HMGB1 Recombinant Monoclonal Antibody
-
中文名稱:HMGB1重組抗體
-
貨號:CSB-RA439052A0HU
-
規格:¥1320
-
圖片:
-
Western Blot
Positive WB detected in: Hela whole cell lysate, HepG2 whole cell lysate, Jurkat whole cell lysate, 293T whole cell lysate, MCF-7 whole cell lysate, HL60 whole cell lysate
All lanes: HMGB1 antibody at 1:2000
Secondary
Goat polyclonal to rabbit IgG at 1/50000 dilution
Predicted band size: 25 kDa
Observed band size: 25 kDa -
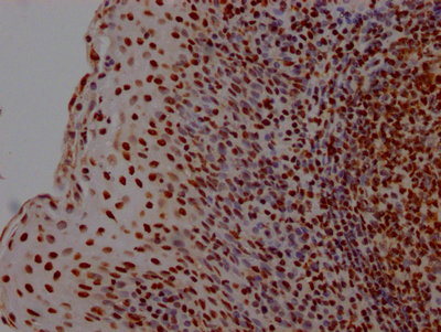
IHC image of CSB-RA439052A0HU diluted at 1:100 and staining in paraffin-embedded human tonsil tissue performed on a Leica BondTM system. After dewaxing and hydration, antigen retrieval was mediated by high pressure in a citrate buffer (pH 6.0). Section was blocked with 10% normal goat serum 30min at RT. Then primary antibody (1% BSA) was incubated at 4℃ overnight. The primary is detected by a Goat anti-rabbit IgG polymer labeled by HRP and visualized using 0.05% DAB.
-
-
其他:
產品詳情
-
產品描述:CSB-RA439052A0HU HMGB1重組單克隆抗體是經過嚴格驗證的科研工具,針對高遷移率族蛋白B1(HMGB1)靶點設計。HMGB1作為一種重要的核內非組蛋白,廣泛參與炎癥反應、細胞損傷修復及免疫調節等生物學過程,在腫瘤發生、感染性疾病及自身免疫病等研究領域具有關鍵價值。本抗體通過ELISA、Western Blot及免疫組化(IHC)等多平臺驗證,在Western Blot中可識別天然及重組HMGB1蛋白,推薦使用1:500-1:5000稀釋比例,免疫組化實驗推薦1:50-1:200稀釋范圍,在多種組織樣本中呈現高分辨率檢測結果。其重組單克隆特性確保了批次間的高度一致性,且具備良好的種屬交叉反應性,適用于細胞裂解液、石蠟包埋組織等多種實驗體系。該產品可支持研究人員探究HMGB1在炎癥微環境調控、細胞應激反應及疾病相關信號通路中的作用,尤其適用于腫瘤免疫、神經退行性疾病及組織修復機制等基礎研究領域,為體外實驗及病理樣本分析提供可靠工具,推動相關分子機制的基礎科研探索。
-
Uniprot No.:
-
基因名:
-
別名:High mobility group protein B1 (High mobility group protein 1) (HMG-1), HMGB1, HMG1
-
反應種屬:Human
-
免疫原:A synthesized peptide derived from human HMGB1
-
免疫原種屬:Homo sapiens (Human)
-
標記方式:Non-conjugated
-
克隆類型:Monoclonal
-
抗體亞型:Rabbit IgG
-
純化方式:Affinity-chromatography
-
克隆號:1A1
-
濃度:It differs from different batches. Please contact us to confirm it.
-
保存緩沖液:Rabbit IgG in 10mM phosphate buffered saline , pH 7.4, 150mM sodium chloride, 0.05% BSA, 0.02% sodium azide and 50% glycerol.
-
產品提供形式:Liquid
-
應用范圍:ELISA, WB, IHC
-
推薦稀釋比:
Application Recommended Dilution WB 1:500-1:5000 IHC 1:50-1:200 -
Protocols:
-
儲存條件:Upon receipt, store at -20°C or -80°C. Avoid repeated freeze.
-
貨期:Basically, we can dispatch the products out in 1-3 working days after receiving your orders. Delivery time maybe differs from different purchasing way or location, please kindly consult your local distributors for specific delivery time.
-
用途:For Research Use Only. Not for use in diagnostic or therapeutic procedures.
