DNMT1 Recombinant Monoclonal Antibody
-
中文名稱:DNMT1重組抗體
-
貨號:CSB-RA160202A0HU
-
規格:¥1320
-
圖片:
-
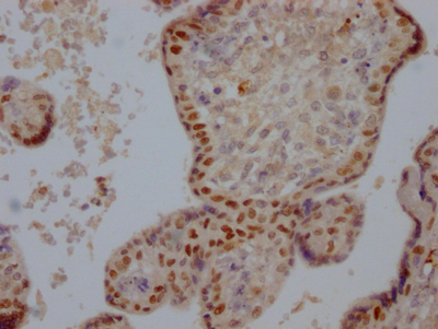
IHC image of CSB-RA160202A0HU diluted at 1:100 and staining in paraffin-embedded human placenta tissue performed on a Leica BondTM system. After dewaxing and hydration, antigen retrieval was mediated by high pressure in a citrate buffer (pH 6.0). Section was blocked with 10% normal goat serum 30min at RT. Then primary antibody (1% BSA) was incubated at 4℃ overnight. The primary is detected by a Goat anti-rabbit IgG polymer labeled by HRP and visualized using 0.05% DAB.
-
Immunofluorescence staining of HepG2 Cells with CSB-RA160202A0HU at 1:50, counter-stained with DAPI. The cells were fixed in 4% formaldehyde, permeated by 0.2% TritonX-100, and blocked in 10% normal Goat Serum. The cells were then incubated with the antibody overnight at 4℃. Nuclear DNA was labeled in blue with DAPI. The secondary antibody was FITC-conjugated AffiniPure Goat Anti-Rabbit IgG (H+L).
-
-
其他:
產品詳情
-
產品描述:CSB-RA160202A0HU DNMT1重組單克隆抗體是針對DNA甲基轉移酶1(DNMT1)設計的高特異性科研工具,該靶點作為維持DNA甲基化的關鍵酶,參與表觀遺傳調控、細胞分化及基因組穩定性等生物學過程,與腫瘤發生和衰老機制密切相關。本抗體經ELISA、免疫組化(IHC)和免疫熒光(IF)嚴格驗證,在IHC應用中推薦1:50-1:200稀釋,IF實驗推薦1:20-1:200稀釋,展現出優異的抗原結合能力與低交叉反應性。實驗數據顯示,其能在石蠟包埋組織切片中清晰標記DNMT1的核內定位,并在細胞免疫熒光中呈現高信噪比的染色效果,支持亞細胞水平蛋白表達分析。該產品適用于表觀遺傳學、腫瘤微環境、干細胞分化及衰老相關機制研究,可配合多種樣本類型(如組織切片、培養細胞)進行蛋白表達模式探索,為解析DNMT1在疾病發生發展中的功能提供可靠檢測工具。所有實驗數據均經重復驗證,確保批次間穩定性,滿足基礎科研對試劑重現性的高標準需求。
-
Uniprot No.:
-
基因名:
-
別名:DNA (cytosine-5)-methyltransferase 1 (Dnmt1) (EC 2.1.1.37) (CXXC-type zinc finger protein 9) (DNA methyltransferase HsaI) (DNA MTase HsaI) (M.HsaI) (MCMT), DNMT1, AIM CXXC9 DNMT
-
反應種屬:Human
-
免疫原:A synthesized peptide derived from human Dnmt1
-
免疫原種屬:Homo sapiens (Human)
-
標記方式:Non-conjugated
-
克隆類型:Monoclonal
-
抗體亞型:Rabbit IgG
-
純化方式:Affinity-chromatography
-
克隆號:1A9
-
濃度:It differs from different batches. Please contact us to confirm it.
-
保存緩沖液:Rabbit IgG in 10mM phosphate buffered saline , pH 7.4, 150mM sodium chloride, 0.05% BSA, 0.02% sodium azide and 50% glycerol.
-
產品提供形式:Liquid
-
應用范圍:ELISA, IHC, IF
-
推薦稀釋比:
Application Recommended Dilution IHC 1:50-1:200 IF 1:20-1:200 -
Protocols:
-
儲存條件:Upon receipt, store at -20°C or -80°C. Avoid repeated freeze.
-
貨期:Basically, we can dispatch the products out in 1-3 working days after receiving your orders. Delivery time maybe differs from different purchasing way or location, please kindly consult your local distributors for specific delivery time.
