TNNT2 Recombinant Monoclonal Antibody
-
中文名稱:TNNT2重組抗體
-
貨號:CSB-RA058699A0HU
-
規格:¥1320
-
圖片:
-
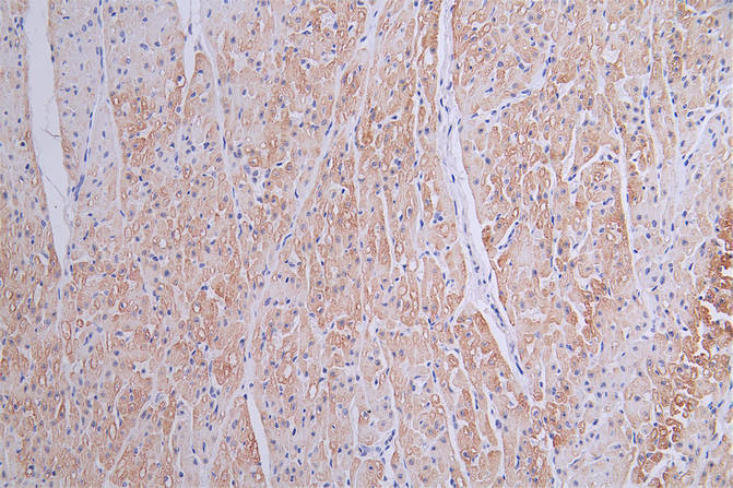
IHC image of CSB-RA058699A0HU diluted at 1:50 and staining in paraffin-embedded human heart tissue performed on a Leica BondTM system. After dewaxing and hydration, antigen retrieval was mediated by high pressure in a citrate buffer (pH 6.0). Section was blocked with 10% normal goat serum 30min at RT. Then primary antibody (1% BSA) was incubated at 4°C overnight. The primary is detected by a Goat anti-rabbit polymer IgG labeled by HRP and visualized using 0.16% DAB.
-
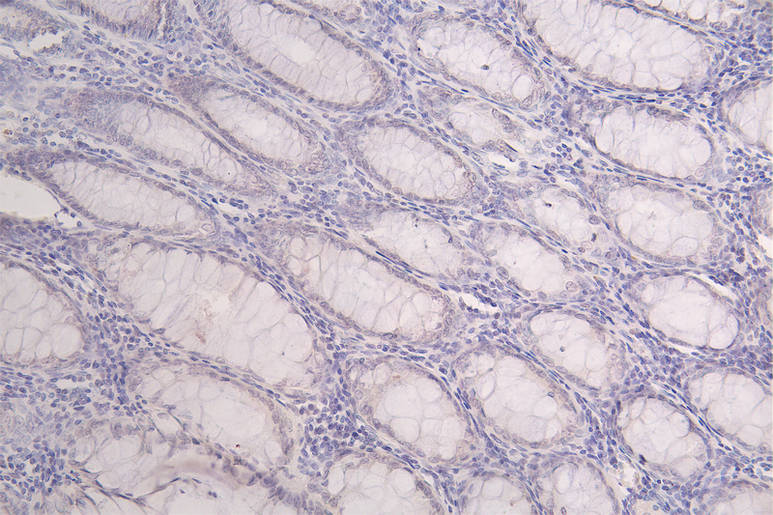
IHC image of CSB-RA058699A0HU diluted at 1:50 and staining in paraffin-embedded human rectal cancer performed on a Leica BondTM system. After dewaxing and hydration, antigen retrieval was mediated by high pressure in a citrate buffer (pH 6.0). Section was blocked with 10% normal goat serum 30min at RT. Then primary antibody (1% BSA) was incubated at 4°C overnight. The primary is detected by a Goat anti-rabbit polymer IgG labeled by HRP and visualized using 0.16% DAB.
-
Overlay Peak curve showing MCF-7 cells stained with CSB-RA058699A0HU (red line) at 1:50. The cells were fixed in 4% formaldehyde and permeated by 0.2% TritonX-100. Then 10% normal goat serum to block non-specific protein-protein interactions followed by the antibody (1μg/1*106cells) for 45min at 4℃. The secondary antibody used was FITC-conjugated Goat Anti-rabbit IgG(H+L) at 1:200 dilution for 35min at 4℃.Control antibody (green line) was rabbit IgG (1μg/1*106cells) used under the same conditions. Acquisition of >10,000 events was performed.
