PSME1 Recombinant Monoclonal Antibody
-
中文名稱:PSME1重組抗體
-
貨號:CSB-RA943230A0HU
-
規格:¥1320
-
圖片:
-
Western Blot
Positive WB detected in: Jurkat whole cell lysate, HepG2 whole cell lysate, MCF-7 whole cell lysate, A549 whole cell lysate, PC3 whole cell lysate, Hela whole cell lysate, Ntera-2 whole cell lysate, U251 whole cell lysate
All lanes: PSME1 antibody at 1:2000
Secondary
Goat polyclonal to rabbit IgG at 1/50000 dilution
Predicted band size: 29, 27 kDa
Observed band size: 28-30, 55-72 kDa -
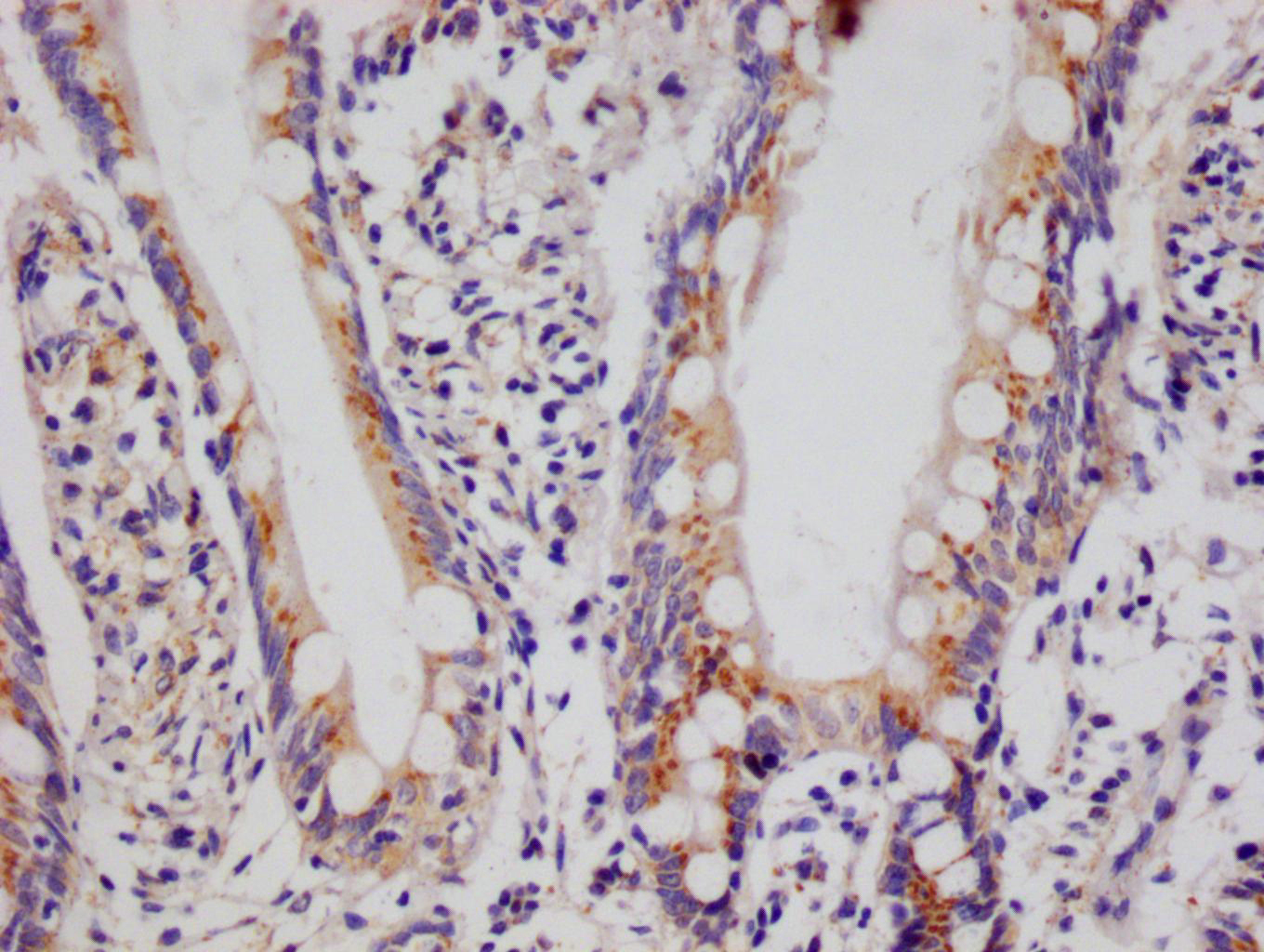
IHC image of CSB-RA943230A0HU diluted at 1:100 and staining in paraffin-embedded human small intestine tissue performed on a Leica BondTM system. After dewaxing and hydration, antigen retrieval was mediated by high pressure in a citrate buffer (pH 6.0). Section was blocked with 10% normal goat serum 30min at RT. Then primary antibody (1% BSA) was incubated at 4°C overnight. The primary is detected by a Goat anti-rabbit polymer IgG labeled by HRP and visualized using 0.05% DAB.
