CASP3 Recombinant Monoclonal Antibody
-
中文名稱:CASP3重組抗體
-
貨號:CSB-RA182616A0HU
-
規格:¥1320
-
圖片:
-
Western Blot
Positive WB detected in: Hela whole cell lysate, HEK293 whole cell lysate, Ntera-2 whole cell lysate
All lanes: Caspase-3 antibody at 1:1000
Secondary
Goat polyclonal to rabbit IgG at 1/50000 dilution
Predicted band size: 32 kDa
Observed band size: 32, 28 kDa -
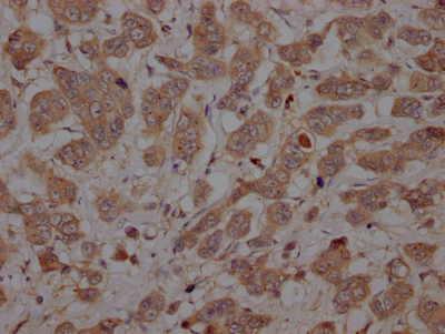
IHC image of CSB-RA182616A0HU diluted at 1:100 and staining in paraffin-embedded human breast cancer performed on a Leica BondTM system. After dewaxing and hydration, antigen retrieval was mediated by high pressure in a citrate buffer (pH 6.0). Section was blocked with 10% normal goat serum 30min at RT. Then primary antibody (1% BSA) was incubated at 4℃ overnight. The primary is detected by a Goat anti-rabbit IgG polymer labeled by HRP and visualized using 0.05% DAB.
-
-
其他:
產品詳情
-
產品描述:CASP3重組單克隆抗體(CSB-RA182616A0HU)是針對凋亡關鍵執行者半胱天冬酶3(Caspase-3)開發的高特異性科研工具。該抗體基于重組表達技術制備,具有嚴格的靶標結合能力,能夠特異性識別CASP3蛋白的天然及活化形式。經多平臺驗證,該抗體在Western Blot中可穩定識別樣本中的目標蛋白,在免疫組織化學(IHC)中清晰顯示組織定位特征,同時支持ELISA檢測體系。推薦工作濃度為WB 1:500-1:5000、IHC 1:50-1:200,適用于細胞凋亡通路研究、藥物誘導的蛋白活性檢測以及病理模型中程序性細胞死亡的機制探索。本產品經多種樣本類型驗證(包括組織裂解液、細胞提取物及石蠟包埋切片),具有優異的批次間一致性,為神經退行性疾病、腫瘤生物學等領域的體外實驗提供可靠檢測方案,適用于基礎科研中的蛋白功能分析與信號通路研究。
-
Uniprot No.:
-
基因名:
-
別名:Caspase-3 (CASP-3) (EC 3.4.22.56) (Apopain) (Cysteine protease CPP32) (CPP-32) (Protein Yama) (SREBP cleavage activity 1) (SCA-1) [Cleaved into: Caspase-3 subunit p17, Caspase-3 subunit p12], CASP3, CPP32
-
反應種屬:Human
-
免疫原:A synthesized peptide derived from human Caspase-3
-
免疫原種屬:Homo sapiens (Human)
-
標記方式:Non-conjugated
-
克隆類型:Monoclonal
-
抗體亞型:Rabbit IgG
-
純化方式:Affinity-chromatography
-
克隆號:2B10
-
濃度:It differs from different batches. Please contact us to confirm it.
-
保存緩沖液:Rabbit IgG in 10mM phosphate buffered saline , pH 7.4, 150mM sodium chloride, 0.05% BSA, 0.02% sodium azide and 50% glycerol.
-
產品提供形式:Liquid
-
應用范圍:ELISA, WB, IHC
-
推薦稀釋比:
Application Recommended Dilution WB 1:500-1:5000 IHC 1:50-1:200 -
Protocols:
-
儲存條件:Upon receipt, store at -20°C or -80°C. Avoid repeated freeze.
-
貨期:Basically, we can dispatch the products out in 1-3 working days after receiving your orders. Delivery time maybe differs from different purchasing way or location, please kindly consult your local distributors for specific delivery time.