-
-
其他:
產品詳情
-
產品描述:CSB-RA058699A0HU重組單克隆抗體是針對心肌肌鈣蛋白T(TNNT2)開發的高特異性科研工具,該靶標是心肌細胞收縮調控的核心蛋白,在維持心臟正常功能中發揮關鍵作用。本抗體采用重組技術制備,經ELISA、免疫組化(IHC)和流式細胞術(FC)等多平臺驗證,在IHC實驗中可清晰顯示心肌組織特異性染色模式,FC分析能有效檢測細胞表面TNNT2表達,推薦使用稀釋度分別為IHC 1:50-1:200和FC 1:50-1:200。其嚴格的質量控制體系確保了批次間的高度一致性,適用于心肌細胞分化研究、心臟疾病分子機制探索、藥物靶點篩選等基礎科研領域,特別在構建心臟病理模型、分析基因編輯后蛋白表達變化、以及體外心肌細胞功能實驗中展現優異性能,為心血管研究領域提供可靠的實驗支持。
-
Uniprot No.:
-
基因名:
-
別名:Troponin T, cardiac muscle (TnTc) (Cardiac muscle troponin T) (cTnT), TNNT2
-
反應種屬:Human
-
免疫原:A synthesized peptide derived from Human TNNT2
-
免疫原種屬:Homo sapiens (Human)
-
標記方式:Non-conjugated
-
克隆類型:Monoclonal
-
抗體亞型:Rabbit IgG
-
純化方式:Affinity-chromatography
-
克隆號:8H8
-
濃度:It differs from different batches. Please contact us to confirm it.
-
保存緩沖液:Rabbit IgG in 10mM phosphate buffered saline , pH 7.4, 150mM sodium chloride, 0.05% BSA, 0.02% sodium azide and 50% glycerol.
-
產品提供形式:Liquid
-
應用范圍:ELISA, IHC, FC
-
推薦稀釋比:
Application Recommended Dilution IHC 1:50-1:200 FC 1:50-1:200 -
Protocols:
-
儲存條件:Upon receipt, store at -20°C or -80°C. Avoid repeated freeze.
-
貨期:Basically, we can dispatch the products out in 1-3 working days after receiving your orders. Delivery time maybe differs from different purchasing way or location, please kindly consult your local distributors for specific delivery time.
-
用途:For Research Use Only. Not for use in diagnostic or therapeutic procedures.
相關產品
靶點詳情
-
功能:Troponin T is the tropomyosin-binding subunit of troponin, the thin filament regulatory complex which confers calcium-sensitivity to striated muscle actomyosin ATPase activity.
-
基因功能參考文獻:
- Troponin T is neither specific nor useful as cardiac biomarker for post mortem sample PMID: 30173231
- Cardiac troponin T is the key diagnostic marker in Non-ST elevated myocardial infarction (NSTEMI). PMID: 29619842
- the optimal cutoff-value of hs-TnT to improve diagnostic accuracy of acute myocardial infarction in chronic kidney disease patients, was determined. PMID: 28145489
- This study has confirmed the higher reference levels of hscTnT in neonates and young infants when compared with adult population PMID: 29303610
- The current results indicate that patients with nondipper hypertension (NDH) had higher high-sensitivity - cTnT levels than the patients with dipper hypertension. High-sensitivity -cTnT was an independent predictor of NDH and was significantly related with nondipping status. PMID: 29278556
- Data suggest that high sensitivity cardiac troponin (hs-cTnT) may help predict whether non-acute coronary syndrome (ACS) emergency department (ED) patients have a final non-ACS cardiac or non-cardiac/unknown origin diagnoses. PMID: 28532247
- Cardiac troponin T at the NMJ region contributes to NMJ functional decline with ageing mainly in the fast-twitch skeletal muscle through interfering with PKA signalling. PMID: 28419739
- On admission, high-sensitivity-troponin T/creatine kinase-MB ratio was significantly higher in takotsubo syndrome patients compared to myocardial infarction patients. PMID: 28595746
- Serum high-sensitivity cardiac troponin T (HS-cTnT) level is high and associated with carotid plaques in systemic lupus erythematous (SLE) patients. PMID: 28610589
- High sensitivity troponin T was detectable in over half of the congenitally corrected transposition of the great arteries population and was related to right ventricular function. PMID: 28302319
- In patients with perinatal asphyxia, the difference in troponin-T concentrations between moderate and severe encephalopathy was not statistically significant. Troponin-T concentration was significantly higher in babies with hypotensive shock and hepatic injury, but not acute kidney injury. PMID: 28854510
- Five of the 19 patients (26.3%) had either a pathogenic variant or a likely pathogenic variant in MYBPC3 (n=1), MYH7 (n=1), RYR2 (n=2), or TNNT2 (n=1). All five variants were missense variants that have been reported previously in patients with channelopathies or cardiomyopathies PMID: 28202948