相關產品
靶點詳情
-
功能:Multifunctional redox sensitive protein with various roles in different cellular compartments. In the nucleus is one of the major chromatin-associated non-histone proteins and acts as a DNA chaperone involved in replication, transcription, chromatin remodeling, V(D)J recombination, DNA repair and genome stability (Ref.71). Proposed to be an universal biosensor for nucleic acids. Promotes host inflammatory response to sterile and infectious signals and is involved in the coordination and integration of innate and adaptive immune responses. In the cytoplasm functions as sensor and/or chaperone for immunogenic nucleic acids implicating the activation of TLR9-mediated immune responses, and mediates autophagy. Acts as danger associated molecular pattern (DAMP) molecule that amplifies immune responses during tissue injury. Released to the extracellular environment can bind DNA, nucleosomes, IL-1 beta, CXCL12, AGER isoform 2/sRAGE, lipopolysaccharide (LPS) and lipoteichoic acid (LTA), and activates cells through engagement of multiple surface receptors. In the extracellular compartment fully reduced HMGB1 (released by necrosis) acts as a chemokine, disulfide HMGB1 (actively secreted) as a cytokine, and sulfonyl HMGB1 (released from apoptotic cells) promotes immunological tolerance. Has proangiogdenic activity. May be involved in platelet activation. Binds to phosphatidylserine and phosphatidylethanolamide. Bound to RAGE mediates signaling for neuronal outgrowth. May play a role in accumulation of expanded polyglutamine (polyQ) proteins such as huntingtin (HTT) or TBP.; Nuclear functions are attributed to fully reduced HGMB1. Associates with chromatin and binds DNA with a preference to non-canonical DNA structures such as single-stranded DNA, DNA-containing cruciforms or bent structures, supercoiled DNA and ZDNA. Can bent DNA and enhance DNA flexibility by looping thus providing a mechanism to promote activities on various gene promoters by enhancing transcription factor binding and/or bringing distant regulatory sequences into close proximity. May have an enhancing role in nucleotide excision repair (NER). However, effects in NER using in vitro systems have been reported conflictingly. May be involved in mismatch repair (MMR) and base excision repair (BER) pathways. May be involved in double strand break repair such as non-homologous end joining (NHEJ). Involved in V(D)J recombination by acting as a cofactor of the RAG complex: acts by stimulating cleavage and RAG protein binding at the 23 bp spacer of conserved recombination signal sequences (RSS). In vitro can displace histone H1 from highly bent DNA. Can restructure the canonical nucleosome leading to relaxation of structural constraints for transcription factor-binding. Enhances binding of sterol regulatory element-binding proteins (SREBPs) such as SREBF1 to their cognate DNA sequences and increases their transcriptional activities. Facilitates binding of TP53 to DNA. Proposed to be involved in mitochondrial quality control and autophagy in a transcription-dependent fashion implicating HSPB1; however, this function has been questioned. Can modulate the activity of the telomerase complex and may be involved in telomere maintenance.; In the cytoplasm proposed to dissociate the BECN1:BCL2 complex via competitive interaction with BECN1 leading to autophagy activation. Involved in oxidative stress-mediated autophagy. Can protect BECN1 and ATG5 from calpain-mediated cleavage and thus proposed to control their proautophagic and proapoptotic functions and to regulate the extent and severity of inflammation-associated cellular injury. In myeloid cells has a protective role against endotoxemia and bacterial infection by promoting autophagy. Involved in endosomal translocation and activation of TLR9 in response to CpG-DNA in macrophages.; In the extracellular compartment (following either active secretion or passive release) involved in regulation of the inflammatory response. Fully reduced HGMB1 (which subsequently gets oxidized after release) in association with CXCL12 mediates the recruitment of inflammatory cells during the initial phase of tissue injury; the CXCL12:HMGB1 complex triggers CXCR4 homodimerization. Induces