UBE4B Recombinant Monoclonal Antibody
-
中文名稱:UBE4B Recombinant Monoclonal Antibody
-
貨號:CSB-RA058288A0HU
-
規格:¥1320
-
圖片:
-
Flow cytometric analysis of Ubiquitination factor E4 B expression in HepG2 cells using Ubiquitination factor E4 B antibody. Green, isotype control; red, Ubiquitination factor E4 B.
-
Immunocytochemical staining of HepG2 cells with Ubiquitination factor E4 B antibody.Nuclei were stained blue with DAPI; Ubiquitination factor E4 B was stained magenta with Alexa Fluor? 647. Images were taken using Leica stellaris 5. Protein abundance based on laser Intensity and smart gain: Medium. Scale bar, 20 μm.
-
Immunohistochemistry was performed on paraffin-embedded mouse brain using ubiquitination factor E4B antibody. Antigen retrieval was done in sodium citrate buffer (pH 6.0). DAB was used for detection, with hematoxylin counterstaining. Images were acquired using a Nikon Ci-L Plus microscope (40× objective). Scale bar: 25 μm.
-
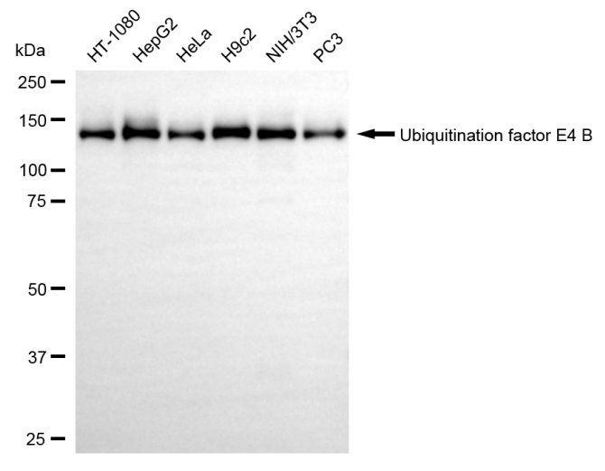
Western blotting analysis using ubiquitination factor E4 B antibody. Total cell lysates (30 μg) from various cell lines were loaded and separated by SDS-PAGE. The blot was incubated with ubiquitination factor E4 B antibody and HRP-conjugated goat anti-rabbit secondary antibody respectively.
-
-
其他:
產品詳情
-
Uniprot No.:
-
基因名:
-
別名:UBE4B; Ubiquitination Factor E4B; UFD2; KIAA0684; UBOX3; E4; Ubiquitination Factor E4B (UFD2 Homolog, Yeast); RING-Type E3 Ubiquitin Transferase E4 B; Ubiquitin Conjugation Factor E4 B; HDNB1; Ubiquitination Factor E4B (Homologous To Yeast UFD2); Homozygously Deleted In Neuroblastoma-1; Homozygously Deleted In Neuroblastoma 1; Ubiquitin-Fusion Degradation Protein 2; Ubiquitin Fusion Degradation Protein 2; Homologous To Yeast UFD2; EC 2.3.2.27; UFD2A
-
反應種屬:Human, Mouse, Rat
-
免疫原:Recombinant Human UBE4B protein
-
免疫原種屬:Homo sapiens (Human)
-
標記方式:Non-conjugated
-
克隆類型:Monoclonal
-
抗體亞型:Rabbit IgG
-
純化方式:Affinity-chromatography
-
克隆號:20A8
-
濃度:It differs from different batches. Please contact us to confirm it.
-
保存緩沖液:Rabbit IgG in PBS (pH 7.4) containing 50% glycerol, and 0.02% sodium azide.
-
產品提供形式:Liquid
-
應用范圍:ELISA, WB, FC, ICC, IHC
-
推薦稀釋比:
Application Recommended Dilution WB 1:1000-1:5000 FC 1:200-1:2000 ICC 1:100-1:1000 IHC 1:100-1:200 -
Protocols:
-
儲存條件:Upon receipt, store at -20°C or -80°C. Avoid repeated freeze.
