CDC42 Recombinant Monoclonal Antibody
-
中文名稱:CDC42重組抗體
-
貨號:CSB-RA177985A0HU
-
規格:¥1320
-
圖片:
-
Western Blot
Positive WB detected in: NIH/3T3 whole cell lysate, K562 whole cell lysate, Mouse Brain whole cell lysate
All lanes: CDC42 antibody at 1:1000
Secondary
Goat polyclonal to rabbit IgG at 1/50000 dilution
Predicted band size: 22, 22 kDa
Observed band size: 24 kDa -
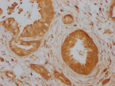
IHC image of CSB-RA177985A0HU diluted at 1:100 and staining in paraffin-embedded human pancreatic cancer performed on a Leica BondTM system. After dewaxing and hydration, antigen retrieval was mediated by high pressure in a citrate buffer (pH 6.0). Section was blocked with 10% normal goat serum 30min at RT. Then primary antibody (1% BSA) was incubated at 4℃ overnight. The primary is detected by a Goat anti-rabbit IgG polymer labeled by HRP and visualized using 0.05% DAB.
-
-
其他:
產品詳情
-
產品描述:CSB-RA177984A0HU CDC42重組單克隆抗體是針對人源CDC42蛋白設計的高特異性科研工具,適用于多種實驗場景。CDC42作為Rho GTP酶家族核心成員,通過調控細胞骨架動態重組、極性建立及囊泡運輸等過程,廣泛參與細胞遷移、增殖與分化,其異常表達與腫瘤轉移、免疫失調及神經系統疾病密切相關。本抗體經ELISA、Western Blot(WB)和免疫組化(IHC)嚴格驗證,在WB實驗中可清晰識別內源性CDC42蛋白條帶,推薦稀釋范圍為1:500-1:5000;在IHC應用中能精準定位石蠟包埋組織切片中的抗原分布,推薦使用濃度1:50-1:200。該產品適用于探索CDC42在細胞極性調控、胞吞作用或信號轉導通路中的分子機制,也可用于癌癥模型、神經發育研究及炎癥反應等領域的蛋白表達分析,為體外實驗提供可靠檢測支持,滿足基礎科研對靶標蛋白定性與定量分析的需求。
-
Uniprot No.:
-
基因名:
-
別名:Cell division control protein 42 homolog (G25K GTP-binding protein), CDC42
-
反應種屬:Human, Mouse
-
免疫原:A synthesized peptide derived from human CDC42
-
免疫原種屬:Homo sapiens (Human)
-
標記方式:Non-conjugated
-
克隆類型:Monoclonal
-
抗體亞型:Rabbit IgG
-
純化方式:Affinity-chromatography
-
克隆號:3C3
-
濃度:It differs from different batches. Please contact us to confirm it.
-
保存緩沖液:Rabbit IgG in 10mM phosphate buffered saline , pH 7.4, 150mM sodium chloride, 0.05% BSA, 0.02% sodium azide and 50% glycerol.
-
產品提供形式:Liquid
-
應用范圍:ELISA, WB, IHC
-
推薦稀釋比:
Application Recommended Dilution WB 1:500-1:5000 IHC 1:50-1:200 -
Protocols:
-
儲存條件:Upon receipt, store at -20°C or -80°C. Avoid repeated freeze.
-
貨期:Basically, we can dispatch the products out in 1-3 working days after receiving your orders. Delivery time maybe differs from different purchasing way or location, please kindly consult your local distributors for specific delivery time.
-
用途:For Research Use Only. Not for use in diagnostic or therapeutic procedures.
相關產品
靶點詳情
-
功能:Plasma membrane-associated small GTPase which cycles between an active GTP-bound and an inactive GDP-bound state. In active state binds to a variety of effector proteins to regulate cellular responses. Involved in epithelial cell polarization processes. Regulates the bipolar attachment of spindle microtubules to kinetochores before chromosome congression in metaphase. Regulates cell migration. In neurons, plays a role in the extension and maintenance of the formation of filopodia, thin and actin-rich surface projections. Required for DOCK10-mediated spine formation in Purkinje cells and hippocampal neurons. Facilitates filopodia formation upon DOCK11-activation. Upon activation by CaMKII, modulates dendritic spine structural plasticity by relaying CaMKII transient activation to synapse-specific, long-term signaling. Also plays a role in phagocytosis through organization of the F-actin cytoskeleton associated with forming phagocytic cups.