- Plasma troponin T was not altered after stress in patients with a positive stress test or those with a negative stress test. PMID: 27364992
- IL-6 receptor blockade has an effect on high-sensitivity troponin T and NT-proBNP in rheumatoid arthritis PMID: 27744141
- An exercise-associated increase in hs-cTnT and NT-proBNP occurred in response to a 60-minute maximal swimming test that was independent of pubertal status/adolescent vs adults. The present data also suggests that baseline and postexercise hs-cTnT values are higher in male compared with female, with no sex differences in NT-proBNP values. PMID: 29173327
- Both continuous aerobic exercise and intermittent exercise results in increased serum levels of cardiac troponin T in sedentary men. PMID: 28096042
- Digenic inheritance of two novel variants in TNNT2 and MYH7 is associated with a severe form of dilated cardiomyopathy. PMID: 28642161
- Increased levels of preprocedural hs-cTnT are proportionally related to the risk of death and emerged as independent predictors of all-cause mortality within 1 year in stable coronary artery disease patients undergoing percutaneous coronary intervention. PMID: 27296200
- Among patients with chest pain and stable troponin levels, any detectable level of high-sensitivity cardiac troponin is associated with an increased risk of death and cardiovascular disease. PMID: 29073949
- High-sensitivity cTnT measurement increases the detection of perioperative myocardial infarction. PMID: 28719430
- In a heart failure cohort, high sensitivity troponin T serum levels had very significant prognostic value. PMID: 27718443
- Asymptomatic cTnT elevation might be strongly associated with all-cause and cardiovascular mortality in dialysis patients without diabetic nephropathy. PMID: 27178276
- Higher postoperative concentrations of high-sensitivity troponin T are independently associated with all-cause mortality in patients undergoing on-pump cardiac surgery. PMID: 28537984
- variants in TNNT2 and BAG3 are associated with a high propensity to life-threatening cardiomyopathy presenting from childhood and young adulthood. PMID: 28669108
- Binding of the MBNL zinc fingers to cardiac troponin T pre-mRNA is specific and relatively simple, unlike the complex multiple dimer-trimer stoichiometries postulated in some previous studies. PMID: 28718627
- The measurement of high-sensitivity cardiac troponin T plasma concentration within large nationally-representative surveys such as the Health Survey for England is feasible. PMID: 28141863
- Data suggest that the tropomyosin overlap region structure and function are affected differentially by a point mutation in cardiac tropomyosin (TPM1, D230N) that is associated with dilated cardiomyopathy as compared to a point mutation in cardiac troponin T (TNNT2, R92L) that is associated with hypertrophic cardiomyopathy. PMID: 28603979
- High T2-weighted signal intensity on cine MRI is associated with elevated troponin T in hypertrophic cardiomyopathy. PMID: 27506680
- The high negative predictive value of preoperative hs-cTnT and NT-proBNP suggest usefulness as a "rule-out" test to confirm low risk of postoperative Myocardial Infarction PMID: 28002165
- Generated is a gene-targeted knock-in murine model of the autosomal dominant Arg141Trp (R141W) mutation in human Tnnt2. Tnnt2 R141W mutation causes a Ca2+ desensitization and mice adapt by increasing Ca2+-transient amplitudes, which impairs Ca2+ handling dynamics, metabolism and responses to beta-adrenergic activation. PMID: 27936050
- A myosin activator improves actin assembly and sarcomere function of human-induced pluripotent stem cell-derived cardiomyocytes with a troponin T point mutation. PMID: 27199119