the migration of monocyte-derived immature dendritic cells and seems to regulate adhesive and migratory functions of neutrophils implicating AGER/RAGE and ITGAM. Can bind to various types of DNA and RNA including microbial unmethylated CpG-DNA to enhance the innate immune response to nucleic acids. Proposed to act in promiscuous DNA/RNA sensing which cooperates with subsequent discriminative sensing by specific pattern recognition receptors. Promotes extracellular DNA-induced AIM2 inflammasome activation implicating AGER/RAGE. Disulfide HMGB1 binds to transmembrane receptors, such as AGER/RAGE, TLR2, TLR4 and probably TREM1, thus activating their signal transduction pathways. Mediates the release of cytokines/chemokines such as TNF, IL-1, IL-6, IL-8, CCL2, CCL3, CCL4 and CXCL10. Promotes secretion of interferon-gamma by macrophage-stimulated natural killer (NK) cells in concert with other cytokines like IL-2 or IL-12. TLR4 is proposed to be the primary receptor promoting macrophage activation and signaling through TLR4 seems to implicate LY96/MD-2. In bacterial LPS- or LTA-mediated inflammatory responses binds to the endotoxins and transfers them to CD14 for signaling to the respective TLR4:LY96 and TLR2 complexes. Contributes to tumor proliferation by association with ACER/RAGE. Can bind to IL1-beta and signals through the IL1R1:IL1RAP receptor complex. Binding to class A CpG activates cytokine production in plasmacytoid dendritic cells implicating TLR9, MYD88 and AGER/RAGE and can activate autoreactive B cells. Via HMGB1-containing chromatin immune complexes may also promote B cell responses to endogenous TLR9 ligands through a B-cell receptor (BCR)-dependent and ACER/RAGE-independent mechanism. Inhibits phagocytosis of apoptotic cells by macrophages; the function is dependent on poly-ADP-ribosylation and involves binding to phosphatidylserine on the cell surface of apoptotic cells. In adaptive immunity may be involved in enhancing immunity through activation of effector T cells and suppression of regulatory T (TReg) cells. In contrast, without implicating effector or regulatory T-cells, required for tumor infiltration and activation of T-cells expressing the lymphotoxin LTA:LTB heterotrimer thus promoting tumor malignant progression. Also reported to limit proliferation of T-cells. Released HMGB1:nucleosome complexes formed during apoptosis can signal through TLR2 to induce cytokine production. Involved in induction of immunological tolerance by apoptotic cells; its pro-inflammatory activities when released by apoptotic cells are neutralized by reactive oxygen species (ROS)-dependent oxidation specifically on Cys-106. During macrophage activation by activated lymphocyte-derived self apoptotic DNA (ALD-DNA) promotes recruitment of ALD-DNA to endosomes.; (Microbial infection) Critical for entry of human coronaviruses SARS-CoV and SARS-CoV-2, as well as human coronavirus NL63/HCoV-NL63. Regulates the expression of the pro-viral genes ACE2 and CTSL through chromatin modulation.
-
基因功能參考文獻:
- Based on these findings, ischemia/reperfusion-induced MCPIP1 expression regulates the migration and apoptosis of human vascular endothelial cells via HMGB1 and CaSR, respectively. PMID: 29379093
- Studied association of plasma levels of high mobility group box 1 (HMGB1) in critically ill patients. PMID: 29862569
- The high-mobility group box (HMGB) proteins, particularly HMGB1, are self-derived innate immune activators that have multiple functions in the regulation of immunity and inflammation. Recent discoveries have illustrated the close link between HMGB1 and heart allograft rejection. PMID: 29198620
- miR-193a plays a suppressive role in osteogenic differentiation of human bone marrow-derived stroma cell via targeting HMGB1. PMID: 29787753
- Platelet HMGB1 mediated neutrophil-extracellular traps release is a primary regulator of deep vein thrombosis in mice. PMID: 29391442
- Study findings suggested that TCTP promotes colorectal cancer metastasis through regulating the behaviors of HMGB1 and the downstream activation of the NF-kappaB signaling pathway. PMID: 30066846
