ACVR2B Recombinant Monoclonal Antibody
-
中文名稱:ACVR2B重組抗體
-
貨號:CSB-RA260702A0HU
-
規格:¥1320
-
圖片:
-
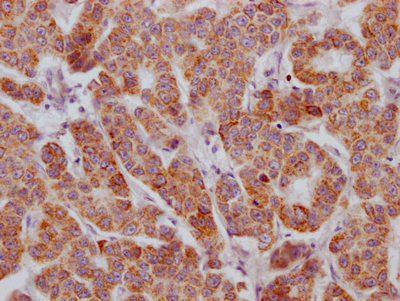
IHC image of CSB-RA260702A0HU diluted at 1:100 and staining in paraffin-embedded human breast cancer performed on a Leica BondTM system. After dewaxing and hydration, antigen retrieval was mediated by high pressure in a citrate buffer (pH 6.0). Section was blocked with 10% normal goat serum 30min at RT. Then primary antibody (1% BSA) was incubated at 4℃ overnight. The primary is detected by a Goat anti-rabbit IgG polymer labeled by HRP and visualized using 0.05% DAB.
-
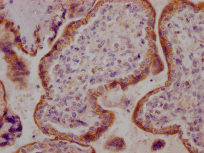
IHC image of CSB-RA260702A0HU diluted at 1:100 and staining in paraffin-embedded human placenta tissue performed on a Leica BondTM system. After dewaxing and hydration, antigen retrieval was mediated by high pressure in a citrate buffer (pH 6.0). Section was blocked with 10% normal goat serum 30min at RT. Then primary antibody (1% BSA) was incubated at 4℃ overnight. The primary is detected by a Goat anti-rabbit IgG polymer labeled by HRP and visualized using 0.05% DAB.
-
-
其他:
產品詳情
-
產品描述:CSB-RA260702A0HU ACVR2B重組單克隆抗體是針對激活素受體2B(Activin Receptor Type-2B)靶點開發的高特異性科研工具,該受體作為TGF-β超家族成員,在調控肌肉發育、代謝平衡及組織修復等生理過程中發揮重要作用。本產品經嚴格驗證適用于ELISA和免疫組化(IHC)實驗,在石蠟包埋組織切片中展現出清晰的亞細胞定位效果,推薦使用稀釋比例為1:50至1:200時可獲得理想染色特異性。實驗數據顯示該抗體能有效識別天然及重組ACVR2B蛋白,在肌肉生物學研究、代謝疾病模型構建及受體信號轉導機制探索等基礎科研領域具有重要應用價值,尤其適用于探究骨骼肌萎縮、肥胖相關代謝紊亂或癌癥微環境中ACVR2B介導的分子調控網絡。
-
Uniprot No.:
-
基因名:
-
別名:Activin receptor type-2B (EC 2.7.11.30) (Activin receptor type IIB) (ACTR-IIB), ACVR2B
-
反應種屬:Human
-
免疫原:A synthesized peptide derived from human Activin Receptor Type IIB
-
免疫原種屬:Homo sapiens (Human)
-
標記方式:Non-conjugated
-
克隆類型:Monoclonal
-
抗體亞型:Rabbit IgG
-
純化方式:Affinity-chromatography
-
克隆號:7B10
-
濃度:It differs from different batches. Please contact us to confirm it.
-
保存緩沖液:Rabbit IgG in 10mM phosphate buffered saline , pH 7.4, 150mM sodium chloride, 0.05% BSA, 0.02% sodium azide and 50% glycerol.
-
產品提供形式:Liquid
-
應用范圍:ELISA, IHC
-
推薦稀釋比:
Application Recommended Dilution IHC 1:50-1:200 -
Protocols:
-
儲存條件:Upon receipt, store at -20°C or -80°C. Avoid repeated freeze.
-
貨期:Basically, we can dispatch the products out in 1-3 working days after receiving your orders. Delivery time maybe differs from different purchasing way or location, please kindly consult your local distributors for specific delivery time.
-
用途:For Research Use Only. Not for use in diagnostic or therapeutic procedures.