-
用途:For Research Use Only. Not for use in diagnostic or therapeutic procedures.
相關產品
靶點詳情
-
功能:Involved in the activation cascade of caspases responsible for apoptosis execution. At the onset of apoptosis it proteolytically cleaves poly(ADP-ribose) polymerase (PARP) at a '216-Asp-|-Gly-217' bond. Cleaves and activates sterol regulatory element binding proteins (SREBPs) between the basic helix-loop-helix leucine zipper domain and the membrane attachment domain. Cleaves and activates caspase-6, -7 and -9. Involved in the cleavage of huntingtin. Triggers cell adhesion in sympathetic neurons through RET cleavage. Cleaves and inhibits serine/threonine-protein kinase AKT1 in response to oxidative stress. Cleaves XRCC4 and phospholipid scramblase proteins XKR4, XKR8 and XKR9, leading to promote phosphatidylserine exposure on apoptotic cell surface.
-
基因功能參考文獻:
- The optimal melatonin concentration (3 mM) significantly decreased the intracellular reactive oxygen species levels, caspase-3 activity and the percentage of both dead and apoptotic-like sperm cells and increased the vitality, progressive motility and total motility and AKT phosphorylation compared with the control group. PMID: 29196809
- As phosphorylation of the serine residue of this tetra-peptide could yield a motif similar to the caspase-3 binding recognition sequence DEVD/E, the region from a representative PE_PGRS protein (PE_PGRS45) was docked to human caspase-3. PMID: 30207307
- within the modified loop, Ser(150) evolved with the apoptotic caspases, whereas Thr(152) is a more recent evolutionary event in mammalian caspase-3. Substitutions at Ser(150) result in a pH-dependent decrease in dimer stability, and localized changes in the modified loop propagate to the active site of the same protomer through a connecting surface helix. PMID: 29414778
- Caspase-3 and -8 and annexin V may serve as diagnostic markers in Ovarian cancer , also explained that the decrement in control of the S phase in the cell cycle may considered one of the significant factors in the development of ovarian tumors PMID: 30197345
- Study seems to indicate a direct connection between SNPS in CASP3 gene and prostate cancer (PCa) risk in the Galician population after stratification. Also, individual susceptibility to PCa becomes more evident when assessing gene-environment interactions. Alleles G and T, in rs1049216 and rs2705897 respectively, are related to an increased risk of PCa in smokers overweight individuals. PMID: 30176316
- Low CASP3 expression is associated with Colorectal Cancer. PMID: 29801534
- overexpressed miR-337-3p and miR-17-5p/miR-132-3p/-212-3p can regulate executioner caspases-3 and -7, respectively. PMID: 29659498
- Caspase-8 and Caspase-3 expressions in tumor tissues are novel candidate prognostic markers for colorectal cancer patients PMID: 29355114
- The new findings of this work were that an association between serum caspase-3 concentrations during the first week, apoptosis degree, sepsis severity, and sepsis mortality exists. PMID: 29119350
- our data demonstrate that WT1 protein undergoes proteolytic processing by caspase-3 in chemotherapeutic drugs-induced apoptosis. This processing is associated with a reduction of WT1 protein. PMID: 28395566
- Increased baseline gene expressions of RUNX2, p21 and caspase 3 in the peripheral blood might predict better responses to methotrexate therapy. PMID: 28741869
- The caspase-3-mediated movement of PUS10 and the release of mitochondrial contents enhancing caspase-3 activity creates a feedback amplification loop for caspase-3 action. Therefore, any defect in the movement or interactions of PUS10 would reduce the TRAIL sensitivity of tumor cells. PMID: 28981101
- a prolonged anti-apoptotic intervention targeting caspase-3 should be considered with caution due to the potential adverse effects in mitochondria dynamics resulting from a novel potential functional role of procaspase-3 in mitochondrial biogenesis via regulating the expression of mitochondrial biogenesis activators. PMID: 28585712