- in the present study we explore the characteristic binding mode and energetics of Act D binding to 21 nt mimed CpG sequence in the positive regulatory region of hmgb1 gene to identify areas of pressing experimental need.. PMID: 28033959
- Study demonstrated that serum HMGB1 was upregulated and the expression levels of miR-381 were downregulated in patients with polymyositis (PM). Furthermore, high HMGB1 expression was associated with poor survival rate in patients with PM. A luciferase activity assay was used to confirm the binding of miR-381 and HMGB1 3' untranslated region. PMID: 29956737
- High mobility group box 1 (HMGB1) and OV-6 antigen (OV-6) positive staining are promising prognostic parameters for hepatocellular carcinoma (HCC), suggesting that HMGB1 and OV-6 may cooperate with each other and predict poor prognosis of HCC. PMID: 29441453
- results demonstrate that non-oxidizable HMGB1 induce a sustained cardiac fibroblasts migration despite the redox state of the environment and by altering CXCL12/CXCR4 axis. This affects proper cardiac remodeling after an infarction. PMID: 28716707
- High HMGB1 expression is associated with reduced chemosensitivity in the pleural effusion of non-small cell lung cancer. PMID: 28885675
- This work indicates that NELL-1, HMGB1, and CCN2 might enhance bone defect healing via the recruitment of endogenous cells and induction of vascularization and act via different processes than BMP2. PMID: 28463604
- comparison of inhibitory potential of the already known inhibitors of Head and neck squamous cell carcinoma against HMGB1-binding pocket using simulations and docking. PMID: 27900730
- identified 2 novel miR-193a-3p targets, the high mobility group box-1 (HMGB1) and the hypoxia upregulated-1 (HYOU1) gene products. HMGB1 silencing in cord blood ECFC-derived cells confirmed its role in regulating vascular function. PMID: 28276476
- Results show that HMGB1 is highly expressed in prostate cancer (PC) tissues. Highly expressed HMGB1 activates RAGE/NF-kappaB signaling pathways, which facilitates the metastasis of prostate cancer. PMID: 29845254
- HMGB1 was identified as a down-stream target of miR-204. The miR-204/HMGB1 axis mediated ZEB2-AS1's effect on pancreatic cancer. PMID: 29753015
- Study demonstrated that HMGB1 and TLR4 could contribute to the inflammatory lichen planus process in skin. PMID: 29728859
- Our research shows that HMGB1 participates in autophagy and DNA damage repair and that downregulation of HMGB1 enhances the sensitivity of multiple myeloma (MM)cells to Dex, suggesting that HMGB1 may serve as a target for MM treatment. PMID: 30157958
- HMGB1 plays a critical role in mitochondrial autophagy in cardiomyocytes. miR-410 targets its 3'UTR and regulates its transcription. PMID: 28914970
- HMGB1 is a good diagnostic biomarker for differentiating refractory M. pneumoniae pneumonia and non-refractory M. pneumoniae pneumonia. PMID: 30157804
- HMGB1 promoted lung cancer invasion and metastasis by upregulating the expression and activity of MMP-2 in an NF-kappaB-dependent manner. PMID: 29850505
- meta-analysis exploring the association of four HMGB1 polymorphisms with cancer. PMID: 29730397
- levels of serum HMGB1 were positively associated with 10-year CHD risk PMID: 29704473
- high mobility group box 1-receptor for advanced glycation end-products (HMGB1-RAGE) signaling pathway may be involved in the pathogenesis of preterm premature rupture of membranes (pPROM) PMID: 29673663
- MiR-106 interacted with the 3'-UTR of HMGB1 and inhibited HMGB1 expression. PMID: 30055307
- It is a 30 kDa protein that is a lethal mediator in sepsis and is a recognized therapeutic target. PMID: 30135341
- HMGB1 knockdown and miR-505 overexpression promoted ADM-induced DNA damage in HCC cells. PMID: 29803174
- These findings indicated that HMGB1 likely regulates autophagy in LO2 cells exposed to anoxia-reoxygenation injury PMID: 29880383
- extracellular functions of HMGB1 in cellular and immune homeostasis at the airway mucosal surface PMID: 28976774
- Our results indicate that genetic variations in the HMGB1 gene may serve as an important predictor of breast cancer progression and metastasis. PMID: 29725248
