APOA2 Recombinant Monoclonal Antibody
-
中文名稱:APOA2重組抗體
-
貨號:CSB-RA001915A0HU
-
規格:¥1320
-
圖片:
-
Western Blot
Positive WB detected in: 293T whole cell lysate, A549 whole cell lysate
All lanes: Apolipoprotein A II antibody at 0.87μg/ml
Secondary
Goat polyclonal to rabbit IgG at 1/50000 dilution
Predicted band size: 12 KDa
Observed band size: 12 KDa -
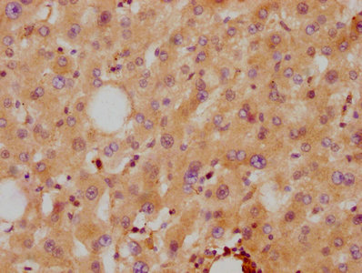
IHC image of CSB-RA001915A0HU diluted at 1:87.5 and staining in paraffin-embedded human liver tissue performed on a Leica BondTM system. After dewaxing and hydration, antigen retrieval was mediated by high pressure in a citrate buffer (pH 6.0). Section was blocked with 10% normal goat serum 30min at RT. Then primary antibody (1% BSA) was incubated at 4℃ overnight. The primary is detected by a biotinylated secondary antibody and visualized using an HRP conjugated SP system.
-
Overlay histogram showing A549 cells stained with CSB-RA001915A0HU (red line) at 1:50. The cells were fixed with 70% Ethylalcohol (18h) and then permeabilized with 0.3% Triton X-100 for 2 min. The cells were then incubated in 1x PBS /10% normal goat serum to block non-specific protein-protein interactions followed by primary antibody for 1 h at 4℃. The secondary antibody used was FITC goat anti-rabbit IgG (H+L) at 1/200 dilution for 1 h at 4℃. Control antibody (green line) was used under the same conditions. Acquisition of >10,000 events was performed.
-
-
其他:
產品詳情
-
產品描述:APOA2 Recombinant Monoclonal Antibody(CSB-RA001915A0HU)是一款針對載脂蛋白A-II(APOA2)的高特異性抗體,靶向參與脂質代謝調控的關鍵蛋白。APOA2是高密度脂蛋白(HDL)的主要成分之一,在膽固醇逆向轉運和脂蛋白代謝中發揮重要作用,其表達水平與脂質穩態、動脈粥樣硬化及代謝性疾病密切相關。本抗體通過重組技術制備,具有嚴格驗證的靈敏度與特異性,適用于ELISA、蛋白質印跡(WB)、免疫組織化學(IHC)及流式細胞術(FC)等多種實驗場景。經優化驗證,推薦WB實驗稀釋比例為1:500-1:5000,IHC為1:50-1:200,能夠清晰檢測目標蛋白在不同樣本中的表達分布。該產品適用于研究脂代謝調控機制、心血管疾病相關分子通路探索,以及代謝綜合征等領域的體外實驗,為科研人員提供穩定可靠的檢測工具,支持細胞模型、組織樣本或體液樣本中APOA2的定量與定位分析。
-
Uniprot No.:
-
基因名:
-
別名:APO A2 antibody; Apo AII antibody; Apo-AII antibody; APOA 2 antibody; ApoA II antibody; ApoA-II antibody; APOA2 antibody; APOA2_HUMAN antibody; APOAII antibody; Apolipoprotein A II antibody; Apolipoprotein A-II(1-76) antibody; Apolipoprotein A2 antibody; Apolipoprotein AII antibody; ApolipoproteinA II antibody; OTTHUMP00000032244 antibody
-
反應種屬:Human
-
免疫原:A synthesized peptide derived from human APOA2
-
免疫原種屬:Homo sapiens (Human)
-
標記方式:Non-conjugated
-
克隆類型:Monoclonal
-
抗體亞型:Rabbit IgG
-
純化方式:Affinity-chromatography
-
克隆號:6H2
-
濃度:It differs from different batches. Please contact us to confirm it.
-
保存緩沖液:Rabbit IgG in 10mM phosphate buffered saline , pH 7.4, 150mM sodium chloride, 0.05% BSA, 0.02% sodium azide and 50% glycerol.
-
產品提供形式:Liquid
-
應用范圍:ELISA, WB, IHC, FC
-
推薦稀釋比:
Application Recommended Dilution WB 1:500-1:5000 IHC 1:50-1:200 -
Protocols:
-
儲存條件:Upon receipt, store at -20°C or -80°C. Avoid repeated freeze.
-
貨期:Basically, we can dispatch the products out in 1-3 working days after receiving your orders. Delivery time maybe differs from different purchasing way or location, please kindly consult your local distributors for specific delivery time.