- Our study supports that mutations in MYH7 and MYBPC3 should be the first focus of moleculargenetic analysis in HCM, and that mutations in TNNT2 have a low prevalence in Brazilian population. All mutations detected were missense mutations, whereas two mutations in MYH7 had not been described before. PMID: 27737317
- Dyrk1A modulates SRp55-promoted cTnT exon 5 inclusion PMID: 27049307
- Our results suggest that multiple enzymes are involved in cTnT degradation, and that thrombin plays an important role. PMID: 27816455
- In patients with clinically stable angina pectoris, slightly elevated hs-cTnT levels may indicate the presence of complex coronary artery disease. PMID: 25964074
- TNNT2 gene mutation is associated with Early-Onset Hypertrophic Cardiomyopathy. PMID: 27483260
- The results showed that MYBPC3 25-bp deletion polymorphism was significantly associated with elevated risk of left ventricular dysfunction (LVD), while TTN 18 bp I/D, TNNT2 5 bp I/D and myospryn K2906N polymorphisms did not show any significant association with LVD. PMID: 27350668
- A novel heterozygous mutation (MYH7, p.Asn885Thr), and a variant of uncertain significance (TNNT2, p.Arg296His) were identified in 2 patients with familial hypertrophic cardiomyopathy. PMID: 27082122
- Discordant elevation of cTnT in the presence of normal CK plasma levels on admission is associated with increased mortality in STEMI patients undergoing primary PCI. PMID: 26563201
- High cardiac troponin T expression is associated with heart diseases. PMID: 26975902
- The results presented here have detected important prognostic differences between patients with 1 of the TNNT2 mutations (Arg92Gln) and those with the 5 other TNNT2 mutations. Carriers of the Arg92Gln mutation developed hypertrophic or dilated cardiomyopathy and had a significantly worse prognosis than those with other mutations in TNNT2. PMID: 26507537
- No adverse clinical events or functional changes of the device were noted, even in those with increases in cTnT. PMID: 26489609
- TNNT2 TNNT2 PMID: 27363271
- Segmental plaque volume and presence of virtual histology derived thin-cap fibroatheroma lesions are associated with higher circulating hsTnT concentrations in stable coronary artery disease patients. PMID: 26917225
- High-sensitivity cardiac troponin T could be used as an early biomarker for the risk stratification of patients with type-A acute aortic dissection. PMID: 26916429
- An association between elevated troponin levels and increased mortality was found in critically ill patients. PMID: 26425879
- For patients older than 65 years of age, applications of age-specific troponin T level cut-offs resulted in a decrease in acute myocardial infarction in the entire cohort. PMID: 26878470
- Data show that high-sensitivity cardiac troponin T (hs-cTnT) was detected in 244 (87.1%) type 2 diabetes mellitus patients. PMID: 26823030
- sensitivity and specificity of cardiac specific troponin T levels in detecting cardiac damage are much higher according to telecardiography and electrocardiography PMID: 26720305
- since hs-cTnT levels of non-AMI patients can be over the diagnostic cut-off value, further studies are necessary to define clinically applicable cut-off values of hs-cTnT PMID: 26782442
顯示更多
收起更多
-
相關疾?。?/div>Cardiomyopathy, familial hypertrophic 2 (CMH2); Cardiomyopathy, dilated 1D (CMD1D); Cardiomyopathy, familial restrictive 3 (RCM3)蛋白家族:Troponin T family組織特異性:Heart. The fetal heart shows a greater expression in the atrium than in the ventricle, while the adult heart shows a greater expression in the ventricle than in the atrium. Isoform 6 predominates in normal adult heart. Isoforms 1, 7 and 8 are expressed in數據庫鏈接:
Most popular with customers
-
-
YWHAB Recombinant Monoclonal Antibody
Applications: ELISA, WB, IHC, IF, FC
Species Reactivity: Human, Mouse, Rat
-
Phospho-YAP1 (S127) Recombinant Monoclonal Antibody
Applications: ELISA, WB, IHC
Species Reactivity: Human
-
-
-
-
-















