UCHL1 Recombinant Monoclonal Antibody
-
中文名稱:UCHL1 Recombinant Monoclonal Antibody
-
貨號:CSB-RA261594A0HU
-
規格:¥1320
-
圖片:
-
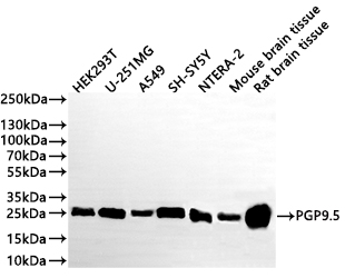
Western Blot
Positive WB detected in: HEK293T whole cell lysate(20μg), U-251MG whole cell lysate(20μg),A549 whole cell lysate(20μg),SH-SY5Y whole cell lysate(20μg),NTERA-2 whole cell lysate(20μg), Mouse brain tissue lysate(20μg), Rat brain tissue lysate(20μg)
All lanes: PGP9.5 antibody at 1:1000
Secondary
Goat polyclonal to rabbit IgG at 1/40000 dilution
Predicted band size: 25 kDa
Observed band size: 26 kDa
Exposure time:50s -
IHC image of CSB-RA261594A0HU diluted at 1:100 and staining in paraffin-embedded human kidney tissue performed on a Leica BondTM system. After dewaxing and hydration, antigen retrieval was mediated by high pressure in a citrate buffer (pH 6.0). Section was blocked with 10% normal goat serum 30min at RT. Then primary antibody (1% BSA) was incubated at 4°C overnight. The primary is detected by a Goat anti-rabbit polymer IgG labeled by HRP and visualized using 0.05% DAB.
-
-
其他:
產品詳情
-
Uniprot No.:
-
基因名:UCHL1
-
別名:Epididymis luminal protein 117 antibody; Epididymis secretory protein Li 53 antibody; HEL 117 antibody; HEL S 53 antibody; NDGOA antibody; Neuron cytoplasmic protein 9.5 antibody; OTTHUMP00000218137 antibody; OTTHUMP00000218139 antibody; OTTHUMP00000218140 antibody; OTTHUMP00000218141 antibody; Park 5 antibody; PARK5 antibody; PGP 9.5 antibody; PGP9.5 antibody; PGP95 antibody; Protein gene product 9.5 antibody; Ubiquitin C terminal esterase L1 antibody; Ubiquitin C terminal hydrolase antibody; Ubiquitin C terminal hydrolase L1 antibody; Ubiquitin carboxyl terminal esterase L1 antibody; Ubiquitin carboxyl terminal hydrolase isozyme L1 antibody; Ubiquitin carboxyl-terminal hydrolase isozyme L1 antibody; Ubiquitin thioesterase L1 antibody; Ubiquitin thiolesterase antibody; Ubiquitin thiolesterase L1 antibody; UCH-L1 antibody; UCHL1 antibody; UCHL1_HUMAN antibody
-
反應種屬:Human, Mouse, Rat
-
免疫原:A synthesized peptide derived from human UCHL1
-
免疫原種屬:Homo sapiens (Human)
-
標記方式:Non-conjugated
-
克隆類型:Monoclonal
-
抗體亞型:Rabbit IgG
-
純化方式:Affinity-chromatography
-
克隆號:13A5
-
濃度:It differs from different batches. Please contact us to confirm it.
-
保存緩沖液:Rabbit IgG in 10mM phosphate buffered saline , pH 7.4, 150mM sodium chloride, 0.05% BSA, 0.02% sodium azide and 50% glycerol.
-
產品提供形式:Liquid
-
應用范圍:ELISA, WB, IHC
-
推薦稀釋比:
Application Recommended Dilution WB 1:500-1:2000 IHC 1:50-1:200 -
Protocols:
-
儲存條件:Upon receipt, store at -20°C or -80°C. Avoid repeated freeze.
-
貨期:Basically, we can dispatch the products out in 1-3 working days after receiving your orders. Delivery time maybe differs from different purchasing way or location, please kindly consult your local distributors for specific delivery time.
-
用途:For Research Use Only. Not for use in diagnostic or therapeutic procedures.
相關產品
靶點詳情
-
功能:Ubiquitin-protein hydrolase involved both in the processing of ubiquitin precursors and of ubiquitinated proteins. This enzyme is a thiol protease that recognizes and hydrolyzes a peptide bond at the C-terminal glycine of ubiquitin. Also binds to free monoubiquitin and may prevent its degradation in lysosomes. The homodimer may have ATP-independent ubiquitin ligase activity.