-
用途:For Research Use Only. Not for use in diagnostic or therapeutic procedures.
相關產品
靶點詳情
-
功能:May stabilize HDL (high density lipoprotein) structure by its association with lipids, and affect the HDL metabolism.
-
基因功能參考文獻:
- Weight loss resulted from a reduction of HDL in both APOE-II genotypes. However, in C homozygote carriers, it was shown that HDL3 reduced significantly and leads to a general shift toward larger size HDL subfractions after intervention, while in T allele carriers HDL2 decreased significantly and weight loss leads to shift toward smaller size HDL subfractions. PMID: 28545455
- There was a statistically significant interaction between APOA2 polymorphism and dietary fatty acids intake on oxidative stress n patients with type 2 diabetes PMID: 27271094
- This study detected a reduced level of heterodimer apoA2-ATQ/AT and a specific apoA2 isoform hypo-processing pattern in the sera of autoimmune pancreatitis patients. PMID: 29481802
- In type 2 diabetes mellitus patients, the dietary intake of antiinflammatory fatty acids, such as omega-3 PUFAs and MUFAs, could reduce the inflammatory effects associated with the Apolipoprotein A2 CC genotype. In addition, proinflammatory fatty acids, such as SFAs, could overcome the antiinflammatory effect of the T-allele. PMID: 28359369
- data support an SR-B1 nibbling mechanism that is similar to that of streptococcal serum opacity factor, which also selectively removes CE and releases apoAI, leaving an apoAII-rich remnant. PMID: 28373285
- A new missense mutation in an Iranian population has a significant association with high-density lipoprotein cholesterol levels. PMID: 26590203
- ApoAII-ATQ/AT not only distinguished the early stages of pancreatic cancer from healthy controls but also identified patients at high risk for pancreatic malignancy. PMID: 26549697
- Plasma apoB pool size of VLDL containing apoA-II is much smaller than that of VLDL without apoA-II, and this was caused by a very low rate of secretion of this VLDL type into plasma. PMID: 26071654
- APOA-II polymorphism and oxidative stress is associated with poor prognosis in patients with type 2 diabetes. PMID: 26104730
- Apolipoprotein AII was detected as a protein associated with the urinary protein/urinary creatinine levels in pediatric idiopathic steroid-sensitive nephrotic syndrome PMID: 24633472
- Apolipoprotein A-II/B significantly improves risk prediction of overall survival, also in carotid surgery patients with lower LDL levels PMID: 25953375
- Apolipoprotein A-II and the regulation of high density lipoproteins in cardiovascular disease. [Review] PMID: 24012775
- We have cloned the cDNA encoding human ApoA-II and achieved its high-level secreting expression with a yield of 65 mg/L of yeast culture PMID: 24116940
- identified a statistically significant interaction between the APOA2 -265T > C variant and higher-fat dairy food intake in the Boston Puerto Ricans and replicated this relation in the GOLDN study PMID: 24108135
- Clinical studies demonstrate that apoA-II is a strong predictor of risk for CVD. There is no evidence, however, that selective therapeutic modification of apoA-II impacts on atherosclerosis and clinical outcomes.[review] PMID: 21501035
- These data suggest Apo-AII-containing high-density lipoproteins (HDL) formed intrahepatically are likely cholesterol-rich compared to the smaller intracellular lipid-poor Apo A-I HDL. PMID: 23025327
- Enrichment of apo A-II in high-density lipoprotein particles has atheroprotective effects and apo A-II may become a target for the treatment of atherosclerosis. PMID: 23241412
- We conclude that apoA-II plays a significant role in apoE-associated risk of incident CVD in women with high levels of HDL-C and CRP. PMID: 22723940
- APOA2 m265 genotype may be associated with eating behaviours and dietary modulation of plasma ghrelin. PMID: 21386805
- a gene-diet interaction involving the APOA2 -265T>C SNP and saturated fat intake determines body weight in a Mediterranean and an Asian populations PMID: 20975728
- Human apolipoprotein A-II inhibits the production of interferon-gamma by concanavalin A-stimulated mouse and human CD4-positive T cells. PMID: 21300819
- Low apolipoprotein-A2 is associated with metastatic renal cell cancer. PMID: 20022911
- ApoA-II plays a crucial role in triglyceride catabolism by regulating lipoprotein lipase activity, at least in part, through HDL proteome modulation. PMID: 19910634
- The serum apoA-II concentrations confer risk for MetS and diabetes and exhibit evidence of anti-inflammatory properties among Turks. PMID: 19817643
- In metabolic syndrome, fenofibrate, but not atorvastatin, influences high density lipoprotein metabolism by increasing the transport of APOA2 particles. PMID: 19651918