-
用途:For Research Use Only. Not for use in diagnostic or therapeutic procedures.
相關產品
靶點詳情
-
功能:Methylates CpG residues. Preferentially methylates hemimethylated DNA. Associates with DNA replication sites in S phase maintaining the methylation pattern in the newly synthesized strand, that is essential for epigenetic inheritance. Associates with chromatin during G2 and M phases to maintain DNA methylation independently of replication. It is responsible for maintaining methylation patterns established in development. DNA methylation is coordinated with methylation of histones. Mediates transcriptional repression by direct binding to HDAC2. In association with DNMT3B and via the recruitment of CTCFL/BORIS, involved in activation of BAG1 gene expression by modulating dimethylation of promoter histone H3 at H3K4 and H3K9. Probably forms a corepressor complex required for activated KRAS-mediated promoter hypermethylation and transcriptional silencing of tumor suppressor genes (TSGs) or other tumor-related genes in colorectal cancer (CRC) cells. Also required to maintain a transcriptionally repressive state of genes in undifferentiated embryonic stem cells (ESCs). Associates at promoter regions of tumor suppressor genes (TSGs) leading to their gene silencing. Promotes tumor growth.
-
基因功能參考文獻:
- DNMT1-isoform3, instead of isoform1, is responsible for mtDNA methylation, influencing its biology. PMID: 28484249
- DNMT1 was revealed as a direct target of miR148a by dual luciferase reporter assay, and restoration of miR148a could reactivate TSGs, such as p16, preproenkephalin and Ras association domain family member 1 by targeting DNMT1 in the AsPC1 pancreatic cancer cell line PMID: 30226601
- Hyperthyroid patients with newly diagnosed Graves disease had global hypomethylation and lower DNMT1 expression in T and B lymphocytes. PMID: 29336230
- Repression of Dok7 expression via DNMT1 mediated DNA methylation promotes glioma cell proliferation. PMID: 29990858
- MiR-139-5p suppresses the migration and invasion of osteosarcoma cell lines. MiR-139-5p decreases DNMT1 expressions in osteosarcoma lines. PMID: 29673587
- High DNMT1 expression is associated with bladder cancer. PMID: 30015946
- These findings indicated that rs2228611 might contribute to male hypertension via BMI-dependent mechanisms in obesity male and BMI-independent mechanisms in normal weight male. PMID: 29400588
- UV-induced expression of DNMT1 may be responsible for mediating DNA hypermethylation in TIMP2, and thus, silencing its expression, in UV-exposed human skin. PMID: 29685765
- Findings suggested that tumor overexpression of DNMT1 and DNMT3A is associated with tumor aggressive behavior and high-methylation status in pituitary adenomas. Data support a possible role of DNMT1 and DNMT3A in TSG promoter methylation leading to pituitary adenoma invasion. PMID: 30002361
- Knockdown of DNMT1 could block the role of miR-148a in promoting myocardial differentiation of human bone mesenchymal stromal cells. PMID: 28656724
- Data show that long noncoding RNA LUCAT1 activated DNA methyltransferase 1 (DNMT1), a major DNA methylation protein, to repress the expression of tumor-suppressor genes, leading to the development and progression of esophageal squamous cell carcinoma (ESCC). PMID: 29247823
- Genetic variation in DNMT1 gene is not associated with gastric cancer. PMID: 29956566
- Study investigated the counteraction of oxidative stress by vitamin E in the colorectal cancer cell line Caco-2 under normal and high glucose cell culture condition. Gene expression and promoter methylation of the DNA repair gene MutL homolog 1 (MLH1) and the DNA methyltransferase 1 (DNMT1) were investigated. Induction of MLH1 and DNMT1 gene expression was noticed, accompanied by an increase in global methylation. PMID: 29854080
- The finding that zebularine upregulates CYP gene expression through DNMT1 and PKR modulation sheds light on the mechanisms controlling hepatocyte function and thus may aid in the development of new in-vitro systems using high-functioning hepatocytes PMID: 28112215
- Results show that upon DNMT1 depletion, overall pattern of sites show significant differential methylation. PMID: 29598829
- DNMT1 contributes to promoter hypermethylation and epigenetic NHERF1 silencing in colon cancer. PMID: 29901158