- knockdown of RPA1 suppressed cell clone formation, induced cell cycle arrest at the G1 phase and promoted cell apoptosis by regulating the protein level of Caspase 3 PMID: 29601890
- The phosphorylation level of p38 was upregulated by MA1 treatment, and the inhibitor of p38, SB203580, attenuated the MA1-induced p38 phosphorylation as well as caspase3 and PARP activation. These results indicate that MA1 treatment alters invasive and oncogenic phenotypes of human colorectal cancer cells through the stimulation of the p38 signaling pathway PMID: 28713983
- Overexpression of full-length AIFM1 suppresses proliferation and induces apoptosis of HepG2 and Hep3B cells. Caspase 3 and DRAM are involved in full-length AIFM1-induced apoptosis in HepG2 and Hep3B cells. PMID: 29501488
- Here the authors show that sublethal activation of Caspase-3 plays an essential, facilitative role in Myc-induced genomic instability and oncogenic transformation. PMID: 28691902
- we show that ABT-737 and TQ activate PKA in a caspase-3-dependent manner, which correlates with platelet inhibition and apoptosis and therefore potentially contributes to the bleeding risk in chemotherapy patients PMID: 28661475
- MiR-221 might represent a candidate biomarker of likelihood of response to Sorafenib in HCC patients to be tested in future studies. Caspase-3 modulation by miR-221 participates to Sorafenib resistance PMID: 28096271
- In the present study, galangin was found to suppress laryngeal cancer cell proliferation. Also, flow cytometry, immunohistochemical and western blot analysis indicated that cell apoptosis was induced for galangin administration, promoting caspase-3 expression through regulating PI3K/AKT/NF-kappaB. PMID: 28677816
- 1,4-BQ evidently induced mitochondria-mediated apoptosis and increased pro-apoptotic genes (Caspase-9 and Caspase-3) expression in a dose-dependent manner. PMID: 27425441
- GGN played a tumor-promoting role in bladder cancer through regulation of NFkappaB/caspase3-mediated apoptosis signaling. PMID: 29412153
- Serum caspase-3 concentrations are increased in ICH patients as well as correlate with clinical severity and prognosis PMID: 28526532
- High caspase-3 expression is significantly associated with adverse breast cancer-specific survival. High caspase-3 expression was significantly associated with HER2 positive tumours.The prognostic significance of caspase-3 expression in different breast cancer phenotypes was also examined.There was a significant association in receptor positive (ER, PR or HER2) and non-basal like subgroups. PMID: 27798717
- UV phototoxicity-induced pre-elafin inside keratinocytes prior to cornified envelope formation could be involved in UV-induced keratinocyte apoptosis via cystatin-A downregulation resulting in pro-caspase-3 activation. PMID: 28119996
- Overexpression of CASP3 is associated with Breast Cancer. PMID: 26932709
- Results show that CASP3 expression is regulated by HOXC13 which represses its transcription by directly targeting its promotor region. PMID: 29168599
- Data show that selective histone deacetylase 6 (HDAC6) inhibition or knockdown of HDAC6 expression was able to prevent caspase 3 activation in lung endothelial cells and maintain lung endothelial cell-cell junctions. PMID: 27419634
- Genetic variations in the CASP3 gene and the joint effects of working time and CASP3 polymorphisms may modify the risk of developing noise-induced hearing loss PMID: 28738811
- Data indicate that through upregulating the expression of caspase-3, the TT genotype of caspase-3 rs1049216 can be associated with not only the risk of cervical cancer but also the progression of this cancer. PMID: 28114230
- In conclusion, our findings firstly revealed that GSDME switches chemotherapy drug-induced caspase-3 dependent apoptosis into pyroptosis in gastric cancer cells. PMID: 29183726
- Everolimus also induced higher levels of caspase-3/-7 activation in GR over GS cells, and everolimus-mediated mTOR inhibition lead to G2 arrest in GR cells but G1 arrest in GS cells. PMID: 28165150