- soluble CD52 exerts a concerted immunosuppressive effect by first sequestering HMGB1 to nullify its proinflammatory Box B, followed by binding to the inhibitory Siglec-10 receptor, triggering recruitment of SHP1 to the intracellular immunoreceptor tyrosine-based inhibitory motif of Siglec-10 and its interaction with the TCR. PMID: 29997173
- In lung cancer patients, circulating HMGB1-containing nucleosome is higher in those under chemotherapy, predicting poorly cancer cell differentiation state, enhanced cancer invasion and advanced TNM stages. PMID: 29679570
- a number of microRNAs (miRNAs) are identified as a class of regulators for broad control of HMGB1-mediated biological actions in eukaryotic cells. PMID: 29651425
- The study indicated polymorphisms in HMGB1 may be a novel biomarker for female lung adenocarcinoma risk. PMID: 29617336
- Glycyrrhizin reduced the activity of JAK/STAT signaling pathway, which is the upstream regulator of HMGB1. PMID: 29568761
- HMGB1 may be a useful prognostic biomarker in malignant pleural mesothelioma when detected by immunohistochemistry, but cannot be considered a diagnostic biomarker in histological samples of mesothelioma PMID: 29356044
- the present study indicates that PBX 3'UTR may induce inflammatory responses and sepsis via acting as a competing endogenous RNA for HMGB1. PMID: 29484406
- overexpression of HMGB1 potentially promoted epileptogenesis. CLinduced activation of glial cells may act via upregulation of HMGB1 and TLR4/RAGE receptors, and the downstream transcription factor NFkappaB. PMID: 29393419
- Results show that HMGB1 is highly expressed in osteosarcoma tissues. Its expression is negatively regulated by miR-505 inhibiting proliferation, migration and invasion in osteosarcoma cells. PMID: 29251324
- This review demonstrated the increased expression of HMGB-1 in thrombosis-related diseases, including coronary artery disease, stroke, peripheral arterial disease, disseminated intravascular coagulation, and venous thrombosis. PMID: 29940562
- this study shows elevated serum level of HMGB1 in patients with the antiphospholipid syndrome PMID: 29410969
- Chronic periodontitis nonsmokers had elevated levels of HMGB1 in gingival crevicular fluid. The levels of HMGB1 were correlated with severity of periodontitis. Chronic periodontitis smokers exhibited lower levels of HMGB1 than chronic periodontitis nonsmokers. PMID: 28209360
- Serum HMGB1 levels in patients with inflamed appendix were significantly higher than in patients with normal appendix, and this could be a useful biomarker in improving the diagnostic accuracy of appendicitis. PMID: 27922766
- HMGB1 silencing promoted the susceptibility of retinoblastoma cells to chemotherapeutic drugs through downregulating NF-kappaB. PMID: 29328447
- HMGB1 possesses beneficial actions, such as endothelial activation, enhancement of neurite outgrowth, and neuronal survival in ischemic stroke. [review] PMID: 29054968
- HMGB1 mediates fibroblast activity via RAGE-MAPK and NF-kappaB signaling in keloid scar formation. PMID: 29283384
- Serum HMGB1 may be a potential marker to monitor the surgical course in patients undergoing surgery for colorectal cancer. PMID: 27834305
- the promotive effects of HuR overexpression on the inflammatory response were attenuated when HUVECs were cotreated with HMGB1 short hairpin RNA. Therefore, the present results indicated that the ectopic expression of HuR may induce inflammatory responses and thus sepsis by activating the HMGB1 signaling pathway. PMID: 29115544
- This is the first report to examine the risk factors associated with HMGB1 SNPs in the development of Rheumatoid arthritis disease in the Chinese Han population. PMID: 29200952
- HMGB1/IL-1beta complexes released after burn injuries can modulate immune responses PMID: 29601597
顯示更多
收起更多
-
亞細胞定位:Nucleus. Chromosome. Cytoplasm. Secreted. Cell membrane; Peripheral membrane protein; Extracellular side. Endosome. Endoplasmic reticulum-Golgi intermediate compartment.
-
蛋白家族:HMGB family
-
組織特異性:Ubiquitous. Expressed in platelets.
-
數據庫鏈接:
Most popular with customers
-
-
YWHAB Recombinant Monoclonal Antibody
Applications: ELISA, WB, IHC, IF, FC
Species Reactivity: Human, Mouse, Rat
-
Phospho-YAP1 (S127) Recombinant Monoclonal Antibody
Applications: ELISA, WB, IHC
Species Reactivity: Human
-
-
-
-
-