-
基因功能參考文獻:
- The spatial extent of Rho GTPases gradients governs cell migration, a sharp Cdc42 gradient maximizes directionality while an extended Rac1 gradient controls the speed. PMID: 30446664
- Coincident with the loss of PICK1 by GBF1-activated ARF1, CDC42 recruitment leads to the activation of IRSp53 and the ARP2/3 complex, resulting in a burst of F-actin polymerisation potentially powering scission. PMID: 29743604
- Study revealed that miR3423p levels were significantly inversely correlated with the protein levels of its target CDC42 in nasopharyngeal carcinoma (NPC) tissues. Overexpression of miR-342-3p inhibited NPC cell proliferation and invasion by directly targeting CDC42. PMID: 30106159
- Methylmercury chloride negatively affects the activation of Src, Rac1 and Cdc42, all of which are critical proteins for the regulation of cell movement. PMID: 29197552
- Cdc42BPA and Cdc42 signaling are important for colon cancer invasion, and Cdc42BPA has potential implications for colon cancer prognosis and treatment. PMID: 29072916
- new treatments using small molecules and miRNAs to inhibit the abnormal overexpression of Cdc42 that may slow down the metastasis process, improve cancer therapy and lead to novel strategies for development of antineoplastic drugs. PMID: 29596304
- we present a third patient with TKS. The heterozygous mutation of CDC42 (p.Tyr64Cys) is likely a hot-spot mutation for TKS. PMID: 29335451
- X-ray crystallography reveals that in addition to the canonical PAK4 CDC42/RAC interactive binding (CRIB) domain binding to CDC42 there are unexpected contacts involving the PAK4 kinase C-lobe, CDC42, and the PAK4 polybasic region. PMID: 29295922
- Cdc42 plays a role in regulating the proliferation of PMVECs stimulated with small doses of LPS, and this regulation involves the ERK pathway PMID: 27769693
- Data show that Ras-like without CAAX 1 protein (RIT1) binds the RHO GTPases CDC42 and RAC1, both of which are crucial regulators of actin dynamics upstream of PAK1. PMID: 29734338
- The results show that PTEN controls multicellular assembly through a membrane-associated regulatory protein complex composed of beta-Arrestin1, ARHGAP21 and Cdc42. PMID: 28749339
- CDC42 acts as an essential factor in regulating cell proliferation and also takes part in lipotoxic effects of palmitate. PMID: 28548571
- loss of XIAP enhances filopodia formation in a Cdc42-dependent manner and this phenomenon phenocopies EGF stimulation. Further, XIAP depletion promotes lung colonization of tumor cells in mice in a Cdc42-dependent manner. These observations shed molecular insights into ubiquitin-dependent regulation of Cdc42 and that of actin cytoskeleton. PMID: 28661476
- Cdc42 can affect multiple morphogenetic processes during angiogenic sprouting and ultimately impact the architecture of the vasculature. PMID: 28376260
- Study identified different phenotypic correlations of nuclear versus cytoplasmic expression of CDC42, with high nuclear expression correlating with better prognostic features. These results show that CDC42 seems to be a key determinant of low-grade ER-positive breast cancers with prognostic significance. Subcellular localization may be important in determining breast cancer morphology. PMID: 28451966
- Downregulation of PLEKHA7 in PACG may affect BAB integrity and aqueous humor outflow via its Rac1/Cdc42 GAP activity, thereby contributing to disease etiology. PMID: 29016860
- CDC42 has an active oncogenic role in CRC via the transcriptional regulation of multiple cancer-related pathways and that CDC42-mediated silencing of CACNA2D2 is clinically relevant. PMID: 28460460
- MBQ-167 is 10x more potent than other currently available Rac/Cdc42 inhibitors and has the potential to be developed as an anticancer drug, as well as a dual inhibitory probe for the study of Rac and Cdc42 PMID: 28450422
- Filamin C promotes lymphatic invasion and lymphatic metastasis and increases cell motility by regulating Rac1/cdc42 activites in esophageal squamous cell carcinoma. PMID: 28031525
- Cdc42 inhibition is required for Mig-6 suppression of cell migration induced by EGF PMID: 27341132
- this study shows that miR-384 inhibits human colorectal cancer metastasis by targeting KRAS and CDC42 PMID: 27769041
- activated Cdc42 is a critical determinant of the migratory and invasive phenotype of malignant gliomas; this effect may be mediated, at least in part, through its interaction with IQGAP1 and phosphorylated FAK PMID: 27486972
- MDA-9 upregulated active levels of known modulators of epithelial mesenchymal transformation, the small GTPases RhoA and Cdc42, via TGFbeta1, promoting lung metastasis of breast cancer cells. PMID: 27863394
- Results suggest that SNPs increasing endometriosis risk in this region act through CDC42. PMID: 28171565
- our data identify Epsin2 as a novel player in regulating oocyte maturation, and demonstrate that Epsin2 promotes polarity establishment and meiotic division via activating Cdc42 PMID: 27463009
- MYC-nick, fascin, and Cdc42 are frequently up-regulated in cells present at the invasive front of human colorectal tumors, suggesting a coordinated role for these proteins in tumor migration. PMID: 27566402
