RAB10 Recombinant Monoclonal Antibody
-
中文名稱:RAB10 Recombinant Monoclonal Antibody
-
貨號:CSB-RA898224A0HU
-
規格:¥1320
-
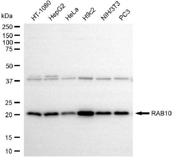
圖片:
-
其他:
產品詳情
-
Uniprot No.:
-
基因名:
-
別名:RAB10; RAB10, Member RAS Oncogene Family; Ras-Related GTP-Binding Protein; Ras-Related Protein Rab-10; GTP-Binding Protein RAB10; EC 3.6.5.2
-
反應種屬:Human, Mouse, Rat
-
免疫原:Recombinant Human RAB10 protein
-
免疫原種屬:Homo sapiens (Human)
-
標記方式:Non-conjugated
-
克隆類型:Monoclonal
-
抗體亞型:Rabbit IgG
-
純化方式:Affinity-chromatography
-
克隆號:14F11
-
濃度:It differs from different batches. Please contact us to confirm it.
-
保存緩沖液:Rabbit IgG in PBS (pH 7.4) containing 50% glycerol, and 0.02% sodium azide.
-
產品提供形式:Liquid
-
應用范圍:ELISA, WB
-
推薦稀釋比:
Application Recommended Dilution WB 1:1000-1:5000 -
Protocols:
-
儲存條件:Upon receipt, store at -20°C or -80°C. Avoid repeated freeze.
-
貨期:Basically, we can dispatch the products out in 1-3 working days after receiving your orders. Delivery time maybe differs from different purchasing way or location, please kindly consult your local distributors for specific delivery time.
-
用途:For Research Use Only. Not for use in diagnostic or therapeutic procedures.
相關產品
靶點詳情
-
功能:The small GTPases Rab are key regulators of intracellular membrane trafficking, from the formation of transport vesicles to their fusion with membranes. Rabs cycle between an inactive GDP-bound form and an active GTP-bound form that is able to recruit to membranes different set of downstream effectors directly responsible for vesicle formation, movement, tethering and fusion. That Rab is mainly involved in the biosynthetic transport of proteins from the Golgi to the plasma membrane. Regulates, for instance, SLC2A4/GLUT4 glucose transporter-enriched vesicles delivery to the plasma membrane. In parallel, it regulates the transport of TLR4, a toll-like receptor to the plasma membrane and therefore may be important for innate immune response. Plays also a specific role in asymmetric protein transport to the plasma membrane. In neurons, it is involved in axonogenesis through regulation of vesicular membrane trafficking toward the axonal plasma membrane. In epithelial cells, it regulates transport from the Golgi to the basolateral membrane. May play a role in the basolateral recycling pathway and in phagosome maturation. May play a role in endoplasmic reticulum dynamics and morphology controlling tubulation along microtubules and tubules fusion. Together with LRRK2, RAB8A, and RILPL1, it regulates ciliogenesis. When phosphorylated by LRRK2 on Thr-73, binds RILPL1 and inhibits ciliogenesis.; (Microbial infection) Upon Legionella pneumophila infection promotes endoplasmic reticulum recruitment and bacterial replication. Plays a role in remodeling the Legionella-containing vacuole (LCV) into an endoplasmic reticulum-like vacuole.
-
基因功能參考文獻:
- miR378a3p may act as a tumorsuppressor in Esophageal squamous cell carcinoma cells through negatively regulating Rab10. PMID: 29693138
- Interrogating Parkinson's disease LRRK2 kinase pathway activity by assessing Rab10 phosphorylation in human neutrophils has been reported. PMID: 29127255
- Our results suggest that RAB10 could be a promising therapeutic target for Alzheimer's Disease prevention PMID: 29183403
- RAB10 regulates cell survival and proliferation through multiple oncogenic, cell stress and apoptosis pathways. More importantly, high RAB10 expression levels in HCC cells correlated with a poor prognosis in HCC patients. PMID: 28460436
- miR-329 also suppresses wound-healing and migration ability of osteosarcoma cells and inhibits tumorigenicity in vivo. Rab10 was identified as a target of miR-329 in osteosarcoma and mediates its biofunction PMID: 27487475
- Data suggest that MGCRABGAP is involved in mammalian spermiogenesis by modulating RAB10. PMID: 28067790
- the target gene RAB10 regulated by miRNA-369-3p, miRNA-30e-5p, miRNA-30e-3p, and miRNA-655 may play key role in the progression and development of AD. PMID: 26082458
- The Anaplasma phagocytophilum surface protein, uridine monophosphate kinase, was identified as a guanine nucleotide-independent, Rab10-specific ligand. PMID: 26289115
- Rab10 is a target of the GTPase-activating protein AS160, which is inhibited after phosphorylation by the protein kinase Akt. PMID: 25103239
- Rab10 silencing increased the plasma membrane residence of HAS3, resulting in a significant increase of hyaluronan secretion and an enlarged cell surface HA coat, whereas Rab10 overexpression suppressed hyaluronan synthesis. PMID: 24509846
- Rab10 regulates endoplasmic reticulum dynamics/morphology. Suggest that these dynamics could be coupled to phospholipid synthesis. PMID: 23263280
- Insulin-stimulated GLUT4 protein translocation in adipocytes requires the Rab10 guanine nucleotide exchange factor Dennd4C PMID: 21454697
- Rab10 and Rab8A are new cytoplasmic factors implicated in WPB biogenesis that play a role in generating granules that can rapidly respond to secretagogue PMID: 21070595
- Rab10, acting upstream of Rab5, plays a prominent role in phagolysosome formation and can modulate Mycobacterium-containing phagosomes maturation PMID: 20028485
- Fibronectin 1 and RAB10 show elevated expression in uninvolved psoriatic epidermis. PMID: 15855153
- a related Rab protein, Rab10, can interact with myosin Va, myosin Vb, and myosin Vc PMID: 19008234
顯示更多
收起更多
-
亞細胞定位:Cytoplasmic vesicle membrane; Lipid-anchor; Cytoplasmic side. Golgi apparatus membrane. Golgi apparatus, trans-Golgi network membrane. Endosome membrane. Recycling endosome membrane. Cytoplasmic vesicle, phagosome membrane. Cytoplasm, cytoskeleton, cilium basal body. Endoplasmic reticulum membrane. Cytoplasm, perinuclear region.
-
蛋白家族:Small GTPase superfamily, Rab family
-
組織特異性:Expressed in the hippocampus. Expressed in neutrophils (at protein level).
-
數據庫鏈接:
Most popular with customers
-
-
YWHAB Recombinant Monoclonal Antibody
Applications: ELISA, WB, IHC, IF, FC
Species Reactivity: Human, Mouse, Rat
-
Phospho-YAP1 (S127) Recombinant Monoclonal Antibody
Applications: ELISA, WB, IHC
Species Reactivity: Human
-
-
-
-
-