-
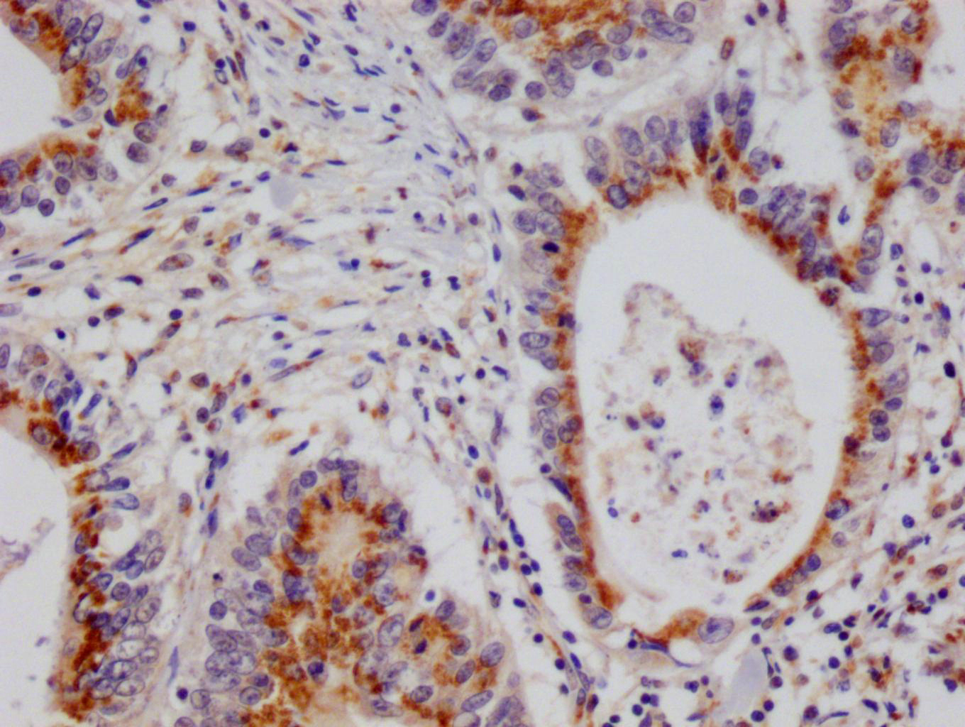
IHC image of CSB-RA943230A0HU diluted at 1:100 and staining in paraffin-embedded human colon cancer performed on a Leica BondTM system. After dewaxing and hydration, antigen retrieval was mediated by high pressure in a citrate buffer (pH 6.0). Section was blocked with 10% normal goat serum 30min at RT. Then primary antibody (1% BSA) was incubated at 4°C overnight. The primary is detected by a Goat anti-rabbit polymer IgG labeled by HRP and visualized using 0.05% DAB.
-
Immunofluorescence staining of HepG2 cell with CSB-RA943230A0HU at 1:50, counter-stained with DAPI. The cells were fixed in 4% formaldehyde and blocked in 10% normal Goat Serum. The cells were then incubated with the antibody overnight at 4°C. The secondary antibody was Alexa Fluor 518-congugated AffiniPure Goat Anti-Rabbit IgG(H+L).
-
Overlay Peak curve showing HepG2 cells stained with CSB-RA943230A0HU (red line) at 1:100. The cells were fixed in 4% formaldehyde and permeated by 0.2% TritonX-100. Then 10% normal goat serum to block non-specific protein-protein interactions followed by the antibody (1ug/1*106cells) for 45min at 4℃. The secondary antibody used was FITC-conjugated Goat Anti-rabbit IgG(H+L) at 1:200 dilution for 35min at 4℃.Control antibody (green line) was rabbit IgG (1ug/1*106cells) used under the same conditions. Acquisition of >10,000 events was performed.