- role of Cdc42 and Rac1 activities in pheochromocytoma, the adrenal medulla tumor PMID: 27355516
- N-WASP positively regulates demarcation membrane system development and proplatelet formation, and the Src family kinases in association with CDC42 regulate proplatelet formation through N-WASP PMID: 27685868
- miR-424-->cdc42-->prdm14 axis as a key molecular signalling cascade that might influence breast cancer progression in diabetic patients through hyperactivation of cancer stem cells. PMID: 29024936
- viral protein US28 was acting through CDC42, rearranging actin microfilaments, causing association of actin with lipid rafts, and leading to a dramatic change in the abundance and/or structure of lipid rafts. PMID: 27320924
- Study describes a novel quantitative approach to determine Cdc42 activity at specific subcellular locations and reveals new regulatory principles and functions of this small GTPase. PMID: 28539409
- Study Cdc42 regulates Cdc42EP3 function in cancer-associated fibroblasts. PMID: 27248291
- CDC42 loss suppresses acute myeloid leukemia cell polarity and division asymmetry. PMID: 28778865
- The structural basis for Cdc42-induced dimerization of IQGAP1 and IQGAP2 has been uncovered. PMID: 27524202
- Polarity signaling via CDC42/atypical protein kinase C can affect the dynamic turnover of the intermediate filament network to promote the polarization of the network itself. PMID: 28432079
- Circular RNA ccHIAT1 functions as a metastatic inhibitor to suppress AR-enhanced ccRCC cell migration and invasion via miR-195-5p/29a-3p/29c-3p/CDC42 signaling pathway. PMID: 28089832
- CDC42 plays an important role in promoting pancreatic cancer development and might serve as a prognostic indicator of pancreatic cancer. PMID: 28181096
- These findings suggest that ACK adopts a dock and coalesce binding mechanism with Cdc42. In contrast to other CRIB-family effectors and indeed other intrinsically disordered proteins, hydrophobic residues likely drive Cdc42-ACK binding. PMID: 28539360
- rapamycin inhibits the RhoA, Rac1, and Cdc42 activated by high glucose(HG). Thus, rapamycin shows an obvious protective effect on HG-induced Epithelial-mesenchymal transition, by inhibiting the activation of Rho GTPases (RhoA, Rac1, and Cdc42). PMID: 27093550
- Akt3 constitutively suppresses macropinocytosis in macrophages through a novel WNK1/SGK1/Cdc42 pathway. PMID: 28389565
- These data were confirmed by phosphomimetic mutation of serine 1443 to glutamate within RGCT, which led to a significant reduction of IQGAP1 affinity for CDC42 and RAC1, clearly disclosing the critical role of RGCT for these interactions. PMID: 27815503
- Report shows Cdc42 as a downstream target of miR-107. PMID: 28393193
- endocytosis vesicle enrichment of GRP75 by mitochondria trafficking upregulates clathrin-independent endocytosis through an actin cytoskeleton reorganization mechanism mediated by the concurrent activation of Cdc42 and RhoA. PMID: 27090015
- Results show that cdc42 is a direct target of miR-186 through its 3'UTR down-regulating cdc42 protein level in a post-transcriptional manner. PMID: 28317368
- Epistasis analysis identified a statistically significant interaction between CDC42 and SCIN SNPs which are strongly associated with CDC42 and SCIN gene expression levels and map to regulatory elements in skin cells. This interaction has important biological relevance since CDC42 and SCIN proteins have opposite effects in actin cytoskeleton organization and dynamics, which underlies melanoma cell migration and invasion. PMID: 27347659
- Here we briefly overview how mutations in Cdc42-specific GEFs have an impact on the organization of intracellular trafficking fluxes and how such trafficking aberrations could be associated with a number of human disorders. PMID: 28029388
- High p21-activated kinase 1 and cell division control protein 42 homolog expressions are closely related to the clinicopathological features and poor prognosis of cervical carcinoma, serving as unfavorable prognostic factors. PMID: 27060895
- High expression of CDC42 is associated with glioma. PMID: 28035419
- Results indicate the importance of SLIT2-ROBO1-CDC42 signaling pathway in predicting tumor progression. PMID: 27659325
- Our results demonstrate a novel role of Bif-1 in hepatocellular carcinoma (HCC), in which Bif-1 promotes cell metastasis by regulating Cdc42 expression and activity. PMID: 27730394
顯示更多
收起更多
-
相關疾病:Takenouchi-Kosaki syndrome (TKS)
-
亞細胞定位:Cell membrane; Lipid-anchor; Cytoplasmic side. Cytoplasm, cytoskeleton, microtubule organizing center, centrosome. Cytoplasm, cytoskeleton, spindle. Midbody. Cell projection, dendrite.
-
蛋白家族:Small GTPase superfamily, Rho family, CDC42 subfamily
-
數據庫鏈接:
Most popular with customers
-
YWHAB Recombinant Monoclonal Antibody
Applications: ELISA, WB, IHC, IF, FC
Species Reactivity: Human, Mouse, Rat
-
Phospho-YAP1 (S127) Recombinant Monoclonal Antibody
Applications: ELISA, WB, IHC
Species Reactivity: Human
-
-
-
-
-
-