相關產品
靶點詳情
-
功能:Transmembrane serine/threonine kinase activin type-2 receptor forming an activin receptor complex with activin type-1 serine/threonine kinase receptors (ACVR1, ACVR1B or ACVR1c). Transduces the activin signal from the cell surface to the cytoplasm and is thus regulating many physiological and pathological processes including neuronal differentiation and neuronal survival, hair follicle development and cycling, FSH production by the pituitary gland, wound healing, extracellular matrix production, immunosuppression and carcinogenesis. Activin is also thought to have a paracrine or autocrine role in follicular development in the ovary. Within the receptor complex, the type-2 receptors act as a primary activin receptors (binds activin-A/INHBA, activin-B/INHBB as well as inhibin-A/INHA-INHBA). The type-1 receptors like ACVR1B act as downstream transducers of activin signals. Activin binds to type-2 receptor at the plasma membrane and activates its serine-threonine kinase. The activated receptor type-2 then phosphorylates and activates the type-1 receptor. Once activated, the type-1 receptor binds and phosphorylates the SMAD proteins SMAD2 and SMAD3, on serine residues of the C-terminal tail. Soon after their association with the activin receptor and subsequent phosphorylation, SMAD2 and SMAD3 are released into the cytoplasm where they interact with the common partner SMAD4. This SMAD complex translocates into the nucleus where it mediates activin-induced transcription. Inhibitory SMAD7, which is recruited to ACVR1B through FKBP1A, can prevent the association of SMAD2 and SMAD3 with the activin receptor complex, thereby blocking the activin signal. Activin signal transduction is also antagonized by the binding to the receptor of inhibin-B via the IGSF1 inhibin coreceptor.
-
基因功能參考文獻:
- the A allele of genetic variant rs2276541 in ACVR2B is associated with lean muscle mass PMID: 26848890
- ActR-IIB is expressed in male germ cells and Sertoli cells. PMID: 26289399
- We found that the AAAAA, AGGAG, and AGGGA haplotypes in ACVR2B were associated with susceptibility to Premature Ovarian Failure when they also had at least one CATAG haplotype in ADAMTS19. PMID: 25051287
- miR-21 interacts directly with the 3'-untranslated region of ACVR2B mRNA. Mechanical stretch suppressed ACVR2B protein levels in periodontal ligament stem cells. Gain- and loss of function of ACVR2B mediated the osteogenic differentiation of PDLSCs. PMID: 25203845
- Activin type IIB receptors are clearly demonstrable throughout the adult human hypothalamus and basal forebrain. PMID: 22296042
- After eccentric exercise, postmenopausal women not using hormone therapy (HT) expressed lower levels of ActRIIb while postmenopausal women using HT showed a heightened response. PMID: 22395277
- The interaction between all five miRNAs and ACVR2B was verified by an in vitro assay. PMID: 22431721
- Mutations in Activin A Receptor Type IIB were identified in 4 of the 47 patients (8.5%) with heterotaxy syndrome. Our results expand the mutation spectrum of monogenic heterotaxy syndrome with associated cardiac anomalies. PMID: 21864452
- discussion of crystal structure of kinase domain of ActRIIB; structural analysis may be of help in developing selective inhibitors [REVIEW] PMID: 21353874
- Inhibition of negative regulators of skeletal muscle by a soluble form of activin type IIB receptor (ACE-031) increases muscle mass independent of fiber-type expression. PMID: 20466801
- analysis of expression and cellular compartmentalization of the activin receptors ActRIIA, ActRIIB and ActRIB, the inhibin co-receptor (betaglycan), and activin signaling proteins Smads 2, 3 and 4, and growth regulatory role during lactation PMID: 12782414
- activin signaling via type II receptors requires a specific sequence for ALK4 binding PMID: 15123686
- These results indicate that haplotype structure at the ACVR2B and follistatin loci may contribute to interindividual variation in skeletal muscle mass and strength, although these data indicate sex-specific relationships. PMID: 17347381
- The high-resolution structure of human ActRIIB kinase domain in complex with adenine establishes the conserved bilobal architecture consistent with all other catalytic kinase domains. PMID: 17893364
顯示更多
收起更多
-
相關疾病:Heterotaxy, visceral, 4, autosomal (HTX4)
-
亞細胞定位:Cell membrane; Single-pass type I membrane protein.
-
蛋白家族:Protein kinase superfamily, TKL Ser/Thr protein kinase family, TGFB receptor subfamily
-
數據庫鏈接:
Most popular with customers
-
-
YWHAB Recombinant Monoclonal Antibody
Applications: ELISA, WB, IHC, IF, FC
Species Reactivity: Human, Mouse, Rat
-
Phospho-YAP1 (S127) Recombinant Monoclonal Antibody
Applications: ELISA, WB, IHC
Species Reactivity: Human
-
-
-
-
-