- the expression of WIF-1 was low in GBC cells due to aberrant hypermethylation of its promoter region. Additionally, an alternative pathogenesis of GBC was indicated in which c-Jun causes hypermethylation of the WIF-1 promoter region, and represses the expression of WIF-1 through transcriptional regulation and interaction with DNMT1 as an early event in the tumorigenesis of GBC. PMID: 29693707
- SAC decreased the levels of 5-methylcytosine, DNMT activity, messenger RNA (mRNA) and protein levels of DNMT1. Additionally, SAC treatment resulted in re-expression of the mRNA and proteins of silenced tumor suppressor gene CDKN1A accompany with reduced cell division control 2 expression. PMID: 29759079
- This work revealed the critical function of GOLM1/miR-200a/DNMT1 signaling pathway on regulating lung adenocarcinoma cell proliferation PMID: 29710483
- DNMT1 is associated with cell cycle and DNA replication gene sets in diffuse large B-cell lymphoma PMID: 29137822
- both messenger RNA and protein levels of KLF2 in HUVEC co-treated with LPS and DNA methyltransferase (DNMT) 1 small interfering RNA were dramatically higher than that treated with LPS only. PMID: 28578476
- By perturbing BCL11A-DNMT1 interaction, miR-137 impairs cancer stemness and suppresses tumor development in Triple negative breast cancer. PMID: 29975921
- DNMT3B rs1569686 gene polymorphism in women might be a genetic marker for the susceptibility to recurrent spontaneous abortion PMID: 28940947
- we demonstrated that the downregulation of CLDN6 is regulated through promoter methylation by DNMT1, which depends on the SMAD2 pathway, and that CLDN6 is a key regulator in the SMAD2/DNMT1/CLDN6 pathway to inhibit EMT, migration and invasion of breast cancer cells PMID: 28867761
- GNAO1 transcription was inhibited by promoter hypermethylation, contributing to its low expression. It was further revealed that the silencing effect was regulated by methyltransferase 1 (DNMT1), and was further enhanced by transforming growth factor beta (TGF-beta). PMID: 29709639
- These results demonstrate that targeting NFkappaB/PDL1/STAT3/DNMT1 axis is a new therapeutic strategy for preventing or overcoming the acquired resistance to sorafenib in hepatocellular carcinoma (HCC)patients PMID: 28627705
- PPI decreased expression of DNMT1. Silenced HOTAIR reduced DNMT1 protein expression. Exogenously expressed HOTAIR resisted PPI-inhibited DNMT1 protein expression. Excessive EZH2 antagonized PPI-suppressed DNMT1 protein expression or vice versa. The interactions among HOTAIR, DNMT1 and EZH2, and reciprocal regulation of DNMT1 and EZH2 contribute to the overall responses of PPI. PMID: 29221985
- Epigenetic enhancement of the post-replicative DNA mismatch repair of mammalian genomes by a Hemi-(m)CpG-Np95-Dnmt1 axis has been demonstrated for humans and mice. PMID: 27886214
- DNMT1 is predictive of diffuse large B-cell lymphomas (DLBCLs) patients' survival, and suggest that DNMT1 could be a DLBCL therapeutic target due to its significant association with Ki-67. PMID: 29074044
- This is the first demonstration that dysregulated KLF4 expression associates with poor differentiation of pancreatic cancer. Epigenetic activation of miR-152/DNMT1/KLF4 signaling pathway by dietary DIM causes differentiation and significant growth inhibition of pancreatic cancer cells, highlighting its translational implications for pancreatic and other cancers. PMID: 28659310
- Investigations demonstrate that KLF5 genomic loci are hypermethylated at proximal exon 4 and suppression of DNA methyltransferase 1 (DNMT1) expression by ShRNAs or a methylation inhibitor 5-Aza-CdR can recover KLF5 expression. PMID: 28749461
- (i) ectopic expression of miR-148a induces programmed cell death and represses cell proliferation by targeting DNMT1; (ii) miR-148a gene is regulated by DNA methylation and DNMT1 in prostate cancer. We conclude that miR-148a is silenced by DNA methylation and ectopic expression of miR-148a suppresses DNMT1 expression and induced apoptotic genes expression in hormone-refractory prostate cancer cells. PMID: 29596883
- Results show that DNMT1 function is regulated by LSD1 which mediates its recruitment at the transcriptional start site of its target genes to modulates there epigenetic status by altering H3K4me2 and H3K9Ac and DNA methylation. PMID: 28811844
