TMEM192 Recombinant Monoclonal Antibody
-
中文名稱:TMEM192重組抗體
-
貨號:CSB-RA249639A0HU
-
規格:¥1320
-
圖片:
-
Western Blot
Positive WB detected in: HepG2 whole cell lysate, PC-3 whole cell lysate, U251 whole cell lysate, MCF-7 whole cell lysate, A549 whole cell lysate
All lanes: TMEM192 antibody at 1:1000
Secondary
Goat polyclonal to rabbit IgG at 1/50000 dilution
Predicted band size: 31 kDa
Observed band size: 31 kDa -
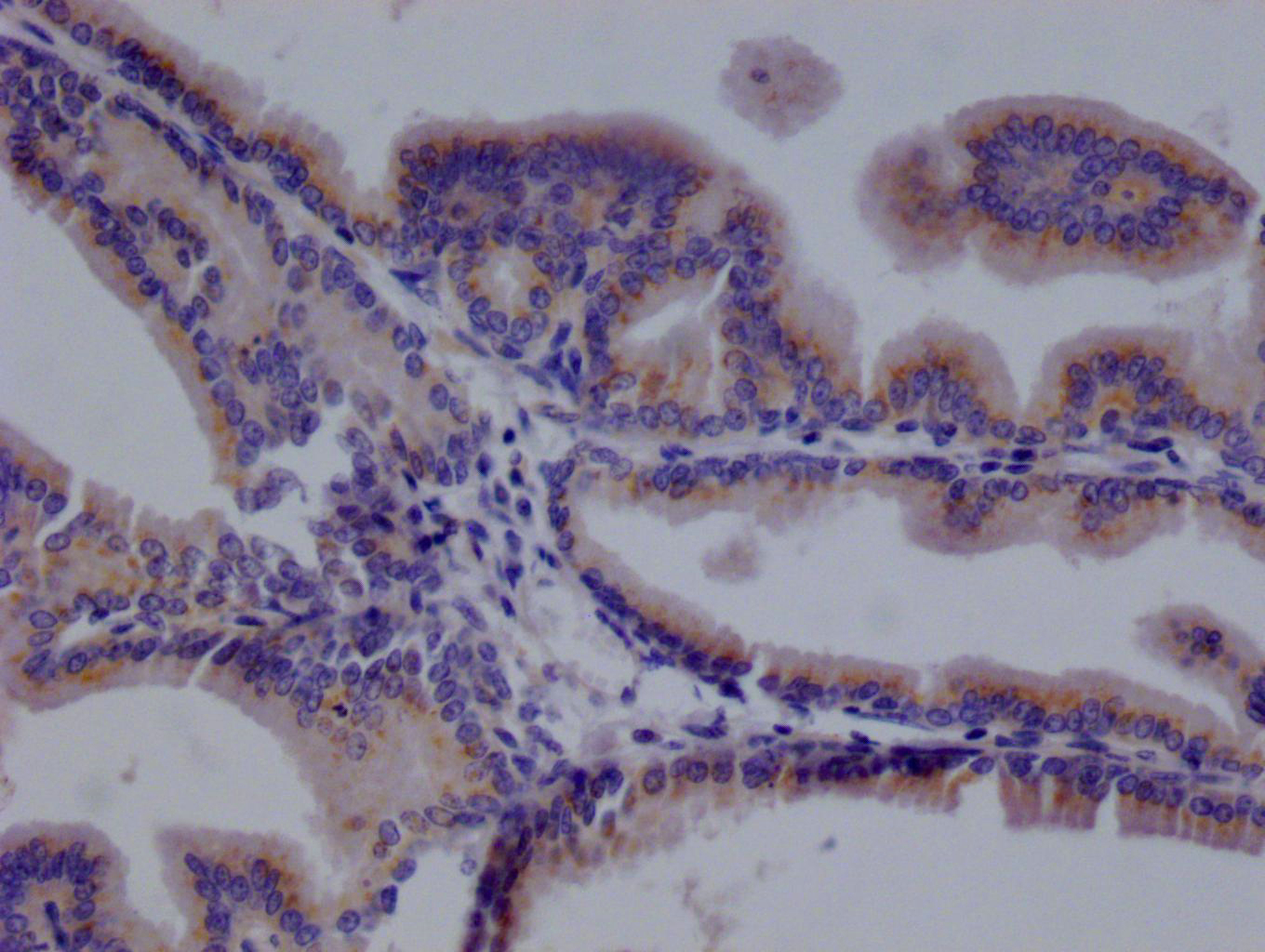
IHC image of CSB-RA249639A0HU diluted at 1:100 and staining in paraffin-embedded human prostate tissue performed on a Leica BondTM system. After dewaxing and hydration, antigen retrieval was mediated by high pressure in a citrate buffer (pH 6.0). Section was blocked with 10% normal goat serum 30min at RT. Then primary antibody (1% BSA) was incubated at 4°C overnight. The primary is detected by a Goat anti-rabbit polymer IgG labeled by HRP and visualized using 0.05% DAB.