-
基因功能參考文獻:
- The proteins UCH-L1 and alpha-internexin could be independent prognostic biomarkers of pancreatic neuroendocrine tumors. PMID: 28526880
- We have also demonstrated that UCHL1 S-nitrosylation provides seeding for faster aggregation of a-synuclein. Finally, the in vitro nitrosylation of UCHL1 was corroborated with rotenone induced mouse model of PD PMID: 28300150
- In newborns undergoing cardiac surgery, ubiquitin C-terminal hydrolase 1 showed a significant rise at 0 hours in the deep hypothermic circulatory arrest group compared to baseline. Levels returned to baseline at 12 hours. There was an early rise in UCHL1 at 0 hours in the cardiopulmonary bypass group. PMID: 29945509
- Overexpression of UCHL1 genes promoted apoptosis in cells treated with VER+ADM. UCHL1 knockdown using siRNA weakened the effect of ADM+VER, indicating that ADM+VER promotes HCC cell apoptosis and that UCHL1 genes participate in VER-mediated promotion in tumor cell apoptosis. PMID: 29627846
- Cholangiocarcinoma patients who had high methylation of HTATIP2 and low methylation of UCHL1 showed longer overall survival than those with low HTATIP2 methylation and high UCHL1 methylation. PMID: 29359783
- High UCHL1 expression is associated with posterior longitudinal ligament ossification. PMID: 29782494
- Prx II exhibited more effective molecular chaperone activity than Prx I when UCH-L1 was the client. Prx II interacted with UCH-L1 through its C-terminal region to protect UCH-L1 from thermal or oxidative inactivation PMID: 29339092
- Data report that the expression of UCH-L1 is significantly higher in breast cancer cells with higher invasive ability. Also, the overexpression of UCH-L1 led to activation of Akt and phosphorylation. Thus, these findings demonstrated that UCH-L1 promotes invasion of breast cancer cells. PMID: 28636190
- The authors observed higher serum levels of GFAP and UCH-L1 in brain-injured children compared with controls and also demonstrated a step-wise increase of biomarker concentrations over the continuum of severity from mild to severe traumatic brain injury. Serum UCH-L1 and GFAP concentrations also strongly predicted poor outcome. PMID: 27319802
- UCHL1 inhibits autophagy and is depending on its de-ubiquitinating activity. PMID: 29462615
- Uchl1 concentrations in the blood plasma of boys with cryptorchidism, may reflect the heat-induced apoptosis of germ cells PMID: 29401475
- Overexpression of UCHL1 is associated with thermal injury. PMID: 28193576
- UCHL1 localizes to TTAGGG repeats at telomeres and interstitial telomeric sequences. A weak or transient interaction between UCHL1 and the shelterin complex was confirmed by immunoprecipitation and proximity ligation assays. PMID: 29126443
- novel biomarker for identifying malignant potential of primary well-differentiated and moderately differentiated pancreatic neuroendocrine tumors PMID: 29150024
- detection of significantly higher levels of UCH-L1 in patients with ischemic stroke and intracranial hemorrhage compared to patients with metabolic disorder induced impaired consciousness and healthy volunteers PMID: 28651886
- This study also showed that UCH-L1 promotes angiogenesis of HUVECs, as well as invasion in cancer cells, by up-regulating ROS by deubiquitination of NOX4, suggesting that UCH-L1 plays a key role in angiogenesis of HUVECS by regulating ROS levels by deubiquitination of NOX4. PMID: 29128359
- Familial mutations and post-translational modifications of UCH-L1 in Parkinson's disease have been summarized. (Review) PMID: 26899237
- Aberrant expression of UCHL1 in pediatric high-grade gliomas may promote cell invasion, transformation, and self-renewal properties, at least in part, by modulating Wnt/Beta catenin activity PMID: 28472177
- Suppression of MITF activity by UCHL1 via protein degradation might aid in the development of new therapeutic approaches for melanoma or dyspigmentation disorders. PMID: 28392346
- Overexpression of UCH-L1 in MCF7 cells up-regulated MDR1, CD147, MMP2, and MMP9, which conferred multidrug resistance and promoted migration/invasion. PMID: 26293643
- Folding of a 52-Knotted Protein PMID: 28002735
- This study demonstrated that UCH-L1 was detectible within 1 hour of injury and rose rapidly and peaked at 8 hours after injury and declined rapidly over 48 hours. PMID: 27018834
- This study establishes the importance of UCHL1 in neurodegeneration, provides new mechanistic insight about ubiquitin processing, and underlines the complexity of the different roles of UCHL1 PMID: 28007905
- TGF-beta1 can promote PGP9.5 expression in Cancer associated fibroblasts to facilitate the growth of cancer cells. PMID: 27840994
