNA-binding-dependent manner. PMID: 28591827
- These results suggested that hyperphosphatemia in the patients with CKD suppresses bone resorption by inhibiting osteoclastogenesis, and this impairs the regulation of bone metabolism. PMID: 28939042
- These results suggest that Bacteroides fragilis enterotoxin induced accumulation of autophagosomes in endothelial cells, but activation of a signaling pathway involving JNK, AP-1, and CHOP may interfere with complete autophagy. PMID: 28694294
- Overall, our results suggest that miR-4632 plays an important role in regulating HPASMC proliferation and apoptosis by suppression of cJUN, providing a novel therapeutic miRNA candidate for the treatment of pulmonary vascular remodeling diseases. It also implies that serum miR-4632 has the potential to serve as a circulating biomarker for PAH diagnosis. PMID: 28701355
- Findings suggest that AP-1 factors are regulators of RNA polymerase III (Pol III)-driven 5S rRNA and U6 snRNA expression with a potential role in cell proliferation. PMID: 28488757
- Our results indicate that assessing AP1 and PEA3 transcription factor status might be a good indicator of OAC status. However, we could not detect any associations with disease stage or patient treatment regime. This suggests that the PEA3-AP1 regulatory module more likely contributes more generally to the cancer phenotype. In keeping with this observation, depletion of ETV1 and/or ETV4 causes an OAC cell growth defect PMID: 28859074
- shRNA-mediated inhibition of JUN decreases AML cell survival and propagation in vivo. These data uncover a previously unrecognized role of JUN as a regulator of the unfolded protein response PMID: 27840425
- These findings demonstrate an essential role for the ERK pathway together with c-JUN and c-FOS in the differentiation activity of LukS-PV. PMID: 27102414
- The present study defines the minimal TIM-3 promoter region and demonstrates its interaction with c-Jun during TIM-3 transcription in CD4(+) T cells. PMID: 27243212
- Taken together, our data demonstrate that JNK regulates triple-negative breast cancer (TNBC)tumorigenesis by promoting CSC phenotype through Notch1 signaling via activation of c-Jun and indicate that JNK/c-Jun/Notch1 signaling is a potential therapeutic target for TNBC PMID: 27941886
- Regulation of osteosarcoma cell lung metastasis by the c-Fos/AP-1 target FGFR1 PMID: 26387545
- c-jun promoted FOXK1-mediated proliferation and metastasis via orthotopic implantation. PMID: 27882939
- Data provide evidence that AP-1 is a key determinant of endocrine resistance of breast cancer cells by mediating a global shift in the estrogen receptor transcriptional program. PMID: 26965145
- Comparison of how AP-1 (Jun/Jun dimer) and Epstein-Barr virus Zta recognize methyl groups within their cognate response elements PMID: 28158710
顯示更多
收起更多
-
亞細胞定位:Nucleus.
-
蛋白家族:BZIP family, Jun subfamily
-
組織特異性:Expressed in the developing and adult prostate and prostate cancer cells.
-
數據庫鏈接:
Most popular with customers
-
-
YWHAB Recombinant Monoclonal Antibody
Applications: ELISA, WB, IHC, IF, FC
Species Reactivity: Human, Mouse, Rat
-
Phospho-YAP1 (S127) Recombinant Monoclonal Antibody
Applications: ELISA, WB, IHC
Species Reactivity: Human
-
-
-
-
-