-
貨期:Basically, we can dispatch the products out in 1-3 working days after receiving your orders. Delivery time maybe differs from different purchasing way or location, please kindly consult your local distributors for specific delivery time.
-
用途:For Research Use Only. Not for use in diagnostic or therapeutic procedures.
相關產品
靶點詳情
-
功能:Ubiquitin-protein ligase that probably functions as an E3 ligase in conjunction with specific E1 and E2 ligases. May also function as an E4 ligase mediating the assembly of polyubiquitin chains on substrates ubiquitinated by another E3 ubiquitin ligase. May regulate myosin assembly in striated muscles together with STUB1 and VCP/p97 by targeting myosin chaperone UNC45B for proteasomal degradation.
-
基因功能參考文獻:
- miR-1301 functions as a tumor suppressor that inhibits tumor cell migration and invasion in multiple human cancer cells by regulating the UBE4B-p53 pathway. PMID: 28483517
- UBE4B promotes endogenous phospho-p53(S15) and phospho-p53(S392) degradation in response to gamma irradiation. UBE4B plays an important role in regulating phosphorylated p53 following DNA damage. PMID: 26673821
- UBE4B overexpression promotes the oncogenic properties of HCC and is correlated with an unfavorable prognosis in HCC patients. PMID: 25557723
- UBE4B regulates p53 in breast cancer PMID: 24587254
- We propose a model in which the coordinated action of UBE4B, ESCRT-0, and the deubiquitinating enzyme USP8 enable the endosomal sorting and lysosomal degradation of the EGFR. PMID: 24344129
- UBE4B-mediated growth factor receptor trafficking may contribute to the poor prognosis of patients who have neuroblastoma tumors with 1p36 deletions. PMID: 22990745
- The regulated expression of these UFD2a isoforms most likely imparts divergent functions that are important for myogenesis. PMID: 22174917
- we found somatic mutations of HERC2, HERC3, TRIP12, UBE2Q1 and UBE4B genes in gastric carcinoma and colorectal carcinomas with microsatellite instability PMID: 22124266
- data indicate that amplification and overexpression of UBE4B represent previously undescribed molecular mechanisms of inactivation of p53 in brain tumors PMID: 21317885
- determined structures of E4B U box free and bound to UbcH5c and Ubc4 E2s; findings show E4B U box is a monomer stabilized by a network of hydrogen bonds; findings suggest allosteric regulation of UbcH5c and Ubc4 by E4B U box PMID: 20696396
- A splice site mutation was found in UBE4b. UBE4B expression was diminished in the high-stage/poor-outcome tumors.UBE4B stands out as the strongest candidate NBL tumor suppressor gene in the region at this stage. PMID: 12700669
- E4B serves as a ubiquitin ligase for FEZ1 and thereby regulates its function but not its degradation PMID: 15466860
- we have identified a novel domain (the MPAC domain: Mitotically Phosphorylated, Apoptotically Cleaved) present at the N-terminus of Ufd2a, which is regulated both by cleavage during cell death, and by phosphorylation during mitosis. PMID: 16870146
- Our current study provides an insight onto the regulation of DeltaNp63alpha protein levels in response to cisplatin and also suggests that UFD2a might play an important role in the regulation of cisplatin mediated cell death mediated by p63. PMID: 18418053
顯示更多
收起更多
-
亞細胞定位:Cytoplasm. Nucleus.
-
蛋白家族:Ubiquitin conjugation factor E4 family
-
組織特異性:Expressed in differentiated myotubes (at protein level). Highest expression in ovary, testis, heart and skeletal muscle. Expression is low in colon, thymus and peripheral blood leukocytes. Almost undetectable in lung and spleen.
-
數據庫鏈接:
Most popular with customers
-
-
YWHAB Recombinant Monoclonal Antibody
Applications: ELISA, WB, IHC, IF, FC
Species Reactivity: Human, Mouse, Rat
-
Phospho-YAP1 (S127) Recombinant Monoclonal Antibody
Applications: ELISA, WB, IHC
Species Reactivity: Human
-
-
-
-
-