- PGP9.5 is also expressed in benign fibroblastic lesions PMID: 27914685
- cytoplasmic accumulation of P53 was strongly associated with the unmethylated UCHL1 profile (P = 0.006), supporting the relationship between these two proteins in sporadic colorectal cancer PMID: 26314856
- indicated that the LDT is an accurate, robust and automated assay, which adequately and reliably identifies patients presenting with small fiber neuropathy, and therefore has potential for use in large scale clinical studies PMID: 27215701
- No difference in cord blood concentration found between hypoxic-ischemic encephalopathy neonates and controls PMID: 26135781
- UCHL1 has a role in Alzheimer Disease [review] PMID: 26881020
- UCHL1 expression is highly upregulated upon hepatic stellate cell (HSC) activation and is involved in the regulation of HSC proliferation PMID: 26264933
- UCH-L1 is a promising prognostic biomarker for GCAs and might play an important role in the carcinogenesis of gastric cancer. PMID: 26823707
- Folloing aneurysmal subarachnoid hemorrhage, eleevated UCH-L1 levels during the five-day follow-up were associated with unfavorable neurological outcome. PMID: 26810533
- UCH-L1 plays a crucial role in modulating the degradation of EGFR and promoting malignant properties in multi-drug resistant breast cancer PMID: 26722437
- High UCHL1 expression is associated with multiple myeloma. PMID: 26513019
- The neuronal marker UCH-L1 is induced in, and specifically augments the oncogene-induced transformation of, germinal center B cells. PMID: 26702068
- The promoter methylation degree of FLNC, THBS1, UCHL1, and DLEC1 in serum could tell the existence of GC and only UCHL1 in the serum was also associated with poor prognosis of GC. PMID: 26550574
- The results of this study suggest the role for UCHL1 in promoting Corticospinal motor neurons health and stability. PMID: 25596590
- UCH-L1 is significantly associated with outcome, but it does not add predictive power to commonly used prognostic variables in a population of patients with TBI of varying severities. PMID: 26547005
- Serum UCH-l1 levels serve as a novel biomarker for neuronal damage from white matter lesions. PMID: 26232084
- High Ubiquitin C-terminal hydrolase-L1 increases cancer cell invasion by modulating hydrogen peroxide generated via NADPH oxidase 4. PMID: 25915537
- These findings demonstrated that UCHL1 promoted cell proliferation, migration, and invasion depending on its de-ubiquitinase activity by activating Akt and Erk1/2 pathways PMID: 26018507
- These results suggest that ubiquitin C-terminal hydrolase and alphaII-spectrin breakdown product 145 kDa may be useful in assessing outcome after pediatric traumatic brain injury. PMID: 22022780
- Pathogenetic tau truncation may contribute to synaptic deterioration in Alzheimer disease by aberrant recruitment of Parkin and UCHL-1 to mitochondria. PMID: 25687137
- UCHL1 promotes metastases as a deubiquitinating enzyme for HIF-1alpha. PMID: 25615526
- Meta-analysis suggesting that UCHL1 S18Y polymorphism is moderately associated with susceptibility to Parkinson's disease PMID: 25370916
- Potential of UCHL1 as biomarker for destruction of pancreatic beta cells. PMID: 25638021
- Data identified a variant of UCH-L1 lacking N-terminal 11 amino acids designated as NT-UCH-L1 and was found to have a protective role in the Parkinson's disease model in vitro and in vivo. PMID: 24959670
- UCHL1 may delay Alzheimer's progression by regulating APP degradation. PMID: 25466238
- miR-922 increasing the levels of phosphorylated tau by regulating UCHL1 levels contributed to the pathogenesis of Alzheimer diseases. PMID: 24950120
- Skin PGP 9.5 expression, a neuronal marker, was significantly lower in patients with familial transthyretin amyloid neuropathy compared to controls. PMID: 25973863
顯示更多
收起更多
-
相關疾病:Parkinson disease 5 (PARK5); Spastic paraplegia 79, autosomal recessive (SPG79)
-
亞細胞定位:Cytoplasm. Endoplasmic reticulum membrane; Lipid-anchor. Note=About 30% of total UCHL1 is associated with membranes in brain.
-
蛋白家族:Peptidase C12 family
-
組織特異性:Found in neuronal cell bodies and processes throughout the neocortex (at protein level). Expressed in neurons and cells of the diffuse neuroendocrine system and their tumors. Weakly expressed in ovary. Down-regulated in brains from Parkinson disease and A
-
數據庫鏈接:
Most popular with customers
-
YWHAB Recombinant Monoclonal Antibody
Applications: ELISA, WB, IHC, IF, FC
Species Reactivity: Human, Mouse, Rat
-
Phospho-YAP1 (S127) Recombinant Monoclonal Antibody
Applications: ELISA, WB, IHC
Species Reactivity: Human
-
-
-
-
-
-