- Results Grb7 and Hax1 may colocalize partially to mitochondria in EGF-treated SKBR3 cells and their interaction can affect Caspase3 cleavage of Hax1 supporting an inhibitory role of Grb7 on Casp3 cleavage function by interfering with the association of Casp3 and Hax1. PMID: 26869103
- caspase-3 inhibitors also suppressed the attenuation of cell adhesion and phosphorylation of p38 MAPK by EGF-F9. Our data indicated that EGF-F9 activated signals for apoptosis and induced de-adhesion in a caspase-3 dependent manner. PMID: 27129300
- Data indicate that E-cadherin and caspase-3 were targets of miR-421, which was up-regulated by HIF-1alpha. PMID: 27016414
- findings suggest that caspase-3 activation can trigger necrosis by cleaving GSDME and offer new insights into cancer chemotherapy PMID: 28459430
- These results demonstrate that hyperglycemic-induced endothelial microparticles increase endothelial cell active caspase-3. This apoptotic effect may be mediated, at least in part, by a reduction in miR-Let-7a expression. PMID: 28942148
- Epigallocatechin-3-Gallate protects against Ang II-induced HUVEC apoptosis by decreasing oxidative stress and ameliorating mitochondrial injury via activation of Nrf2/casp3 signaling pathway. PMID: 28942440
- Prolonged treatment of human PMNs or mice bone marrow derived neutrophils (BMDN) with nitric oxide led to enhanced reactive oxygen species generation, caspase-8/caspase-3 cleavage, reduced mitochondrial membrane potential and finally cellular apoptosis. PMID: 27584786
- cleaved caspase-3 and caspase-3/8/9 could be biomarkers for tumorigenesis in oral tongue squamous cell carcinoma patients. PMID: 28700659
- TT genotype of CASP3 rs4643701 polymorphisms showed risk in CAD. CASP3 rs4647601 creates a new exon splicing enhancer. PMID: 28633917
- These findings shed some light on how a tumor cell may avert apoptosis using Hsp60 and point to the anti-cancer potential of drugs, such as CubipyOXA, which interfere with Hsp60/pC3 complex formation, and thus allow the apoptotic cascade to proceed. PMID: 28212901
- Here the authors show that in macrophages SipA induces increased caspase-3 activation early in infection. PMID: 28630067
- SASH1 is cleaved by caspase-3 following Ultraviolet C-induced apoptosis. PMID: 27831555
- Caspase 3 activation in dying glioma cells unfavorably supported post-irradiation angiogenesis. PMID: 27826040
- CASP3 is a direct target of specific Epstein-Barr virus BART miRNAs. PMID: 27565721
- Data suggest that EV71 infection in enterocytes does not inhibit phosphorylation of STAT1/2 induced by IFN-beta, but p-STAT1/2 transport into the nucleus is significantly blocked; EV71 infection in enterocytes down-regulates expression of KPNA1 and induces degradation of cellular KPNA1 via caspase-3. [EV17 = Enterovirus 71] PMID: 28455446
- our results identified that mammalian sterile 20-like kinase 1 is a novel downstream target of pyruvate kinase M2, and knockdown of pyruvate kinase M2 contributes apoptosis via promoting nuclear translocation of mammalian sterile 20-like kinase 1 by enhancing Caspase-3-dependent cleavage. PMID: 28656802
- High levels of FADD and caspase-8, but not caspase-3, were associated with increased incidence of coronary events in subjects from the general population. PMID: 28302628
- Interestingly, EspC-induced apoptosis was triggered through a dual mechanism involving both independent and dependent functions of its EspC serine protease motif, the direct cleavage of procaspase-3 being dependent on this motif. PMID: 27329750
顯示更多
收起更多
-
亞細胞定位:Cytoplasm.
-
蛋白家族:Peptidase C14A family
-
組織特異性:Highly expressed in lung, spleen, heart, liver and kidney. Moderate levels in brain and skeletal muscle, and low in testis. Also found in many cell lines, highest expression in cells of the immune system.
-
數據庫鏈接:
Most popular with customers
-
-
YWHAB Recombinant Monoclonal Antibody
Applications: ELISA, WB, IHC, IF, FC
Species Reactivity: Human, Mouse, Rat
-
Phospho-YAP1 (S127) Recombinant Monoclonal Antibody
Applications: ELISA, WB, IHC
Species Reactivity: Human
-
-
-
-
-