-
-
其他:
產品詳情
-
產品描述:CSB-RA249639A0HU TMEM192重組單克隆抗體是針對跨膜蛋白192(TMEM192)研發的高特異性科研工具,適用于蛋白質定位及功能機制研究。TMEM192作為溶酶體相關跨膜蛋白,在細胞器穩態維持、物質運輸及代謝調控中發揮重要作用。該抗體經多種技術平臺驗證,在Western Blot(WB)中可識別天然狀態靶蛋白,呈現單一清晰條帶;免疫組化(IHC)實驗顯示其在多種組織樣本中能精準定位TMEM192的亞細胞分布,染色結果呈現優異的分辨率和特異性。推薦使用稀釋度為WB 1:500-1:2000,IHC 1:50-1:200,實驗數據展現優異的批次間穩定性和重復性。本產品適用于探索溶酶體生物學功能、細胞器互作網絡分析、以及疾病模型中跨膜蛋白異常表達研究等領域,為細胞生物學、分子病理學及代謝調控機制等基礎研究提供可靠檢測工具,嚴格限于體外實驗及科學研究使用。
-
Uniprot No.:
-
基因名:TMEM192
-
別名:Transmembrane protein 192, TMEM192
-
反應種屬:Human
-
免疫原:A synthesized peptide derived from human TMEM192
-
免疫原種屬:Homo sapiens (Human)
-
標記方式:Non-conjugated
-
克隆類型:Monoclonal
-
抗體亞型:Rabbit IgG
-
純化方式:Affinity-chromatography
-
克隆號:21G8
-
濃度:It differs from different batches. Please contact us to confirm it.
-
保存緩沖液:Rabbit IgG in 10mM phosphate buffered saline , pH 7.4, 150mM sodium chloride, 0.05% BSA, 0.02% sodium azide and 50% glycerol.
-
產品提供形式:Liquid
-
應用范圍:ELISA, WB, IHC
-
推薦稀釋比:
Application Recommended Dilution WB 1:500-1:2000 IHC 1:50-1:200 -
Protocols:
-
儲存條件:Upon receipt, store at -20°C or -80°C. Avoid repeated freeze.
-
貨期:Basically, we can dispatch the products out in 1-3 working days after receiving your orders. Delivery time maybe differs from different purchasing way or location, please kindly consult your local distributors for specific delivery time.
-
用途:For Research Use Only. Not for use in diagnostic or therapeutic procedures.
相關產品
靶點詳情
-
基因功能參考文獻:
- Authors found that transmembrane protein 192 (TMEM192) interacted with TIG1. Authors also found that both TIG1A and TIG1B isoforms interacted and co-localized with TMEM192 in HtTA cervical cancer cells. The expression of TIG1 induced the expression of autophagy-related proteins. PMID: 27989102
- TMEM192 deficiency can induce autophagy in tumor cells, and can further activate apoptosis by the mitochondrial pathway through autophagy. PMID: 22736246
- TMEM192 was found to be strongly expressed in human kidney, liver, lung and pancreas tissue. The widespread tissue distribution could suggest an important role of TMEM192 for lysosomal function. PMID: 20370317
-
亞細胞定位:Lysosome membrane; Multi-pass membrane protein. Late endosome.
-
蛋白家族:TMEM192 family
-
組織特異性:Strongly expressed in kidney, liver, lung and pancreas.
-
數據庫鏈接:
Most popular with customers
-
YWHAB Recombinant Monoclonal Antibody
Applications: ELISA, WB, IHC, IF, FC
Species Reactivity: Human, Mouse, Rat
-
-
-
-
-
-
-
VDAC1 Recombinant Monoclonal Antibody
Applications: ELISA, WB, IHC
Species Reactivity: Human, Mouse, Rat