-
-
其他:
產品詳情
-
產品描述:CSB-RA943230A0HU PSME1重組單克隆抗體是針對人源蛋白酶體激活亞基3(Proteasome Activator Subunit 3, PSME1)開發的高特異性抗體。該靶標通過調控20S蛋白酶體活性參與細胞內蛋白質降解,在抗原呈遞、炎癥反應及細胞周期調控中發揮重要作用。本產品經多種實驗平臺嚴格驗證,在蛋白質免疫印跡(WB)中可識別天然構象的PSME1蛋白,免疫組織化學(IHC)和免疫熒光(IF)實驗顯示明確的亞細胞定位信號,流式細胞術(FC)可精準檢測細胞表面及胞內表達。推薦使用稀釋比例為WB 1:500-1:2000、IHC 1:50-1:200、IF 1:50-1:200、FC 1:50-1:200,各濃度梯度均呈現優異的重現性。該抗體適用于研究蛋白酶體功能調控機制、免疫相關疾病模型中的蛋白表達動態,以及腫瘤微環境中蛋白降解通路的分子機制等科研領域。其重組單克隆特性確保了批次間高度一致性,配套驗證數據涵蓋多種細胞裂解液及組織樣本類型,為復雜實驗體系提供可靠支持。
-
Uniprot No.:
-
基因名:
-
別名:Proteasome activator complex subunit 1 (11S regulator complex subunit alpha) (REG-alpha) (Activator of multicatalytic protease subunit 1) (Interferon gamma up-regulated I-5111 protein) (IGUP I-5111) (Proteasome activator 28 subunit alpha) (PA28a) (PA28alpha), PSME1, IFI5111
-
反應種屬:Human
-
免疫原:A synthesized peptide derived from human PSME1
-
免疫原種屬:Homo sapiens (Human)
-
標記方式:Non-conjugated
-
克隆類型:Monoclonal
-
抗體亞型:Rabbit IgG
-
純化方式:Affinity-chromatography
-
克隆號:29D5
-
濃度:It differs from different batches. Please contact us to confirm it.
-
保存緩沖液:Rabbit IgG in 10mM phosphate buffered saline , pH 7.4, 150mM sodium chloride, 0.05% BSA, 0.02% sodium azide and 50% glycerol.
-
產品提供形式:Liquid
-
應用范圍:ELISA, WB, IHC, IF, FC
-
推薦稀釋比:
Application Recommended Dilution WB 1:500-1:2000 IHC 1:50-1:200 IF 1:50-1:200 FC 1:50-1:200 -
Protocols:
-
儲存條件:Upon receipt, store at -20°C or -80°C. Avoid repeated freeze.
-
貨期:Basically, we can dispatch the products out in 1-3 working days after receiving your orders. Delivery time maybe differs from different purchasing way or location, please kindly consult your local distributors for specific delivery time.
-
用途:For Research Use Only. Not for use in diagnostic or therapeutic procedures.
相關產品
靶點詳情
-
功能:Implicated in immunoproteasome assembly and required for efficient antigen processing. The PA28 activator complex enhances the generation of class I binding peptides by altering the cleavage pattern of the proteasome.
-
基因功能參考文獻:
- Such a modulation of proteasome activity is explained, at least in part, by the circadian expression of both Nuclear factor (erythroid-derived 2)-like 2 (Nrf2) and the proteasome activator PA28ab PMID: 26944190
- Results show that PA28alpha was found to be overexpressed in oral squamous cell carcinoma cell lines and tumor tissues. High expression of PA28alpha was significantly associated with recurrence and poorer overall survival. PMID: 26892607
- Constitutive expression of PA28 and ERAP1 in melanoma cells indicate that both interfere with MART-1(26-35) epitope generation even in the absence of IFN-gamma PMID: 26399368
- PA28 is a tumor marker and a potential target for therapeutic intervention in prostate cancer. PMID: 23918357
- Reduction in ATP levels triggers immunoproteasome activation by the 11S (PA28) regulator during early antiviral response mediated by IFNbeta in mouse pancreatic beta-cells. PMID: 23383295
- the first evidence of a novel ovarian cancer-specific marker PMID: 22532226
- PA28 selectively up-regulates the presentation of viral MHC class I epitopes and that down regulation PA28 in tumor cells results in impaired presentation of a human TRP2 tumor antigen. PMID: 12200048
- The relationship between anti-PA28alpha and Ki antibodies suggests the importance of an antigen-driven system in the induction of an autoimmune response to PA28 complex. PMID: 14760793
- DJ-1 and PA28alpha may have roles in the onset of hepatocarcinogenesis PMID: 17671684
- the 11S proteasome activator complex, Reg alpha fragment, may have a role in ovarian cancer PMID: 17939699
- bortezomib-adapted HL-60 cells showed increased expression and proteasome association of the 11S proteasome activator PMID: 19225532
顯示更多
收起更多
-
蛋白家族:PA28 family
-
數據庫鏈接:
Most popular with customers
-
YWHAB Recombinant Monoclonal Antibody
Applications: ELISA, WB, IHC, IF, FC
Species Reactivity: Human, Mouse, Rat
-
Phospho-YAP1 (S127) Recombinant Monoclonal Antibody
Applications: ELISA, WB, IHC
Species Reactivity: Human
-
-
-
-
-
-















