PCK2 Recombinant Monoclonal Antibody
-
中文名稱:PCK2 Recombinant Monoclonal Antibody
-
貨號:CSB-RA900837A0HU
-
規格:¥1320
-
圖片:
-
Western Blot
Positive WB detected in: MCF-7 whole cell lysate(30μg), Hela whole cell lysate(30μg)
All lanes: PEPCK M antibody at 1:1000
Secondary
Goat polyclonal to rabbit IgG at 1/40000 dilution
Predicted band size: 71 kDa
Observed band size: 71 kDa
Exposure time:2min -
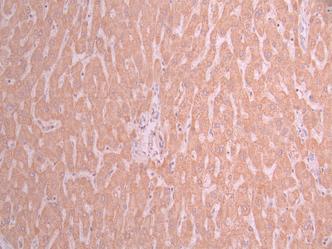
IHC image of CSB-RA900837A0HU diluted at 1:100 and staining in paraffin-embedded human liver cancer performed on a Leica BondTM system. After dewaxing and hydration, antigen retrieval was mediated by high pressure in a citrate buffer (pH 6.0). Section was blocked with 10% normal goat serum 30min at RT. Then primary antibody (1% BSA) was incubated at 4°C overnight. The primary is detected by a Goat anti-rabbit polymer IgG labeled by HRP and visualized using 0.05% DAB.
-
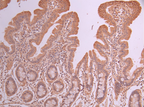
IHC image of CSB-RA900837A0HU diluted at 1:100 and staining in paraffin-embedded human small intestine tissue performed on a Leica BondTM system. After dewaxing and hydration, antigen retrieval was mediated by high pressure in a citrate buffer (pH 6.0). Section was blocked with 10% normal goat serum 30min at RT. Then primary antibody (1% BSA) was incubated at 4°C overnight. The primary is detected by a Goat anti-rabbit polymer IgG labeled by HRP and visualized using 0.05% DAB.
-
Overlay Peak curve showing Raji cells stained with CSB-RA900837A0HU (red line) at 1:100. The cells were fixed in 4% formaldehyde and permeated by 0.2% TritonX-100 for 10min. Then 10% normal goat serum to block non-specific protein-protein interactions followed by the antibody (1ug/1*106cells) for 45min at 4℃. The secondary antibody used was FITC-conjugated goat anti-rabbit IgG (H+L) at 1/200 dilution for 35min at 4℃.Control antibody (green line) was Rabbit IgG (1ug/1*106cells) used under the same conditions. Acquisition of >10,000 events was performed.
-
-
其他:
產品詳情
-
Uniprot No.:
-
基因名:
-
別名:Phosphoenolpyruvate carboxykinase [GTP], mitochondrial (PEPCK-M) (EC 4.1.1.32), PCK2, PEPCK2
-
反應種屬:Human
-
免疫原:A synthesized peptide from human PCK2 protein
-
免疫原種屬:Homo sapiens (Human)
-
標記方式:Non-conjugated
-
克隆類型:Monoclonal
-
抗體亞型:Rabbit IgG
-
純化方式:Affinity-chromatography
-
克隆號:3D12
-
濃度:It differs from different batches. Please contact us to confirm it.
-
保存緩沖液:Preservative: 0.03% Proclin 300
Constituents: 50% Glycerol, 0.01M PBS, PH 7.4 -
產品提供形式:Liquid
-
應用范圍:ELISA, WB, IHC, FC
-
推薦稀釋比:
Application Recommended Dilution WB 1:500-1:2000 IHC 1:50-1:200 FC 1:50-1:200 -
Protocols:
-
儲存條件:Upon receipt, store at -20°C or -80°C. Avoid repeated freeze.
-
貨期:Basically, we can dispatch the products out in 1-3 working days after receiving your orders. Delivery time maybe differs from different purchasing way or location, please kindly consult your local distributors for specific delivery time.
-
用途:For Research Use Only. Not for use in diagnostic or therapeutic procedures.
相關產品
靶點詳情
-
功能:Catalyzes the conversion of oxaloacetate (OAA) to phosphoenolpyruvate (PEP), the rate-limiting step in the metabolic pathway that produces glucose from lactate and other precursors derived from the citric acid cycle.
-
基因功能參考文獻:
- Our study indicates that the T allele of the rs4982856 single-nucleotide polymorphisms in the PCK2 gene may be a risk factor for glucose intolerance after kidney transplantation PMID: 29731064
- Downregulation of PCK2 remodels tricarboxylic acid cycle in tumor-repopulating cells of melanoma PMID: 28166201
- ApoA-IV colocalizes with NR4A1, which suppresses G6Pase and PEPCK gene expression at the transcriptional level, reducing hepatic glucose output and lowering blood glucose. PMID: 26556724
- Results indicate that PEPCK promotes tumor growth by increasing glucose and glutamine metabolism, increases anabolic metabolism and promotes mTORC1 activity. PMID: 26481663
- Mitochondrial PCK2 regulates metabolic adaptation and enables glucose-independent tumor growth in various neoplasms. PMID: 26474064
- When autophagy was blocked, the level of glucose-6-phosphatase (G6Pase) and phosphoenolpyruvate carboxykinase (PEPCK) was reduced in HepG2 cells and not in Hep3B cells. PMID: 26036577
- PEPCK activity was elevated threefold in lung cancer samples over normal lungs and its activation mediates an adaptive response to glucose depletion in lung cancer. PMID: 24632615
- Amino acid limitation and ER stress inducers, conditions that activate the amino acid response (AAR) and the unfolded protein response (UPR), stimulate PCK2 gene transcription in tumor cell lines. PMID: 24973213
- Expression of phosphoenolpyruvate carboxykinase linked to chemoradiation susceptibility of human colon cancer cells. PMID: 24602180
- expression of HCV nonstructural component NS5A in Huh7 or primary hepatocytes stimulated PEPCK gene expression and glucose output in HepG2 cells. PMID: 22955269
- results reveal a novel link between glucose metabolism and the DNA damage signaling pathway and suggest a possible role for PEPCK and G6P in the DNA damage response PMID: 21733854
- Endoplasmic reticulum stress triggers suppression of AMPK while increasing C/EBPbeta and pCREB expression which activates PEPCK gene transcription. PMID: 20797423
- Results suggest that pepck2 gene expression is regulated by its 5' flanking region up to 822 bp, and 317 bp upstream of transcriptional start point. PMID: 15315819
- Wild-type AREBP, but not Ser(470) to Ala(470) substituted non-phosphorylating mutant, represses gene expression of the phosphoenolpyruvate carboxykinase (PEPCK), a key enzyme of gluconeogenesis. PMID: 17097062
- skeletal muscle PEPCK has a role in determining physical activity levels PMID: 19521512
- Increased transcriptional expression of PEPCK1 and G6Pc does not account for increased gluconeogenesis and fasting hyperglycemia in patients with type 2 diabetes mellitus. PMID: 19587243
顯示更多
收起更多
-
相關疾病:Mitochondrial phosphoenolpyruvate carboxykinase deficiency (M-PEPCKD)
-
亞細胞定位:Mitochondrion.
-
蛋白家族:Phosphoenolpyruvate carboxykinase [GTP] family
-
數據庫鏈接:
Most popular with customers
-
-
YWHAB Recombinant Monoclonal Antibody
Applications: ELISA, WB, IHC, IF, FC
Species Reactivity: Human, Mouse, Rat
-
Phospho-YAP1 (S127) Recombinant Monoclonal Antibody
Applications: ELISA, WB, IHC
Species Reactivity: Human
-
-
-
-
-