- elevated DNMT1 was correlated with decreased PPAR-gamma, and increased proinflammatory cytokine production in the peripheral blood monocytes isolated from the patients with atherosclerosis, compared to those of healthy donors. PMID: 27530451
- Results indicated that miR-152-3p can inhibit glioma cell proliferation and invasion activities by decreasing DNMT1. PMID: 28764788
- PRIMA-1 could cause the demethylation of TP73, through DNMT1 depletion, to subsequently enhance the unfolded protein response PMID: 27533450
- Results show that DNMT1 is highly expressed in lung tumors compared to normal tissues, and that DBCCR1 attenuates its expression suggesting a reciprocal regulation between genetic silencing of cancer suppressor genes and activating DNA methylation. PMID: 28427182
- A decreased expression of anti-DNMT1 miRNAs might account for azacitidine resistance in higher-risk myelodysplastic syndrome and acute myeloid leukemia , and measuring miRNA expression before and during treatment might help predict primary or secondary azacitidine resistance PMID: 27881579
- these findings revealed that miR-217 promotes fibroblasts senescence by suppressing DNMT1-mediated methylation of p16 and pRb by targeting the DNMT1 3'-UTR. PMID: 28380423
- Ultraviolet B rays suppressed SIRT1 expression by activating AhR, and subsequently inhibited DNMT1 activity in CD4+ T cells from systemic lupus erythematosus patients. PMID: 28336124
- DNMT1 expression is increased in low-grade gliomas and is associated with improved survival. Its expression is regulated by phosphorylated c-Jun and correlates with high DNA methylation. PMID: 28036297
- in patents with chronic hepatitis B, data showed a DNMT1 overexpression significantly correlated to nucleo(t)side analogs (NA) therapy duration and higher regional mitochondrial DNA hypermethylation; this might suggest an epigenetic alteration that could be involved in one of the possible mechanisms of mitochondrial gene regulation during NAs therapy PMID: 27922198
- The meta-analysis also suggested that DNMT1 rs16999593 (T/C) may be associated with gastric cancer, while rs2228611 (G/A) may be associated with breast cancer. In future research, large-scale and well-designed studies are required to verify these findings. PMID: 28473984
- FQI1 mediates alteration of the tumor epigenome by DNMT1-LSF complex disruption, leading to aberrant DNA methylation and gene expression. PMID: 27845898
- DNMT1-mediated transcriptional upregulation of IGF2 is a novel mechanism of resistance to HDIs, highlighting the role of epigenetic deregulation of IGF2 in HDI resistance and the potential value of the H19/IGF2 ICR hypermethylation and DNMT1 expression as predictive biomarkers in HDI-based anticancer therapies. PMID: 27582487
- these results demonstrate crosstalk between the lysine demethylase KDM1A and the DNMT1, which could be involved in carcinogenesis independently of its role in DNA methylation PMID: 27449289
- High DNMT1 expression is associated with drug resistance in breast cancer. PMID: 26980709
- DNMT1 causes NR4A1 DNA hypermethylation and blocks insulin signaling in an Chinese patients with type 2 diabetes PMID: 27322146
- MUC1-C activates the NF-kappaB p65 pathway, promotes occupancy of the MUC1-C/NF-kappaB complex on the DNMT1 promoter and drives DNMT1 transcription PMID: 27259275
- increased expression of both DNA methytransferase I (DNMT1) and Survivin was observed and significantly correlated with the reduced miR-203 in NSCLC PMID: 27177222
顯示更多
收起更多
-
相關疾?。?/div>Neuropathy, hereditary sensory, 1E (HSN1E); Cerebellar ataxia, deafness, and narcolepsy, autosomal dominant (ADCADN)亞細胞定位:Nucleus.蛋白家族:Class I-like SAM-binding methyltransferase superfamily, C5-methyltransferase family組織特異性:Ubiquitous; highly expressed in fetal tissues, heart, kidney, placenta, peripheral blood mononuclear cells, and expressed at lower levels in spleen, lung, brain, small intestine, colon, liver, and skeletal muscle. Isoform 2 is less expressed than isoform數據庫鏈接:
Most popular with customers
-
-
YWHAB Recombinant Monoclonal Antibody
Applications: ELISA, WB, IHC, IF, FC
Species Reactivity: Human, Mouse, Rat
-
Phospho-YAP1 (S127) Recombinant Monoclonal Antibody
Applications: ELISA, WB, IHC
Species Reactivity: Human
-
-
-
-
-