- when expressed in transgenic mice, HDL shows antioxidant properties PMID: 11971944
- Overexpression in transgenic mice does not increase their susceptibility to insulin resistance and obesity PMID: 12032642
- Evaluated as a positional candidate gene for familial Type II diabetes, altered lipid concentrations, and insulin resistance PMID: 12136402
- Crystallographic studies of apo A-II and its complex with lipid surrogate beta-octyl glucoside show that disulfide-linked dimers of apo A-II form amphipathic alpha-helices which aggregate into tetramers. PMID: 12269810
- Carriers of a novel splice-site mutation in the LDL-receptor gene were simultaneously homozygous for the -265C variant of apoA-II thus concluding that one variant of the apoA-II gene was associated with reduced plasma LDL cholesterol in FH patients PMID: 12522687
- This protein inhibits high density lipoprotein remodeling and lipid-poor apolipoprotein A-I formation PMID: 12690114
- Genetic association of plasma apolipoprotein A-II levels with familial combined hyperlipidemia. PMID: 12738753
- Analysis of trancription factors that bind response elements in the apoA-II promotor and modulate transcription. PMID: 12959642
- apoA-II affects both the structure and the dynamic behavior of HDL particles and selectively modifies lipid metabolism PMID: 14967812
- In transgenic mice overexpressing the human apoA-II gene, plasma human apoA-II concentration was positively correlated with blood glucose levels. PMID: 14988251
- this protein-exonic splicing enhancer interaction is able to promote the incorporation of exon 3 in mRNA and suggest that they can rescue the splicing despite the noncanonical 3' splice site. PMID: 15247216
- Overexpressed human apoA-II in mice impairs HDL protection of apoB-lipoproteins from oxidation. Displacement of PON1 by apoA-II may explain why PON1 is found in HDL particles with apoA-I, not apoA-II, & apo-A-II-rich HDL's poor antiatherogenic properties. PMID: 15388641
- results indicate a significant association between the T265C APOA-II polymorphism and levels of visceral adipose tissue in premenopausal women present in white but not African-American women PMID: 15833935
- Characterization of regulatory elements found in the apoA-II exon 3 and its flanking introns that are involved in the control of apoA-II exon 3 splicing. PMID: 16254078
- the association of apoA-II with triglyceride-rich lipoproteins occurs in the circulation and induces postprandial hypertriglyceridemia PMID: 16990646
- ApoA-II adopts a beltlike structure in which the protein helices wrap around the lipid- bilayer reconstituted high density lipoprotein (rHDL) disc. PMID: 17264082
- ApoAII is efficiently reabsorbed in kidney proximal tubules in relation to its plasma concentration PMID: 17652309
- carriers of the minor allele for Apo A-II -265T/C (CC/TC) have a lower postprandial response compared with TT homozygotes PMID: 17709437
- ApoA-II is associated with a decreased risk of future coronary artery disease in apparently healthy people, implying that apoA-II itself exerts effects on specific antiatherogenic pathways. PMID: 17923573
- APOAII rs5082 polymorphism may have a role in reducing risk of coronary artery disease in an Australian male population PMID: 18179799
- results for dimeric apolipoprotein AII are similar to those we have reported for the monomeric apolipoprotein CI, which has a similar secondary structure but a different peptide sequence and net charge PMID: 18652418
- procoagulant activities of plasma factor VIIc and factor Xc are positively and independently associated with concentrations of the high-density lipoprotein apolipoprotein, apo A-II PMID: 18766253
- small sizes (i. e., number of kringle-4 repeats in the gene) of apolipoprotein (a) are risk factors for the development of atherothrombosis. (review) PMID: 19069164
- Results indicate that CETP inhibition increases plasma concentrations of apoA-II by delaying HDL apoA-II catabolism and significantly alters the remodeling of apoA-II-containing HDL subpopulations. PMID: 19193611
- The available data does not support a role for common variants in APOA2 on type 2 diabetes susceptibility or related quantitative traits in Northern Europeans PMID: 19216768
顯示更多
收起更多
-
亞細胞定位:Secreted.
-
蛋白家族:Apolipoprotein A2 family
-
組織特異性:Plasma; synthesized in the liver and intestine.
-
數據庫鏈接:
Most popular with customers
-
YWHAB Recombinant Monoclonal Antibody
Applications: ELISA, WB, IHC, IF, FC
Species Reactivity: Human, Mouse, Rat
-
Phospho-YAP1 (S127) Recombinant Monoclonal Antibody
Applications: ELISA, WB, IHC
Species Reactivity: Human
-
-
-
-
-
-















